Geldspritze der Deutschen ForschungsgemeinschaftDFG fördert zahnmedizinisches Forschungsprojekt mit rund 10 Millionen Euro Unter Führung der Klinik für Kieferorthopädie der RWTH Aachen entsteht ein neuer DFG-Sonderforschungsbereich, in dem der Einfluss systemischer Erkrankungen auf das parodontale Remodelling erforscht wird. 20.05.2026 ZahnmedizinParodontologie
Studie zur Mechanik der parodontalen EntzündungForscher wollen Füllstoff zur Stabilisierung des Gingivagewebes entwickeln Forscher der Universität Pennsylvania wollen einen injizierbaren Füllstoff entwickeln, der im Rahmen der Parodontitistherapie das Gingivagewebe stabilisieren und die Entzündung reduzieren soll. Ausgabe 9/2026ZahnmedizinParodontologie
Auswertung von mehr als 150 StudienAssoziation zwischen Parodontitis und chronischer Nierenerkrankung entdeckt Forschende der Universität Cincinnati haben eine bidirektionale Assoziation zwischen Parodontitis und chronischer Nierenerkrankung entdeckt. Für ihre Studie werteten sie mehr als 150 Arbeiten aus. 08.04.2026 ZahnmedizinParodontologie
Frühwarnsystem für orale EntzündungenMundpflaster soll Zahnfleischerkrankungen sofort erkennen Forschende aus Texas haben einen gewebeklebenden Sensor zur Echtzeitüberwachung der Mundgesundheit entwickelt, um Erkrankungen wie Gingivitis, Parodontitis und Zahnverlust frühzeitig zu erkennen. 26.02.2026 ZahnmedizinParodontologie
Neuer Wirkstoff zur Bekämpfung von Porphyromonas gingivalisStoppt diese Zahnpasta Parodontitis? Forschende am Fraunhofer-Institut IZI in Halle haben eine Zahnpasta entwickelt, die gezielt Parodontitiserreger blockieren soll. Was ist da dran? Die DG Paro nimmt dazu exklusiv für uns Stellung. Ausgabe 3/2026ZahnmedizinParodontologie
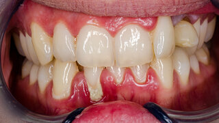
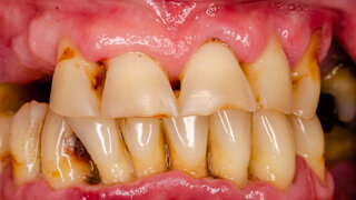
Studie zur Pathogenese von ParodontalerkrankungenSo verändert sich das Zahnfleischgewebe bei einer Parodontitis Millionen Menschen leiden an Zahnfleischerkrankungen, aber wie entstehen sie eigentlich? Forschende haben eine zelluläre Karte der Parodontitis erstellt und damit den Weg für gezieltere Behandlungen geebnet. 22.01.2026 ZahnmedizinParodontologie
Studie untersucht Rolle oraler Bakterien bei Multipler SkleroseParodontitis erhöht Schweregrad der Behinderung bei MS Forschende aus Japan haben herausgefunden, dass MS-Patienten mit mittelschwerer bis schwerer Behinderung tendenziell höhere Konzentrationen des oralen Bakteriums Fusobacterium nucleatum aufweisen. 05.01.2026 ZahnmedizinParodontologie
Aktualisierte Stellungnahme der American Heart AssociationSo ist Parodontitis mit Herz-Kreislauf-Erkrankungen assoziiert Zahnfleischerkrankungen können mit Plaqueablagerungen in den Arterien und einem höheren Risiko für schwerwiegende Herz-Kreislauf-Ereignisse in Verbindung stehen. Darauf weist die American Heart Association hin. 17.12.2025 ZahnmedizinParodontologie
Ergebnisse einer großen US-StichprobeSenken Antidepressiva das Parodontitisrisiko? Eine US-Studie zeigt: Die Einnahme von Antidepressiva ist mit einer geringeren Prävalenz von Parodontitis verbunden, wobei in schweren Fällen ein ausgeprägterer Schutzeffekt zu beobachten ist. 25.11.2025 ZahnmedizinParodontologie
ParodontitisbehandlungWeniger Frühgeburten mit Chlorhexidin-Mundspülung Wird Parodontitis bei schwangeren Frauen mit Chlorhexidin-haltigen Mundspüllösung behandelt, könnte dies einen günstigen Einfluss auf das Geburtsergebnis nehmen: Weniger Frühgeburten, weniger Untergewicht. 23.12.2022 ZahnmedizinParodontologie
Cochrane ReviewKönnen PA-Behandlungen kardiovaskuläre Erkrankungen verhindern? Ein Cochrane Review hat aktuell untersucht, inwiefern PA-Behandlungen kardiovaskuläre Erkrankungen verhindern oder den Krankheitsverlauf beeinflussen können. 15.11.2022 ZahnmedizinParodontologie
30. Jahrestagung der Neuen Arbeitsgruppe Parodontologie (NAgP)Parodontologie kompakt und interdisziplinär Wer ein komprimiertes und praxisorientiertes Update zu wichtigen klinischen Fragen der Parodontalbehandlung suchte, dem bot die Jahrestagung der NAgP ein prall gefülltes Fortbildungsprogramm. 08.11.2022 ZahnmedizinParodontologie
Studie zur KFO-Behandlung bei Parodontitis ausgezeichnetR. Earl Robinson Regeneration Award 2022 geht nach Europa Der diesjährige R. Earl Robinson Regeneration Award der American Academy of Periodontology (AAP) geht an ein europäisches Forscherteam um die Bonner Parodontologin PD Dr. Karin Jepsen. 31.10.2022 ZahnmedizinKieferorthopädieParodontologie
Universität BirminghamParodontitis-Diagnostik per Schnelltest? Britische Forschende haben auf der Basis von bestimmten Biomarkern „Schnelltests“ entwickelt, die künftig nicht nur das Vorhandensein einer Parodontitis, sondern auch ihren Schweregrad bestimmen können sollen. 21.10.2022 ZahnmedizinParodontologie
Studie der New York UniversityParodontitis: Topisches Gel in vitro erprobt Ein topisches Gel konnte in Tierversuchen die Parodontitisbehandlung unterstützen: Es wirkt antiinflammatorisch, verändert das orale Mikrobiom und schützt vor Knochenabbau. 17.10.2022 ZahnmedizinParodontologie
KZBV-Chef Dr. Wolfgang Eßer fordert Koalition zum Handeln auf"Die neue PAR-Therapie für alle GKV-Versicherten muss erhalten bleiben!" Der neue Entwurf zum GKV-FinStG sieht vor, dass nur Pflegebedürftige und Menschen mit Behinderung Anspruch auf die PAR-Therapie haben. Laut KZBV ein "Frontalangriff auf eine präventionsorientierte Versorgung". 17.10.2022 ParodontologiePolitik
Gesprächsrunde zum geplanten GKV-FinanzstabilisierungsgesetzPAR-Therapie: Experten fordern Ausnahme von der Budgetierung Vor den heftigen Folgen des geplanten GKV-Spargesetzes auf die Parodontalbehandlung bei GKV-Versicherten warnten in Nordrhein unisono Patientenvertreter, Wissenschaftler und Zahnmediziner. 11.10.2022 Parodontologie
Finnische ÜbersichtsarbeitMit jedem verlorenen Zahn erhöht sich das Demenzrisiko um 1,1 Prozent Eine schlechte parodontale Gesundheit und Zahnverlust erhöhen offenbar das Risiko für kognitiven Verfall und Demenz. Zu dem Ergebnis kommen finnische Forscher nach einer Auswertung von 47 Längsschnittstudien. 11.10.2022 ZahnmedizinParodontologieAlterszahnheilkunde
European Federation of PeriodontologyJaccard-EFP-Forschungspreis geht an Raluca Cosgarea Der Jaccard-EFP-Forschungspreis geht erstmals an eine Frau: Ausgezeichnet wurde Dr. Raluca Cosgarea, Oberärztin der Poliklinik für Parodontologie, Zahnerhaltung und Präventive Zahnheilkunde am Uniklinikum Bonn. 26.07.2022 ZahnmedizinParodontologie