Wie wirken sekundäre Pflanzenstoffe bei der Knochenheilung?
Die Einnahme von Nahrungsergänzungsmitteln ist in weiten Teile der Bevölkerung heute Usus. Sekundäre Pflanzenstoffe aus Traubenkernen wie Polyphenole sind für ihre antibakterielle, antivirale, antioxidative und entzündungshemmende Wirkung bekannt. Flavonoidverbindungen aus Zitrusfrüchten, insbesondere der Grapefruit, haben in Studien antitumorale, antioxidative, entzündungshemmende und antidiabetische Wirkungen gezeigt. Eine US-amerikanisch-brasilianische Forschergruppe wollte in einer Pilotstudie untersuchen, ob im Handel erhältliche Nahrungsergänzungsmittel mit Trauben- oder Grapefruitextrakten die Knochenheilung nach Zahnextraktion beeinflussen kann.
Die Forscher schlossen insgesamt 30 männliche Patienten zwischen 21 und 70 Jahren mit nicht erhaltungswürdigen, einwurzeligen Zähnen in ihre Studie ein. Für die Patienten war eine anschließende Implantat-Versorgung vorgesehen. Bei allen handelte es sich um gesunde Nichtraucher. Die Forscher teilten die Probanden in drei Gruppen von zehn Teilnehmern ein. Die erste Gruppe nahm Traubenkern-, die zweite Grapefruitextrakte jeweils 14 Tage vor bis 60 Tage nach der Extraktion ein. Eine dritte Gruppe nahm keine Nahrungsergänzungsmittel ein.
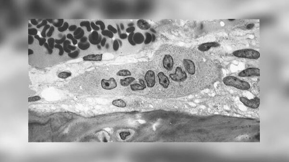
Eine erste Probe entnahmen die Forscher 24 Stunden nach der atraumatischen Zahnextraktion aus der Alveole und untersuchten sie mittels Real-Time-PCR auf Entzündungsmarker und Wachstumsfaktoren, die für die frühe Knochenheilung von Bedeutung sind. Nach 60 Tagen erfolgte die Implantation und die Forscher untersuchten den gewonnenen Bohrkern histologisch. Sie untersuchten die Knochenstruktur und bestimmten die Osteoklasten-/Osteoblastenrelation.
Ergebnisse:
In der Versuchsgruppe, in der die Patienten Traubenkernextrakte einnahmen, waren die Entzündungsmarker CXCL5 (C-X-C motif chemokine 5), CXCL11 (C-X-C motif chemokine 11), IL6 , IL6ST und IL10 hochreguliert. In der Gruppe der Grapefruitextrakt-Einnehmer war lediglich CXCL5 angestiegen, die Interleukine IL2, IL4 und IL6 allerdings herunterreguliert. Beide Nahrungsergänzungsmittel führten zu einer signifikanten Hochregulation des osteogenen Markers WISP1 (fördert die Ausbildung von Osteoblasten).
Die histologische Auswertung der Knochenproben ergab signifikant weniger Knochenfläche in der Patienten-Gruppe, die Traubenkernextrakte einnahmen, dafür mehr lockeres Bindegewebe und mehr Blutplättchen im Vergleich zu der Gruppe mit den Grapefruitextrakten und den Kontrollen.
Zusammenfassend zeigte die Studiengruppe mit den Traubenkernextrakt-Nahrungsergänzungsmitteln weniger dichten und mehr unreifen Knochen in ihren Knochenproben, dazu mehr Thrombozyten und fibröses Gewebe. Traubenkernextrakt scheint die Menge an neugebildetem Knochen im Unterschied zu Grapefruitextrakten und den Kontroll-Proben zu reduzieren, während Grapefruitextrakt die Entzündungsbotenstoffe herunterreguliert und mehr reifen Knochen entstehen lässt.
Fazit:
Beide Nahrungsergänzungsmittel haben einen Effekt auf die Knochenheilung nach Zahnextraktionen, doch nicht beide in gleichem Maße einen positiven. Die Studie wirft weitere Fragen nach dem Effekt von Traubenkern- und Grapefruitextrakten in der frühen und fortgeschrittenen Phase der Knochenheilung auf. Weitere Forschung über den Einsatz solcher sekundären Pflanzenstoffe während kieferchirurgischer Eingriffe ist notwendig, um die offenen Fragen zu klären.
Jose Moises Souza Jr, Stephen A Tuin, Adam G Robinson, Joao Gustavo Oliveira de Souza, Marco Aurelio Bianchini, Patricia A Miguez: “Effect of Flavonoid Supplementation on Alveolar Bone Healing-A Randomized Pilot Trial.“ Dent J (Basel). 2020 Aug 4; 8(3): E86.doi:10.3390/dj8030086.




