Paramandibuläres Lipom
Der Patient gab keinerlei Beschwerden, insbesondere keine Schmerzen an, wünschte aber aufgrund der zunehmenden Größe eine Abklärung und die Entfernung des betroffenen Gewebes. Die allgemeine Anamnese erwies sich als unauffällig, relevante Grunderkrankungen und eine regelmäßige Medikamenteneinnahme lagen nicht vor.
Die klinische Untersuchung des Patienten bestätigte das Vorliegen einer druckindolenten, weichen und verschieblichen Schwellung paramandibulär rechts, die sowohl von extra- als auch von intraoral palpabel war. Die Zähne im Bereich des Unterkiefers rechts erwiesen sich als sensibel (Testung mit Kohlendioxidschnee). Das angefertigte Orthopantomogramm ergab keinen Hinweis auf das Vorliegen einer knöchernen Arrosion des Unterkiefers.
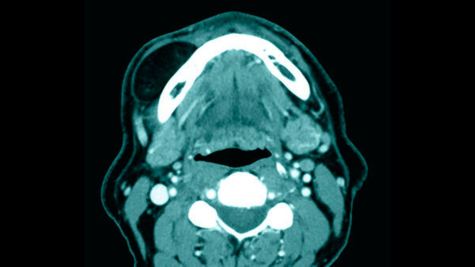
Die initiierte Computertomografie mit Kontrastmittel ergab das Vorliegen einer scharf begrenzten Raumforderung im Bereich der paramandibulären Loge rechts mit einer Ausdehnung von 3,5 cm x 1,5 cm x 4 cm. Nach ausführlicher Aufklärung des Patienten über die vorliegenden Befunde sowie über die möglichen therapeutischen Alternativen erfolgte die gemeinsame Entscheidung zur Entfernung der Raumforderung im Rahmen eines tagesstationären Eingriffs in Intubationsnarkose. Der Eingriff wurde vom Patienten komplikationslos toleriert. Die histologische Aufarbeitung des eingesandten Gewebes bestätigte das Vorliegen eines Lipoms. Hinweise für Malignität ergaben sich nicht. Im Rahmen der letzten ambulanten Nachsorgeuntersuchung des Patienten (drei Jahre postoperativ) zeigten sich reizlose Narbenverhältnisse im Bereich des Unterkiefervestibulums rechts.
Diskussion
Schmerzlosen, größenprogredienten Schwellungen im Kopf-Hals-Bereich können zahlreiche unterschiedliche Differenzialdiagnosen zugrunde liegen. Während die klinisch extrem häufigen dentogenen entzündlichen Veränderungen, insbesondere lokale Infiltrate und Abszesse, meist durch das Vorliegen der klassischen Entzündungszeichen Rötung, Schwellung, Schmerz, Überwärmung und eingeschränkter Funktion (rubor, tumor, dolor, calor und functio laesa) gekennzeichnet sind, können schmerzlosen größenprogredienten Raumforderungen im Kopf-Hals-Bereich unterschiedliche Entitäten zugrunde liegen [Ehrenfeld et al., 2011].
Hierfür kommen insbesondere gutartige Tumoren der Weichgewebe wie Lipome, Myome, Fibrome sowie Lymphknotenschwellungen unterschiedlicher Ätiologien und Pathologien der kleinen Speicheldrüsen wie Speichelretentionszysten und gutartige Speicheldrüsentumoren infrage [Neville et al., 2009]. Hinzukommend gilt es jedoch auch, – insbesondere bei Größenprogredienz – die seltenen malignen Veränderungen in differenzialdiagnostische Überlegungen einzubeziehen [Kim et al., 2013]. Lipome stellen häufige mesenchymale Neoplasien dar, wobei diese meist im Bereich des Rumpfes und der proximalen Anteile der Extremitäten auftreten.
Intraorale Manifestationen sind deutlich seltener, wobei auch hier das Auftreten im Bereich der Wangenschleimhaut und im bukkalen Vestibulum beobachtet wird. Einige dieser Läsionen stellen hierbei keine echten Lipome, sondern Herniationen des Bichat’schen Wangenfetts durch den Musculus buccinator dar [Hines et al., 2006]. Deutlich seltener werden Lipome im Bereich der Zunge und im Bereich des Mundbodens beobachtet [Raj et al., 2014].
Im Rahmen der klinischen Untersuchung stellen sich Lipome üblicherweise als weiche, nicht druckdolente und verschiebliche sowie gelegentlich gestielte Veränderungen dar. Da Lipome zunächst häufig asymptomatisch sind, stellen sich die Patienten oft erst bei Größenprogredienz beziehungsweise bei Erreichen einer ästhetisch oder funktionell beeinträchtigenden Größe vor. Histologisch bestehen Lipome aus reifen Fettzellen, die sich kaum vom umgebenden normalen Fettgewebe unterscheiden. Lipome sind häufig gut begrenzt und können eine feine bindegewebige Kapsel aufweisen. Neben den typischen Lipomen kommen auch Angiolipome mit zahlreichen kleinen Blutgefäßen [Shah et al., 2014], pleo- morphe und intramuskuläre Lipome vor, wobei letztere ein leicht infiltratives Wachstumsmuster aufweisen können [Allagui et al., 2014].
Die adäquate Behandlung eines Lipoms besteht in der vollständigen chirurgischen Entfernung im Sinne einer lokalen Exzision, beziehungsweise wie im vorliegenden Fall im Sinne einer Exstirpation [Lau et al, 2014]. Die entsprechende chirurgische Entfernung dient hierbei insbesondere der histopathologischen Diagnosesicherung sowie der Behandlung beziehungsweise Vermeidung von ästhetischen beziehungsweise funktionellen Beeinträchtigungen. Rezidive treten hierbei nur sehr selten auf, dennoch wird eine klinische Nachkontrolle empfohlen.
PD Dr. Dr. Sven Otto
ZA Egon Burian
Dr. Matthias Tröltzsch
PD Dr. Susanna Müller
Prof. Dr. Dr. Michael Ehrenfeld
Klinik und Poliklinik für Mund-, Kiefer- und Gesichtschirurgie
Ludwig-Maximilians-Universität
Lindwurmstr. 2a, 80337 München
<link url="-" target="new-window" url-fragment="" seo-title="" follow="follow">Sven.Otto@med.uni-muenchen.de













