Warthin-Tumor der Glandula parotidea
Eine 64-jährige Patientin stellte sich mit einer seit über einem Jahr bestehenden, langsam wachstumsprogredienten Raumforderung präaurikulär links nach Überweisung durch einen niedergelassenen Kollegen vor (Abbildung 1).
In der klinischen Untersuchung imponierte eine derbe, nicht druckdolente, etwa pflaumengroße Schwellung im Bereich der linken Glandula parotidea. Die Haut über dem Befund war gut verschieblich und zeigte keine inspektorischen Auffälligkeiten. Schmerzen, Sensibilitätsstörungen oder eine Beeinträchtigung des Nervus facialis konnten nicht festgestellt werden.
Sonographisch zeigte sich ein im dorsocaudalen Parotispol gelegener, aus mehreren Einzelknoten bestehender, etwa 25 x 21 mm großer, glatt begrenzter im Vergleich zum umgebenden Drüsengewebe hyposonorer Befund, der ein leichtes Binnenecho und eine deutliche dorsale Schallverstärkung aufwies (Abbildung 1).
In einem zum Zeitpunkt der Erstvorstellung bereits vorliegendem CT der Kopf-Hals-Region wies die Raumforderung nur in einem marginalen Saum eine deutliche Kontrastmittelaufnahme auf, wobei die zentralen Anteile jeweils homogen waren, aber untereinander unterschiedliche Grauwerte aufwiesen (Abbildung 2).
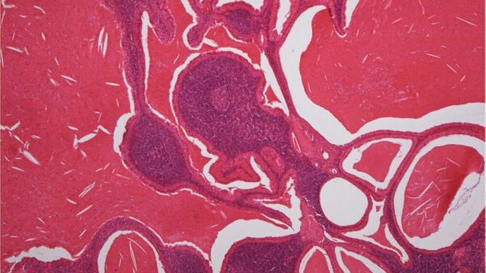
In Intubationsnarkose wurde die Raumforderung im Sinne einer lateralen Parotidektomie entfernt (Abbildung 3). Bei Anschnitt der Befunde entleerte sich teils klares, teils trübes Sekret, wobei die Schnittflächen neben zystischen, teils gelblich-bräunlich solide Anteile aufwiesen (Abbildung 4). Die histopathologische Aufbereitung des Präparats bestätigte die Verdachtsdiagnose eines Warthin-Tumors (Abbildung 5).
Der postoperative Verlauf gestaltete sich komplikationslos, sodass die Patientin nach wenigen Tagen in die ambulante Weiterbehandlung entlassen werden konnte. Hierbei werden sonographische Kontrollen durchgeführt.
Diskussion
Der Warthin-Tumor ist nach dem pleomorphen Adenom der zweithäufigste Speicheldrüsentumor [Machtens, 2000] und kommt fast ausschließlich in der Glandula parotidea zu liegen [O'Neill, 2009], wo er einen Anteil von etwa 15 Prozent ausmacht [Teymoortash et al., 2006].
Wegen der Verwechselungsgefahr zu malignen lymphatischen Erkrankungen und auch dem Lymphadenom wird in der WHOKlassifikation von der Verwendung früher synonym gebrauchter Begriffe, wie dem Zystadenolymphom, dem Adenolymphom und dem papillären Cystadenoma lymphomatosum abgeraten [Barnes et al., 2005].
Das durchschnittliche Alter zum Diagnosezeitpunkt liegt für den Warthin-Tumor bei gut 60 Jahren, wobei das vor mehreren Jahrzehnten deutlich häufigere Auftreten unter Männern (10 : 1) inzwischen nur noch eine leichte Geschlechtsbevorzugung gegenüber Frauen (1,2 bis 1,6 : 1) erkennen lässt [Barnes et al., 2005]. Erklärt wird dies durch das häufigere Auftreten des Warthin-Tumors unter Rauchern und den veränderten Rauchgewohnheiten mit einem inzwischen deutlich höherem Frauenanteil [O'Neill, 2009]. Weitere diskutierte Risikofaktoren sind Bestrahlung und eine fragliche virale Komponente mit EBV [Barnes et al., 2005].
Klinisch werden die meisten Patienten mit einer seit Monaten, langsam wachsenden, 2 bis 4 cm großen Schwellung im caudalen Parotispol vorstellig. Schmerzen werden selten berichtet. Eine Parese des Nervus facialis, bedingt durch Komprimierung oder Entzündung mit anschließender Fibrosierung, stellt die Ausnahme.
Ultraschall und Magnetresonanztomographie sind zurzeit bei Tumoren der Parotis Diagnostikum der Wahl [Bozzato et al., 2007] und ermöglichen die Bestimmung der Lokalisation, der Größe und des Perfussionsmusters der Veränderungen.
Die meist gut umschriebenen ovalen Warthin-Tumore, aus denen häufig eine klare bis bräunliche Flüssigkeit austritt, zeichnen sich histopathologisch durch eine dünne Kapsel und im Inneren durch Faltelungen mit zystischen Hohlräume aus, die von einer zweilagigen Schicht onkozytärer Epithelien ausgekleidet sind. Das Stroma enthält reichlich polyklonal, lymphatisches Gewebe mit Keimzentrumsbildung.
Bedingt durch das histologische Bild werden zwei Theorien zur Entstehung des Warthin-Tumors diskutiert: Neben der Versprengung von Drüsengewebe in intraoder periparotidale Lymphknoten wird eine duktale Zellproliferation mit sekundärer lymphatischer Infiltration beschrieben [O'Neill, 2009]. Neuere immunhistochemische Studien stützen erste Theorie [Hansen, Kirkpatrick].
Therapeutisch wird der Warthin-Tumor meist im Sinne einer lateralen Parotidektomie entfernt, eine weitere Option stellt die Enukleation der Befunde und einige wenige Autoren sehen unter bestimmten Voraussetzungen ein abwartendes Verhalten als gerechtfertigt [Thangarajah et al., 2009]. Eine Besonderheit des Warthin-Tumors ist das häufige synchrone oder metachrone Auftreten (etwa zwölf Prozent) von kontralateralen Zweitbefunden beziehungsweise eine multifokale Läsion in sechs Prozent [Teymoortash et al., 2006]. In seltenen Fällen ist eine maligne Entartung beschrieben worden [Thangarajah et al., 2009].
Dr. Maximilian KrügerDr. Dr. Christian WalterKlinik und Poliklinik für Mund-, Kiefer- undGesichtschirurgie – plastische OperationenUniversitätsmedizin derJohannes Gutenberg-Universität MainzAugustusplatz 2, 55131 Mainzchristian.walter@unimedizin-mainz.de




