Was macht der transplantierte 28 nach 15 Jahren?
Zahn 36 war vorher durch einen Kollegen notfallmäßig endodontisch behandelt worden. Aber da die Patientin zu lange abgewartet hatte, wurden bei der Entfernung der provisorischen Füllung eine Reihe subgingivaler Defekte sichtbar. Die Fixierung des Weisheitszahns nach der Transplantation an seiner neuen Position erfolgte mittels einer Tiefziehschiene.
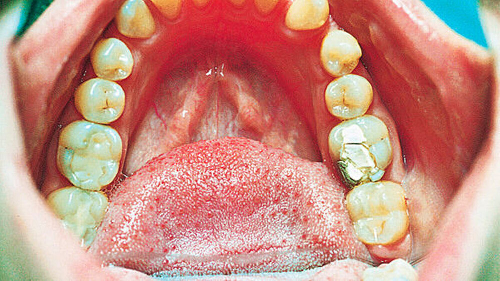
Das Verfahren war im Jahr 2002 noch nicht etabliert. Doch wider allgemeines Erwarten gestaltete sich die Einheilung problemlos. Nach einem Jahr zeigte sich der Zahn 28 – nun im Unterkiefer an Position 36 – kaufunktionell voll integriert: Die Abbildungen 1 bis 4 veranschaulichen die Situation im Jahr 2002 [erschienen in: „Wenn Weisheitszähne zum 6-er werden“, H.-W. Bertelsen, ZM 92 Nr.7, 1.4.2002 (756), Fall 3]. Abbildung 6 zeigt die Situation im OPG, Abbildung 7 die klinische Situation heute.
Der damals transplantierte Zahn stellt sich heute in klinischer Untersuchung marginal frei von parodontalen Problemen und auch nach 15 Jahren kaufunktionell voll integriert vor. Er ist vital.
Resümee des Autors
Die vitale Transplantation von retinierten Weisheitszähnen stellt eine hervorragende Methode dar, um Zähne, die kariös stark angegriffen oder schon zerstört sind, zu ersetzen. Wirtschaftlich betrachtet zeigt diese Methode sowohl gegenüber der konventionellen Prothetik (wie bei einer Brückenversorgung) als auch im Vergleich zu Implantat-gestützter Prothetik klare Vorteile und stellt sowohl für den Zahnarzt (Imagegewinn, Patientenbindung) als auch für den Patienten (Kosteneinsparung, keine Invasiv-Behandlung) eine klare Win-win-Situation dar.
Dr. Hans-Werner Bertelsen
Ambulante Klinik am St. Joseph-Stift
Georg-Gröning-Str. 57, 28209 Bremen
Diese Arbeit ist in dankbarer Erinnerung Prof. Dr. Dr. Wolfgang Koberg gewidmet









