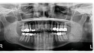
Medizinischer Meilenstein in der MKG-ChirurgieKiefergelenk-Endoprothese behebt temporomandibuläre Ankylose In Kassel wurde eine patientenspezifische Kiefergelenk-Endoprothese implantiert. Der hochspezialisierte Eingriff ermöglicht einer 55-Jährigen nach jahrelangem Leidensweg wieder eine nahezu normale Mundöffnung. 19.01.2026 ZahnmedizinChirurgie
Neue Nutzenbewertung erweitert TherapieoptionenZulassung für Pembrolizumab auch für lokal begrenzte Mundhöhlenkarzinome Der Immuntherapie-Wirkstoff Pembrolizumab wurde jetzt auch für die Therapie lokal begrenzter Tumoren in der Mundhöhle zugelassen und wird von den Krankenkassen übernommen. 27.11.2025 Chirurgie
Mund-, Kiefer- und GesichtschirurgieDas ossifizierende Fibrom – ein seltener, gutartiger Knochentumor im Kieferbereich Dieser Fallbericht beschreibt den Befund eines ossifizierenden Fibroms im Unterkiefer, das mittels Enukleation therapiert wurde. Ausgabe 4/2023Chirurgie
Weisheitszahn-OPDGMKG empfiehlt PRF zur Wundheilung Mit dem Einsatz von Eigenblut in Form einer PRF-Matrix lassen sich Schwellungen und Schmerzen nach der Weisheitszahn-OP reduzieren, teilt die Deutsche Gesellschaft für Mund-, Kiefer- und Gesichtschirurgie mit. 22.09.2022 ZahnmedizinChirurgie
IndienOdontom: Ärzte ziehen Teenager 82 Zähne! Fünf Jahre litt ein 17-jähriger Teenager aus Indien an einem komplexen Odontom. Jetzt wurde er in einer Spezialklinik behandelt: In der dreistündigen Operation wurden 82 Zähne aus seinem Kiefer entfernt. 15.07.2021 ZahnmedizinChirurgie
MKG-ChirurgieFollikuläre Zyste in der Kieferhöhle infraorbital – mit Hypästhesie Bei einer Hypästhesie des Nervus infraorbitalis nV2 sind Überraschungen durchaus möglich, wie der Patientenfall zeigt. 29.01.2021 ZahnmedizinChirurgie
MKG-ChirurgieSyndromales Leiomyosarkom der Orbita Eine 47-jährige Patientin entwickelt im Rahmen eines Li-Fraumeni-Syndroms einen malignen Tumor der Orbita. Nach Enukleation wird der Defekt durch eine Epithese versorgt. 12.10.2020 ZahnmedizinChirurgie
Zufallsbefund eines Riesenzelltumors bei langjähriger Bruxismus-Patientin 07.10.2020 ZahnmedizinChirurgie
Pilotstudie zur Knochenregeneration nach ExtraktionWie wirken sekundäre Pflanzenstoffe bei der Knochenheilung? Sekundäre Pflanzenstoffe aus Traubenkern- und Grapefruitextrakten gelten als Antioxidanzien und wirken entzündungshemmend. Doch ist damit auch automatisch eine bessere Knochenregeneration verbunden? 14.09.2020 ZahnmedizinChirurgie
MKG-ChirurgieÜberpresstes Provisorienmaterial als Ursache für eine Sinusitis maxillaris Mund-Antrum-Verbindungen (MAV) können bei jeder Extraktion im Oberkieferseitenzahnbereich entstehen. Im vorliegenden Fall wurde Provisorienmaterial über eine MAV in die Kieferhöhle überpresst. Ausgabe 17/2020ZahnmedizinChirurgie
Der besondere Fall mit CMEEnorale Ursache einer extraoralen Fistel – chronisch granulierende Parodontitis nach PartschAusgabe 14/2020ZahnmedizinChirurgie
MKG-ChirurgieFakultative Myiasis – der bewegte Wundgrund Zoonosen können sich im Zusammenhang mit ansteigenden Temperaturen und der Migration ursächlicher Spezies nach Deutschland zu einem relevanten Krankheitsbild in Krankenhäusern und Pflegeheimen entwickeln. Ausgabe 14/2020ZahnmedizinChirurgie