Langerhans-Zell-Histiozytose
Steffen Müller, Wolfram Kleeberger, Martin Gosau, Torsten Reichert
Ein vierjähriger Junge wurde uns von den Kollegen der Pädiatrie zur Mitbeurteilung einer unklaren, wenig schmerzhaften Schwellung am Unterkiefer links vorgestellt. Anamnestisch war von der Mutter zu erfahren, dass er drei Wochen zuvor beim Spiel von einem Fußball am Unterkiefer getroffen wurde und die Schwellung seither zugenommen habe. Eine bei Verdacht auf ein entzündliches Geschehen durch einen niedergelassenen Kollegen verordnete antibiotische Therapie hatte keine Besserung ergeben, woraufhin durch den Kinderarzt die stationäre Einweisung in die Klinik erfolgte. Klinisch zeigte sich ein angehobenes Vestibulum im Seitenzahnbereich links mit einer deutlich sichtbaren und derben, paramandibulären Schwellung. Die Mundöffnung war auf eine maximale Schneidekantendistanz von drei Zentimetern reduziert. Die Erhebung des Zahnstatus ergab ein unauffälliges Milchzahngebiss. Die sonografische Untersuchung zeigte multiple leicht vergrößerte Lymphknoten links submandibulär sowie eine Kortikalisunterbrechung der Mandibula im lateralen Kieferwinkelbereich. In der daraufhin veranlassten Kernspintomografie (Abbildungen 1a und 1b) zeigte sich eine tumorsuspekte, circa 2 cm x 2,5 cm messende Raumforderung im Bereich des Kieferwinkels links mit Kortikalisdestruktion. In dem in Ergänzung angefertigten Orthopantomogramm zeigt sich eine eher basal gelegene, wabige knöcherne Struktur von regio 36 bis zum Kieferwinkel links (Abbildung 2).
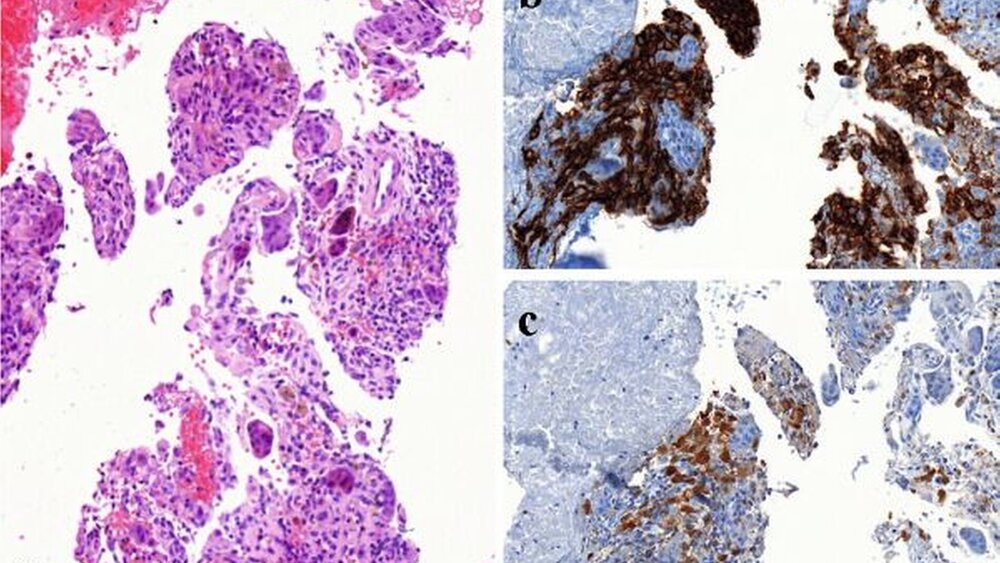
Die in Intubationsnarkose durchgeführte Biopsie der Raumforderung ergab bei der histopathologischen Untersuchung kortikospongiöses Gewebe mit Zeichen reaktiver Knochenbildung sowie eine zellreiche, riesenzellhaltige Proliferation. Insgesamt war dieser Befund in Korrelation mit der radiologischen Bildgebung gut mit einer aneurysmatischen Knochenzyste vereinbar. In Vollnarkose erfolgte nun die operative Exkochleation und Kürettage der zystischen Struktur unter Schonung des Nervus alveolaris inferior (Abbildung 3). Das zur histopathologischen Untersuchung eingesandte Gewebe ergab nach referenzpathologischer Mitbeurteilung in Abweichung zum Vorbefund die Diagnose einer Langerhans-Zell-Histiozytose. Hinweisend für diesen Befund war im vorliegenden Fall die in den histologischen Schnitten erkennbare immunhistochemische Koexpression von S100 und CD1a (Abbildung 4).
Nach Erhalt des Befunds wurde der Junge zum Ausschluss weiterer Manifestationsorte der Langerhans-Zell-Histiozytose erneut in der Kinderklinik aufgenommen. Die durchgeführten klinischen Untersuchungen wie Röntgenaufnahme der Lunge und Ganzkörperkernspintomografie ergaben keinen Anhalt für weitere Läsionen.
Diskussion
Die Langerhans-Zell-Histiozytose (Synonym: Histiozytose X) ist eine seltene Erkrankung, die durch eine klonale Proliferation dendritischer Zellen gekennzeichnet ist [Windebank and Nanduri, 2009]. Phänotypisch ähneln diese Zellen den Langerhans-Zellen der Haut und der Schleimhaut.
Die genaue Ätiologie der Erkrankung ist nicht geklärt. Klinisch kann die Ausdehnung von einer isolierten knöchernen Läsion bis hin zu einem generalisierten Multiorganbefall reichen [Becker et al., 2003]. Trotz der klonalen Proliferation der Zellen gibt es keinen eindeutigen Beweis für eine Malignität. Die Inzidenz der Erkrankung liegt bei 1:200 000. Sie tritt meist bei Kindern auf. Das männliche Geschlecht ist häufiger betroffen als das weibliche, das Verhältnis liegt bei 1,3:1 [Grois et al., 2008].
Die Langerhans-Zell-Histiozytose wird in zwei Untergruppen unterteilt, in ein monosystemisches und ein multisystemisches Erkrankungsbild (Tabelle):
Die monosystemische Form zeigt eine Krankheitsmanifestation innerhalb eines Organs oder Organsystems. Hierbei wird nochmals in unifokale und multifokale Läsionen unterschieden. Die unifokale Variante – früher auch als eosinophiles Granulom bezeichnet – tritt hauptsächlich im knöchernen Bereich (69 Prozent) auf. Am häufigsten ist hierbei der Befall der Schädelknochen (28 Prozent), gefolgt vom Femur, der Hüfte und den Rippen. Seltener zeigt sich ein unifokaler Befall eines Lymphknotens, der Haut oder im Bereich der Lunge [Howarth et al., 1999]. Die multifokale Variante – auch als Hand-Schüller-Christian-Krankheit bezeichnet – stellt eine chronische Form der Erkrankung dar und betrifft in fast allen Fällen das knöcherne Skelett. Die Patienten weisen häufig die als Hand-Schüller-Christian-Trias bezeichnete Kombination aus Knochenläsionen, Diabetes insipidus und Exophthalmus, bedingt durch einen Befall der Hypophyse und der Orbita, auf.
Die multisystemische Form (Abt-Letterer- Siwe-Krankheit) stellt eine rasch voranschreitende Erkrankung mit Befall multipler Organe und Organsysteme wie Knochen, Haut, Leber, Milz, Lympknoten durch die Langerhans-Zell-Proliferate dar. Die Prognose der multisystemischen Form ist äußerst schlecht, die Fünf-Jahres-Überlebensrate liegt trotz aggressiver Chemotherapie bei lediglich 50 Prozent.
Die Symptome der Erkrankung sind meist unspezifisch und reichen von Symptomlosigkeit über diskrete lokale Zeichen bis zu generalisierten Beschwerden wie Gewichtsverlust, Fieber und Panzytopenie. Lokal treten am häufigsten eine Schwellung und Schmerzen in den betroffenen Regionen auf. Im Kopfbereich lassen sich Symptome wie Otorrhö, Zahnlockerungen, Exophthalmus oder pathologische Frakturen beobachten [Schmidt et al., 2008; Madrigal-Martinez-Pereda et al., 2009].
Die sichere Diagnosestellung einer Lan- gerhans-Zell-Histiozytose beruht auf der histopathologischen Untersuchung einer entnommenen Gewebsbiopsie. Charakteristisch hierbei sind der elektronenoptische Nachweis von sogenannten Birbeck-Granula und der immunhistochemische Nachweis von CD1a-Antigen auf der Zellober fläche, S-100 und Vimentin. Morphologisch zeigen sich in der konventionellen Lichtmikroskopie die typischen Langerhans-Zellen, wobei die Anzahl mit dem Alter der Läsionen variiert [Henry, 2005].
Differenzialdiagnostisch kam bei unserem kleinen Patienten zunächst eine entzündliche Genese der Schwellung in Betracht. Die klinische Untersuchung sowie die konventionelle Röntgendiagnostik schlossen einen odontogenen Fokus aus. Die für die in der radiologischen Bildgebung nachgewiesenen Osteolysen ebenfalls infrage kommenden Prozesse wie Zysten, aber auch benigne oder maligne Tumore (zum Beispiel Osteosarkom, Ewing-Sarkom) konnten histopathologisch ausgeschlossen werden. Insbesondere die Unterscheidung zur aneurysmatischen Knochenzyste bereitete in diesem Fall dem Pathologen aufgrund des Gehalts an osteoklastären Riesenzellen und der septalen Gewebskonfiguration Schwierigkeiten (Abbildung 4), konnte schließlich jedoch nach den entsprechenden immunhistochemischen Untersuchungen abgegrenzt werden [Henry, 2005; Jundt, 2005].
Bei Erstnachweis einer Manifestation einer Langerhans-Zell-Histiozytose ist ein ausgedehntes Untersuchungsprogramm (Blutuntersuchung, Röntgenthorax, radiologischer Skelettstatus, gegebenenfalls Skelettszintigrafie, möglicherweise Ganzkörper-Kernspintomografie) zum Ausschluss einer multifokalen oder multisystemischen Variante erforderlich [Hoover et al., 2007].
Patienten mit unifokalen Manifestationen haben eine gute Prognose. Therapeutisch kommt bei lokalisierten Manifestationen eine intraläsionale Kortikoidapplikation in Betracht [Putters et al., 2005]. Da die konservative Behandlung bei unifokalen Läsionen zur Restitutio ad integrum führt, ist eine operative Entfernung in der Regel nur dann sinnvoll, wenn sie mit der histopathologischen Diagnosefindung in Zusammenhang steht und das Risiko für den chirurgischen Eingriff gering ist. Oft ist auch die Biopsie als Anreiz für die Heilung bei isolierten Knochenherden ausreichend [Davis and Rice, 2004; Grois et al., 2008]. Bei isoliertem Hautbefall kann eine Spontanheilung eintreten, in diesen Fällen wird der Befund oft lediglich regelmäßig kontrolliert. Die Strahlentherapie ist insgesamt nur sehr selten und bei speziellen Lokalisationen indiziert (wie zum Beispiel an der Wirbelsäule). Bei multifokalem Befall und insbesondere bei multisystemischem Befall wird eine systemische Chemotherapie durchgeführt, wobei sich als Standard eine Kombination aus Prednisolon und Vinblastin etabliert hat [Allen and McClain, 2007].
Dr. Dr. Steffen Müller
PD Dr. Dr. Martin Gosau
Prof. Dr. Dr. Torsten Reichert
Klinik und Poliklinik für Mund-, Kiefer- und Gesichtschirurgie
Universität Regensburg
Franz-Josef-Strauss-Allee 11
93053 Regensburg
steffen.mueller@klinik.uni-regensburg.de
Dr. Wolfram Kleeberger
Institut für Pathologie
Universität Regensburg
Franz-Josef-Strauss-Allee 11
93053 Regensburg
Fazit für die Praxis
• Erst die histopathologische Diagnose lässt die genaue Zuordnung von zystischen knöchernen Läsionen zu.
• Bei Nachweis einer Manifestation einer Langerhans-Zell-Histiozytose ist ein ausgedehntes Untersuchungsprogramm (Blutuntersuchung, Röntgenthorax, radiologischer Skelettstatus, und mehr) zum Ausschluss einer multifokalen oder multisystemischen Variante erforderlich.
• Die Prognose und Therapie der Langerhans-Zell-Histiozytose hängen vom Befallsmuster (monosystemisch unifokal, monosystemisch multifokal, multisystemisch) ab.




