Das ossifizierende Fibrom – ein seltener, gutartiger Knochentumor im Kieferbereich

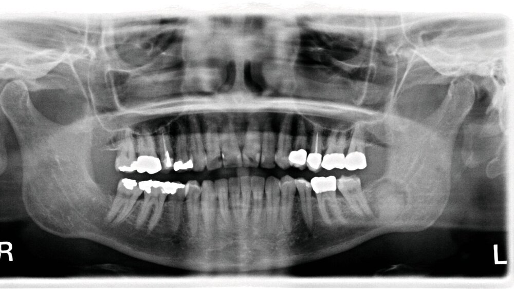
Eine 55-jährige, allgemeinanamnestisch gesunde Patientin stellte sich auf Überweisung ihres Hauszahnarztes mit einer unklaren Veränderung im Bereich des linken Kieferwinkels in der Klinik für Mund-, Kiefer- und Gesichtschirurgie des Universitätsklinikums Freiburg vor. Der Befund war bei einer Routinekontrolle in einer Panoramaschichtaufnahme (OPG) aufgefallen (Abbildung 1). Weitere Voraufnahmen existierten nicht. Radiologisch kam eine intraossäre, sklerotische Raumforderung mit zirkulärem, aufgehelltem Randsaum und überlagertem Nervus alveolaris inferior zur Darstellung. Klinisch bot sich ein unauffälliger Befund ohne knöcherne Auftreibung des Unterkiefers und mit blander Mukosa. Alle Zähne im linken Unterkiefer waren vital, die Sensibilitätstestung im Innervationsgebiet des linken Nervus alveolaris inferior zeigte sich regelrecht. Die Okklusion war habituell, die Mundöffnung ungestört.
In der dreidimensionalen Bildgebung mit digitaler Volumentomografie (DVT) zeigte sich die intraossäre, scharf abgrenzbare, überwiegend homogen mineralisierte Raumforderung mit zirkulärem, hypodensem Randsaum. Der Nervus alveolaris inferior wurde durch die Läsion nach kranial verdrängt und subtotal ummauert (Abbildung 2). Zur Dignitätssicherung planten wir die vollständige Entfernung der Raumforderung unter Erhalt des Nervus alveolaris inferior in Intubationsnarkose. Eine ausgedehnte Resektion mit Unterkieferkontinuitätsdurchtrennung war aufgrund der unklaren Dignität zum Vorstellungszeitpunkt nicht indiziert.



Der operative Zugang erfolgte über eine marginale Schnittführung von Zahn 36 bis 37 mit mesialer vestibulärer Entlastung sowie distaler Fortführung auf der Linea obliqua des Ramus mandibulae (Abbildung 3a). Nach Anpassen einer 8-Loch-Osteosyntheseplatte (Synthes MatrixMANDIBLE) wurde die vestibuläre Kortikalis piezochirurgisch osteotomiert. Nach Entfernung des Knochendeckels konnte die Raumforderung dargestellt und die subtotale Invagination des Nervus alveolaris inferior bestätigt werden (Abbildung 3b). Die Raumforderung konnte vollständig unter Nervschonung entfernt werden (Abbildung 3c). Die vestibuläre Kompaktaschale wurde an der zur Stabilisierung eingebrachten Osteosyntheseplatte refixiert.



Der postoperative Verlauf gestaltete sich komplikationslos. Die radiologische Kontrolle ergab keinen Anhalt für ein Residuum der Raumforderung oder für eine Fraktur des Unterkiefers. Die Osteosyntheseplatte war suffizient anliegend (Abbildungen 4a und 4b). Klinisch bestand eine geringgradige Hypästhesie im Versorgungsgebiet des Nervus alveolaris inferior. Die Patientin konnte am zweiten postoperativen Tag bei gutem Allgemeinzustand entlassen werden.
Eine Kontrolluntersuchung zwei Monate postoperativ zeigte einen unauffälligen Heilungsverlauf. Die Hypästhesie des linken Nervus alveolaris inferior war im Wärme-/Kältetest, durchgeführt mit einem NeuroSensory Analyzer (TSA-Test), noch objektivierbar, aber deutlich regredient (Abbildung 4c). Eine weitere röntgenologische Untersuchung sieben Monate nach Operation zeigte eine zunehmende Verknöcherung der Resektionshöhle ohne Rezidivverdacht. Der intraorale Befund war reizfrei und die Sensibilität nahezu vollständig wiederhergestellt (Abbildung 5).





Die histopathologische Untersuchung ergab eine für ein ossifizierendes Fibrom typische, spindelzellige Proliferation mit einzelnen Riesenzellen und Knochenneubildung. Die referenzpathologische Mitbeurteilung durch das Knochentumorreferenzzentrum des Deutsch-Österreichisch-Schweizerischen Arbeitskreises für Tumoren des Kiefer-Gesichtsbereichs (DÖSAK) bestätigte die Diagnose des ossifizierenden Fibroms. Aufgrund der histologisch nachweisbaren, ausgeprägten Matrix-Bildung wurde der Tumor abschließend als juveniles psammomatoides ossifizierendes Fibrom (JPOF) klassifiziert. Dem Referenzzentrum selbst sind bisher lediglich 101 Fälle bekannt, mit einem Durchschnittsalter von 25,7 Jahren (Median 23 Jahre) und einer Altersspanne von 1 bis 76 Jahren (Stand 04/2021).
Diskussion
Das ossifizierende Fibrom zählt gemäß der aktuellen WHO-Klassifikation zu den gutartigen Knochentumoren der Kiefer [El-Naggar et al., 2017]. Es wird neben dem familiären gigantiformen Zementom, der fibrösen Dysplasie, der zemento-ossären Dysplasie sowie dem Osteochondrom zu den „fibroossären und osteochondromatösen Läsionen“ gezählt, die die wichtigsten Differenzialdiagnosen des ossifizierenden Fibroms darstellen [Baumhoer, 2018; Speight and Takata, 2018]. Das ossifizierende Fibrom selbst tritt hauptsächlich im Bereich der zahntragenden Regionen auf. Der Unterkiefer ist mit etwa 90 Prozent häufiger betroffen als der Oberkiefer; das Verhältnis Männer zu Frauen beträgt 1:5 [Eversole et al., 1985]. Typisches Manifestationsalter ist das dritte bis vierte Lebensjahrzehnt.
Histologisch lassen sich weiterhin das juvenile psammomatoide ossifizierende Fibrom (JPOF) und das juvenile trabekuläre ossifizierende Fibrom (JTOF) unterscheiden. Das JTOF tritt üblicherweise im Oberkiefer bei jungen Patienten um das zehnte Lebensjahr herum auf, das JPOF ist häufig mit sämtlichen Nasennebenhöhlen, der Periorbitalregion und dem Gesichtsschädel assoziiert und tritt gehäuft um das 20. Lebensjahr herum auf [El-Mofty, 2002].
Die Läsionen sind häufig asymptomatisch, Patienten beklagen gelegentlich Symptome wie Schmerzen oder Parästhesien. In Einzelfällen kommen ossifizierende Fibrome auch in anderen Gesichtsschädelbereichen vor [Macedo et al., 2020]. Eine behinderte Nasenatmung oder Visusveränderungen werden hier als typische Symptome beschrieben. Aufgrund der Beschwerdefreiheit vieler Patienten sind ossifizierende Fibrome häufig radiologische Zufallsbefunde.
Radiologisch sind ossifizierende Fibrome abhängig vom Mineralisationsgrad, unterschiedlich stark röntgenopak und aufgrund einer umgebenden Bindegewebskapsel gut abgrenzbar. Mit zunehmender Größe kann es zu einem infiltrativen Wachstum in Nachbargewebe kommen, was die röntgenologische Abgrenzung zur umgebenden Knochenstruktur oft schwierig macht. Aufgrund des langsamen, aber stetig expansiven Wachstums sollten ossifizierende Fibrome immer entfernt werden.
Therapeutisch sind die Enukleation und die Kürettage die Therapien der ersten Wahl bei kleinen ossifizierenden Fibromen. Die Resektion mit angrenzendem, gesundem Knochen oder die Kontinuitätsresektion bei ausgedehnten infiltrativen Befunden stellt eine mögliche Therapieerweiterung dar. Die Resektionsgrenzen können mit maximal fünf Millimetern in den gesunden Knochen gering gehalten werden, da die Infiltrationstiefe von ossifizierenden Fibromen mit maximal ein bis zwei Millimetern angegeben wird [Mohanty et al., 2014].
Postoperativ werden regelmäßige klinische und radiologische Kontrollen empfohlen, um das Auftreten eines Rezidivs frühzeitig zu erkennen. Die Angaben zur Rezidivhäufigkeit schwanken je nach Literaturquelle und werden mit bis zu zehn Prozent angegeben. Am häufigsten treten Rezidive nach einfacher Enukleation sowie bei juvenilen Subtypen auf [Han et al., 2016; Liu et al., 2017].




