Die Überwachung der Gebissentwicklung: Worauf sollten Zahnärzte achten?
Von der Geburt bis ins Erwachsenenalter unterliegen die dentofazialen Strukturen starken entwicklungsbedingten Veränderungen, wobei Abschnitte intensiver und reduzierter Aktivität beobachtet werden. Die sehr komplexen Wachstumsprozesse des Ober- und Unterkiefers erfordern eine subtile Steuerung und präzise Koordination im Ablauf der Dentition. Genetische, epigenetische und exogene Faktoren üben einen starken Einfluss auf die Reifung des orofazialen Systems aus, wobei Weichteileinflüsse, muskuläre Dysfunktionen und äußere Interferenzen die Entwicklung nachhaltig stören können.
Hinweise auf eine gestörte Gebissentwicklung sollten frühzeitig erkannt werden, um präventive und therapeutische Maßnahmen einleiten zu können. Hier kann die Bedeutung des Zahnarztes nicht hoch genug bewertet werden, da er meist der erste ist, der ein Kind mit einer beginnenden Zahn- beziehungsweise Kieferfehlstellung sieht und somit eine kieferorthopädische Untersuchung oder Therapie veranlassen kann. Daher sollte der Zahnarzt in jeder Phase der Gebissentwicklung neben der Kariesdiagnostik zusätzlich routinemäßig auf den korrekten zeitlichen Ablauf des Zahnwechsels achten.
I. Milchgebiss und frühes Wechselgebiss
Kontrolle der Platzverhältnisse
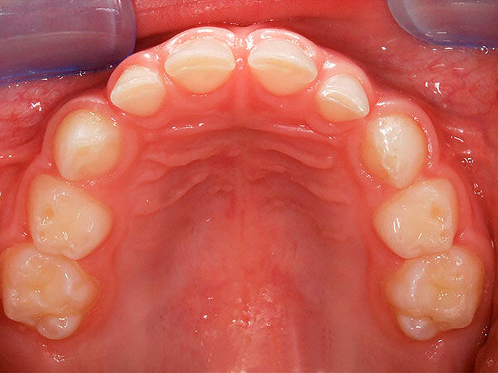
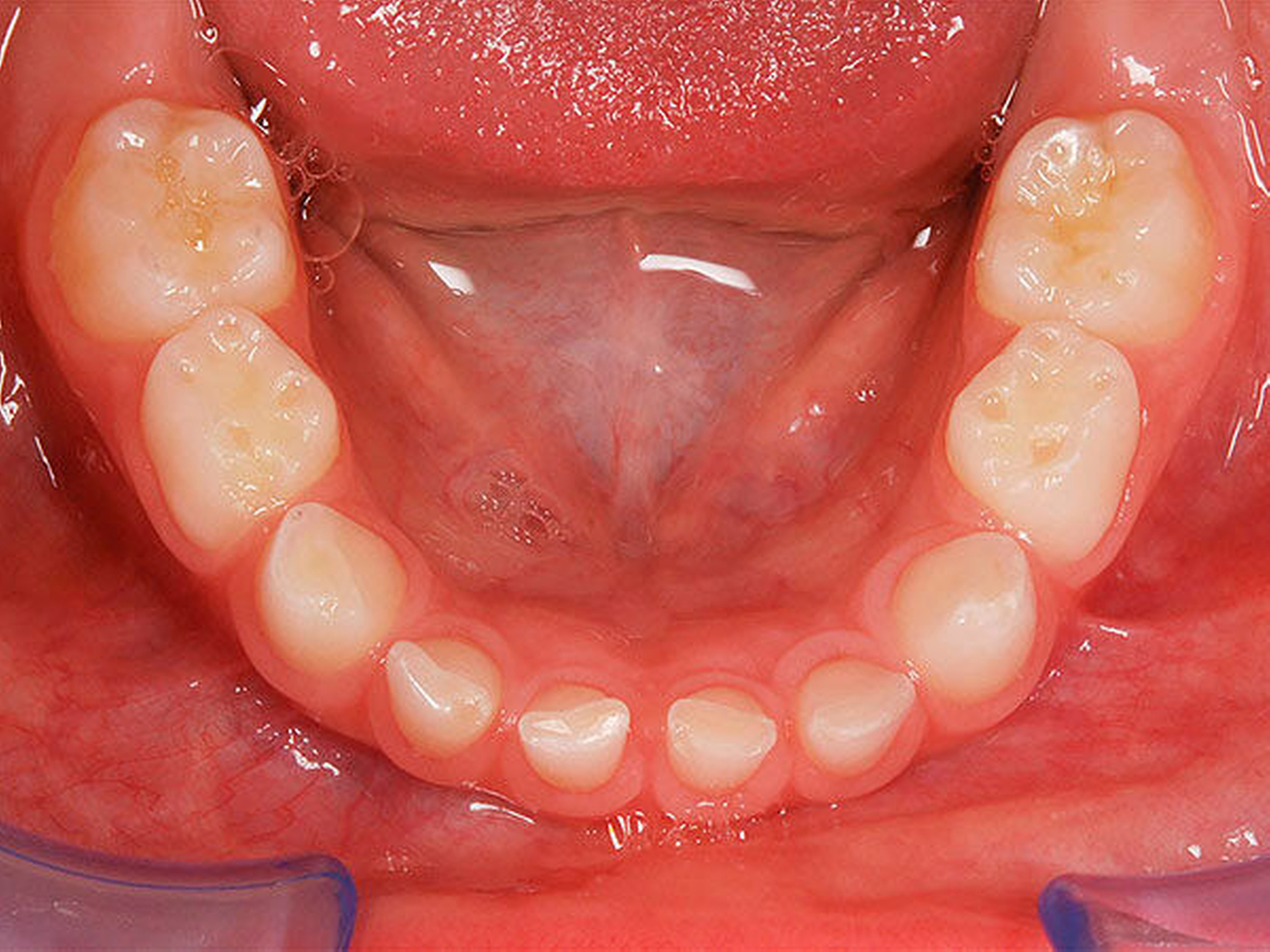
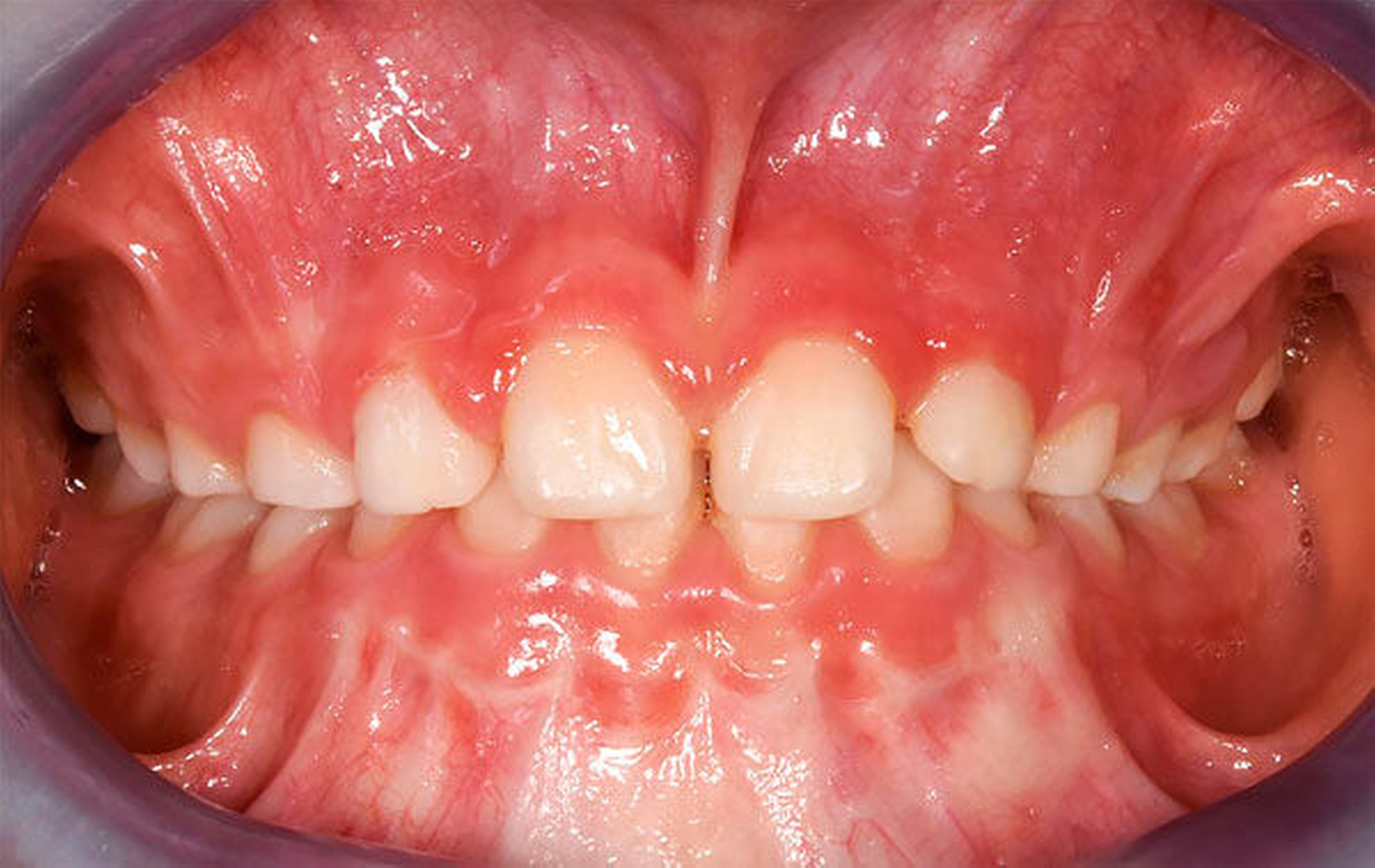
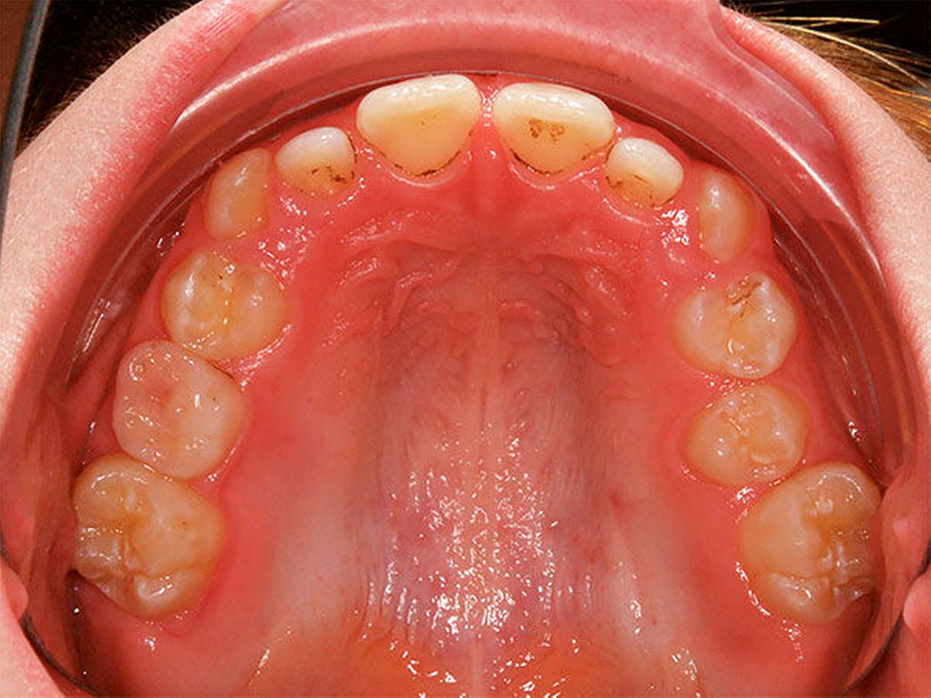
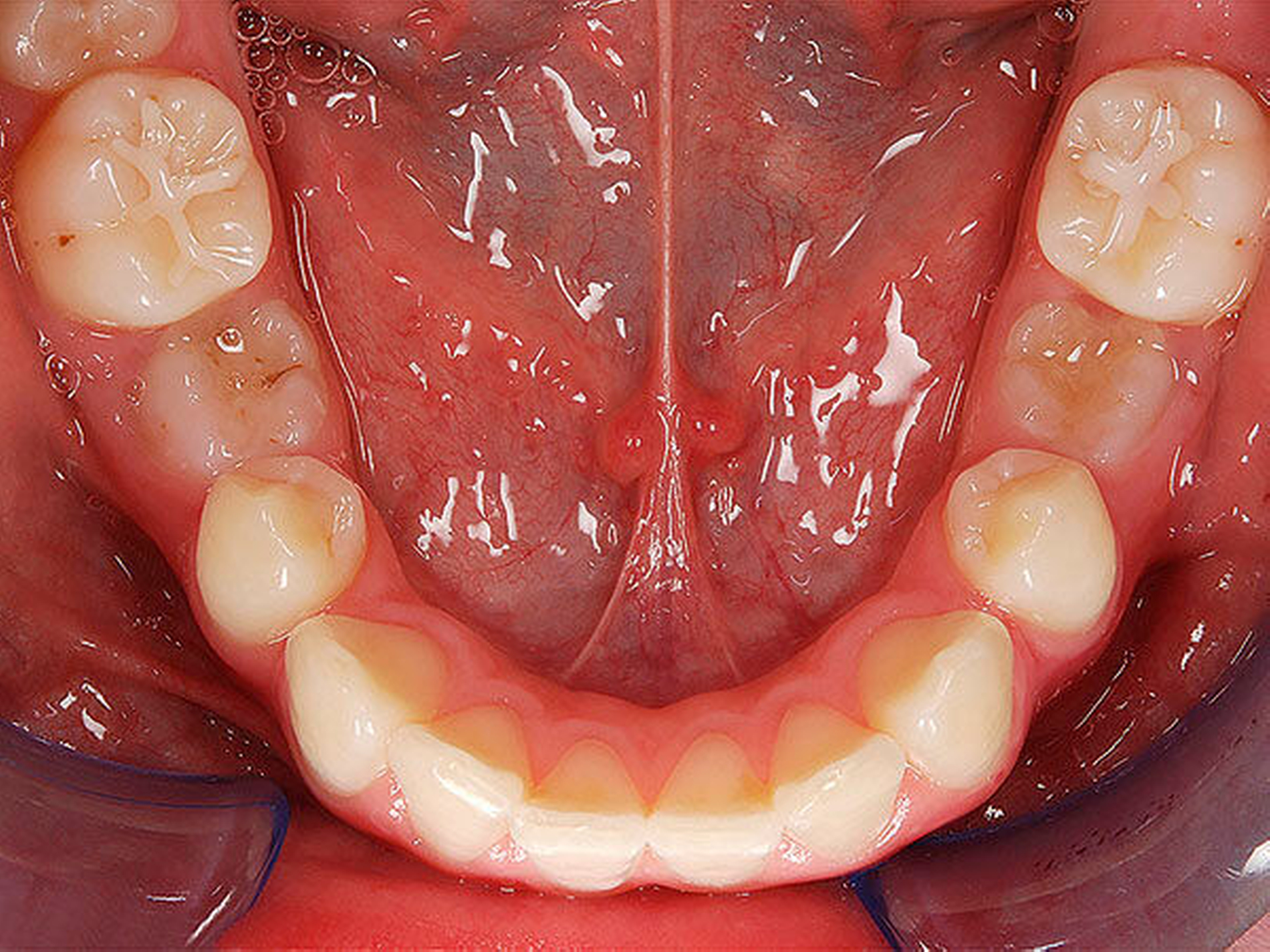
Ausgeprägte Zahnfehlstellungen und Gebissanomalien zeigen sich im reinen Milchgebiss deutlich seltener als im Wechsel- oder im permanenten Gebiss [Schopf, 2003]. Dennoch sollten bereits in dieser frühen Phase beispielsweise die Platzverhältnisse für die später durchbrechenden Zähne beurteilt werden. Im Säuglingskiefer liegen die Zahnkeime der Milch-Inzisiven zunächst in einer sagittalen Staffelstellung [van der Linden, 1980]. Die mit dem Durchbruch der Milchzähne einhergehende Bildung des Alveolarfortsatzes und die wachstumsbedingte Vergrößerung der Zahnbögen führt meist zu einer lückigen Stellung der Milchschneidezähne [Sillman, 1964] (Abbildung 1). Diese Lücken tragen dazu bei, den deutlich breiteren bleibenden Nachfolgern eine regelrechte Einordnung in den Zahnbogen zu ermöglichen [Moyers, 1976; Leighton, 1978]. Ein „schönes“, lückenloses Milchgebiss oder gar Engstände in der Front sind ein Alarmsignal im Hinblick auf spätere Platzprobleme für die bleibenden Zähne [Leighton, 1969]. Bei diesen Patienten ist eine intensive Überwachung während des Zahnwechsels der permanenten Inzisiven ratsam, um gegebenenfalls rechtzeitig Platz schaffende Maßnahmen einleiten zu können.
Beurteilung der Okklusion
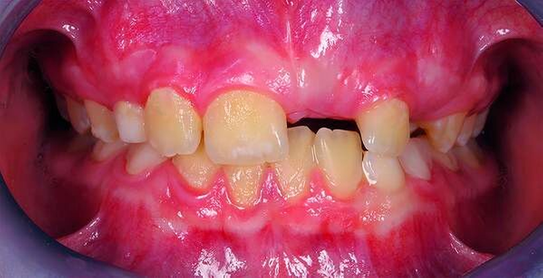
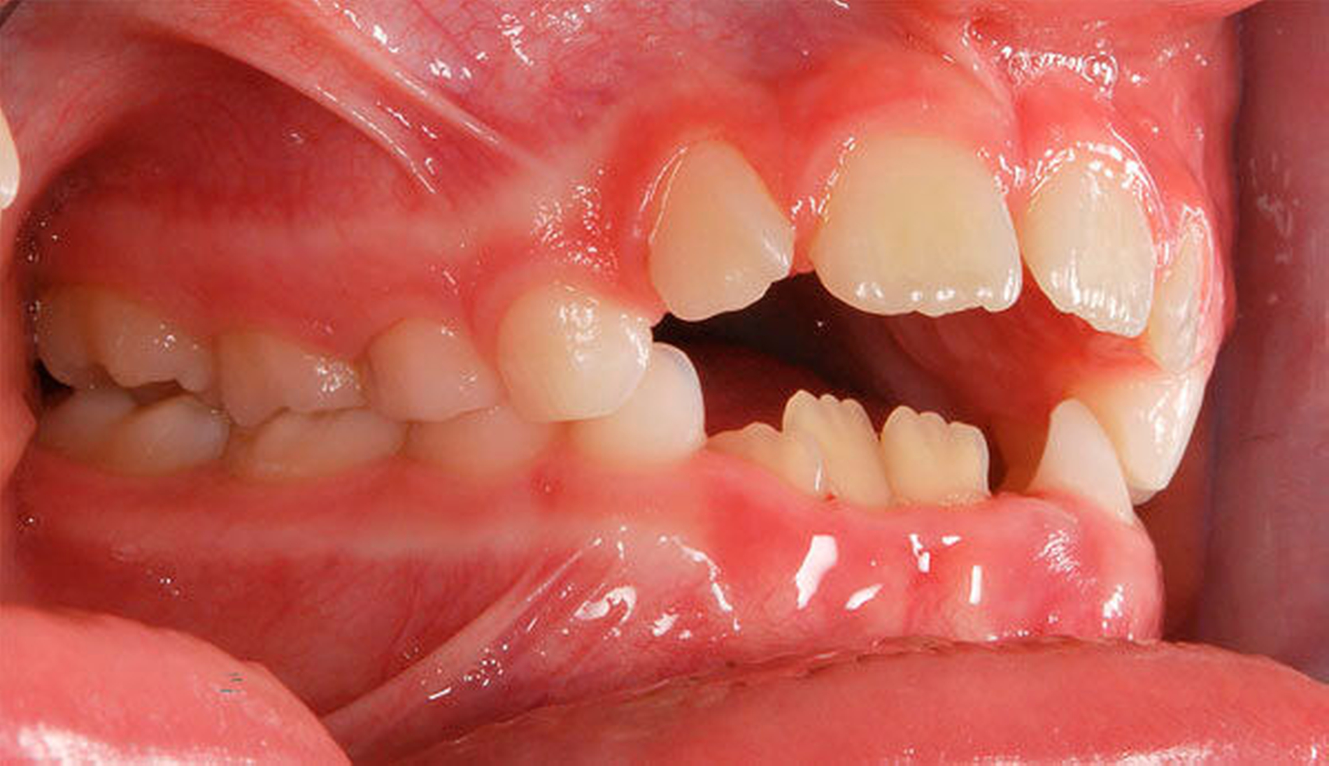
Neben der Beurteilung der Platzverhältnisse sollte auch die Okklusion in allen drei Dimensionen (vertikal, transversal und sagittal) überprüft werden, denn bereits in dieser frühen Phase können Dyskinesien und statische Funktionsstörungen die Entwicklung nachhaltig stören [Grabowski, 2007]. Ungünstige Umwelteinflüsse und Milieufaktoren spielen bei vielen kieferorthopädischen Anomalien eine wichtige Rolle, wobei es oft schwierig ist, den Anteil von umweltbedingten Faktoren/Milieufaktoren und genetischer Disposition exakt zu bestimmen. Allerdings wird der offenen Mundhaltung, die mit einem inkompetenten Lippenschluss und kaudaler Zungenruhelage vergesellschaftet ist, ein besonders nachteiliger Einfluss auf die physiologische Entwicklung zugeschrieben. Besonders häufig werden bei diesen statischen Haltungsschwächen das Auftreten eines transversal unterentwickelten Oberkiefers, ein vergrößerter oder reduzierter Overjet sowie ein offener Biss beobachtet [Grabowski, 2008]. Insbesondere beim offenen Biss wirkt sich zudem eine gewohnheitsmäßige oder anatomisch bedingte Mundatmung nachteilig auf die vertikale Entwicklung des Gesichts aus [Linder-Aronson, 1983]. Bei Verdacht auf eine anatomisch bedingte Mundatmung sollte zusätzlich HNO-ärztlich überprüft werden, ob organische Blockaden beseitigt werden können. Persistierende Lutschgewohnheiten können ebenfalls einen ungünstigen Einfluss auf den orofazialen Reifungsprozess nehmen [Dausch-Neumann, 1983]. Neben einer vergrößerten Frontzahnstufe (Abbildung 2) oder einem anterior offenen Biss als direkte Lutschfolgen erfolgt zudem meist keine Umstellung auf ein somatisches Schluckmuster, wobei diese sekundären Lutschfolgen später nur schwer und nur mit hohem Aufwand therapiert werden können [Cozza, 2005]. Auch hierbei kann zum Beispiel das Eingliedern einer Mundvorhofplatte (MVP) als interzeptive Maßnahme das Abgewöhnen von Gebiss schädigenden Gewohnheiten unterstützen [Dausch-Neumann, 1983].
Lateraler Kreuzbiss / lateraler Zwangsbiss
Besonders wichtig ist aus zahnärztlich-kieferorthopädischer Sicht die Beurteilung der lateralen Okklusionsverhältnisse [Kahl-Nieke, 2015]. Der unilaterale Kreuzbiss kommt ungefähr viermal häufiger vor als der bilaterale [Schopf, 2003]. Bei 80 Prozent der Kinder mit einseitigem Kreuzbiss tritt eine funktionelle Unterkieferabweichung auf [Kurol, 1992] und die Unterkiefermitte verschiebt sich dabei zur Kreuzbissseite [Santos Pinto, 2001] bei gleichzeitig asymmetrischer Kondylenposition. Diese reflektorische Einnahme der Kreuzbissstellung vergrößert die Anzahl der Okklusionskontakte, mit der Gefahr, dass nach kurzer Zeit diese transversale Fehlstellung des Unterkiefers neuromuskulär fixiert wird. Bei Belassen des Kreuzbisses kann eine skelettale Manifestation der Asymmetrie und eine dauerhafte Abweichung der Kinnmitte von der Gesichtsmitte resultieren [Hesse, 1997; O`byrn, 1995]. Erfolgt keine frühzeitige Therapie, besteht zudem die Gefahr einer Wachstumshemmung im Bereich der im Kreuzbiss „eingefangenen“ Oberkieferseite. Eine kieferorthopädische Frühbehandlung scheint präventiv gegen eine skelettale Adaptation und gegen eine Persistenz des Kreuzbisses in die permanente Dentition zu wirken [Harrison, 2001]. Das Überstellen des lateralen Kreuzbisses durch transversale Weitung des Oberkiefers kann beispielsweise mittels forcierter Gaumennahterweiterung [Köbel, 2017] erfolgen und wirkt sich neben einer Verbesserung der respiratorischen Situation günstig auf die Beseitigung skelettaler und dentoalveolärer Asymmetrien aus [Hesse, 1997; Santos Pinto, 2001] (Abbildung 3).

Die kieferorthopädische Frühbehandlung hat ihren Stellenwert in der präventionsorientierten Zahnmedizin im Sinne der Vermeidung von Gebissfehlentwicklungen beziehungsweise der Unterbrechung progredienter, durch genetische und/oder dysfunktionelle Abweichungen bedingter Entwicklungen. Die relevanten frühen Zahn- und Kieferfehlstellungen Kreuzbiss, Anomalie des progenen Formenkreises, Angle-Klasse II,1, offener Biss und primärer Engstand werden im Hinblick auf die Risikoabschätzung präsentiert und bezüglich ihrer früh zu eliminierenden Faktoren (die Morphologie und die Funktion betreffend) erläutert.
Frontaler Kreuzbiss / progener Zwangsbiss / skelettale Klasse III
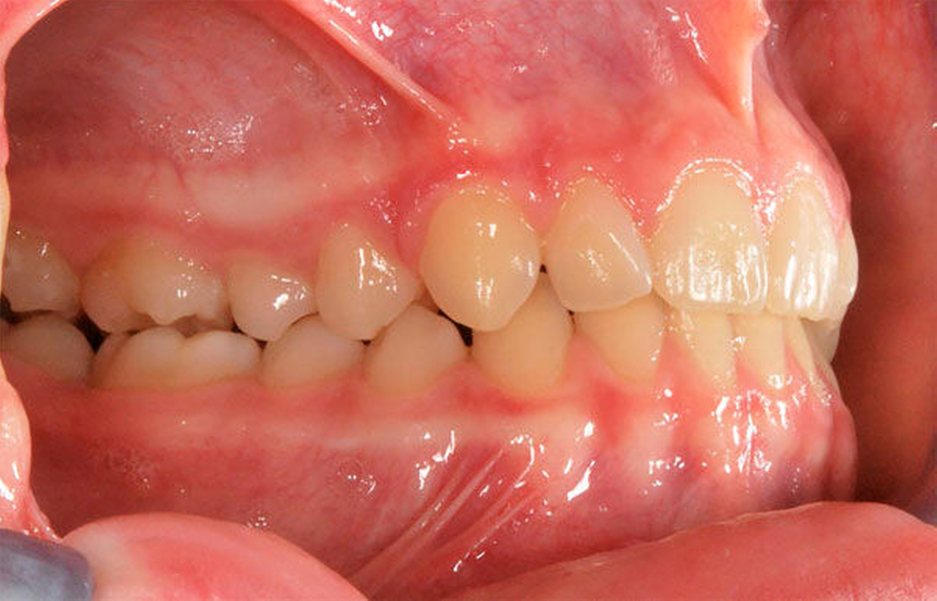
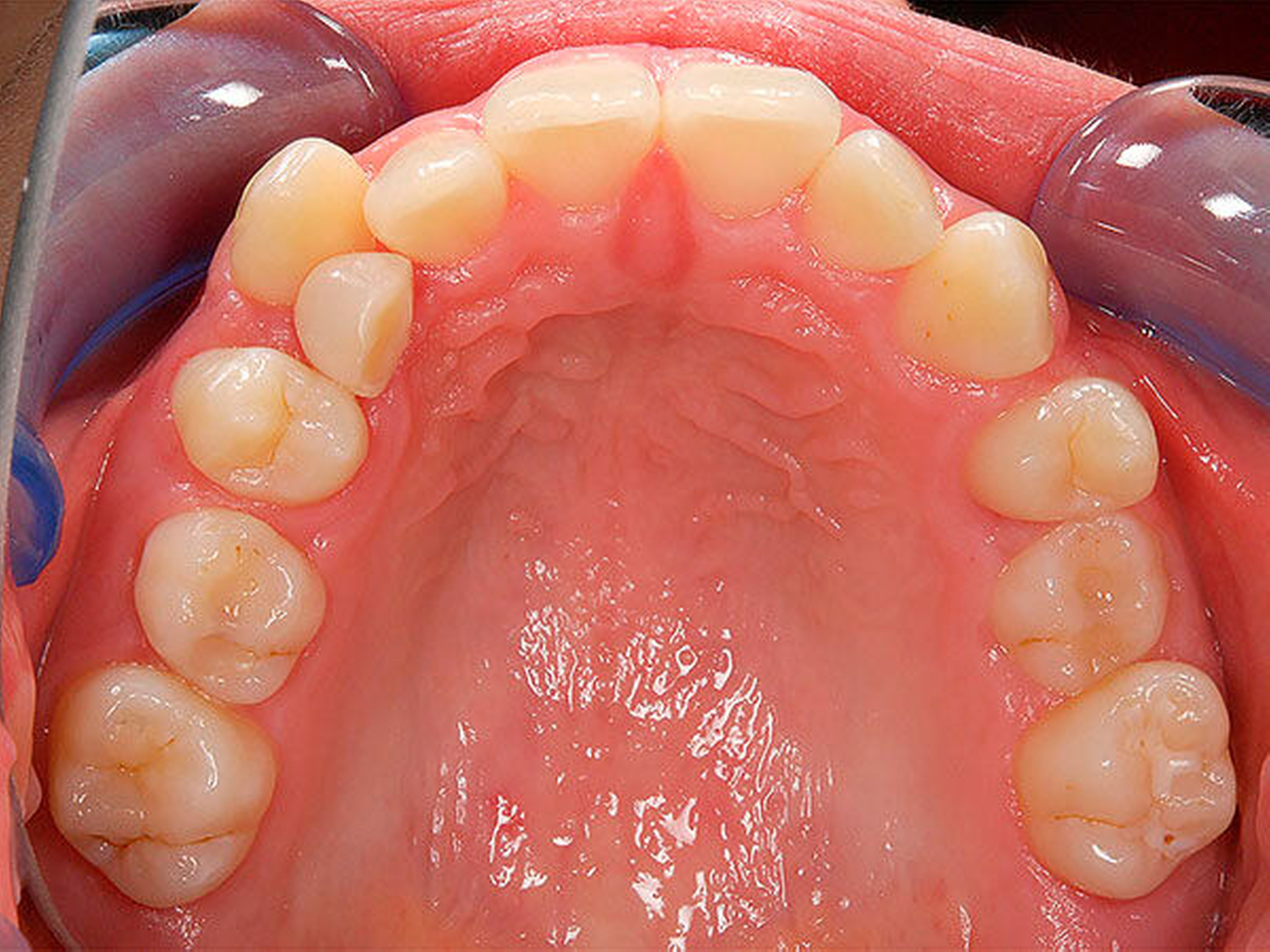
In der Gruppe des progenen Formenkreises werden Zahn- und Kieferfehlstellungen unterschiedlichster Ätiologie zusammengefasst. Diese können durch ein Missverhältnis im Wachstum beider Kiefer bedingt sein, das heißt durch Überentwicklung (Makro-/Prognathie) des Unterkiefers und/oder Unterentwicklung (Mikro-/Retrognathie) des Oberkiefers [Rakosi, 1989]. Besteht ein frontaler Kreuzbiss von Einzelzähnen oder einer ganzen Zahngruppe wird der Oberkiefer durch den Unterkiefer „eingefangen“, das heißt durch die palatinalwärts positionierten OK-Inzisiven wird das Oberkieferwachstum im Alveolarfortsatzbereich gehemmt sowie das Unterkieferwachstum „freigegeben“, da der Unterkiefer sich postnatal in sagittaler Richtung ohnehin stärker als der Oberkiefer entwickelt [Lux, 2004]. Zudem kann eine Zwangsbissführung des Unterkiefers nach ventral vorliegen [Keeling, 1998]. Diese kann zusätzlich zu einer unerwünschten Wachstumsstimulation des Unterkiefers mit nachfolgender skelettaler Manifestation führen. Mit einem therapeutisch eingestellten sicheren frontalen Überbiss (sagittal und vertikal) kann die weitere Kieferentwicklung koordinierter ablaufen (Abbildung 4). Die Anomalien des progenen Formenkreises besitzen häufig auch eine hereditäre Komponente, wobei unphysiologische Ruheweichteilbeziehungen oder Dysfunktionen den Phänotyp deutlich verstärken können. Da bei Klasse-III-Dysgnathien die skelettalen Therapieergebnisse bei frühzeitigem Behandlungsbeginn am besten sind, sollte frühzeitig mit einer kausalen Therapie begonnen werden – also sobald eine ausreichende Compliance des Patienten es zulässt, [Baccetti, 1998; Da Silva, 1998; Franci, 2004; Lang, 2001; Saadi, 2000].
Überwachung der Dentition
Durchbruch der Sechsjahrmolaren in Ober- und Unterkiefer
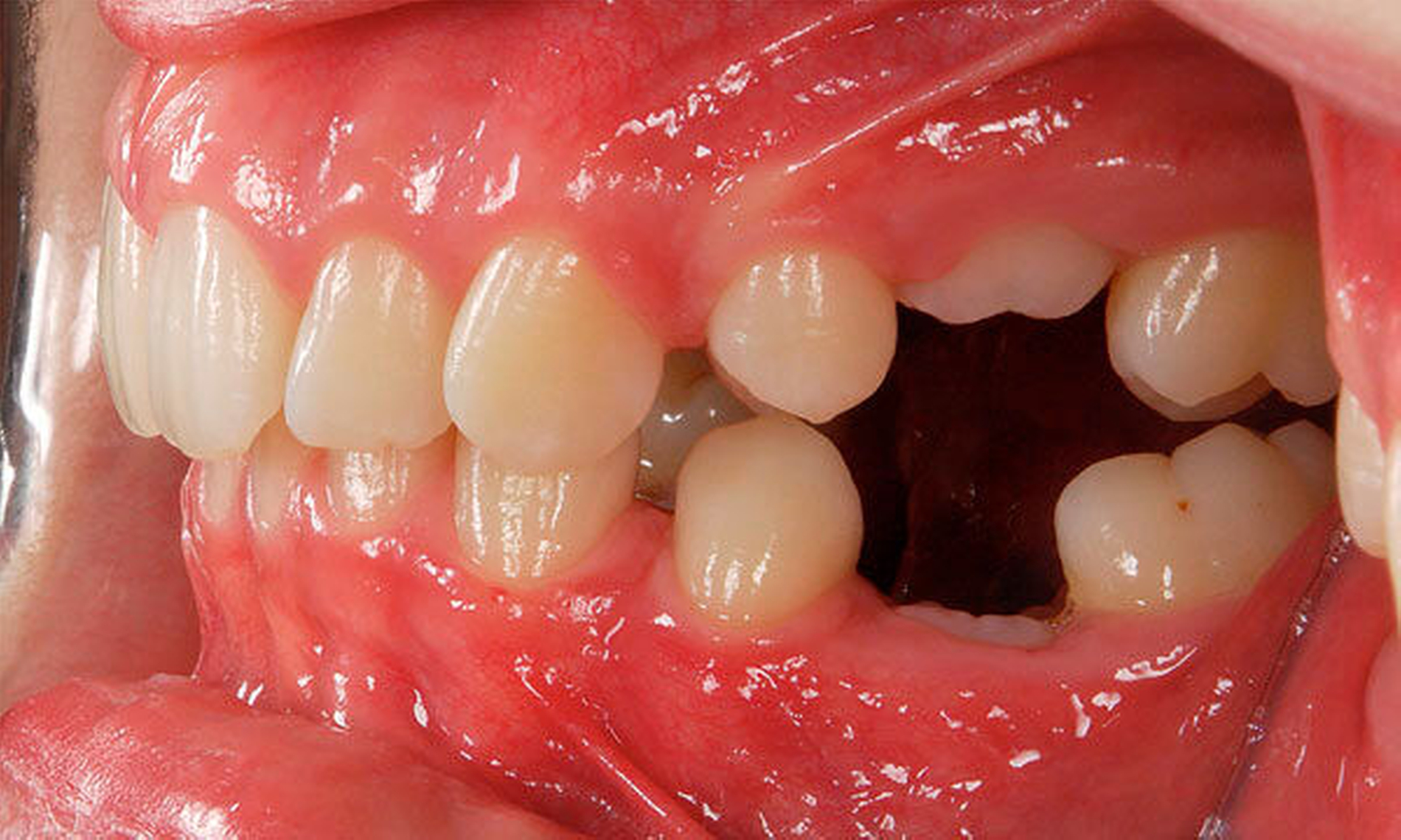
Ein zeitlich asymmetrischer Durchbruch gleichnamiger Zähne im gleichen Kiefer (Antimeren, zum Beispiel Zähne 16 und 26) kann grundsätzlich einen Hinweis auf einen gestörten Durchbruch geben. Die Abweichung von der korrekten Durchbruchsrichtung kann zu einer unterminierenden Resorption der distalen Wurzel des Milchfünfers führen. Dies wird bei circa 5 Prozent aller Kinder [van Waes, 2001] beobachtet. In ausgeprägten Fällen bleibt der Sechser an der Schmelz-Zement-Grenze oder unter der Milchzahnkrone „hängen“. Aus kinderzahnärztlich-kieferorthopädischer Sicht sollte bei solchen „Verkeilungen“ der Sechsjahrmolaren unter den teilweise anresorbierten zweiten Milchmolaren an separierende Maßnahmen gedacht werden, um den Sechsjahrmolaren aus der Verklemmung zu befreien (Abbildung 5). Ideal ist hierbei eine Aufrichtung des Sechsers nach distal, um die Stützzone möglichst wenig einzuengen. Geht der zweite Milchmolar verloren oder wird aufgrund extremer Verkeilung extrahiert, muss in der Regel später kieferorthopädisch der Platz für den bleibenden zweiten Prämolaren wiederhergestellt werden, da der Sechser mesialwärts durchbricht (Abbildung 6).
Zahnwechsel im Inzisivenbereich
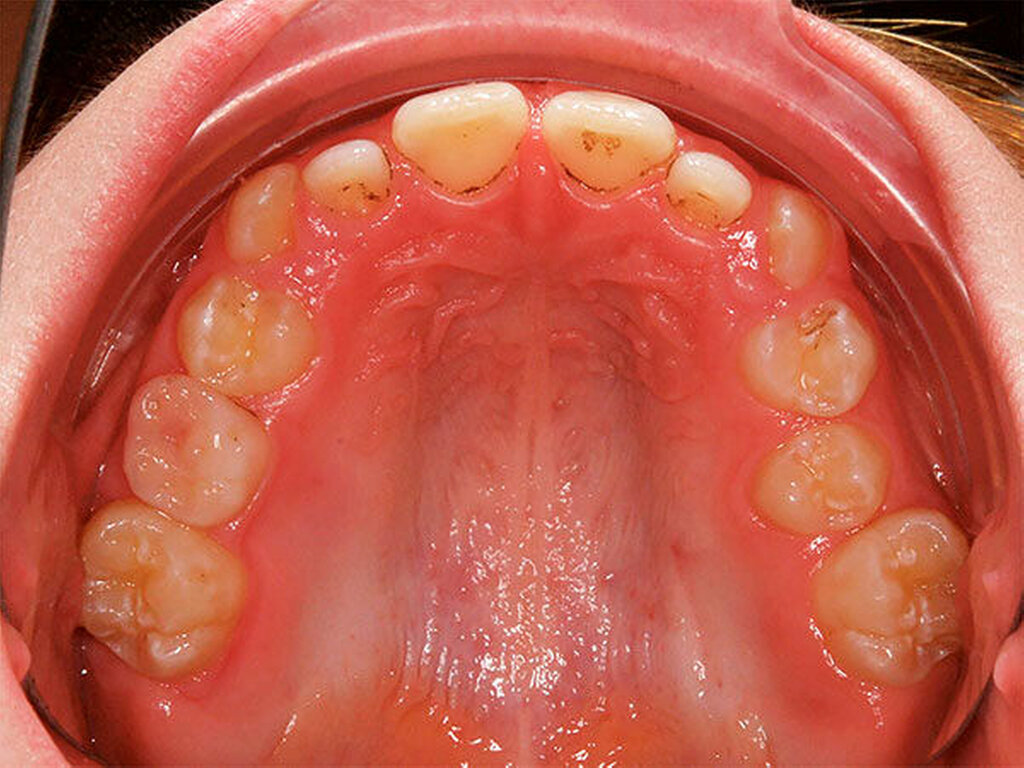
Wie bei den Molaren ist auch im Inzisivenbereich besonders auf Asymmetrien im Zahnwechsel zu achten. Neben vielen anderen Ursachen kann der Durchbruch der oberen Schneidezähne auch durch überzählige Zahnanlagen, beispielsweise einem Mesiodens zwischen den oberen mittleren Schneidezähnen, behindert werden. 85 Prozent aller überzähligen Zähne finden sich im Oberkiefer und dort überwiegend in der Region der mittleren Schneidezähne [Bodin, 1978]. Ein zeitlich deutlich verzögerter oder ausbleibender Durchbruch eines mittleren oberen Inzisivus kann ein Hinweis auf ein Durchbruchshindernis sein und sollte röntgenologisch abgeklärt werden (Abbildung 7)! Eine Aplasie des mittleren oberen Schneidezahns ist mit einer Prävalenz von 0,01–0,04 Prozent extrem selten [Polder, 2004]. Als letzte Zähne der ersten Wechselgebissperiode brechen die lateralen oberen Inzisiven im Alter von circa acht Jahren durch. Da diese Zähne nach den unteren Fünfern am zweithäufigsten nicht angelegt sind [Polder, 2004], sollte bei Milchzahnpersistenz beziehungsweise ausbleibendem Durchbruch differenzialdiagnostisch eine Übersichtsaufnahme angefertigt werden.


II. Ruhephase des Zahnwechsels und zweite Wechselgebissphase
Beurteilung der Platzverhältnisse
In dieser Phase der Entwicklung sollte ein besonderes Augenmerk auf die Platzverhältnisse in den Stützzonen gelegt werden, die wie beschrieben vom Milcheckzahn und den beiden Milchmolaren eines Quadranten gebildet werden. Diese Zähne sichern die Distanz zwischen den bereits durchgebrochenen permanenten seitlichen Inzisiven und dem Sechsjahrmolaren und somit den Raum für die später durchbrechenden permanenten Eckzähne und Prämolaren. Nach einem frühzeitigen Milchzahnverlust in der Stützzone kann es zu einer Elongation der antagonistischen Zähne kommen. Zudem besteht die Gefahr der Mesialwanderung des Sechsjahrmolaren. Durch diese Verringerung der Zahnbogenlänge kann ein Platzmangel für die später durchbrechenden Prämolaren beziehungsweise für den Eckzahn resultieren [Northway, 2000]. Daher wird bei frühzeitigem Milchzahnverlust, insbesondere bei Verlust der zweiten Milchmolaren oder der Milcheckzähne, das Eingliedern eines Lückenhalters empfohlen [DGZMK, 2004] (Abbildung 8).
Beurteilung der Okklusion
Extreme Klasse-II-Anomalien mit stark vergrößerter Frontzahnstufe
Eine weitere Indikation für eine kieferorthopädische Frühbehandlung, gegebenenfalls bereits in der ersten Wechselgebissphase oder Ruhephase des Zahnwechsels, kann die ausgeprägte Rücklage des Unterkiefers (mandibuläre Retrognathie), vergesellschaftet mit einer extrem vergrößerten Frontzahnstufe darstellen (Abbildung 9a), [DGKFO, 2000]. Durch die sagittale Lagedifferenz zwischen Ober- und Unterkiefer mit extrem großer Frontzahnstufe zeigt sich klinisch häufig eine Einlagerung der Unterlippe palatinal der Oberkieferschneidezähne, ein kompetenter Lippenschluss ist hier oft nicht möglich [Fränkel, 1992] (Abbildung 9b). Weiterhin besteht für die permanenten Oberkieferfrontzähne durch ihre exponierte Position eine wesentlich höhere Gefährdung durch traumatische Einflüsse [Koroluk, 2003; Schopf, 1989]. Untersuchungen von Bauss et al. [Bauss, 2008; Bauss, 2004] und Shulman und Peterson [Shulman, 2004] zeigen, dass eine vergrößerte Frontzahnstufe die Gefahr eines Frontzahntraumas signifikant erhöht und zudem bei fehlender Lippenabdeckung der Schneidezähne der Schweregrad des Frontzahntraumas deutlich zunimmt. Für den individuellen Fall ist es also notwendig, das jeweilige Traumarisiko unter Berücksichtigung der Vorgeschichte des Patienten, seiner Aktivitäten und seiner dentalen und Weichteilmorphologie einzuschätzen. Moderate Klasse-II-Anomalien können gut in der zweiten Wechselgebissphase therapeutisch angegangen werden, zum Beispiel auch mit funktionskieferorthopädischen Apparaturen wie dem Aktivator und seinen Modifikationen.
Überwachung der Dentition
Ein besonderes Augenmerk erfordern generell ankylosierte Milchzähne, die die weitere Kieferentwicklung behindern können. Die klinische Bewertung eines ankylosierten Milchzahns hängt stark mit dem noch zu erwartenden Wachstum im Alveolarfortsatzbereich zusammen – ist ein Großteil dieses Wachstums bereits erfolgt, können ankylosierte Milchzähne gegebenenfalls auch belassen und beobachtet werden. Da jedoch beim jungen Patienten und beim frühen Eintreten der Ankylose infolge dieser Zahn-Knochen-Verbindung in dem Areal das vertikale Alveolarfortsatz-Wachstum sistiert, imponieren die betroffenen Zähne meist durch eine mit dem Wachstum fortschreitende Infraokklusion. Wird das Kontaktpunktniveau deutlich unterschritten, drohen zum einen Elongationen der Antagonisten und zum anderen das Kippen benachbarter Zähne hin zum ankylosierten Milchzahn [Kurol 1984] (Abbildungen 10a bis 10d). Ist der physiologische Ablauf des Zahnwechsels gestört, sollte der (ankylosierte) Milchzahn extrahiert werden. Später ist eine prothetische/implantologische Versorgung oder ein kieferorthopädischer Lückenschluss durch Mesialisation der Molaren möglich (Abbildungen 10e und 10f).


Der Zahnwechsel in den Stützzonen beginnt bei Mädchen im Durchschnitt mit circa 9¾ Jahren, bei Jungen mit circa 10½ Jahren [van der Linden, 1980], wobei die Stützzonenzähne zeitlich in zwei Gruppen durchbrechen. Zunächst erfolgt der Durchbruch der unteren Dreier und unteren Vierer relativ zeitgleich mit dem Durchbruch der oberen Vierer. Mit einer Verzögerung von circa acht Monaten [van der Linden, 1980] folgen der Zahnwechsel der zweiten Prämolaren in Ober- und Unterkiefer sowie der Durchbruch des oberen Eckzahns. Bei atypischer Keimlage (anlagebedingt oder infolge eines Platzmangels) können permanente Zähne auf ihrem Durchbruchsweg ihren Milchvorgänger ganz oder teilweise verfehlen. Dadurch kann es zu einer nicht zeitgerechten Exfoliation des Milchzahns und zur Durchbruchsbehinderung des permanenten Nachfolgers kommen. Milchzähne, die den Durchbruch des permanenten Nachfolgers behindern, sollten entfernt werden. Aufgrund der oben beschriebenen Durchbruchsreihenfolge, die jedoch starken interindividuellen Schwankungen unterliegt, sind im Unterkiefer besonders die zweiten Prämolaren und im Oberkiefer die Eckzähne und zweiten Prämolaren, das heißt die jeweils zuletzt in der Stützzone durchbrechenden Zähne gefährdet und erfordern eine besondere Überwachung durch den Zahnarzt. Besonderes Augenmerk sollte bei der zahnärztlichen Überwachung der Gebissentwicklung auf den Durchbruch der oberen Eckzähne gelegt werden. Sie sind nach den unteren Weisheitszähnen die Zähne, die am häufigsten von Retentionen und Verlagerungen betroffen sind. Da der obere Eckzahn der letzte Zahn der zweiten Durchbruchs-Sequenz ist, wirkt sich ein defizitäres Platzangebot hier am stärksten aus, da der vorhandene Platz bereits von den Prämolaren, insbesondere dem Vierer, aufgebraucht wurde (Abbildung 11). Die Folgen können ein vestibulärer oder gänzlich ausbleibender Durchbruch sein. Der obere Eckzahn erfordert besondere Aufmerksamkeit, da der Durchbruchsweg der oberen Canini von allen bleibenden Stützzonen-Zähnen am längsten ist (die Zahnkeime liegen zunächst neben der Apertura piriformis). Zudem liegen die Eckzähne aus Platzgründen zunächst in einer mesial angulierten Stellung im Kiefer [van der Linden, 1980]. Erst mit voranschreitender Kieferentwicklung und Zunahme der sagittalen und transversalen Dimensionen sowie dem Durchbruch und der korrekten Positionierung der seitlichen Schneidezähne und ersten Prämolaren im Zahnbogen erfolgt die Aufrichtung der Dreier.
Zum Ende der Wechselgebissperiode, mit etwa 12 Jahren, ist der Durchbruch der zweiten Zuwachszahnung zu beobachten. Dabei richten sich die oberen Siebener aus einer zunächst disto-bukkalen Stellung auf. Im Unterkiefer hingegen zeigen die zweiten Molaren eine eher nach lingual gekippte Krone [van der Linden, 1980]. Dies kann dazu führen, dass sich bei nicht zeitgerechtem Aufrichten der Siebener im OK und UK die Okklusalflächen verpassen und sich eine bukkale Nonokklusion einstellt. Grundsätzlich gilt, dass eine kieferorthopädische Behandlung bei einem jugendlichen Patienten erst abgeschlossen werden sollte, wenn die oberen und unteren Siebener in einer akzeptablen Okklusionsbeziehung stehen (eine geringe transversale Kopfbisstendenz kann dabei tolerabel sein). Eine zahnärztliche Überwachung der Okklusionseinstellung der Siebener ist daher wichtig.

Zusammenfassung
In allen Entwicklungsphasen vom Milchgebiss bis in die permanente Dentition kommt dem (Kinder-)Zahnarzt eine übergeordnete Bedeutung bei der Erkennung von Abweichungen zu. Hierbei sollten neben der wichtigen zahnärztlichen und kariologischen Betreuung immer drei Fragen zusätzlich im Fokus stehen:
1. Sind die Platzverhältnisse für die im Zahnwechsel anstehenden Zähne ausreichend oder droht eine Retention/Verlagerung dieser Zähne?
2. Erfordern Okklusionsstörungen ein frühzeitiges Eingreifen aus kieferorthopädischer Sicht? Dies ist beispielsweise bei seitlichen/ frontalen Kreuzbissen, bei ausgeprägten dentoalveolären und/oder bei skelettalen Abweichungen der Fall. Zumindest sollte eine kieferorthopädische Abklärung veranlasst werden, um den für den Patienten optimalen Behandlungszeitpunkt zu ermitteln.
3. Drohen Abweichungen in der Dentition, zum Beispiel Milchzähne als Durchbruchshindernis oder Aberrationen der permanenten Zähne auf dem Durchbruchsweg?
Diese Fragen erleichtern in allen Gebissentwicklungsphasen ein systematisches Abklopfen auf Störungen der Zahn-Kiefer-Gebissentwicklung, die dann zwischen Zahnarzt und Kieferorthopäden gemeinsam abgeklärt werden können. Innerhalb der Zahnmedizin nimmt die Kieferorthopädie somit eine wichtige Rolle ein, nicht nur für die Therapie von bereits manifestierten Zahn- oder Kieferfehlstellungen, sondern auch zur Prävention.
Dr. Chris Köbel
Lehrbeauftragter der Poliklinik für Kieferorthopädie des Universitätsklinikums Heidelberg
Im Neuenheimer Feld 400, 69120 Heidelberg
Fachzahnarzt für Kieferorthopädie in Zwickau
Carl-Goerdeler-Str. 2A
08066 Zwickau
chris.koebel@t-online.de
Univ.-Prof. Dr. Christopher J. Lux
Ärztlicher Direktor der Poliklinik für Kieferorthopädie des Universitätsklinikums Heidelberg
Im Neuenheimer Feld 400, 69120 Heidelberg
Literaturverzeichnis
1 - Baccetti T, McGill JS, Franci L, McNamara JA, Tollaro, I. Skeletal effects of early treatment of Class III malocclusion with maxillary expansion and face-mask therapy. Am J Orthod Dentofacial Orthop 1998;113:333-343
2 - Bauss O, Freitag S, Röhling J, Rahman A: Influence of overjet and lip coverage on the prevalence and severity of incisor trauma. J Orofac Orthop 2008;69:402-410
3 - Bauss O, Röhling J, Schwestka-Polly R. Prevalence of traumatic injuries to the permanent incisor in candidates for orthodontic treatment. Dent Traumatol 2004;20:61-66.
4 - Bodin I, Julin P, Thomsson M: Hyperdontia I. Frequency and distribution of supernumerary teeth among 21.609 patients. Dentomaxillofac Radiol 1978; 7: 15-17
5 - Cozza P, Baccetti T, Franchi L, Mucedero M, Polimeni A. Sucking habitus and facial hyperdivergency as risk factors for anterior open bite in the mixed dentition. Am J Orthod Dentofacial Orthop 2005;128 (4):517-519
6 - Da Silva Filho OG; Magro AC, Filho LC. Early treatment of the Class III malocclusion with rapid maxillary expansion and maxillary protraction. Am J Orthod Dentofacial Orthop 1998;113 (6):196-202
7 - Dausch-Neumann D. Funktionelle Apparate zur Abstellung von Fehlfunktionen bei Kleinkindern. Fortschr Kieferorthop 1983; 44 (3):184-191
8 - Kahl-Nieke B. Kieferorthopädische Frühbehandlung - was müssen wir wissen? Quintessenz 2015; 66 (2), 133-140
9 - DGKFO. Optimaler Zeitpunkt für die Durchführung kieferorthopädischer Maßnahmen (unter besonderer Berücksichtigung der kieferorthopädischen Frühbehandlung. Stellungnahme 07/2000;http://www.dgkfo.de/
10 - DGZMK. Indikation und Gestaltung von Lückenhaltern nach vorzeitigem Milchzahnverlust. Stellungnahme Juli 2004; www.dgzmk.de
11 - Franci L, Baccetti T, McNamara JA. Postpubertal assessment of treatment timing for maxillary expansion and protraction therapy followed by fixed appliences. Am J Orthod Dentofacial Orthop 2004;126(5):555-568
12 - Fränkel C, Fränkel R. Der Funktionsregler in der orofazialen Orthopädie. Heidelberg: Hüthig 1992
13 - Grabowski R, Kundt G, Stahl F. Zusammenhang von Okklusionsbefunden und orofazialem myofunktionellem Status im Milch- und frühen Wechselgebiss. Teil III: Zusammenhang zwischen Gebissanomalien und orofazialen Dysfunktionen. J Orofac Orthop 2007;68:462-476
14 - Grabowski R, Stahl F. Die offene Mundhaltung im Kindesalter – Häufigkeit und Folgewirkungen. Inf Orthod Kieferorthop 2008;40:101-109
15 - Harrison JE, Ashby D. Orthodontic treatment for posterior crossbites. Cochrane Database of Sytematic Reviews 2001, Issue 1. Art. No.: CD000979. DOI: 10.1002/14651858.CD000979
16 - Hesse KL, Artun J, Joondeph DR, Kennedy DB. Changes in condylar position and occlusion associated with maxillary expansion for correction of functional unilateral posterior crossbite. Am J Orthod Dentofacial Orthop 1997; 111: 410-8
17 - Keeling SD, Wheeler TT, King GJ, et al. Anteroposterior skelettal and dental changes after early Class II treatment with bionators and Headgear. Am J Orthod Dentofacial Orthop 1998;113:40-50
18 – Köbel C. Transversale Nachentwicklung des Oberkiefers mittels Kappen-GNE. Grundlagen, klinisches Management und Herstellung. Quintessenz Zahntech 2017;43(10):2–17
19 - Koroluk LD, Tulloch JF, Phillips C: Incisor trauma and early treatment for Class II Division 1 malocclusion. Am J Orthod Dentofacial Orthop 2003;123(2):117-126
20 - Kurol J, Berglund L. Longitudinal study and cost-benefit analysis of the effect of early treatment of posterior crossbites in the primary dentition. Eur J Orthod 1992; 14:173-9
21 - Kurol J, Thilander B: Infraocclusion of primary molars and the effect on occlusal development, a longitudinal study. Eur J Orthod 1984;6: 277-293
22 - Lang M, Droschl H. Progenie – Frühbehandlung oder Spätbehandlung? Eine vergleichende Studie. Inf Orthod Kieferorthop 2001;33: 329-342
23 - Leighton BC. The early signs of malocclusion. Rep Congr Eur Orthod Soc 1969:353-368
24 - Leighton BC. Variationen der normalen Gebissentwicklung von der Geburt bis zum Erwachsenenalter. Fortschr. Kieferorthop 1978;39(3):181-195
25 - Linder-Aronson S. Der offene Biss in Relation zur Atmungsfunktion. Fortschr Kieferorthop 1983;44(1): 1-11
26 - Lux CJ, Conradt C, Burden D, Komposch G. Three-Dimensional Analysis of Maxillary and Mandibular Growth Increments. Cleft Palate-Craniofacial Journal, May 2004, Vol.41 No.3
27 - Lux CJ, Raeth O, Burden D, Conradt C, Komposch G. Sagittal- und Vertikalentwicklung der Kieferbasen bei Anomalien der Angle-Klassen II/1 und II/2 in der präpubertären und pubertären Wachstumsphase. J Orofac Orthop 2004; 65: 290-311
28 - Moyers RE, van der Linden FP, Riolo ML, McNamara JA: Standards of Human Occlusal Development (Monograph No.5, Craniofacial groth series) Center for Human Growth and Development. Univ. of Michigan, Ann Arbor 1976
29 - Northway WM: The not so harmless maxillary primary first molar extraction. J Amer Dent Assoc 2000;131:1711-1714
30 - Polder BJ, Van't Hof MA, Van der Linden FP, Kuijpers-Jagtman AM. A meta-analysis of the prevalence of dental agenesis of permanent teeth. 2004: Comm Dent Oral Epidemiol 2004: 32(3): 217-226
31 - Rakosi T, Jonas I. Kieferorthopoädie - Diagnostik. In: Rateitschak KH (Hrsg.): Farbatlanten der Zahnmedizin (8). Thieme 1989
32 - Saadia M, Torres E. Sagittal changes after maxillary protraktion with expansion in class III patients in the primary, mixed, and late mixed dentitions: a longitudinal retrospective study. Am J Orthod Dentofacial Orthop 2000;117(6):669-680
33 - Santos Pinto A, Buschang PH, Throckmorton GS, Chen P. Morphological and positional asymmetries of young children with functional unilateral posterior crossbite. Am J Orthod Dentofacial Orthop 2001; 120: 513-20
34 - Schopf P. Frontzahntrauma/Frontzahnverlust – epidemiologische und Kieferorthopädische Aspekte. Fortschr Kieferorthop 1989;50:584-598
35 - Schopf, P: Indikation und Häufigkeit kieferorthopädischer Frühbehandlungs- bzw. interzeptiver Maßnahmen. J Orofac Orthop 2003;64:186-200
36 - Shulman JD, Peterson J. The association between incisor trauma and occlusal characteristics in individuals 8-50 years of age. Dent Traumatol 2004;20:76-74
37 - Sillman JH. Dimensional changes of the dental arches, longitudinal study from birth to 25 years. Am J Orthod 1964;50:824-842
38 - van der Linden FPGM, Duterloo HS: Die Entwicklung des menschlichen Gebisses. Ein Atlas. Quintessenz Verlags-GmbH, Berlin 1980
39 - van Waes HJM, Stöckli PW. Kinderzahnmedizin. In: Rateitschak KH, Wolf HF (Hrsg.): Farbatlanten Der Zahnmedizin (17). Thieme 2001

























