Würzburger Zahnmedizinstudent gewinnt Global Clinical Case Contest
Im parodontal geschädigten Gebiss kann die Ästhetik durch Verlust der Interdentalpapillen oder Zahnfehlstellungen beeinträchtigt sein. Direkte Aufbauten aus Komposit ermöglichen Zahnformkorrekturen wie das Schließen schwarzer Interdentaldreiecke oder – in Kombination mit präparativen Maßnahmen – auch Zahnstellungskorrekturen.
Ausgangssituation
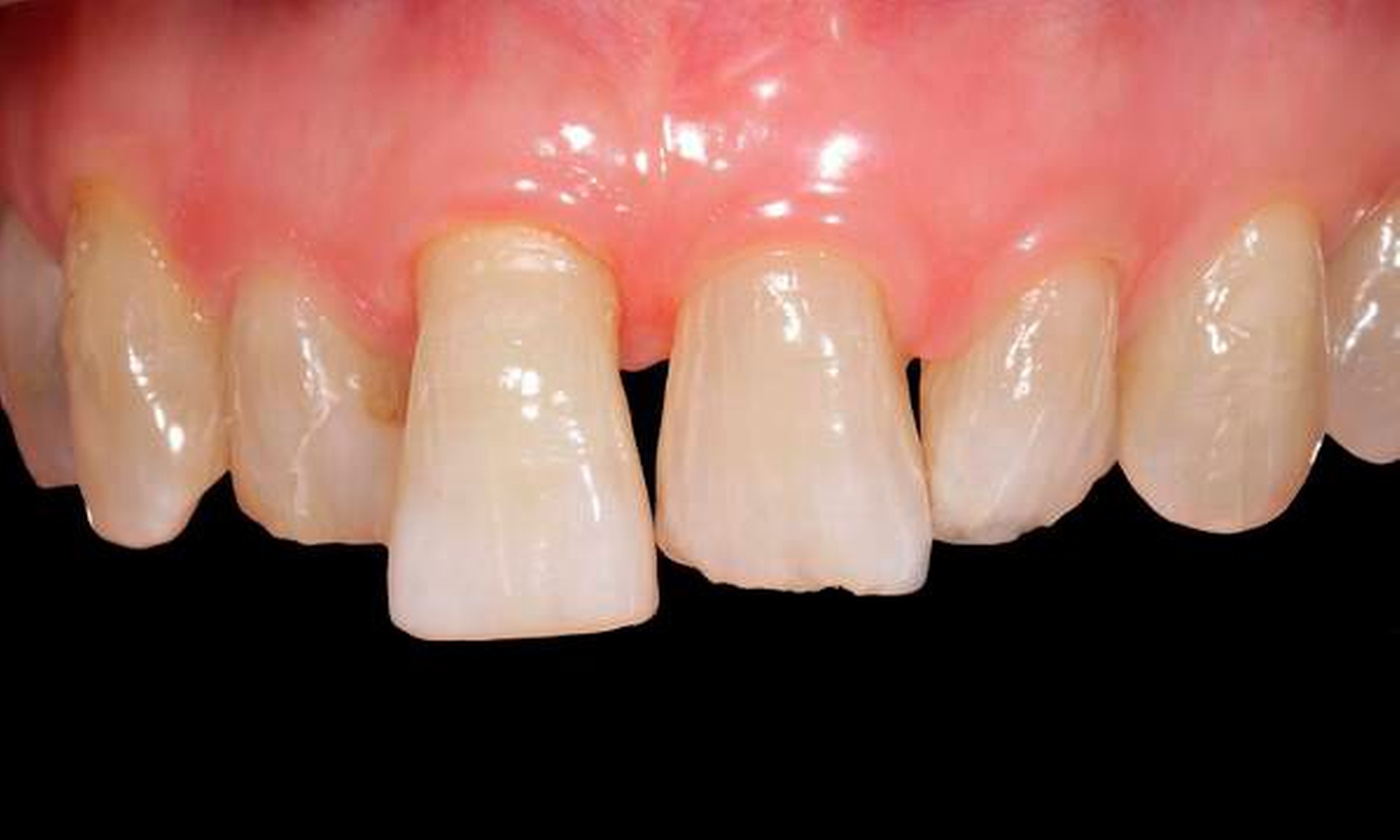
Eine 72-jährige Patientin ist mit dem Erscheinungsbild ihrer Oberkiefer Frontzähne unzufrieden. Die Ästhetik ist durch Zahnstellungsänderungen, verbunden mit ungleichmäßigem Verlauf der Inzisalkanten und partiellen Verlust der Interdentalpapillen, beeinträchtigt (Abbildungen 2 und 3). Aufgrund eines regelmäßigen parodontalen Recalls bei gleichzeitig guter Mundhygiene liegen bei ihr eine stabile parodontale Situation und eine reizfreie Gingiva vor.
Der gelockerte Zahn 12 wurde im Zuge der Parodontalbehandlung mittels Komposit-Schienung an Zahn 11 fixiert. Die Zahnkrone 11 ist elongiert und weist einen labialen Kippstand auf. Die breite Lücke zwischen Zahn 12 und 11 ist für die Patientin zwar gut zu reinigen, jedoch ästhetisch unbefriedigend.
In Absprache mit der Patientin und unter Berücksichtigung der Behandlungskosten fiel die Entscheidung für eine Therapie mit minimalinvasiven direkten Kompositrestaurationen.
Analyse von Zahnform und -farbe
Anhand von Situationsmodellen wurden die Ist-Situation vermessen (Abbildung 1) und das Zielergebnis anhand der bekannten Grundregeln der Frontzahnästhetik in Form eines Wax-ups definiert (Abbildung 4). Ein gleichmäßiger Zahnbogen sollte durch additive Maßnahmen an 12, 21 und 22 und durch subtraktive Maßnahmen an 11 erfolgen.
Unter Beachtung des Schneidekantenverlaufs der Oberkieferzähne in Bezug zur Unterlippe, der Relation zwischen Länge und Breite der Zahnkronen und des Größenverhältnisses der Frontzähne zueinander ergab sich ein harmonisches Erscheinungsbild. Die so erschaffenen Zahnformen wurden anschließend mithilfe eines Schlüssels aus Silikon-Knetmasse festgehalten. Der Silikonschlüssel wurde mit einem Skalpell so beschnitten, dass nur der palatinale und inzisale Anteil erhalten blieb.
Zu Beginn der Behandlung erfolgte die Farbbestimmung. Dazu wurden die Dentinmasse an den zervikalen Bereich des Zahns sowie die Schmelzmasse an den inzisalen Bereich des Zahns angepasst. Aufgrund der nicht so starken Transluzenz entschieden wir uns für die Kombination von geeigneter Dentin- und Schmelzmasse (ceram.x duo D3 und E2) mit dem Universalkomposit ceram.x universal A3 (Dentsply Sirona Restorative). Zur Simulation der Schmelz-risse der Ober- und Unterkieferfront wurde zusätzlich weiße Malfarbe verwendet.
Trockenlegung und Zahnkonditionierung
Die Kompositrestaurationen erfolgten zur absoluten Trockenlegung unter Kofferdam. Durch Zahnseideligaturen wurden die Frontzähne vollständig isoliert und der Kofferdam bis zum Gingivasaum verdrängt. Nach Konditionierung mit 36-prozentiger Phosphorsäure (DeTrey Conditioner 36, Dentsply Sirona Restorative) erfolgte die Applikation des Einflaschen Etch&Rinse Adhäsivsystems (Prime&Bond XP, Dentsply Sirona Restorative).
Klasse-V-Restaurationen an 13 und 23
Die insuffizienten Klasse-V-Restaurationen an den Zähnen 13 und 23 wurden ausgetauscht. Die Modellation erfolgte mit dem Universalkomposit ceram.x universal A3.
Procedere der Kompositrestaurationen an 12, 21 und 22
Die Kavitätengrenzen wurden mithilfe einer zahnärztlichen Sonde punktförmig im Silikonschlüssel markiert, was ein korrektes Platzieren der ersten dünnen Schicht Universalmasse erleichtern sollte. Auf den Zahn wurde im Bereich der palatinalen Defektgrenze etwas „Flowable“-Komposit aufgetragen.
Der Silikonschlüssel mit Schmelzmasse wurde von palatinal auf den jeweiligen Frontzahn aufgesetzt und auf seinen richtigen Sitz überprüft. Die kleine Menge Flowable sollte mögliche Fehlstellen ausgleichen und stellte dadurch eine gute marginale Adaptation sicher. Die Polymerisation erfolgte zunächst von labial, nach Entfernung des Silikonschlüssels auch von palatinal.
Geringe Überschüsse im palatinalen oder approximalen Bereich wurden mit einem Skalpell entfernt. Die so entstandene palatinale Wand erreichte inzisal möglichst exakt die gewünschte Ausdehnung der Restauration, sollte aber approximal noch keinen Kontakt zum Nachbarzahn haben.
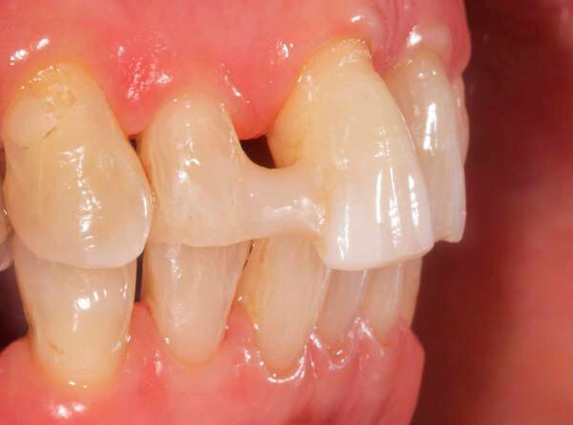
Für möglichst naturgetreue approximale Zahnformen verwendeten wir die individuelle Matrizentechnik nach Klaiber (Abbildung 5). Hierzu wurden Transparent-Matrizen vertikal in den Sulkus platziert und der Kofferdam dabei zervikal invertiert. Die approximalen Grenzen der Restauration wurden somit klar definiert und konnten mit Universalkomposit in korrekter vertikaler und horizontaler Dimension aufgebaut werden. Um adäquate Approximalkontakte zu erreichen, wurden die Zähne während der Polymerisation mit einem Spatel aus-einander gedrückt.
Im Anschluss erfolgte die labiale Schichtung mit opaker Dentinmasse, die den Dentinkern bildete. Weiße Kompositmalfarbe ermöglichte die Simulation der Schmelzrisse der Ober- und Unterkieferfront. Es folgte die Schichtung der Schmelzmasse, die zervikal abgeladen und nach inzisal ausgetrieben wurde. Das Oberflächenrelief der Restauration wurde unter Beachtung von Kontur und Dimension durch die Bearbeitung des noch weichen Komposits mit einem Pinsel gestaltet.
Spezielles Vorgehen bei Zahn 11
Nach definiertem inzisalen und labialen Abtrag wurde über ein direkt im Mund hergestelltes Mock-up aus Komposit ein zweiter Silikonschlüssel hergestellt (Abbildung 6). Weiter analoges Vorgehen wie bei den Zähnen 12, 21 und 22.
Ausarbeitung und Politur
Nach Abnahme der Matrizen schloss sich die Überschusskontrolle mit einem Skalpell an. Mit entsprechenden Finier- und Poliertechniken lassen sich Oberflächenglanz und Mikromorphologie nahezu perfekt an die übrige Dentition anpassen. Flexible Scheibchen wurden im Bereich der Restaurationsränder sowie für Korrekturen der lateralen und inzisalen Kantenlinien wie auch der interinzisalen Dreiecke verwendet. Konkavitäten der Bukkalfläche wurden mit einem Silikonpolierer stellenweise akzentuiert. Die Feinpolitur erfolgte mithilfe des ceram.x gloss-Systems (Dentsply Sirona Restorative) (Abbildung 7). Aufgrund des Informationsverlusts durch Dehydratation der Zähne unter Kofferdam erfolgte die Farb- und Formkontrolle erst bei Wiedervorstellung.
Abschluss
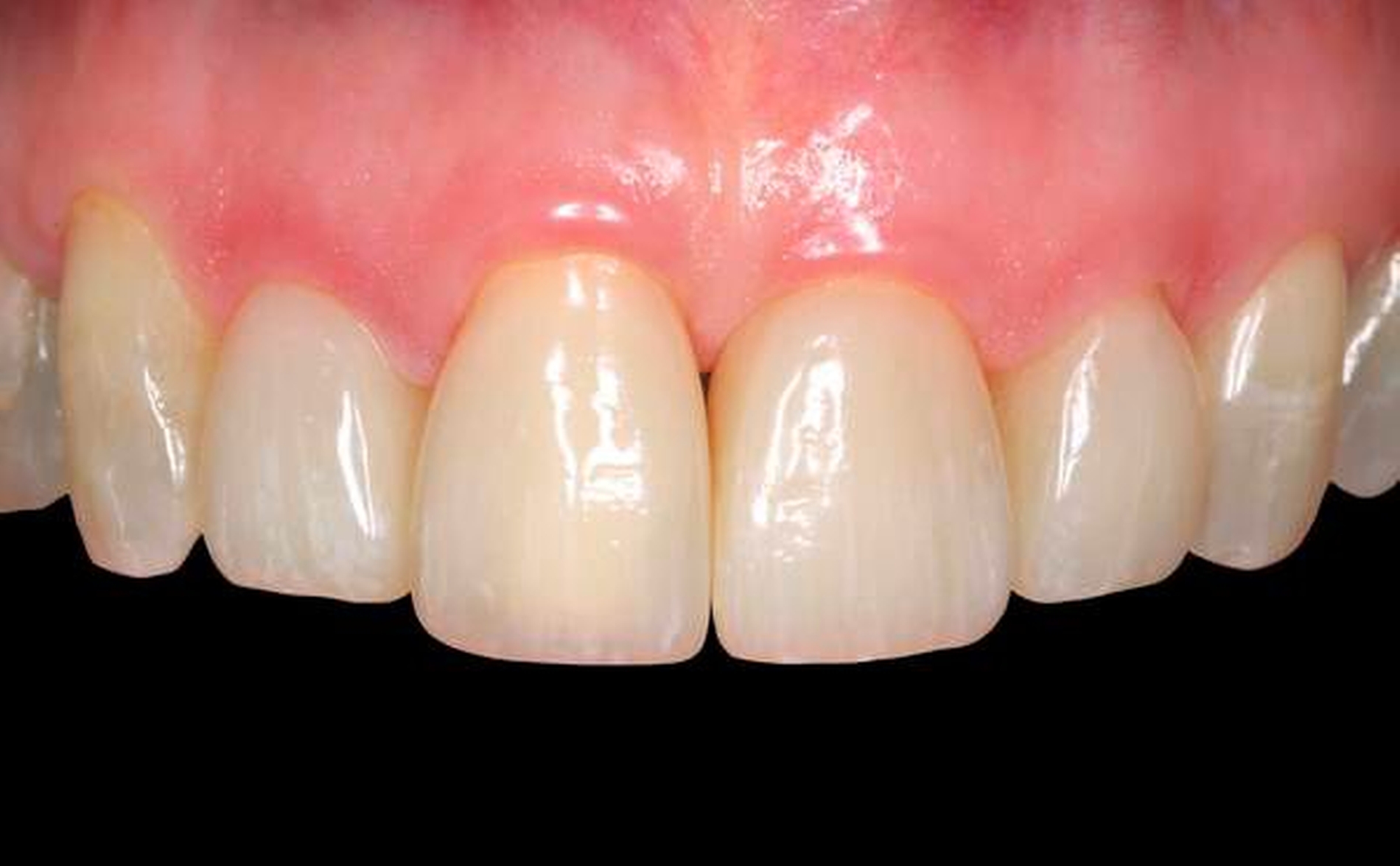
Nach einer Woche erfolgte die Nachkontrolle sowie die Eingliederung eines Palatinaldrahts zur Retention der Zähne 13 bis 23. Zahn 11 fügt sich jetzt harmonisch in die Oberkieferfront ein (Abbildung 9). Die Symmetrie der Oberkieferfront scheint wiederhergestellt. Das Lippenbild der Patientin dokumentiert ein zufriedenstellendes Ergebnis (Abbildung 8).
Vor dem Hintergrund der günstigen Ergebnisse für minimalinvasive additive Maßnahmen mit Komposit in klinischen Studien [Peumans et al., 1997; Frese et al., 2013] ist von einer guten Prognose der hergestellten Restaurationen auszugehen.
Paul Drehmann
10. Fachsemester
Dr. Britta Hahn
Tutorin
Universitätsklinikum Würzburg
Poliklinik für Zahnerhaltung und Parodontologie
Direktor Prof. Dr. Gabriel Krastl
Pleicherwall 2, 97070 Würzburg
Literatur:
Peumans M, Van Meerbeck B, Lambrechts P, Vanherle G (1997): The 5-year clinical performance of direct composite additions to correct tooth form and position. I. Esthetic qualities. Clin Oral Investig 1(1):12–18.
Frese C, Schiller P, Staehle HJ, Wolff D (2013): Recontouring teeth and closing diastemas with direct composite buildups: a 5-year follow-up. J Dent 41(11):979–985.
Der Global Clinical Case Contest
Ausrichter dieses weltweiten Talentwettbewerbs, bei dem Studenten der Zahnmedizin für herausragende Resultate in klinischen Fällen geehrt werden, ist das Unternehmen Dentsply Sirona. Der nach eigenen Angaben weltweit größte Hersteller von Dentalprodukten und -technologien beliefert Zahnärzte und Zahntechniker in allen Bereichen der Zahnmedizin.
Die Universität Würzburg war in diesem Jahr zum ersten Mal beim GCCC vertreten. Paul Drehmann ist der dritte internationale Sieger aus Deutschland – 2012/13 ging der Preis an die Universität Göttingen, 2008/09 an die Universität Witten/Herdecke.
Aktuell startet der nächste Wettbewerb, für den Studenten bis zum 15.02.2018 klinische Falldokumentationen einreichen können. Weitere Informationen hier.














