Die Schienentherapie als ideale Vorbereitung für eine komplexe, vollkeramische Versorgung
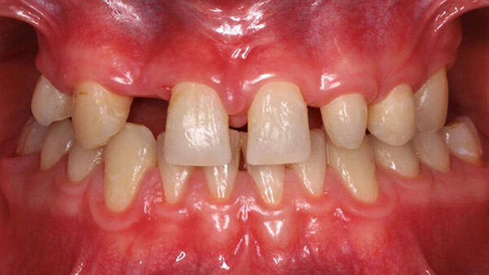
Kelch und Schwerin von der Poliklinik für Zahnärztliche Prothetik an der Universität München sahen sich vor die Aufgabe gestellt, einen 21-jährigen Patienten zu versorgen, bei dem mehrere Inzisiven und Molaren nicht angelegt und die Zahnmorphologien aus funktioneller und ästhetischer Sicht unbefriedigend waren.
Aufgrund des nicht abgeschlossenen vertikalen Wachstums des Kiefers sollte eine Implantation möglichst lange hinauszögert und zunächst mit einer ausgedehnten, provisorischen Phase überbrückt werden.
Nach der kieferorthopädischen Behandlung, in der Fehlstellungen korrigiert wurden, wünschte der Patient zeitnah eine funktionelle und ästhetische Rekonstruktion. Das Behandlungsteam entschloss sich, mit einer Schienentherapie die Lücken zu schließen, fehlende Zähne zu ersetzen und insuffiziente Morphologien von Zapfenzähnen umzugestalten.
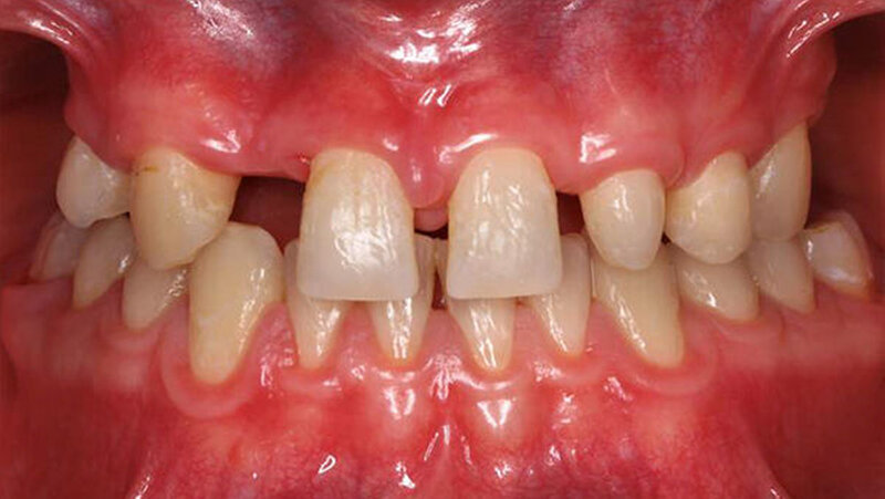
Mit dem gewählten Workflow konnte das Team das "Münchner Schienenkonzept" weiterentwickeln. Mit einem Gesichtscan für Lachlinie und Mimik sowie dem Vermessen der Gelenkbahnen wurden die Bezugsebenen definiert. Dann wurde ein digitales Set-up mithilfe eines 3-D-Druckers hergestellt. Der daraus resultierende Silikonschlüssel wurde mit Provisorienkunststoff befüllt und in den Patientenmund überführt.
Nach erfolgreicher Kontrolle von Funktion, Sprache und Ästhetik konnten die gewonnenen Informationen und Änderungswünsche in die Konstruktions-Software implementiert und eine zahnfarbene, grazile Schiene aus Polycarbonat gefräst und eingegliedert werden.
Der 2. Preis (2.000 Euro) wurde Zahnarzt Normann Hanske und Dr. Mohamed S. Chaar, Universitätsklinikum Schleswig-Holstein, Campus Kiel, Klinik für Zahnärztliche Prothetik, für das Video "Vollkeramische Versorgung auf wurzelanalogem Hybridimplantat" zuerkannt.
Den 3. Preis (1.000 Euro) erhielt ZTM Raphael Laue, Universität Zürich, Klinik für Kronen- und Brückenprothetik, Teilprothetik und zahnärztliche Materialkunde, für das Video "Die Verschmelzung von digitalen Technologien und High-End-Ästhetik".



