Schwellung im Oberkiefer: odontogenes Myxom
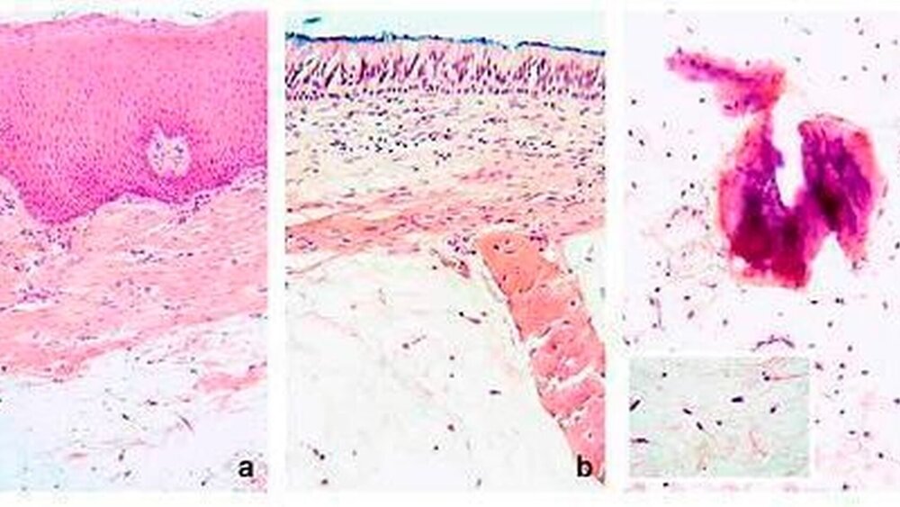
Einer 30-jährigen Patientin wurden der nicht erhaltungswürdige Zahn 27 sowie der retinierte Zahn 28 operativ entfernt. Seitdem litt die Patientin an rezidivierenden „Wucherungen des Zahnfleisches“ und Schmerzen in dieser Region. Daraufhin wurde diese Hyperplasie in den folgenden zwei Jahren insgesamt vier Mal abgetragen, trat jedoch immer wieder erneut auf. Nach zwei Jahren stellte die Patientin sich schließlich in unserer Ambulanz vor und präsentierte eine drei mal vier Zentimeter große, nicht gerötete und nicht druckdolente Schwellung regio 27 bis 28, die eine zentrale Ulzeration aufwies (Abb. 1). Die Nasennebenhöhlenaufnahme zeigte eine basale Verschattung der linken Kieferhöhle. Im CT (Computertomogramm) imponierte ein Weichteilprozess, der sich über die laterale Kieferhöhlenwand bis in die linke Fossa infratemporalis erstreckte und dessen Dignität radiologisch nicht sicher beurteilt werden konnte (Abb. 2). Die daraufhin durchgeführte Biopsie ergab die Diagnose eines odontogenen Myxoms. Histologisch (Abb. 3) zeigte sich ein Tumor der von Plattenepithel der Mundschleimhaut, aber auch von respiratorischem Epithel der Nasennebenhöhlen bedeckt wurde. Der Tumor war zellarm, wies ein myxoid aufgelockertes Stroma auf und führte zur Knochendestruktion. Kernatypien waren nicht vorhanden. Schließlich wurde der Tumor im Sinne einer En-Block-Resektion operativ entfernt und der Defekt mittels Obturator gedeckt.
Diskussion
Das odontogene Myxom gehört zu den gutartigen Tumoren und leitet sich vom Mesenchym eines sich entwickelnden Zahnes oder dem Parodont ab [2, 5, 8]. Das odontogene Myxom repräsentiert ein Prozent bis 18 Prozent aller odontogenen Tumore [6, 7| und tritt überwiegend in der zweiten bis vierten Lebensdekade auf. Klinisch präsentiert sich das odontogene Myxom häufig als langsam wachsende, schmerzlose Weichteilschwellung. Hinzutreten können Zahnlockerungen oder auch Parästhesien. Auch radiologisch zeigt sich der Tumor eher uncharakteristisch. Meist werden glatt begrenzte Aufhellungen, zum Teil mit intraläsionalen Trabekelstrukturen beschrieben [3)]. Das Auftreten von Zahndislokationen und Wurzelresorptionen ist beschrieben. Differentialdiagnostisch muss bei den rein intraossären odontogenen Myxomen zum Beispiel an odontogene Zysten, Ameloblastome und Riesenzellgranulome gedacht werden [1]. Ist das Weichgewebe betroffen, müssen natürlich auch andere Neoplasien, gut- und bösartige, diskutiert werden. Die endgültige Diagnose kann in der Regel nur histologisch gesichert werden.
Als Therapie wird in der Literatur auf Grund der Rezidivneigung überwiegend die Resektion (wie als En-Block-Resektion) empfohlen [4, 7].
Dr. Dr. Jörg G. K. HandschelDr. Dr. Rita A. DepprichUniv.-Prof. Dr. Dr. Norbert R. KüblerKlinik für Kiefer- und Plastische Gesichtschirurgie,Heinrich-Heine-UniversitätMoorenstr. 5, 40225 Düsseldorf
PD Dr. Uwe RampInstitut für PathologieHeinrich-Heine-UniversitätMoorenstr. 5, 40225 Düsseldorf




