Rehabilitation einer Dysgnathiepatientin mit Klasse-II-Malokklusion
Die Prävalenz von Zahnaplasien (Nichtanlage von Zähnen) liegt in Europa bei 2,3 bis 15,7 Prozent, in Österreich bei etwa 9,6 Prozent [Rakhshan, 2015; Volk, 1963]. Hypodontie bezeichnet das Fehlen von bis zu fünf, Oligodontie das Fehlen von sechs oder mehr Zähnen, Anodontie das Fehlen jeglicher Zahnanlagen [Heuberer et al., 2015]. Die Zahnaplasie kann (familiär gehäuft) als isoliertes Symptom vorliegen oder im Rahmen von insgesamt etwa 120 Syndromen (etwa ektodermale Dysplasie, Down-Syndrom, Lippen-Kiefer-Gaumen-Spalten) auftreten [Rakhshan, 2015]. Auch exogene Faktoren wie Infektionen, eine Bestrahlung oder ein Trauma können die Ursache für Zahnaplasien sein. Am häufigsten sind – Weisheitszähne ausgenommen – die unteren und oberen zweiten Prämolaren sowie die oberen lateralen Schneidezähne betroffen [Bergendahl et al., 1996; Worsaae et al., 2007; Rakhshan, 2015]. Zahnaplasien können Wachstumsstörungen der Kiefer, Malokklusionen, eine Milchzahnpersistenz, eine ästhetische Beeinträchtigung sowie psychosoziale Probleme zur Folge haben. Die Therapie richtet sich nach dem Alter des/der Betroffenen, der Anzahl der fehlenden Zähne, dem Ausmaß der Dysgnathie und der ästhetischen Unzufriedenheit. Die Therapieansätze reichen von Nichtbehandlung über Kieferorthopädie (Lückenschluss, präprothetische Lückenöffnung), herausnehmbaren oder festsitzenden Zahnersatz, autologe Zahntransplantationen oder dentale Implantate bis zu Umstellungsosteotomien, häufig in Kombination.
Bei einer multiplen Aplasie kann es sinnvoll sein, Implantate zum Beispiel am Gaumen in Form von subperiostalen Onplants® (Nobel Biocare) oder in der interforaminalen Region des Unterkiefers schon vor Wachstumsende einzusetzen, um herausnehmbaren Zahnersatz zu verankern und eine skelettodentale Beeinträchtigung wie zum Beispiel eine anteriore Rotation der Mandibula bei Rücklage der Maxilla zu verhindern [Bergendahl et al., 1996; Bergendahl et al., 2008; Heuberer et al., 2012; Heuberer et al., 2015].
Bei der im folgenden Bericht vorgestellten Patientin war das Wachstum bereits abgeschlossen. Eine Behandlung mit abnehmbaren kieferorthopädischen Apparaturen über mehrere Jahre hatte in ästhetischer und in funktioneller Hinsicht nicht zu einem befriedigenden Ergebnis geführt.
Kasuistik
Diagnose und Behandlungsplanung
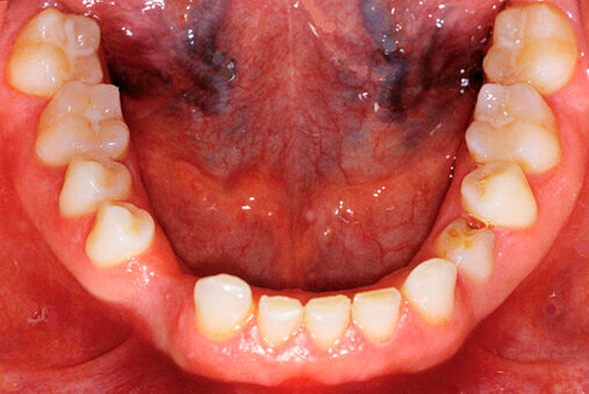
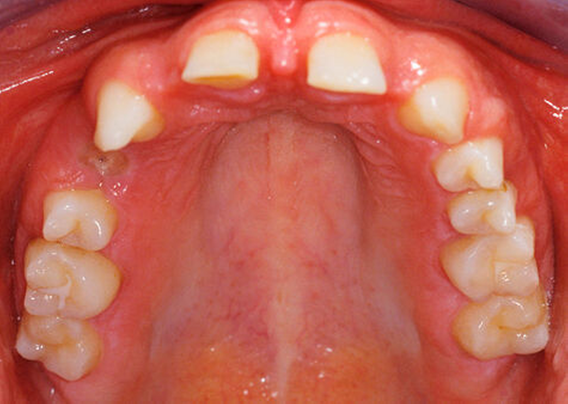
Die 16-jährige Patientin war unglücklich über ihre lückig stehenden Zähne und wünschte eine Verbesserung der durch die Dysgnathie beeinträchtigten Kaufunktion und ihres Aussehens (Porträtbilder en face und seitlich Abbildungen 1a und 1b, enorale Situation Abbildungen 2a bis 2c).
Anhand des klinischen Befunds, des Orthopantomogramms (Abbildung 3), der Durchzeichnung des seitlichen Fernröntgenbildes (Abbildung 4) und der Analyse der einartikulierten Modelle wurden folgende Diagnosen gestellt: skelettale und dentale Klasse II nach Angle (Distalbiss), Tiefbiss, Aplasie der Zähne 12, 14, 22, 34, 42, Persistenz und Infraposition der Zähne 54 und 74, Mikrodontie, starke Attrition der Oberkiefer- und der Unterkiefer-Front- und Eckzähne.
Folgender Therapieplan wurde erstellt:
Extraktion der persistierenden Milchzähne 54 und 74
Aufbauen der oberen und der unteren Schneide- und Eckzähne sowie der unteren ersten Molaren auf Normgröße mithilfe von Kunststoffprovisorien
Kieferorthopädische Vorbehandlung im Unterkiefer:
1. Rotationsausgleich
2. präprothetische Lückenverteilung im Frontsegment
3. Nivellierung und Ausformung des Zahnbogens
4. präprothetische Lückenverteilung im rechten und im linken SeitensegmentKieferorthopädische Vorbehandlung im Oberkiefer:
1. Rotationsausgleich
2. präprothetische Lückenverteilung im Frontsegment
3. Ausformung des Zahnbogens
4. präprothetische Lückenverteilung im rechten und im linken SeitensegmentBimaxilläre Umstellungsosteotomie mit Bisshebung
Kieferorthopädische Feineinstellung
Knochenaugmentation und Implantation im Bereich der Zahnlücken
Prothetische Versorgung mit vollkeramischen (Teil-)Kronen zur Vergrößerung und Formgebung der zum Teil stark entkalkten beziehungsweise kariösen, sehr kleinen Zähne sowie Implantatkronen zur Etablierung einer stabilen Okklusion
Die Patientin und ihre Eltern erklärten sich nach eingehender Beratung, Aufklärung und Kostenaufstellung bereit, das umfangreiche Programm durchzuziehen.
Behandlung: Zuerst erfolgte die Extraktion der beiden persistierenden Milchzähne 54 und 74.
Unter Bisshebung auf Artikulator-montierten Modellen hergestellte Kunststoffprovisorien auf den Ober- und den Unterkiefer-Schneide- und -Eckzähnen und den Unterkiefer-Sechsern (Abbildung 5) wurden adhäsiv eingesetzt (Abbildung 6). Die so bewerkstelligte Vergrößerung der Zähne war Voraussetzung für die kieferorthopädische Behandlung.
Nach Abschluss der über circa drei Jahre plangemäß verlaufenen präoperativen festsitzenden kieferorthopädischen Behandlung wurde in Allgemeinnarkose der chirurgische Eingriff durchgeführt: Oberkiefer: eine Le-Fort-I-Osteotomie in zwei Teilen mit paramedianer Osteotomie zur Oberkieferverbreiterung, Kaudalverlagerung und Korrektur einer geringgradigen Mittellinienverschiebung (nach Vorgabe der therapeutisch einartikulierten Modelle) sowie Fixierung mit Miniplattenosteosynthesen Unterkiefer: eine bilaterale sagittale Spaltungsosteotomie mit Vor-Verlagerung, Bisshebung, Stellschrauben- und Miniplattenosteosynthesen. Die Überlagerung der postoperativen Durchzeichnung des seitlichen Fernröntgens mit der Ausgangssituation veranschaulicht die skelettalen Veränderungen (Abbildung 7).
Ein halbes Jahr später, während die kieferorthopädische Feineinstellung unter Halten der eingestellten Bisshöhe mit Kompositaufbauten auf den zweiten Molaren ablief, wurde in Allgemeinnarkose das Osteosynthesematerial entfernt, Beckenknochen entnommen und mithilfe von Mikroschrauben zur Augmentation der kieferorthopädisch in der Dimension vorbereiteten Regionen 12, 22, 33 und 44 verwendet.
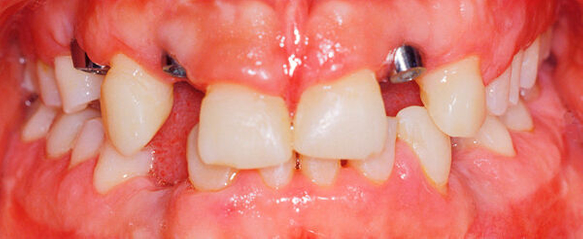
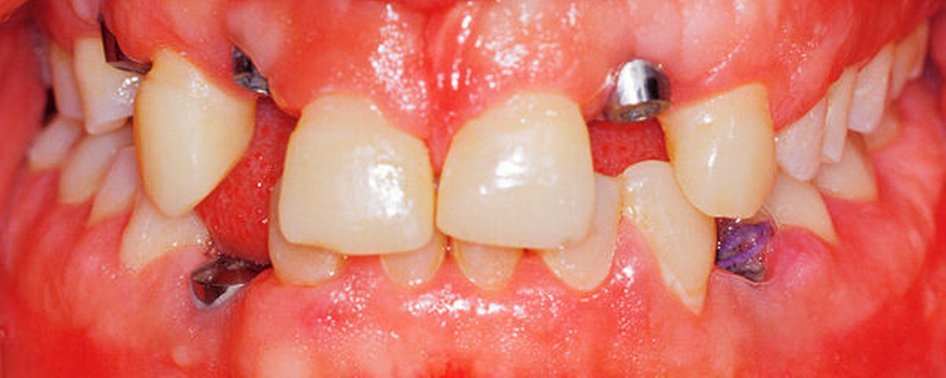
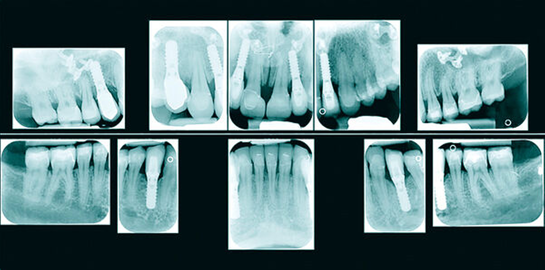
In mehreren Schritten wurden circa vier bis zwölf Monate später in Lokalanästhesie Implantate in den Regionen 12 und 22 (Straumann Narrow Neck) sowie 14, 33 und 44 (Straumann Regular Neck) gesetzt (Abbildung 8a). Zur Verlängerung der kurzen klinischen Kronen 11 und 21 wurde in diesem Bereich die Gingiva im Sinne einer Konturierung elektrotomiert (Abbildung 8b).
Nach viermonatiger Einheilzeit des letzten Implantats erfolgte nach diagnostischem Aufwachsen die Präparation und Abformung des Großteils der Zähne im Ober- und im Unterkiefer zugleich mit der offenen Abformung der Implantate (Abbildung 9). (Zur Erleichterung der Bissnahme wurden vorerst einige Molaren belassen und erst in einer zweiten Etappe beschliffen und versorgt.) Nach Montage der Modelle wurden Lithiumdisilikat-Restaurationen für die natürlichen Zähne und verblendete Zirkonoxidkronen auf konfektionierten, individualisierten Titanabutments (Abbildung 10) hergestellt. Nach einer Einprobe wurden die Kronen auf den Zähnen adhäsiv, die Implantatkronen konventionell mit einem Zinkoxidphosphat-Zement eingesetzt. Die Behandlung der restlichen Zähne wurde in analoger Weise durchgeführt.
Behandlungsergebnis
Die Abbildungen 11a und 11b, 12a und 12b sowie 13 dokumentieren das Ergebnis. Die Patientin trägt nachts Retainer im Ober- und im Unterkiefer. Sie ist sehr zufrieden mit dem natürlichen Aspekt ihrer neuen Zähne, den verbesserten Gesichtsproportionen sowie der stabilen Okklusion und kommt dreimonatlich zum Recall mit Kontrolle und Mundhygiene.
Diskussion
Die festsitzende Versorgung von Einzelzahnlücken kann prinzipiell mithilfe von Implantaten oder Brücken erfolgen. Metaanalysen geben für Implantat-getragene Einzelzahnkronen geringfügig höhere Fünf- beziehungsweise Zehn-Jahres-Überlebensraten an als für konventionelle Zahn-getragene Brücken [Pjetursson et al., 2008; Muddugangadhar et al., 2015].
Im vorliegenden Fall wurde die Entscheidung zugunsten von Implantaten getroffen: Dadurch sind das Gefühl „einzelner Zähne“ und die Durchgängigkeit für Zahnseide gewährleistet. Eine Knochenaugmentation in den atrophen Kieferkammregionen in der ästhetischen Zone wäre auch bei der Versorgung mit Brücken angezeigt gewesen, um die Brückenzwischenglieder kosmetisch optimal gestalten zu können. Im Hinblick auf die (dreidimensionale) Langzeitstabilität periimplantärer Hart- und Weichgewebe nach Knochenaugmentation (mit unterschiedlichen Techniken und Materialien) gibt es bislang nur sehr wenige randomisierte klinische Studien [Lutz et al., 2015]. Insbesondere die vertikale Augmentation atropher Kieferabschnitte ist schwierig und das Resultat schwer vorhersagbar [Bernstein et al., 2006; Rocchietta et al., 2008; Aloy-Prosper et al., 2015]. Bei der vorgestellten Patientin wurden die Knochendefekte in den Regionen 12 und 22 mit autogenem Material (Knochenblock und -spänen) in ausreichendem, aber nicht ganz optimalem Ausmaß aufgebaut.
Bei Vorliegen eines dicken Gingiva-Biotyps wurden Tissue-Level-Implantate auch im ästhetischen Bereich verwendet. (Eine dünne, „high scalloped“ Gingiva wäre eine Indikation für Bone-Level-Implantate, die eine Optimierung des Kronen-Emergenzprofils zum Beispiel mit Provisorien ermöglichen [Schnabl et al., 2014].) Durch die chirurgische Kronenverlängerung bei den Zähnen 11 und 21 ließ sich der Gingivaverlauf im Bereich der Zahn- und Implantat-getragenen Kronen 13 bis 23 einigermaßen ausgleichen. Die Titanabutments konnten mit Zirkonoxid-Keramik gut abgedeckt werden, auch das Nebeneinander von Zirkonoxid- und Lithiumdisilikat-Keramik wurde vom Zahntechniker hinsichtlich Farbe und Opaleszenz gut gemeistert.
Die Umsetzung des aufwendigen Behandlungsplans bedurfte einerseits der guten Koordination der einzelnen therapeutischen Schritte durch die verschiedenen Behandler, andererseits aber auch der Kooperation und Compliance der Patientin, die sich im Laufe der Behandlung mit der schrittweisen Annäherung an das vorgegebene Ziel stetig steigerten.
DDr. Dagmar Schnabl
Departm. Zahn-, Mund- und Kieferheilkunde und Mund-, Kiefer und Gesichtschirurgie
Universitätsklinik für Zahnersatz und Zahnerhaltung
Anichstr. 35, A-6020 Innsbruck
Prof. DDr. Wolfgang Puelacher
Departm. Zahn-, Mund- und Kieferheilkunde und Mund-, Kiefer und Gesichtschirurgie
Universitätsklinik für Mund-, Kiefer- und Gesichtschirurgie
Anichstr. 35, A-6020 Innsbruck
DDr. Martin Brock
Ordination für Kieferorthopädie
Müllerstr. 30, A-6020 Innsbruck
Literaturliste
Aloy-Prosper A, Penarrocha-Oltra D, Penarrocha-Diago M, Penarrocha-Diago M: The outcome of intraoral onlay block bone grafts on alveolar ridge augmentations: A systematic review. Med Oral Patol Oral Cir Bucal 20(2): 251–258 (2015).
Bergendal B: When should we extract deciduous teeth and place implants in young individuals with tooth agenesis? J Oral Rehabil 35: 55–63 (2008)
Bergendal B, Bergendal T, Hallonsten A L, Kurol J, Kvint S: A multidisciplinary approach to oral rehabilitation with osseointegtrated implants in children and adolescents with multiple aplasia. Eur J Orthod 18: 119–129 (1996)
Bergendal B, Koch G, Kvint S, Johannson U: Consensus conference on oral implant in young patients. Institute of Postgraduate Dental Education, Jönköping 127: 16–27 (1996)
Bernstein S, Cooke J, Fotek P, Wang H L: Vertical bone augmentation: where are we now? Implant Dent 15(3): 219–228 (2006)
Heuberer S, Dvorak G, Zauza K, Watzek G: The use of onplants and implants in children with severe oligodontia: a retrospective evaluation. Clin Oral Implants Res 23(7): 827–831 (2012)
Heuberer S, Watzak G, Zechner W, Zauza K, Ulm C, Freudenthaler J: Zahnaplasien – ein Leitfaden. Stomatologie 112: 159–164 (2015)
Lutz R, Neukam F W, Simion M, Schmitt C M: Long-term outcomes of bone augmentation on soft and hard-tissue stability: a systematic review. Clin Oral Implants Res 26(11): 103–122 (2015)
Muddugangadhar B C, Amarnath G S, Sonika R, Chheda P S, Garg A: Meta-analysis of Failure and Survival Rate of Implant-supported Single Crowns, Fixed Partial Denture, and Implant-‧Toothsupported Prostheses. J Int Oral Health 7(9): 11–17 (2015)
Pjetursson B E, Brägger U, Lang N P, Zwahlen M: Comparison of survival and complication rates of tooth-supported fixed dental prostheses (FDPs) and implant-supported FDPs and single crowns (SCs). Clin Oral Implants Res 18(3): 97–113 (2007)
Rakhshan V: Congenitally missing teeth (hypo‧dontia): a review of the literature concerning the etiology, prevalence, risk factors, patterns and treatment. Dent Res J (Isfahan) 12(1): 1–13 (2015)
Rocchietta I, Fontana F, Simion M: Clinical outcomes of vertical bone augmentation to enable dental implant placement: a systematic review. J Clin Periodontol. 35(8): 203–215 (2008).
Schnabl D, Ennemoser T, Gerhard S: Typgerecht behandeln. Ästhetische implantatgestützte Frontzahnkronen durch Konditionierung des periimplantären Weichgewebes mit Provisorien bei verschiedenen Gingiva-Biotypen. Teamwork J Cont Dent Educ 6: 486–493 (2014)
Volk A: Über die Häufigkeit des Vorkommens von fehlenden Zahnanlagen. Schweiz Mschr Zahnk 73: 320–334 (1963)
Worsaae N, Jensen N, Holm B, Holsko J: Treatment of severe hypodontia – oligodontia – an interdisciplinary concept. Int J Oral Maxillofac Surg 36: 473–480 (2007)
























