Adultes Rhabdomyom der Kaumuskulatur
Rhabdomyome sind gutartige Weichgewebstumore, die von der Skelettmuskulatur ausgehen und etwa zwei Prozent der Weichgewebstumore darstellen. Der vorliegende Fall zeigt ein sehr seltenes Krankheitsbild, das in der normalen Zahnarztpraxis wohl kaum vorkommt, das aber jeder Zahnarzt kennen sollte.
Ein 38-jähriger Patient stellte sich mit einer persistierenden schmerzlosen Schwellung im Bereich der linken Wangeninnenseite in der Mund-Kiefer-Gesichtchirurgie des Universitätsklinikums Erlangen vor. Im Rahmen einer zahnärztlichen Behandlung wurde der Patient mit der Verdachtsdiagnose einer Retentionszyste (Mukozele) an unsere Klinik überwiesen. Er sagte, es sei ihm eine leichte Schwellung vor zweieinhalb Jahren aufgefallen. Das Orthopantomogramm (Abbildung 1) war unauffällig. Der Kau- und der Schluckvorgang waren nicht beeinträchtigt. Der Patient befand sich in einem guten Allgemeinzustand und es bestanden keine Begleiterkrankungen. Zu diesem Zeitpunkt lehnte der Patient jedoch eine Behandlung ab. Eineinhalb Jahre später stellte er sich erneut mit derselben Symptomatik vor. Die klinische Untersuchung zeigte eine etwa 1 cm x 1 cm große Schwellung an der Wangeninnenseite im Bereich des Planum buccale regio 34 bis 37. Die Schleimhaut war in ihrer Beschaffenheit und in ihrer Farbe un auffällig. Pal-patorisch zeigte die Schwellung eine gummiartige Konsistenz. Der Mundboden war unauffällig und die Zungen - beweglichkeit uneingeschränkt. Der Patient hatte ein komplett bezahntes Gebiss. Die Zähne waren konservierend und prothetisch versorgt. Im Bereich der linken Tri geminusäste gab es keine Zeichen einer Hypästhesie beziehungsweise einer Parästhesie.
Vorgehen und Diagnose
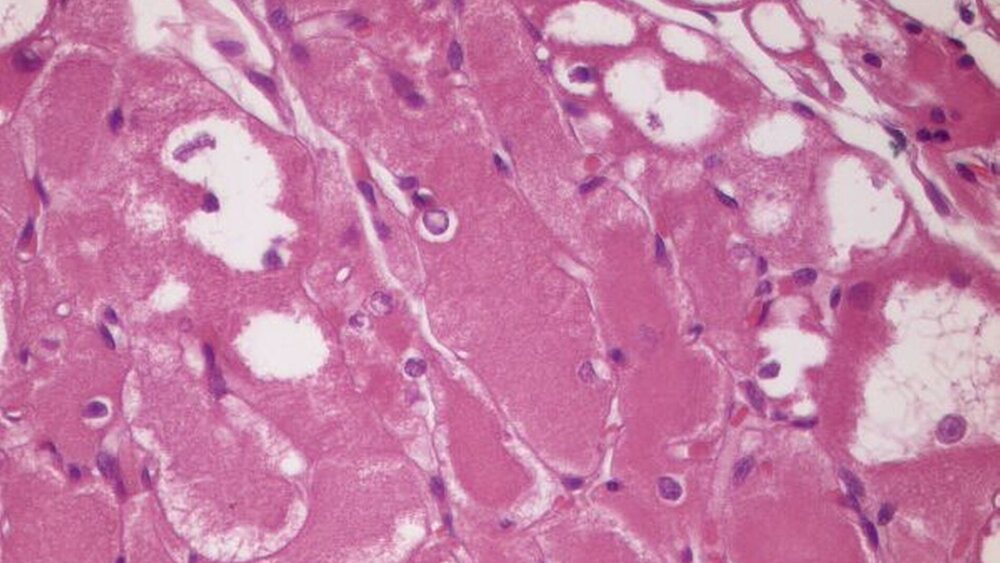
Mit der vorläufigen Diagnose einer Retentionszyste wurde die Raumforderung unter Lokalanästhesie in toto entfernt. Während des chirurgischen Eingriffs konnte man klar erkennen, dass die Geschwulst solide, eingekapselt und klar abgrenzbar von Nachbarstrukturen war (Abbildungen 3 und 4). Die histopathologische Aufarbeitung ergab ein adultes Rhabdomyom der Kaumuskulatur (Abbildungen 5 und 6).
Eine Bildgebung mittels einer Magnetresonanztomographie wurde für sechs Monate post operationem zur Kontrolle vereinbart. Beim Kontrolltermin bestand klinisch bereits der Verdacht auf ein Lokalrezidiv aufgrund einer deutlich tastbaren Schwellung im ehemaligen Operationsgebiet. Das Magnetresonanztomogramm konnte aufgrund der ausgeprägten Metallartefakte nicht beurteilt werden. Daher wurde ein Computertomogramm des Halses mit Kontrastmittel empfohlen. Dies verhärtete den Verdacht auf ein Lokalrezidiv perimandibulär links (Abbildung 2).
Daraufhin wurde der Patient erneut stationär einbestellt. In Intubationsnarkose erfolgte transoral der Zugang im Bereich der alten Narbe regio 33 bis 37. Der histopathologische Befund ergab ein Rezidiv des vorbekannten adulten Rhabdomyoms. Der Patient konnte am fünften postoperativen Tag entlassen werden.
Aufgrund des Rezidivgeschehens wurden engmaschige Kontrollen vereinbart. Die ersten zwei Kontrollen (erster und zweiter postoperativer Monat) erbrachten keinen erneuten Anhalt auf ein Rezidiv.
Differentialdiagnosen
Die Wangeninnenseite beziehungsweise das Planum buccale kann von zahlreichen pathologischen Veränderungen betroffen sein. Diese können entwicklungsbedingt entzündlichen oder neoplastischen Ursprungs sein. Kongenitale Läsionen wie vaskuläre Malformationen oder das Lymphangiom können in dieser Lokalisation auftreten. Beide Erkrankungen treten aber vor allem bei Kindern auf. Rund 90 Prozent der Lymphangiome des Kopf-Hals-Bereichs werden durchschnittlich in einem Alter von zwei Jahren diagnostiziert [10]. Sie kommen in einer großen Bandbreite an äußeren Erscheinungsbildern vor. Von kleinen varikösen bis zu großen bläulichen oder rötlichen Raumforderungen, die riesige Dimensionen annehmen und bis zur Entstellung führen können [11, 12]. Jedoch sind solche Läsionen nicht typisch bei einem älteren Patienten und man würde ein anderes klinisches Erscheinungsbild erwarten.
Infektionen und Entzündungen der Wangenschleimhaut können ebenfalls eine Schwellung herbeiführen. Eine akute Infektion, zum Beispiel eine akute Sialadenitis, die jedoch mit Fieber, Schmerzen und Unwohlsein einhergeht, wurde jedoch aufgrund des chronischen Zustands des Prozesses ausgeschlossen. Eine chronische Sialadenitis würde sich durch Remission und Exazerbation darstellen [11, 12, 13]. Beide Varianten der Sialadenititis kommen vor allem in der sechsten Lebensdekade vor [4]. Zahlreiche neoplastische Prozesse können eine Schwellung der Wangenschleimhaut hervorrufen. Das pleomorphe Adenom ist der häufigste Tumor der Speicheldrüsen. Über 90 Prozent dieser Tumore kommen in der Glandula parotis und zehn Prozent in den kleinen Speicheldrüsen vor. Bei den kleinen Speicheldrüsen ist am häufigsten der Gaumen befallen, gefolgt von Lippen und Wange. Andere seltene Lokalisationen sind Rachen, Mundboden, Zunge, Tonsillen, Pharynx, Retromolargegend und Nasenhöhle. Ein intraorales pleomorphes Adenom der Wange ist extrem selten, sollte aber dennoch in die differentialdiagnostischen Überlegungen einer Wangenschwellung mit eingeschlossen werden [14].
Die häufigsten malignen Neoplasien der Speicheldrüsen sind das Mukoepidermoidkarzinom und das adenoidzystische Karzinom [11]. Im Falle eines malignen Geschehens werden oft die angrenzenden Strukturen durch den Tumor infiltriert. Das adenoidzystische Karzinom wächst auch zusätzlich in benachbarte Nervenstrukturen ein. Klinisch zeigt sich das in einer Hypästhesie.
Bei einer Schwellung im Kopf-Hals-Bereich sollte man auch immer an ein Hodgkin- beziehungsweise an ein Non-Hodgkin-Lymphom denken [15, 16]. Obwohl Lymphome vor allem bei Kindern und jungen Erwachsenen vorkommen, können sie aber auch bei älteren Patienten auftreten [15, 17].
Das zweieinhalbjährige asymptomatische Wachstum, das Fehlen jeglicher neurologischer Ausfälle und die ausbleibende Infiltration von angrenzenden Strukturen sowie die weiche Konsistenz deuten auf einen gutartigen Prozess hin. Außerdem lässt die normale Beschaffenheit der Schleimhaut auf einen benignen Tumor mesenchymalen Ursprungs schließen, wie ein Lipom, Leiomyom, Schwannom oder einen Tumor, der seinen Ursprung in den Speicheldrüsen hat [11, 12]. Das Lipom der Mundhöhle ist sehr selten. Mit 50 Prozent aller Fälle ist die Wangenschleimhaut die Prädilektionsstelle, aber auch der Mundboden kann befallen sein. Typischerweise präsentiert sich das Lipom als langsam wachsende Masse, die mit normaler Schleimhaut überdeckt ist und einen gelblichen Schimmer hat. Betroffen sind vor allem Personen mittleren Alters. Es besteht keine geschlechtliche Prädilektion [11, 12].
Ein maligner Weichgewebstumor kommt hier nicht in Frage, da er sich oft durch schnelles Wachstum, eine Fixierung an benachbarte Strukturen und eine Ulzeration der bedeckenden Schleimhaut auszeichnet [11, 18].
Rhabdomyome sind seltene gutartige Tumore mit skelettmuskulärer Differenzierung. Sie werden klassifiziert in kardial und extrakardial [19, 20]. Kardiale Rhabdomyome befallen die myokardialen Fibrillen und es kommt zu einer diffusen Verformung des Herzmuskels. Sie werden allgemein als Hamartome angesehen und sind assoziiert mit der tuberösen Sklerose [19, 21].
Die Anzahl der in der Literatur beschriebenen extrakardialen Rhabdomyome wird seit der ersten Beschreibung im Jahr 1897 mit bislang nur 160 Fällen beziffert [20, 22, 23]. Extrakardiale Rhabdomyome werden in drei Gruppen unterteilt: adulte, fetale und genitale. Die Mehrzahl der extrakardialen Rhabdomyome sind vom adulten Typ und kommen im Kopf-Hals-Bereich vor [10, 20, 22]. Der fetale Typ, der auch vor allem im Kopf- Hals-Bereich vorkommt, wird als Entwicklungsanomalie beschrieben [20, 24]. Der adulte Typ kommt meist um das 50. Lebensjahr vor und es überwiegt das männliche Geschlecht mit 4:1 [22, 23]. Der genitale Typ tritt gewöhnlich solitär beim weiblichen Geschlecht vorwiegend in der Vagina auf [23, 25].
Rezidivraten werden von Smythe et al. mit 42 Prozent beschrieben [2]. Extrakardiale Rhabdomyome haben kein malignes Potenzial. Rezidive entstehen mutmaßlich aufgrund einer inkompletten Resektion.
Rhabdomyome treten gewöhnlich als langsam wachsende und schmerzlose zervikale Schwellungen auf. Einige der in diesem Zusammenhang in der Literatur aufgeführten Symptome beschreiben eine Obstruktion der Luftwege, Hörverlust, Hämoptysen, Dysphagie, Heiserkeit und Odynophagie. Histologisch unterscheidet sich der adulte vom fetalen Typ durch die klarere Struktur mit großen ovoiden oder polygonalen Zellen mit granulärem eosinophilem Zytoplasma. Manche Zellen zeigen im Zytoplasma Akkumulationen von Glykogen [22, 26, 27]. Gewöhnlich gibt es eine große Anzahl an Blutgefäßen, wenig Stroma und eine scharf abgegrenzte Kapsel [19].
Histologische Befunde können durch Routinefärbungen mit Hämatoxylin und Eosin ausreichend charakterisiert werden. Immunhistochemische Marker wie Desmin, Myoglobin und muskelspezifisches Aktin können manchmal wichtig sein, um die Diagnose zu bekräftigen [22, 28]. Die Immunreaktivität für Vimentin, S-100 Protein, Leu-7 ist unterschiedlich. Aber es besteht keine Immunreaktivität für epitheliale Marker, Chromogranin, Synaptophysin, saures Gliafaserprotein (GFAP) oder CD68 (KP-1) [5].
Die präzise Erscheinungsform des adulten Rhabdomyoms ist trotz der gut bekannten Histogenese ungewiss. Wegen der Mischung verschiedener Zellen und seinem langsamen Wachstum suggerieren manche Autoren, dass es sich hierbei nicht um ein echtes Neoplasma, sondern um eine reaktive Läsion oder um ein Hamartom handelt [6]. Allerdings konnten neueste Studien in einigen Rhabdomyomen die Existenz klonaler chromosomaler Aberrationen zeigen, dies würde darauf hinweisen, dass es sich in der Tat um echte gutartige Neoplasien handelt [7, 8].
Die präoperative Diagnose des extrakardialen Rhabdomyoms ist schwierig. Das Magnetresonanztomogramm ist aufgrund seiner guten Weichgewebsdarstellung die Bildgebung der Wahl. Der Tumor ist geringfügig hyperintens und isointens für Muskulatur bei T1- und T2-gewichteten magnetresonanztomographischen Darstellungen. Die Signalintensität ist an der gesamten Läsion homogen und bei Gadolinium injizierten Kontrastmittel kann es zu einem leichten Enhancement kommen. Jedoch ist gerade im Bereich der Kiefer aufgrund starker Metallartefakte von metallhaltigem Zahnersatz die Befundung stark eingeschränkt und man muss wie im vorliegenden Fall eine Computertomographie durchführen.
Die Behandlung der ersten Wahl für Rhabdomyome ist die chirurgische Exzision. Bei kleinen, gutartigen, gut umschriebenen und nonhypervaskularisierten Tumoren sollte der transorale Zugang gewählt werden [9]. Die Hauptvorteile des transoralen Zugangs sind erstens die geringere Inzidenz von temporären Tracheotomien und zweitens das Vermeiden zervikaler Narbenbildung. Ein parapharyngeales oder größeres intraorales Rhabdomyom muss gegebenenfalls von transzervikal beziehungsweise submandibulär exzidiert werden.
Ein multifokales Vorkommen [29, 30] und lokale Rezidive [22, 31] sind möglich und bedürfen einer längerfristigen Nachsorge [22, 23]. Ein Rezidiv ist gewöhnlich mit einer inadäquaten Resektion assoziiert und nicht mit einem aggressiven lokalen biologischen Verhalten [22, 27, 31].
Zusammenfassung
Rhabdomyome sind sehr seltene Tumore, die vor allem im Kopf-Hals-Bereich angesiedelt sind. Sie sollten bei Schwellungen in diesem Bereich mit in die differentialdiagnostischen Überlegungen einbezogen werden. Sie können identifiziert werden durch charakteristische Merkmale und spezifische immunhistochemische, histologische Marker wie zytoplasmatische Positivität für muskelspezifisches Aktin, Desmin und Myoglobin. Histologisch zeichnen sich Rhabdomyome durch große, polygonale skelettale Muskelzellen mit glykogenreichem Zytoplasma und extensiver Vakuolisierung aus. Rhabdomyome sind hauptsächlich von Granularzelltumoren (Abrikossoff- Tumor) abzugrenzen. Rezidive wurden zwar beschrieben, jedoch ist eine maligne Entartung nicht dokumentiert. Die komplette chirurgische Exzision stellt die Therapie der Wahl dar.
Dr. Tilo SchlittenbauerDr. Christian SchmittDr. Dr. Falk WehrhanKonstantinos MitsimponasProf. Dr. Dr. Karl Andreas SchlegelMund-Kiefer-Gesichtschirurgische KlinikUniversität Erlangen-NürnbergGlückstr. 1191054 Erlangentilo.schlittenbauer@uk-erlangen.de
PD Dr. Abbas AgaimyProf. Dr. Kerstin AmannProf. Dr. Ralf Joachim RiekerPathologisches InstitutUniversität Erlangen-NürnbergKrankenhausstr. 1291054 Erlangen




