Wie gut sind keramische Veneers aus dem 3-D-Drucker?
Veneers ermöglichen eine ästhetisch hochwertige Rehabilitation bei gleichzeitig geringem oder keinem Zahnhartsubstanzverlust. In Kombination mit einer kieferorthopädischen Behandlung lässt sich diese Art der Versorgung oft noninvasiv durchführen. Geeignete digitale Techniken, um sehr dünne Restaurationen herzustellen, sind auf der einen Seite subtraktive Verfahren zur Bearbeitung von Zirkonoxid, auf der anderen Seite gibt es additive Verfahren für Zirkonoxid und Glaskeramik. Wie geeignet Zirkonoxid als Material für Veneers nach unserem Schönheitsideal ist, muss allerdings kritisch hinterfragt werden. Die additive Fertigung von dünnen hochfesten glaskeramischen Veneers scheint jedoch eine echte Alternative zur klassischen analogen Fertigung zu sein.
Material und Methode
Die Arbeitsgruppe um Josef Schweiger von der Universität München untersuchte anhand eines patientennahen In-vitro-Modells die Machbarkeit von additiv gefertigten Veneers aus Lithiumdisilikat mit einer konstanten Schichtstärke von 0,2 mm. Dazu scannten (Trios 4, 3shape, Kopenhagen, Dänemark) sie ein naturgesundes Gebiss eines Probanden und exportierten sowohl die dreidimensionale Oberflächenstruktur als auch die im Scan enthaltene Farbinformation.
Um eine möglichst gleichmäßige Schichtstärke der späteren Veneers zu erhalten, erfolgte die Präparation der Zähne 13 bis 23 virtuell durch einen labialen Abtrag von 0,24 mm. Die späteren Veneers sollten 0,2 mm dick sein, zusätzlich wurden 0,04 mm für das Befestigungskomposit eingeplant. Mithilfe eines eines Multifarben-Polyjet-3-D-Druckers wurde daraus ein patientennahes Modell erstellt.
Mit einem kommerziell verfügbaren CAD-Programm wurden die Veneers konstruiert, wie bereits in der digitalen Präparation wurde eine Schichtstärke von konstant 0,2 mm bei einem Zementspalt von 40 µm gewählt. Es wurden noch Hilfsstrukturen virtuell angebracht, anschließend erfolgte die additive Umsetzung der Datensätze aus einem transluzenten Schlicker in der sogenannten „Lithography-based ceramic manufacturing (LCM)“-Methode.
Es dauerte ungefähr 6,4 Minuten, eine Verblendschale zu fertigen, die neben der Keramik noch einen organischen Binder enthielt und ungesintert im sogenannten Grünzustand war. Es folgten ein Reinigungsprozess sowie die Entbinderung, das Sintern und die Kristallisation. Anschließend wurden die Hilfsstrukturen mit einer Laborturbine unter Wasserkühlung entfernt und zwei Glanzbrände mit entsprechenden Keramikmassen bei 710° durchgeführt.
Ergebnisse
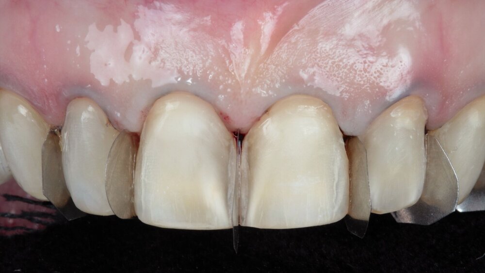
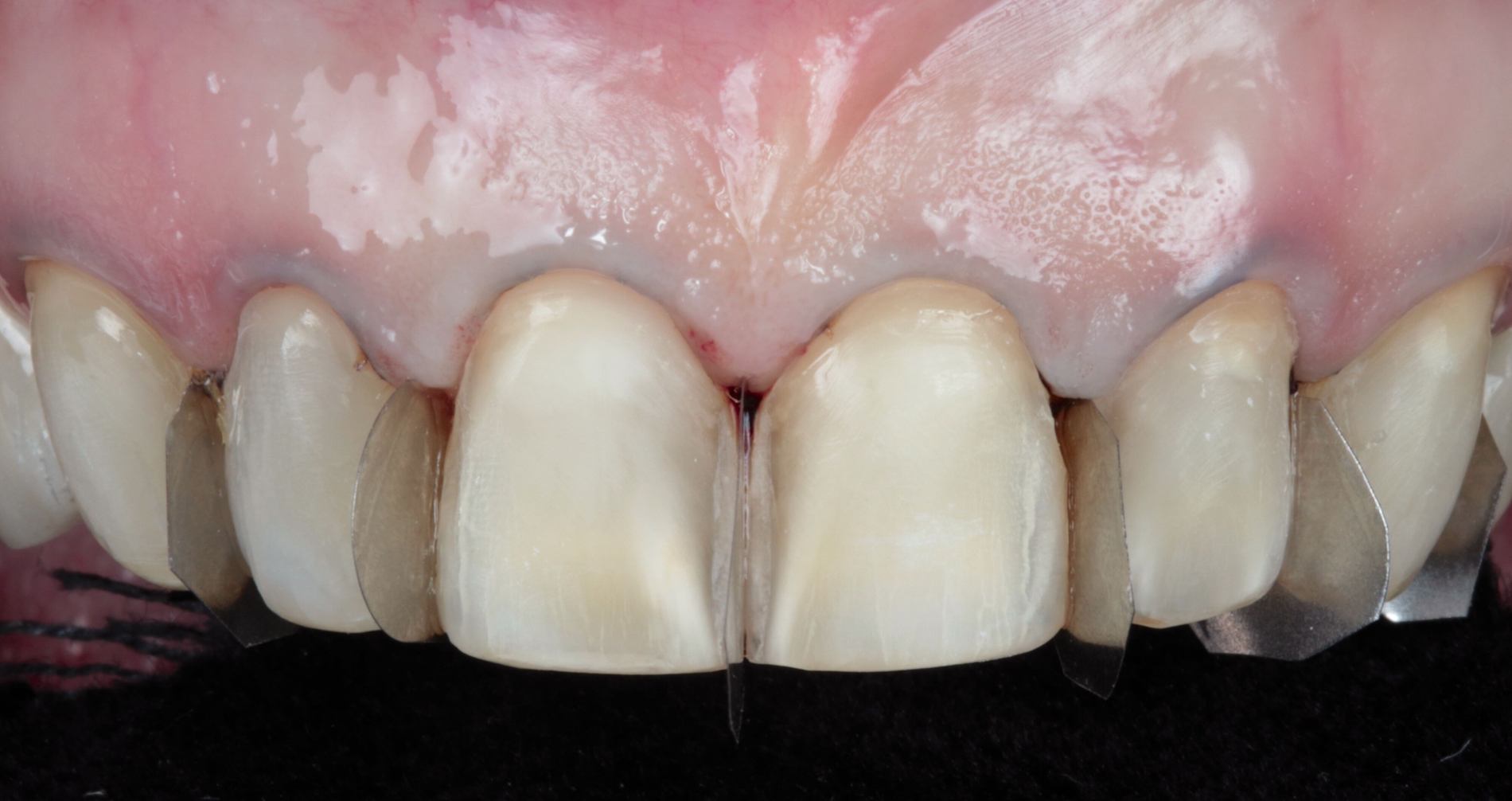
Nach der Herstellung und der Finalisierung wurden alle sechs Veneers vermessen, sie zeigten eine durchschnittliche Dicke von 0,225 mm bestehend aus 0,2 mm Lithiumdisilikat und 0,025 mm Glasurmaterial. Die Passung beschrieben die Autoren als „genau“ und das ästhetische Erscheinungsbild als „exzellent“. Besonders heben sie die feinen Ränder hervor, die keine manuelle Nachbearbeitung erforderten. Die benötigte Fertigungszeit war vergleichsweise niedrig und die Kosteneffizienz der additiven Methode der Herstellung wird explizit betont.
Diskussion
Das additive Fertigen (umgangssprachlich: 3-D-Drucken) von keramischen Materialien steht derzeit erst am Anfang. Für Zirkonoxid gibt es mehrere Anbieter und es wurden bereits Ergebnisse über die mechanische Festigkeit und die Passgenauigkeit publiziert. Bei Glaskeramiken ist die Datenlage noch deutlich dünner. Die Frage, die man sich dabei immer stellen muss, ist, ob eine neue Fertigungsart auch einen klinischen Vorteil bringt.
Bei Zirkonoxid ist dieser Punkt bisher noch nicht endgültig geklärt, da feine, passgenaue Strukturen auch mit der subtraktiven Technik umsetzbar sind. Bei hochfesten Glaskeramiken und im speziellen bei Lithiumdisilikat ergibt sich durch die additive Fertigung der Vorteil, sogar feine Randstrukturen digital umsetzen zu können. Im klassischen subtraktiven Verfahren müssen diese Randstrukturen verstärkt werden, um keine Ausbrüche während des Schleifprozesses zu haben. Diese verdickten Ränder müssen anschließend rotierend unter größter Vorsicht von Hand reduziert werden.
Im Vergleich zu klassischen glaskeramischen Veneers stellt Lithiumdisilikat durch seine deutlich höhere Festigkeit (400 MPa im Vergleich zu 50 bis 100 MPa) eine ästhetische Alternative mit größerer mechanischer Sicherheit dar. Dies gilt sowohl für den Einsetzprozess, der für dünne Veneers als technisch sensitiv gilt, als auch für die Restauration selbst. Im Endeffekt lässt sich dadurch sicher auch mehr Zahnhartsubstanz erhalten, falls eine Präparation erforderlich sein sollte. Der nächste Schritt ist vermutlich, dass Schichtungen mit „eingedruckt“ werden können und damit noch mehr Individualität in die Fertigung einfließen kann. Zuletzt muss allerdings betont werden, dass es sich dabei derzeit um Versuche handelt, denn das Material und die dazugehörige Technik sind noch nicht kommerziell verfügbar.
Was bedeuten die Ergebnisse für die tägliche Praxis?
Folgende Schlussfolgerungen lassen sich für die klinische Praxis treffen:
Glaskeramische Veneers lassen sich mit einer konstanten Schichtstärke von 0,2 mm additiv fertigen.
Additiv gefertigte Veneers verfügen über eine exzellente Ästhetik und eine gute Randpassung.
Additiv gefertigte Ränder aus Lithiumdisilikat müssen nicht mehr manuell nachbearbeitet werden.
Schweiger J, Edelhoff D, Schubert O. 3D printing of ultra-thin veneers made of lithium disilicate using the LCM method in a digital workflow: A feasibility study. J Esthet Restor Dent. 2024 Apr;36(4):588-594. doi: 10.1111/jerd.13155. Epub 2023 Nov 14. PMID: 37962058.





