Fibröse Dysplasie des Unterkiefers
Ein 16-jähriger Patient stellte sich wegen einer seit dem neunten Lebensjahr bestehenden, aber langsam an Größe zunehmenden, derben, nicht druckdolenten Schwellung des Unterkiefers beidseits in unserer Klinik und Poliklinik für Mund-, Kiefer- und Gesichtschirurgie vor. Anamnestisch berichtete der Patient über rezidivierende Schmerzen im Bereich der Schwellung sowie über eine zum Zeitpunkt der Erstvorstellung mit 18 mm eingeschränkte Mundöffnung.
Bei der klinischen Untersuchung fiel eine knochenharte, nicht druckdolente Auftreibung vor allem der rechten Mandibula auf. Hinweise auf ein Vincent-Syndrom oder eine weichgewebliche Mitbeteiligung der Schwellung gab es keine (Abbildung 1).
In einer alio loco angefertigten Panoramaschichtaufnahme zeigte sich eine unscharf begrenzte Volumenvergrößerung besonders des rechten horizontalen Astes des Unterkiefers mit gesprenkelter Veränderung der Spongiosastruktur und partiell zystisch, partiell verdichteten Zonen unter Auflösung großer Anteile der Kortikalis (Abbildung 2). In einer ebenfalls alio loco initiierten Magnetresonanztomographie wurden ein entzündlicher Prozess besonders im Bereich der rechten Mandibula im Sinne einer chronischen Osteomyelitis sowie eine Mitreaktion der anliegenden Muskulatur bei vergrößerten regionalen Lymphknoten beschrieben. In einer zur Erstvor- stellung mitgebrachten Ganzkörper-szintigraphie wurde eine intensive Mehranreicherung des gesamten Unterkiefers ohne Überschreiten der Gelenkflächen nachgewiesen, wobei im übrigen Szintigramm keine Veränderungen auffielen (Abbildung 3).
Laborchemisch war das C-reaktive Protein mit 13 mg/l leicht erhöht, wobei die alkalische Phophatase mit 164 U/l, Leukozyten und Schilddrüsenparameter im Norm- bereich lagen.
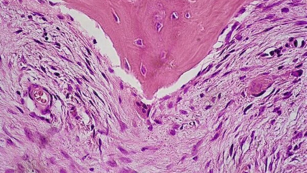
Mit der Verdachtsdiagnose einer fibrösen Dysplasie wurde der Patient im Sinne einer modellierenden Osteotomie der Mandibula operiert (Abbildung 4). Intraoperativ stellte sich der Unterkiefer zystisch durchsetzt und sehr gut durchblutet dar. Die postoperative digitale Volumentomographie zeigt noch immer die wolkige Knochenauftreibung der Mandibula bis in den aufsteigenden Ast sowie unscharf begrenzte Osteolysen (Abbildungen 5 und 6). Die histopathologische Aufbereitung erbrachte kortikospongiöses Knochengewebe mit irregulären Knochenbälkchen mit einem zelldichten spindel- artigen Proliferat mit partiell akzentuiert eingelagertem Knochengewebe – vereinbar mit der klinischen Verdachtsdiagnose einer fibrösen Dysplasie (Abbildung 7).
Diskussion
Die fibröse Dysplasie ist eine gutartige Läsion der Knochen, die sich in der Regel in den ersten Lebensdekaden manifestiert und sich durch ein meist selbstlimitierendes Wachstum auszeichnet [1]. Ein mit über 70 Prozent deutlich häufigeres monoostotisches Auftreten wird von einer polyostotischen Variante unterschieden [1]. Eine seltene Form der polyostotischen Form wird durch das McCune-Albright-Syndrom beschrieben mit zusätzlicher Pubertas praecox, dem Vorliegen von Café-au-lait-Flecken der Haut sowie weiteren Endokrinopathien. In der Pathogenese der fibrösen Dysplasie wird, sowohl für die mono- als auch für die polyostotische Variante, eine genetische Mutation des GNAS1 Genes, das für eine Untereinheit des G-Proteins kodiert, dis- kutiert, die zu einer gesteigerten c-AMP Produktion führt, die die Proliferation und Differenzierung von Osteoblasten beeinflusst, die im weiteren Verlauf keinen komplex strukturierten Lamellenknochen bilden können [2].
Die Diagnosestellung erfolgt anhand von Anamnese, Klinik, radiologischen Untersuchungsverfahren, wie der Panoramaschichtaufnahme, der digitalen Volumentomographie, der Computertomographie, der Magnetresonanztomographie oder der Szintigraphie, und schließlich der histopathologischen Untersuchung [3].
Mögliche Komplikationen im Verlauf der Erkrankung können Zahnverlagerungen mit Malokklusion und in seltenen Fällen Wurzelresorptionen aber auch Nerv- und Gefäßkompressionen und pathologische Frakturen sein. In extrem seltenen Fällen wird eine maligne Entartung beschrieben [1].
In Abhängigkeit des Gehalts an ossärem beziehungsweise fibrösem Gewebe zeigt sich radiologisch eine mehr oder weniger stark begrenzte bimssteinartige, milchglasartige Opazitätszunahme respektive zystoide Veränderung mit vergröberter Trabekelstruktur und Kortikalisausdünnung. Der Markraum ist hierbei makroskopisch durch grau-weißes
Bindegewebe ersetzt. Im histologischen Präparat findet sich ein trabekelförmiger Geflechtknochen, dem im Gegensatz zum ossifizierenden Knochenfibrom keine Osteoklasten oder Osteoblasten an-gelagert sind.
Differentialdiagnostisch müssen Osteome, ossifzierende Fibrome, Osteochondrome, Knochenzysten, Riesenzellgranulome, Osteosarkome, Exostosen und ein Morbus Paget in Betracht gezogen und durch die histologische Untersuchung abgegrenzt werden.
Die Therapie gestaltet sich ab- hängig von der Lokalisation der Erkrankung und dem Leidensdruck der Patienten als ein primär observierendes oder als ein operatives Vorgehen. Medikamentös werden Bisphosphonate zur Schmerzlinderung eingesetzt. In den meisten Fällen kommt es zum Sistieren des Läsionswachstums mit Ausreifung des Skeletts. Ziel der operativen Intervention sind die Vermeidung von Komplikationen wie Nerv- und Gefäßkompressionen, die Schmerzbeseitigung sowie die funktionelle und ästhetische Rehabilitaion des Patienten [4].
Dieser Fall verdeutlicht das langsame Wachstum eines monoostotischen Befunds mit dann einsetzender ästhetischer und schließlich funktioneller Beeinträchtigung des Patienten, wodurch sich eine Indikation zum operativen Vorgehen stellte.
Dr. Dr. Julia KarbachDr. Dr. Christian WalterProf. Dr. Dr. Wilfried WagnerKlinik und Poliklinik für Mund-, Kiefer- undGesichtschirurgie der Universitätsmedizin derJohannes Gutenberg-Universität MainzAugustusplatz 255131 MainzWalter@mkg.klinik.uni-mainz.de




