Sie wurden erfolgreich abgemeldet!
CME
Hinweis: Bitte beachten Sie, dass Sie bei Neuregistrierung nach ca. 60 Minuten mit CME-Fortbildungen beginnen können, und nach den aktuellen Regelungen zur Vergabe von Fortbildungspunkten nur maximal 8 Punkte pro Tag (= 4 zm-Fortbildungen) anerkannt werden.
CME Übersicht
Aktuelle Fortbildungen
2
CME-Punkte
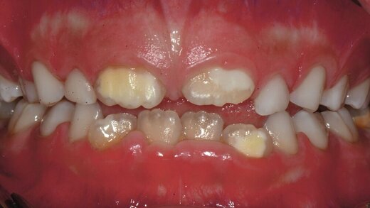
Aus Heft 21/2025
FBT „Simple, Advanced, Complex“ – Zahnverfärbungen
Artikel zur Fortbildung:
Behandlung von Zahnverfärbungen
2
CME-Punkte
Aus Heft 21/2025
FBT „Simple, Advanced, Complex“ – CMD-Diagnoseklassifikation
Artikel zur Fortbildung:
Die interdisziplinäre Diagnoseklassifikation des craniomandibulären Systems (DC-CMS)
2
CME-Punkte
Aus Heft 3/2026
Zyste oder Ameloblastom? Die histopathologische Aufarbeitung entscheidet
Artikel zur Fortbildung:
Zyste oder Ameloblastom? Entscheidend ist die histopathologische Aufarbeitung
2
CME-Punkte
Aus Heft 22/2025
FBT „Simple, Advanced, Complex“ – Leukoplakie – ein praxisorientierter Leitfaden
Artikel zur Fortbildung:
Leukoplakie – ein praxisorientierter Leitfaden für einfache bis komplexe Fälle
2
CME-Punkte
Aus Heft 22/2025
FBT „Simple, Advanced, Complex“ – Regenerative Furkationstherapie
Artikel zur Fortbildung:
Regenerative Furkationstherapie – von einfach bis komplex
2
CME-Punkte
Aus Heft 23-24/2025
Fortbildung zur elektronischen Patientenakte
Artikel zur Fortbildung:
Machen Sie eine Fortbildung zur ePA! Online!
2
CME-Punkte
Aus Heft 1-2/2026
FBT MIH – Erscheinungsbild, Diagnostik, Ätiologie
Artikel zur Fortbildung:
MIH – Klinisches Erscheinungsbild, Diagnostik und Ätiologie
2
CME-Punkte
Aus Heft 1-2/2026
FBT MIH – Non-invasive Therapie
Artikel zur Fortbildung:
Nichtinvasive Therapie der MIH
2
CME-Punkte
Aus Heft 1-2/2026
FBT MIH – Die restaurative Therapie auf Basis des Würzburger Konzepts
Artikel zur Fortbildung:
Die restaurative Therapie auf Basis des Würzburger Konzepts
Abgelaufene Fortbildungen
2
CME-Punkte
Aus Heft 20/2025
Vom Papillom zum Karzinom - Folgen einer Therapieverzögerung
Artikel zur Fortbildung:
Vom Papillom zum Karzinom – Folgen einer Therapieverzögerung
Zur Übung
[Diese Fortbildung ist abgelaufen]
2
CME-Punkte
Aus Heft 14/2025
FBT zur S3-Paro-Leitlinie Stadium IV – Falltyp 4: Rehabilitation des gesamten Zahnbogens
Artikel zur Fortbildung:
Falltyp 4: Rehabilitation des gesamten Zahnbogens
Zur Übung
[Diese Fortbildung ist abgelaufen]
2
CME-Punkte
Aus Heft 14/2025
FBT zur S3-Paro-Leitlinie Stadium IV – Falltyp 3: Teilrehabilitation auf Zähnen und Implantaten
Artikel zur Fortbildung:
Falltyp 3: Teilrehabilitation auf Zähnen und Implantaten
Zur Übung
[Diese Fortbildung ist abgelaufen]
2
CME-Punkte
Aus Heft 19/2025
Fibröse Dysplasie des Os temporale und der Kiefergelenksregion
Artikel zur Fortbildung:
Fibröse Dysplasie des Os temporale und der Kiefergelenksregion
Zur Übung
[Diese Fortbildung ist abgelaufen]
2
CME-Punkte
Aus Heft 13/2025
FBT zur S3-Paro-Leitlinie Stadium IV – Falltyp 2: Die kombiniert parodontal-kieferorthopädische Behandlung
Artikel zur Fortbildung:
Falltyp 2: Die kombiniert parodontal-kieferorthopädische Behandlung
Zur Übung
[Diese Fortbildung ist abgelaufen]
2
CME-Punkte
Aus Heft 13/2025
FBT zur S3-Paro-Leitlinie Stadium IV – Einführung: Krankheitsbild und therapeutische Optionen und Falltyp 1: Hypermobile Zähne
Artikel zur Fortbildung:
Einführung: Krankheitsbild und therapeutische Optionen
Zur Übung
[Diese Fortbildung ist abgelaufen]
2
CME-Punkte
Aus Heft 18/2025
Interdisziplinäre Rehabilitation eines Erwachsenen mit multipler Oligodontie
Artikel zur Fortbildung:
Interdisziplinäre Rehabilitation eines Erwachsenen mit multipler Oligodontie
Zur Übung
[Diese Fortbildung ist abgelaufen]
2
CME-Punkte
Aus Heft 17/2025
Drüsenerhaltende Therapie bei ausgeprägter Sialolithiasis
Artikel zur Fortbildung:
Drüsen-erhaltende Therapie bei ausgeprägter Sialolithiasis
Zur Übung
[Diese Fortbildung ist abgelaufen]
2
CME-Punkte
Aus Heft 15-16/2025
Management gebrochener Implantatkomponenten
Artikel zur Fortbildung:
Management gebrochener Implantatkomponenten
Zur Übung
[Diese Fortbildung ist abgelaufen]
