Erfahrungen mit neuen Werkstoffen
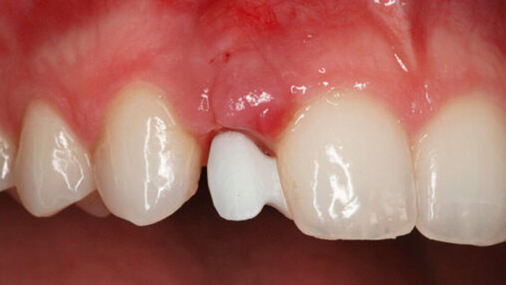
Bei den angekündigten Behandlungsfällen im Seminar der AG Keramik kommen zahnfarbene, biologisch verträgliche Restaurationswerkstoffe wie Oxidkeramik, Lithium-Disilikat, zirkonverstärktes Lithiumsilikat, Hybrid- und Verbundkeramik mit Polymerdotierung zum Einsatz, die sich in der Praxis bewährt haben. Damit folgen die Behandler dem Trend zur „Ein-Werkstoff-Versorgung“, das heißt, dass prothetische Restaurationen monolithisch mit anatoformer Morphologie ausgeführt werden. Damit können Keramikwandstärken und folglich der Substanzabtrag reduziert, das Chippingrisiko – besonders auf implantatgetragenen Kronen – gesenkt und Bruxer vollkeramisch versorgt werden. Zudem bietet die computergestützte Fertigung einen standardisierten und jederzeit reproduzierbaren Workflow. Frankfurt wird hier neue Wegzeichen für die Zukunft setzen. Das Foto zeigt einen Lückenschluss mit Ein-Flügel-Brücke (hier noch unverblendet), mittels Adhäsivtechnik.




