Ästhetische Restaurationen aus Zirkoniumdioxidkeramik
Zirkoniumdioxidkeramik wird bereits seit zwei Jahrzehnten als Biokeramik in der Orthopädie erfolgreich eingesetzt [Cales et al., 1994; Hannouche et al., 2005; Maccauro et al., 2004]. Erste Untersuchungen zum Einsatz von Zirkoniumdioxidkeramik in der zahnärztlichen Prothetik (synonym werden die Begriffe Zirkonoxid oder die englische Bezeichnung Zirconia gebraucht) wurden in den 90er Jahren des letzten Jahrhunderts publiziert [R. G. Luthardt et al., 1996a; R. G. Luthardt et al., 1996b]. Abhängig vom Einsatzgebiet wird Zirkoniumdioxidkeramik in der Zahnheilkunde bereits für konfektionierte Teile, für Halbfertigteile, die noch nachbearbeitet werden müssen, und für individuell gefertigte Unikate genutzt (Tabelle 1). Inzwischen wird Zirkoniumdioxidkeramik als potentieller Ersatzwerkstoff für Metalle in der restaurativen Zahnheilkunde mit breitem Anwendungspotenzial gesehen. Grundlage dieser Einschätzung sind die hervorragenden mechanischen Eigenschaften von Zirkoniumdioxidkeramik, aufgrund derer es als „keramischer Stahl“ bezeichnet wurde [Garvie et al., 1975]. Für die Zahnheilkunde sind weiterhin die optischen Eigenschaften, die im Vergleich zu Metallen eine Lichttransmission gestatten, und die helle Farbe vorteilhaft. Für Inlays, Kronen und Brücken ist weiterhin die geringere Wärmeleitfähigkeit günstig. Die hervorragende Biokompatibilität der Zirkoniumdioxidkeramik ist für zahnmedizinische Anwendungen ein weiterer unschätzbarer Vorteil [Garvie et al., 1984; Hayashi et al., 1992; Piconi et al., 1999]. Ziel dieser Übersichtsarbeit ist es, den erreichten Stand und die Zukunftsperspektiven von Zirkoniumdioxidkeramik als Werkstoff für ästhetischen Zahnersatz darzustellen.
Werkstoffkundliche Grundlagen
(Voll-)Keramische Restaurationen sind unter ästhetischen Gesichtspunkten metallischen oder metallkeramischen Restaurationen eindeutig überlegen. In der täglichen Praxis werden unabhängig davon bislang überwiegend metallgestützte prothetische Versorgungen eingegliedert, wobei sich in den letzten Jahren ein eindeutiger Trend in Richtung des verstärkten Einsatzes vollkeramischer Restaurationen abzeichnet. Die bislang bestehende Dominanz metallischer/ metallkeramischer Restaurationen ist einerseits auf deren hohe klinische Zuverlässigkeit andererseits aber auch auf teilweise negative Erfahrungen mit (voll-)keramischen Restaurationen zurückzuführen. Misserfolge mit keramischen Werkstoffen können dabei werkstoffkundliche Ursachen haben, wenn, wie bei der Glaskeramik Dicor®, ein im Laufe der Zeit fortschreitendes Risswachstum (unterkritisches Risswachstum) letztendlich zum Versagen der „überlasteten Restaurationen“ führt. Klinische Ursachen für Misserfolge mit keramischen Werkstoffen können in der Indikationsüberschreitung oder in Verarbeitungsfehlern liegen.
Grundlage des klinischen Erfolges keramischer Restaurationen bilden somit entsprechend belastbare und damit zuverlässige keramische Materialien wie Zirkoniumdioxidkeramik sowie „ein keramisches Denken“ bei den anwendenden Zahnärzten und Zahntechnikern. Dieses „keramische Denken“ berücksichtigt einige charakteristische Eigenschaften keramischer Werkstoffe mit Relevanz für zahnärztlich-prothetische Anwendungen. Da keramische Werkstoffe – anders als Metalle – bei hohen mechanischen Beanspruchungen auftretende lokale Spannungsspitzen nicht durch elastische und plastische Verformung abbauen können (Duktilität), wird die Zuverlässigkeit der Restaurationen entscheidend durch deren Gestaltung und den verwendeten Werkstoff beeinflusst [Luthy et al., 2005].
Die Festigkeit von keramischen Restaurationen identischer Form streut erheblich stärker als bei gleichartigen Restaurationen aus Metall. Die Zuverlässigkeit der einzelnen keramischen Restauration wird dabei von dem so genannten kritischen Defekt (Pore, Riss oder vergleichbaren Fehlstellen) und der Verteilung der in Keramiken grundsätzlich vorhandenen Defekte bestimmt. Entscheidenden Einfluss auf die Größe der Defekte und deren Verteilung haben dabei die Werkstoffzusammensetzung, die Korngröße der Ausgangsmaterialien, die Fertigungsbedingungen und das Herstellverfahren einschließlich eventueller Korrekturen, wie dem Einschleifen. Durch eine Nachbehandlung von Zirkoniumdioxidkeramik bei hohem Druck und hoher Temperatur (Heiß-isostatisches Nachverdichten = hotisostatic pressing (hippen)) gelingt es, die Anzahl der Defekte innerhalb der Keramik erheblich zu reduzieren und damit die mechanischen Eigenschaften weiter zu verbessern. Dieses Verfahren ist nur unter industriellen Bedingungen anwendbar und wird für Hüftgelenkendoprothesen und teilweise auch bei Rohlingen für die CAD/CAM-Fertigung angewandt.
Vollkeramik: Ein Sammelbegriff
Vereinfachend können zwei Gruppen vollkeramischer Materialien unterschieden werden:
• Keramiken, die ohne weitere Verblendung oder nach Verblendung mit einem werkstoffkundlich vergleichbaren Material zumeist adhäsiv befestigt werden (Glaskeramiken),
• Keramiken mit hoher Festigkeit, die als Gerüstwerkstoffe dienen und mit an den Wärmeausdehnungskoeffizienten angepassten Keramiken verblendet werden (Hartkernkeramiken).
Restaurationen aus Glaskeramik erfordern im okklusionstragenden Bereich (Onlays, Teilkronen, Kronen und Brücken) Substanz fordernde Präparationen, so dass für die hervorragende Ästhetik ein vergleichsweise hoher biologischer Preis bezahlt werden muss. Die Hartkernkeramiken (InCeram Alumina beziehungsweise Zirconia, Aluminiumoxid- und Zirkoniumdioxidkeramik) übernehmen dagegen das Funktionsprinzip der Metallkeramik. Eine mechanisch belastbare Keramik dient als Gerüst und stabilisiert die mechanisch weniger belastbare Verblendkeramik (Abb. 1).
Dichtgesinterte Zirkoniumdioxidkeramik weist in der Gruppe der Hartkernkeramiken mit Abstand die besten mechanischen Eigenschaften auf [Christel et al., 1989; Joachim Tinschert et al., 2001]. Zirkoniumdioxidkeramik gehört wie Aluminiumoxid zur Gruppe der Oxidkeramiken. Hierunter werden Keramiken zusammengefasst, deren Rohstoffe synthetisch hergestellt werden und einen hohen Reinheitsgrad besitzen. Grundlage der guten mechanischen Eigenschaften sind glasphasearme oder glasphasefreie, feinkörnige Gefüge, die bei sehr hohen Sintertemperaturen entstehen (> 1400 °C). Das für die klinische Zuverlässigkeit bedeutsame unterkritische Risswachstum und die Spannungs- Riss-Korrosion sind eng mit der Schädigung der Glasphase in Keramiken durch Feuchtigkeit, beispielsweise im Speichel, verknüpft. Glasphasefreie Zirkoniumdioxidkeramik ist daher glashaltigen Keramiken in der Dauerfestigkeit überlegen.
Zirkoniumdioxidkeramik wird erst durch die Zugabe von stabilisierenden Oxiden, beispielsweise Yttrium- oder Ceroxid, technisch verarbeitbar. Durch die Zugabe dieser Oxide entsteht eine Keramik, bei der das Kristallgitter der tetragonalen Hochtemperaturmodifikation auch bei Raumtemperatur stabil ist (Y-TZP) [R. G. Luthardt et al., 1999; Stevens, 1986]. Diese Abkürzung besagt, dass durch die Zugabe von Yttriumoxid eine teilstabilisierte Keramik aus besonders kleinen Kristalliten (Tetragonal Zirconia Polycrystals) hergestellt wurde. Die hohe initiale Biegefestigkeit und Bruchzähigkeit werden erst durch einen spezifischen Verstärkungsmechanismus der teilstabilisierten Zirkoniumdioxidkeramik, die Transformationsverfestigung, ermöglicht [R. G. Luthardt et al., 1999; Stevens, 1986]. Grundlage dieses Verstärkungsmechanismus ist eine Phasenumwandlung beim Auftreten einer äußeren Spannung, beispielsweise im Bereich eines sich ausdehnenden Risses. Dabei wandeln sich lokal im Bereich der Rissspitze Kristallite von der tetragonalen in die monokline Modifikation um, wodurch eine Volumenzunahme von drei bis fünf Prozent eintritt. Die resultierende lokale Druckspannung erschwert eine weitere Rissausbreitung [R. G. Luthardt et al., 1999; Stevens, 1986]. Diese Behinderung der Rissausbreitung bewirkt eine Zunahme der Festigkeit (Abb. 2) und ermöglicht die hohe Biegefestigkeit (900 bis 1200 MPa), Härte (1200 Vickers) und hohe Risszähigkeit (9 bis 10 MPa m-1) der Zirkoniumdioxidkeramik [Christel et al., 1989; Joachim Tinschert et al., 2001].
Moderne Fertigungsverfahren
Zirkoniumdioxidkeramik wird sowohl für medizinische (Endoprothesen) als auch für technische Anwendungen (Kugellager) durch Schleifen feinbearbeitet. Der Einsatz von Zirkoniumdioxidkeramik ist daher aufs engste mit CAD/CAM-Verfahren verknüpft. Umgekehrt ist die steigende Bedeutung von Zirkoniumdioxidkeramik auch eine zentrale Triebfeder für die zunehmende Verbreitung von dentalen CAD/CAM-Technologien, da Zirkoniumdioxidkeramik nicht mit gängigen zahntechnischen Verfahren, beispielsweise Sinter- oder Pressverfahren, verarbeitbar ist. In der CAD/CAM-Technologie kommen industriell präfabrizierte Werkstoffe zum Einsatz, die als homogene Rohlinge mit hohem Reinheitsgrad vorliegen. Hierdurch können, verglichen mit konventionellen zahntechnischen Verfahren, verbesserte mechanische Eigenschaften und eine gesteigerte Biokompatibilität realisiert werden.
Zu Beginn des Einsatzes von Zirkoniumdioxidkeramik in der Kronen- und Brückenprothetik wurde die Keramik ausschließlich im dicht gesinterten Zustand bearbeitet. Diese Verarbeitungsweise wird als Hartbearbeitung bezeichnet. Nachteilig hierbei ist die Schädigung der Keramik, die im Vergleich zu einer nicht durch Schleifen bearbeiteten Keramik zu einer Reduktion der Festigkeit um etwa 50 Prozent führen kann [R. G. Luthardt et al., 2004; R. G. Luthardt et al., 2002]. Ein weiterer Nachteil besteht darin, dass die Bearbeitung von dicht gesinterter Zirkoniumdioxidkeramik zeit- und werkzeugintensiv ist. Um die Hartbearbeitung und deren Nachteile zu überwinden, werden derzeit drei alternative Verfahren angewandt (Tabelle 2):
• Die Herstellung der Kronen- und Brückengerüste aus porösen Keramiken (Infiltrationskeramik),
• Die Bearbeitung gepresster beziehungsweise teilgesinterter Keramik,
• Die direkte Formgebung der Kronenund Brückengerüste unter dem Verzicht auf die mechanische Bearbeitung.
Aus Infiltrationskeramiken werden zunächst Kronen- beziehungsweise Brückengerüste durch Schlickerauftrag auf Spezialstümpfen oder inzwischen auch durch elektrophoretische Abscheidung geformt und anschließend zu einer porösen Keramik gesintert. Alternativ werden die Rohgerüste durch Schleifen (InCeram Zirconia) hergestellt und nachfolgend mit speziellen Gläsern infiltriert. Bei den Infiltrationskeramiken und dem als schwindungsfreies Zirkoniumdioxid eingeführten Zirkonsilikat liegen die mechanischen Eigenschaften erheblich unter denen dicht gesinterter Zirkoniumdioxidkeramik. Teilgesinterte Werkstoffe werden im kreideharten Zustand bearbeitet, so dass die Bearbeitungszeiten und der Werkzeugverschleiß reduziert werden (beispielsweise Lava, Cercon). Bei der anschließenden Sinterung im Hochtemperaturofen ist das Material der Sinterschrumpfung unterworfen, die beim Fräsen des Gerüsts berücksichtigt werden muss (Abb. 3 und 4). Weitergehend ist der Ansatz auf die mechanische Bearbeitung der Zirkoniumdioxidkeramik während der Formgebung der Innenseite von Kronen zu verzichten, während die Außenform mechanisch bearbeitet wird (Procera Zirconia). Eine aktuelle Entwicklung ermöglicht es sogar, Kronen- und Brückengerüste aus Zirkoniumdioxidkeramik ohne mechanische Bearbeitung (ce.novation) durch ein direktes Formgebungsverfahren herzustellen (Abb. 5). Eine Übersicht über die von gängigen CAD/CAM-Systemen verwendeten Bearbeitungsverfahren gibt Tabelle 2.
Klinische Schlussfolgerungen
Anwendungsgebiete
Während umfangreiche werkstoffkundliche Untersuchungen zu Zirkoniumdioxidkeramik vorliegen, die grundsätzlich eine breite klinische Anwendung nahe legen (Abb. 6), dominieren im klinischen Bereich noch Fallbeispiele oder Systembeschreibungen. In jüngster Zeit wird der Einsatz von Zirkoniumdioxidkeramik für metallfreie, vollkeramische Brücken in klinischen Studien überprüft. Einzelne Systeme sind bereits sorgfältig wissenschaftlich untersucht. Verglichen mit metallkeramischen Restaurationen, für die klinische Langzeitstudien vorliegen [Decock et al., 1996; Lindquist et al., 1998; Palmqvist et al., 1993; Soderfeldt et al., 1998; Sundh et al., 1997], sind die klinischen Erfahrungen mit Zirkoniumdioxidkeramik limitiert. Klinische Untersuchungen zu Brücken aus Zirkoniumoxidkeramik im Seitenzahnbereich gibt es etwa seit dem Jahr 2001. Hochleistungskeramiken zeigen in den bisher vorliegenden Studien eine günstige Prognose für den Molarenersatz [Vult von Steyern, 2005 ; Vult von Steyern, 2005; Raigrodski, 2004; Raigrodski, 2004]. Brücken, die aus heiß-isostatisch nachverdichteter Zirkoniumoxidkeramik (DC-Zirkon, DCS Dental AG, Allschwil, CH) durch Schleifen gefertigt wurden, sind mittlerweile drei Jahre klinisch nachverfolgt worden [J. Tinschert et al., 2005]. In die Studie waren 15 Frontzahn- und 50 Seitenzahnbrücken eingeschlossen. Hinsichtlich der Brückenspanne verteilten sich diese auf 44 dreigliedrige und 21 vier- und mehrgliedrige Brücken. Gerüstfrakturen traten während der Studiendauer nicht auf. Abplatzungen wurden bei sechs Prozent der Verblendungen beobachtet, wobei diese ausschließlich bei Seitenzahnbrücken im Bereich der Pfeilerzähne auftraten [J. Tinschert et al., 2005]. Untersuchungen zu drei- bis fünfgliedrigen Brücken, die aus teilgesinterter Keramik mit nachfolgender Sinterung während der Entwicklungsphase des cercon- Systems (DCM) gefertigt wurden, zeigten binnen eines 42-monatigen Untersuchungszeitraumes keine Gerüstfrakturen [Sailer et al., 2003]. Ebenso konnten nach einem Nachuntersuchungszeitraum von 36 Monaten bei 30 Brücken, die nach dem Lava-Verfahren gefertigt wurden, keine Gerüstfrakturen festgestellt werden [Pospiech et al., 2004].
Die Vorgehensweise bei der Herstellung der Kronen und Brücken beeinflusst nachhaltig die Form und somit auch die Passgenauigkeit auf der Kroneninnenseite. Es dominieren CAD/CAM-Systeme, die subtraktiv Blockmaterialien bearbeiten. Dies bedingt, dass die Richtung der Präparation des Zahnarztes nicht der Bearbeitungsrichtung des Schleifers oder Fräsers des CAD/CAM-Systemes entspricht (Positiv-Negativ-Umkehr). Somit können von der Mehrzahl der CAD/CAM-Systeme medizinisch-biologisch sinnvolle, durch den Zahnarzt präparierte Formen nicht ohne manuelle Nacharbeit als Negativ in die Restauration umgesetzt werden. Dieser Effekt betrifft insbesondere die Passgenauigkeit im inzisalen Bereich von Frontzahnkronen aber auch Wurzeleinziehungen oder komplexe Stumpfformen. Alternative Wege der Fertigung, beispielsweise direkte Formgebungsverfahren, bei denen Positiv-Formen gefertigt werden können, unterliegen diesen Limitationen nicht. [R . G. Luthardt et al., 2005].
Indikationsstellung
Ziel der Entscheidungsfindung im Zuge der prothetischen Behandlungsplanung ist es, für den einzelnen Patienten eine optimale Versorgung des zerstörten Zahnes oder der Schalt- oder Freiendlücke zu ermitteln. Wissenschaftliche Daten zu vollkeramischen Einzelkronen mit Hartkerngerüsten aus Zirkoniumoxid- oder Aluminiumoxid-Keramik zeigen [Sadan et al., 2005], dass diese Me- tallkeramikkronen weitgehend substituieren können. Bei vollkeramischen Brücken stellt sich die Situation komplexer dar. Eine weitgehende Substitution von Metallkeramikbrücken erscheint noch nicht möglich, da die Indikationseinschränkungen der Verbinderquerschnitte und des okklusalen Platzangebotes von einander abweichen. Durch eine Messung mit einer Parodontalsonde sollte geprüft werden, ob von der Zahnfleischpapille nach okklusal hin vier Millimeter Höhe für den Verbinder zur Verfügung stehen. Die Konzentration der Spannungen im Bereich der Verbinder bei Belastung der Brücken erfordert diese konsequente Indikationsstellung [Raigrodski, 2004a; Raigrodski, 2004b]. Aus den gleichen Gründen bestehen bislang Einschränkungen bei Patienten mit Pfeilerzähnen mit gesteigerter Mobilität, Patienten mit Bruxismus oder bei Extensionsbrücken [Raigrodski, 2004a]. Die Möglichkeit der Versorgung von Freiendlücken mit vollkeramischen Extensionsbrücken wird in den letzten Jahren zunehmend diskutiert und auch in ersten klinischen Studien untersucht. Trotz erster positiver Ergebnisse ist es aufgrund der kurzen Nachuntersuchungszeiten noch nicht möglich, diese Versorgungen für breite Anwendungen zu empfehlen.
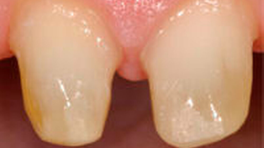
Präparation
Vergleich man die Präparationsempfehlungen für vollkeramische Kronen mit einem Hartkerngerüst aus Zirkoniumdioxid mit denen für Metallkeramikkronen, so nähern diese sich einander zunehmend an. Die Forderung nach einer klar definierten Präparationsgrenze (Hohlkehle oder Stufe) mit einem Substanzabtrag von mindestens 0,4 bis 0,6 Millimetern im Bereich der Präparationsgrenze sollte aber aus werkstoffkundlichen Überlegungen eingehalten werden. Gerundete Präparationsformen werden auch für die Metallkeramik empfohlen, für Kronen aus Zirkoniumdioxid ist diese Forderung zur Minimierung von lokalen Spannungsspitzen entscheidend (Abb. 6). In Anteilen mit geringem Platzangebot, beispielsweise in palatinalen Anteilen oberer Frontzähne, können Gerüste aus dicht gesinterter Zirkoniumdioxidkeramik lokal unverblendet bleiben. Vor diesem Hintergrund ist der erforderliche Substanzabtrag grundsätzlich dem von Metallkeramikkronen vergleichbar. Unterschiede bestehen hinsichtlich der Verbinderquerschnitte von Brücken. Tinschert empfiehlt ausgehend von klinischen und werkstoffkundlichen Untersuchungen Verbinderstärken von 9 mm2 für dreigliedrige Brücken. Für viergliedrige Brücken werden allerdings weiterhin 16 mm2 empfohlen [J. Tinschert et al., 2005]. Diese Werte dienen als Richtschnur und ersetzen nicht die Herstellerangaben für das jeweilige System.
Befestigung
Aus werkstoffkundlichen Untersuchungen können für die Befestigung von Restaurationen aus dicht gesinterter Zirkoniumdioxidkeramik präzise Vorgaben abgeleitet werden [Filser et al., 2001; Suttor et al., 2001]. Abweichende Empfehlungen für einzelne Systeme behalten selbstverständlich ihre Gültigkeit. Grundsätzlich können Restaurationen aus dichtgesinterter Zirkoniumdioxidkeramik konventionell mit Glasionomerzement oder Zinkoxid-Phosphatzement befestigt werden, weil der Werkstoff über eine ausreichende Eigenfestigkeit verfügt. Klinisch ist durch die adhäsive Befestigung keine Verbesserung der Lebensdauer zu erwarten. Im Einzelfall kann die Ästhetik verbessert werden. Ein Verbund zwischen dem Adhäsivzement und der Kroneninnenseite ist nur durch die Silikatisierung oder spezielle Adhäsivzemente, unterstützt durch ein vorheriges Korundstrahlen, zu erzielen (beispielsweise Panavia F) [Kern et al., 1998]. Eine Konditionierung von dichtgesinterter Zirkoniumdioxidkeramik durch Phosphoroder Flusssäure ist nicht möglich.
Synopse
Kronen und Brücken mit Hartkerngerüsten aus dichtgesinterter Zirkoniumdioxidkeramik, die durch innovative Herstellverfahren zunehmend kostengünstiger hergestellt werden können, bieten erstmals eine realistische Option, Metalle als Gerüstmaterialien für festsitzenden Zahnersatz zu substituieren. Experimentelle Ergebnisse zeigen, dass Zirkoniumdioxidgerüste aufgrund ihrer hervorragenden mechanischen und optischen Eigenschaften neue Perspektiven im Bereich der metallfreien Rekonstruktion von Einzelzähnen und bei der Versorgung mit Brücken eröffnen. Noch fehlen klinische Langzeitdaten, allerdings zeigen In-vitro- Untersuchungen und erste klinische Studien über einen Zeitraum von drei Jahren Erfolg versprechende Resultate.
OA PD Dr. med. dent. habil. Ralph G. LuthardtPoliklinik für Zahnärztliche ProthetikMedizinische Fakultät Carl Gustav Carus derTechnischen Universität DresdenFetscherstraße 7401307 DresdenRalph.Luthardt@mailbox.tu-dresden.dewww.computerzaehne.de
\n
Konfektionierte Teile
Halbzeuge
Individuelle Teile
\n
Brackets
Implantataufbauten
Inlays
\n
Wurzelstifte
Einteilige Implantate
Kronengerüste
\n
Implantate
Brückengerüste
\n
\n
System
Hersteller
Zirkoniumdioxidkeramik
\n
Dichtgesintert
gehippt
teilgesintert
teilgesintert
\n
ce.novation
Inocermic
\n
(Hermsdorf, D)
x
\n
Cercon
DeguDent
\n
(Hanau, D)
x
\n
Cerec
Sirona Dental Systems
\n
(Bensheim, D)
x
x
\n
DentaCAD
Hint-Els GmbH
\n
(Griesheim, D)
x
x
x
\n
Diadem
alkom digital
\n
(Luxemburg, L)
x
\n
DigiDent
DigiDent GmbH
\n
(Pforzheim, D)
x
x
x
\n
etkon
etkon AG
\n
(Gräfelfing, D)
x
x
x
\n
Everest
KaVo
\n
(Leutkirch, D)
x
x
\n
infiniDent
Sirona Dental Systems
\n
(Bensheim, D)
x
x
\n
Lava
3M Espe AG
\n
(Seefeld, D/USA)
x
\n
\n
Neo
Cynovad
\n
(Saint-Laurent, CAN)
x
\n
Precident
DCS
\n
(Allschwil, CH)
x
x
x
\n
Procera
Nobel Biocare
\n
(Köln, D/USA)
x
\n
Wol-Ceram
WOL-Dent
\n
(Ludwigshafen, D)
x
\n
Zeno Tec System
Wieland Dental+Technik
\n
(Pforzheim, D)
x
\n




