Internationale StudieLippenkorrekturen: Je weniger, desto attraktiver Ästhetische Lippenkorrekturen mit Hyaluronsäure sind im Trend. Doch was empfinden Menschen tatsächlich als ästhetisch – und was nicht? 17.08.2022 GesellschaftÄsthetik
Studie aus ItalienZahnfarbe kann sich nach Rauchstopp aufhellen Eine Arbeitsgruppe der Universität Catania hat sich mit der Zahnfarbe von Raucherinnen und Rauchern und Nichtrauchern beschäftigt. Für Raucher gibt es eine schlechte und eine gute Nachricht. 12.04.2022 GesellschaftÄsthetikZahnmedizin
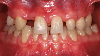
In-vitro-Studie der Universität TorontoHome-Bleaching schädigt Zahnschmelz Bleaching? Bitte beim Profi! Denn schon niedrig dosiertes Carbamidperoxid-Gel kann den Schmelz schädigen, in hoher Konzentration stirbt die Pulpa. Das zeigt eine In-vitro-Studie aus Kanada. 18.08.2021 ZahnmedizinÄsthetik
Botox, Filler & Co.BDA: Britische Zahnärzte sollten sich gegen Behandlungsfehler versichern In Großbritannien haben Abgeordnete die Regierung aufgefordert, den "Wilden Westen" bei kosmetischen Schönheits-OPs zu beenden. Die British Dental Association rät Zahnärzten, sich gegen Fehler zu versichern. 10.08.2021 PraxisÄsthetik
3. Filmpreis 2018 der AG KeramikDie Verschmelzung von digitalen Technologien und High-End-Ästhetik Die Digitaltechnik kann viele Arbeitsprozesse rationalisieren und vereinfachen - aber kann sie analoge Techniken auch schon ersetzen? ZTM Raphael Laue plädiert für eine "Verschmelzung" der Techniken. 14.01.2019 ZahnmedizinProthetikÄsthetik
2. Filmpreis 2018 der AG KeramikVollkeramische Versorgung auf Wurzel-analogem Hybridimplantat Um die Osseointegration zu fördern ohne mit dem Abutment die Ästhetik zu gefährden, wurde im vorliegenden Patientenfall die Hybridtechnik mit ZrO und Titan gewählt. Mehr dazu im Video. 14.01.2019 ZahnmedizinÄsthetik
1. Filmpreis 2018 der AG KeramikDie Schienentherapie als ideale Vorbereitung für eine komplexe, vollkeramische Versorgung Zahnarzt Dr. Matthias Kelch und Zahntechnikermeister Clemens Schwerin stellen in einem Video den einfachen und digital unterstützten Workflow der Schienentherapie bei multiplen Nichtanlagen vor. 14.01.2019 ZahnmedizinÄsthetik
4. Jahrestagung DGÄZ in List auf SyltKlein aber fein: Ästhetiker unter sich Mit rund 200 Teilnehmern fand der 4. Sylter Kongress der Deutschen Gesellschaft für Ästhetische Zahnmedizin (DGÄZ) in List statt. Parallel zum Themenkreis Ästhetik tagte die Session Dysgnathiechirurgie. 25.05.2018 ZahnmedizinÄsthetik