Wenn der Kollege nicht lege artis behandelt hat
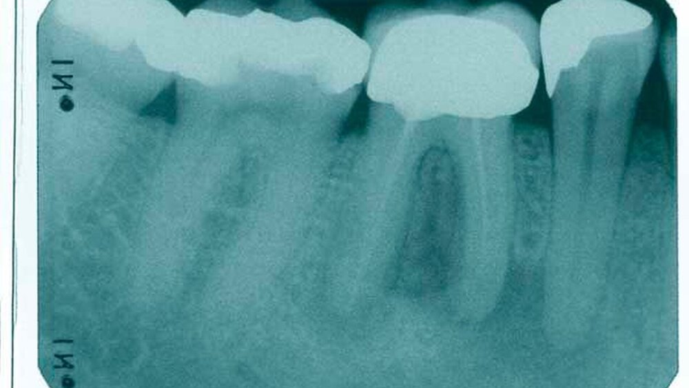
Der Fall: Cäcilia S. ist GKV-versichert. Nach ihrem berufsbedingten Umzug stellt sie sich im neuen Wohnort mit der Notwendigkeit einer Überkronung des Zahnes 24 in der Praxis von Dr. Peter B. vor. Der Befund ergibt ein suffizient konservierend versorgtes Gebiss mit einer Aufbaufüllung am zu überkronenden Zahn, der gemäß Anamnese auch endodontisch versorgt wurde. Ein mitgeführtes, etwa vier Jahre altes Röntgenbild, das vom früheren Zahnarzt der Patientin, Dr. Otto T., unmittelbar nach Abschluss der Wurzelkanalbehandlung angefertigt wurde, zeigt eine an beiden Kanälen bis ins letzte Drittel reichende, also den kassenzahnärztlichen Vorgaben entsprechende Wurzelfüllung.
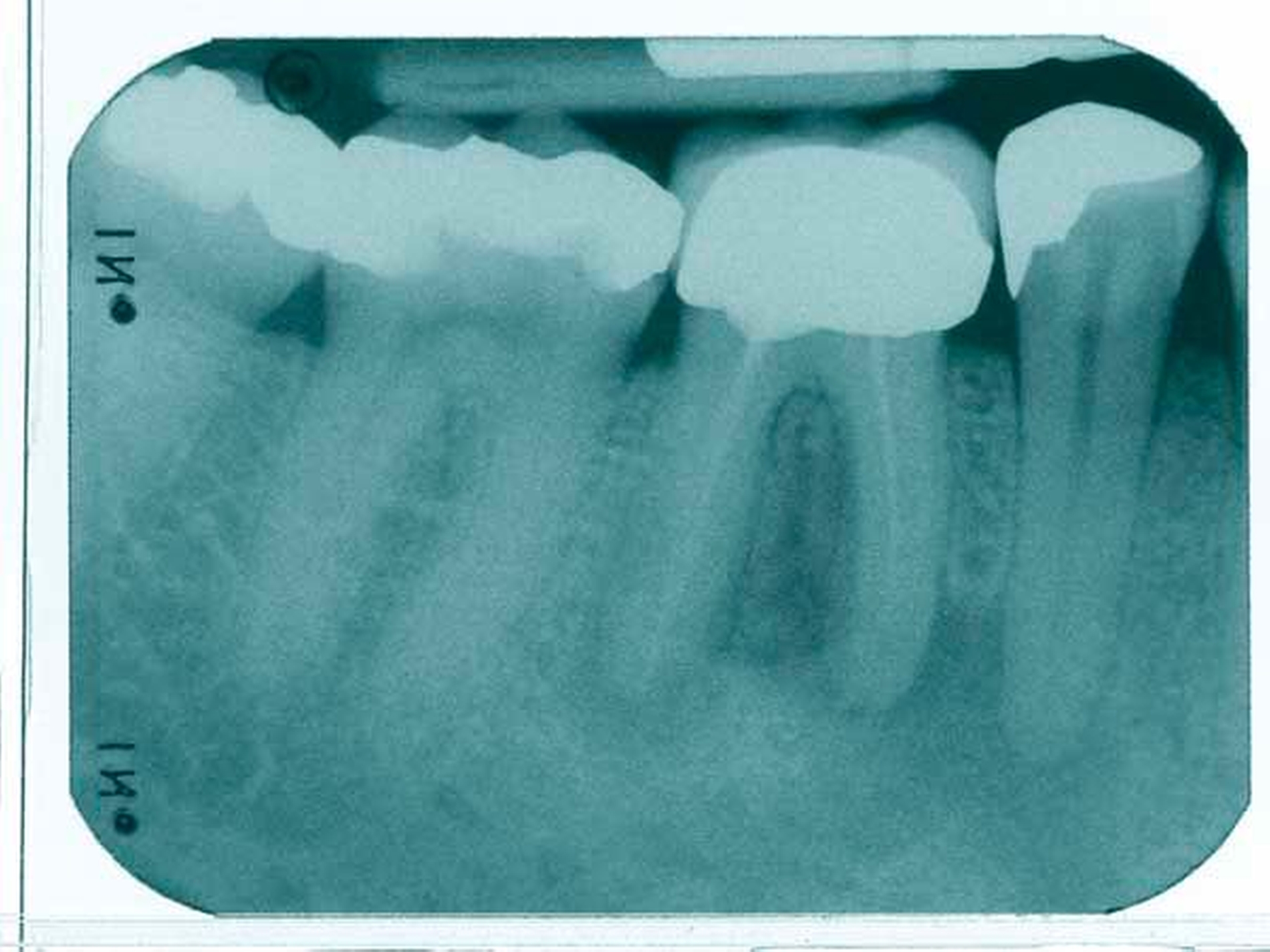
B. beschließt, eine neue Röntgenaufnahme anzufertigen, auf der jedoch die Wurzelfüllung nur noch schwach erkennbar ist und im oberen Drittel der Kanäle endet. Auf Nachfrage gibt die Patientin an, sie habe für die Durchführung der Wurzelbehandlung nach aktuellem wissenschaftlichem Standard in einer deutschen Großstadt seinerzeit 250 Euro zuzahlen müssen. Zunächst zieht B. einen Mangel im Entwicklungsprozess seiner Röntgenbilder in Erwägung und fertigt unter sorgfältiger Abwägung eine weitere Aufnahme an, die aber den gleichen Befund zeigt. Daraufhin beschließt er, den vorbehandelnden Kollegen telefonisch zu kontaktieren. Der erklärt in diesem Gespräch, dass in seiner Praxis ausschließlich Calciumhydroxid zum Einsatz kommt. B. berichtet von der Resorption des Materials und gibt an, zunächst eine Revision durchzuführen, anschließend den Zahn lege artis abzufüllen und nach Ausheilung die prothetische Versorgung bei der Krankenkasse der Patientin zu beantragen, da nach den gegebenen Umständen eine Ablehnung des Antrags zu erwarten sei. T. antwortet daraufhin, dieses Problem habe er regelmäßig, würde es aber durch erneutes Einbringen von Calciumhydroxid und die zeitnahe Anfertigung eines Röntgenbildes umgehen: Mit der neuen Röntgenaufnahme habe es noch nie Probleme mit Krankenkassen im Zusammenhang mit beantragten prothetischen Versorgungen gegeben.
B. ist sich sicher, dass dieses Verfahren nicht den Regeln einer fachgerechten und sorgfältigen zahnärztlichen Behandlung entspricht, da schließlich sowohl die Patientin als auch der Kostenträger getäuscht werden. Besonders erschwerend kommt aus seiner Sicht hinzu, dass T. Calciumhydroxid offensichtlich standardmäßig als definitives Wurzelfüllungsmaterial einsetzt. Allerdings ist er unsicher, wie er aufgrund der Verpflichtung zur Kollegialität mit der Situation umgehen soll und welche Maßnahmen er ergreifen darf oder ob er sogar dazu verpflichtet ist, entsprechende Schritte einzuleiten. Muss er die Patientin über die aus seiner Sicht unsachgemäße Behandlung aufklären? Soll er den Vorfall an die zuständige Zahnärztekammer oder KZV melden? Oder ist es ausreichend, an das Gewissen seines Kollegen zu appellieren?
Kommentar 1: „Zunächst sollte das kollegiale Gespräch gesucht werden“
Der geschilderte Fall stellt eine Situation dar, die in ähnlicher, vielleicht weniger ausgeprägter Form vielen von uns in eigener Praxis tätigen Kollegen bereits untergekommen sein dürfte. Man wird damit konfrontiert, dass ein vorbehandelnder Kollege Therapiemethoden einsetzt, die man selbst nicht vertreten kann und auf deren Basis eine Weiterversorgung nicht angezeigt ist. Anhand der Prinzipienethik nach Beauchamps und Childress sollen im Folgenden mögliche Lösungsansätze für das Dilemma gefunden werden.
Nicht-Schadensgebot (Primum nil nocere) und Gebot des Wohltuns (Benefizienz-Prinzip):
Diese beiden Prinzipien sind in diesem Fall auf zwei Ebenen eng verschränkt:
a) patientenbezogen: Das Nichtschadensgebot verbietet die Weiterversorgung des Zahnes 24 ohne vorherige Revision der endodontischen Behandlung, da die vom vorbehandelnden Kollegen genutzte, ihrem Wesen nach temporäre Wurzelfüllung weiter resorbiert und das resultierende Lumen mit hoher Wahrscheinlichkeit bakteriell besiedelt wird. Als Folge sind pathologische periradikuläre Prozesse zu erwarten, die à la longue zu einem Zahnverlust führen können. Da die Patientin röntgenologisch bereits eine insuffiziente endodontische Versorgung des Zahnes 24 aufweist, ist diese zu revidieren und fachgerecht zu versorgen. Dies wird, vor allem auch aufgrund der Tatsache, dass sie bei der Vorbehandlung eine nicht unerhebliche Zuzahlung zu leisten hatte, sicherlich kein einfaches Gespräch, auf das man sich gut vorbereiten muss.
b) auf eine größere Patientenzahl bezogen: Da T. im Telefonat klargestellt hat, dass er diese unsachgemäßen endodontischen Behandlungen standardmäßig durchführt, ist davon auszugehen, dass viele weitere Patienten potenziell in gleicher Weise geschädigt wurden. Durch die Täuschung der Kostenträger wird die insuffiziente Versorgungsform nur kurzfristig kaschiert. Nach der prothetischen Versorgung könnten erneute medikamentöse Einlagen entweder überhaupt nicht oder nur unter Schädigung (Trepanation) der Kronen erfolgen. Somit ist es zur Schadensvermeidung auch über die aktuell in Behandlung befindliche Patientin hinaus angezeigt, den Kollegen auf die falsche Herangehensweise hinzuweisen und auf ihn einzuwirken, die Behandlungsmethodik zu einer endodontischen Lege-artis-Versorgung hin zu ändern – notfalls unter Zuhilfenahme des Mittels der Meldung an die zuständige Standesvertretung.
Respekt vor der Patientenautonomie:
Einfacher gestaltet sich die Abwägung in Hinblick auf die Patientenautonomie. Die Patientin wünscht (und benötigt) die prothetische Versorgung des Zahnes 24. Dies ist nach entsprechender Vorbehandlung – in diesem Fall der Revision des endodontischen Systems – auch indiziert. Somit kann dem Wunsch der Patientin nachgekommen werden. Mit Blick auf die Entscheidung bezüglich einer Meldung an KZV oder Kammer oder ein alternatives Einwirken auf den Kollegen hilft dieses Prinzip B. allerdings nicht weiter.
Gerechtigkeit:
a) gegenüber der Patientin und der Gemeinschaft der Versicherten: T. hat mit seinem Therapieschema einer dauerhaft temporären Wurzelfüllung gegen die Richtlinien des Gemeinsamen Bundesausschusses verstoßen, die (unter anderem) allen Patienten den Zugang zu zahnmedizinisch notwendigen Leistungen gewährleisten sollen. Die Richtlinie beschreibt unter Punkt 9.1. eine für den Patientenschutz durchaus sinnvolle „Einschränkung“ an die zu verwendenden Materialien: „Es sollen biologisch verträgliche, erprobte, dauerhafte, randständige und röntgenpositive Wurzelfüllmaterialien verwendet werden.“ Folglich findet seitens T. nun schon seit mindestens vier Jahren systematisch eine diesbezüglich nicht richtlinienkonforme Versorgung seiner Patienten statt. Dass die Patientin S. einen erheblichen Eigenanteil zu tragen hatte, lässt die Möglichkeit offen, ob T. die Behandlung rein privat und ohne Beteiligung der gesetzlichen Kostenträger durchgeführt hat. Auch in diesem Fall entspräche die Versorgung nicht dem Stand der Wissenschaft, allerdings wäre statt der KZV die Kammer der richtige Ansprechpartner, da Leidtragender nicht die Gemeinschaft der Versicherten ist.
b) gegenüber dem Kollegen: Ein zweiter Aspekt der Gerechtigkeit ist die Verhältnismäßigkeit einer Meldung des Kollegen bei der Standesvertretung. Zu überlegen ist, ob die Ungerechtigkeit, die den Patienten durch die unsachgemäße Wurzelfüllung sowie die eventuellen Folgekosten entsteht, eine möglicherweise ungerechtfertigte Meldung des Kollegen – im Sinne eines Verstoßes gegen die Kollegialität – aufwiegt. So wird T. sein Handeln vielleicht damit rechtfertigen, seinen Patienten mit dem eingebrachten Material keinen Schaden zuzufügen, sondern ein bioverträgliches Produkt einzusetzen. Dagegen können die Folgen einer Meldung des Kollegen mit durchaus empfindlichen Sanktionen verbunden sein. Entsprechend sollte dieses Mittel nur als Ultima Ratio und nach sorgfältiger Abwägung aller Aspekte zum Einsatz kommen.
Fazit:
Einiges – nicht zuletzt auch die offensichtlichen Täuschungstatbestände von T. den Kostenträgern gegenüber – spricht auf den ersten Blick dafür, die Kammer beziehungsweise KZV zu informieren und das Verhalten des Kollegen anzuzeigen. Allerdings wird eingangs auch geschildert, dass die konservierende Versorgung der Patientin durchaus ordentlich ist. Somit verstößt T. nicht durchweg in seinem Handeln gegen das Patientenwohl. Eine Einsichtsfähigkeit würde ich a priori unterstellen.
Unter Wahrung der „Eskalationsstufen“ und der Kollegialität, nicht zuletzt auch der genannten Aspekte der Gerechtigkeit, empfehle ich folgendes Vorgehen: Abhängig davon, wie sich T. in einem kollegialen Gespräch äußert, lässt sich sicherlich einschätzen, ob eine Bereitschaft zur Korrektur des Vorgehens in Zukunft besteht. Dabei muss auch die suffiziente Revision der Wurzelkanalfüllung, zumindest vor einer anstehenden prothetischen Versorgung, angeraten werden. Im Gespräch müssen die oben genannten, insbesondere auch richtlinienbezogenen, Punkte angesprochen werden. Zeigt sich der Kollege auch nach Hinweis auf eine möglicherweise folgende Meldung des Verhaltens uneinsichtig, sollte die zuständige Standesvertretung informiert werden. Die umgehende Beteiligung von Kammer oder KZV halte ich nicht für zwingend notwendig. Zum Teil lassen sich dergleichen Probleme bereits durch Einschalten des Kreisstellenvorsitzenden als Mediator über den „kleinen Dienstweg“ lösen.
Kommentar 2: „Das Fehlverhalten muss gemeldet werden“
Rechtliche Beurteilung: Die Qualität einer Wurzelfüllung sollte den wissenschaftlichen Leitlinien und muss bei Kassenpatienten den GKV-Richtlinien entsprechen. Des Weiteren sind die nach den GKV-Richtlinien geforderten Voraussetzungen für eine Überkronung zu befolgen.
Die besonderen Berufspflichten des Zahnarztes sind im § 2,2 der MBO-Z erfasst. Danach ist der Zahnarzt zur Gewissenhaftigkeit und Befolgung der Gebote der ärztlichen Ethik und der Menschlichkeit verpflichtet. Er hat die Regeln der zahnmedizinischen Wissenschaft zu beachten, dem ihm im Zusammenhang mit dem Beruf entgegengebrachten Vertrauen zu entsprechen und sein Wissen und Können in den Dienst der Vorsorge, der Erhaltung und der Wiederherstellung der Gesundheit zu stellen. Außerdem muss der Zahnarzt das Selbstbestimmungsrecht seiner Patienten achten.
Ebenfalls fester Bestandteil der MBO-Z als grundlegende Berufspflicht ist der „Kollegialitätsgrundsatz“, also die Pflicht zum kollegialen Verhalten. In § 8 wird vornehmlich ex negativo festgelegt, was darunter zu verstehen ist: Als unkollegiales Verhalten beschreibt die MBO-Z „herabsetzende Äußerungen“ über Kollegen und ihr Können (§ 8,1). Die Bundeszahnärztekammer kommentiert dies wie folgt: „Unkollegiales Verhalten ist es dagegen nicht, wenn rein sachliche Feststellungen (z. B. im Rahmen von Gutachten) erfolgen und dem Patienten Raum gelassen wird, zu entscheiden, was er tut. Ebenso wenig ist es unkollegial, wenn innerhalb der Kollegenschaft sachliche Auseinandersetzungen zu bestimmten Behandlungsformen geführt werden. Die Grenzen sind erst dann überschritten, wenn der Boden der Sachlichkeit verlassen und der Bereich ehrverletzender Äußerungen erreicht wird.“
Grundsätzliche Vorgehensweisen und Entscheidungsoptionen:
Die in diesem Fall am Zahn 24 gelegte Wurzelfüllung entspricht weder der Behandlungsrichtlinie des G-BA, wonach Wurzelfüllmaterialien unter anderem dauerhaft, erprobt, randständig und röntgenpositiv sein und die Wurzelkanalfüllungen das Kanallumen vollständig ausfüllen sollen, noch den wissenschaftlichen Qualitätsrichtlinien in der Endodontie. Den Berufspflichten entsprechend ist die Patientin über die erforderlichen Maßnahmen sachgerecht unter Beachtung des Selbstbestimmungsrechts aufzuklären.
B. muss ferner wegen der wiederholten und andauernden Verstöße von T. gegen wiederum dessen besondere Berufspflichten tätig werden, dies aber unter Berücksichtigung der Gebote der Kollegialität. Dazu gehört auch ein Einwirken auf T., sein patienten- und gemeinschaftsschädigendes Verhalten abzustellen. Dies kann sich in einem Rahmen vom kollegialen Gespräch bis hin zu einer Meldung an die zuständige Standesorganisation bewegen.
Ethische Analyse gemäß der Prinzipienethik nach Beauchamp und Childress:
B. hat aus Respekt vor der Patientenautonomie die Patientin vollständig und sachgerecht über die notwendige und geplante Revision der Wurzelfüllung vor der Überkronung des Zahnes 24 aufzuklären. In diesem Zusammenhang wird zwangsläufig das Fehlverhalten von T. zur Sprache kommen, das B. den Regeln der Kollegialität entsprechend sachgerecht und nicht herabsetzend kommentieren darf.
T. wiederum hat gegen dieses Prinzip verstoßen, indem er der Patientin eine zahnärztliche Behandlung im Einklang mit den wissenschaftlichen Standards versprochen, diese aber nicht durchgeführt hat.
Dem Nichtschadensprinzip und auch dem hier eng korrelierenden Wohltunsgebot folgend muss eine Revision der infrage stehenden Wurzelfüllung gemäß den geltenden Leit- und Richtlinien erfolgen, um den Behandlungserfolg auch der Überkronung zu sichern. Die Revision ist in diesem Fall einer pastösen Einlage mit den „normalen“ Risiken einer jeden endodontischen Behandlung behaftet und birgt kein besonderes Schadenspotenzial.
Eine weitere Verpflichtung aus dem Nichtschadensgebot erwächst B. aus dem ihm bekanntgewordenen, wiederholten fachlichen und ethischen Fehlverhalten von T. Dieser ist sich dessen offensichtlich ohnehin bewusst und scheint einem kollegialen Rat unzugänglich zu sein, da er im Gegenteil versucht, den Kollegen B. von seiner Vorgehensweise zu überzeugen. Insofern scheint das kollegiale Gespräch als Gebot der Kollegialität und erste Maßnahme zur Konfliktbewältigung nicht fruchtbar und wenig zielführend zu sein. Außerdem fehlt B. jegliche Handhabe, eine durch T. angekündigte Verhaltensänderung zu verifizieren. B. muss seine Vorgehensweise in Bezug auf T. zwischen den Geboten der Kollegialität und den Belangen der Patienten abwägen. In diesem Fall eines bewussten, wiederholten und andauernden Verstoßes gegen ethische und fachliche Standards eines uneinsichtigen Kollegen bleibt ihm nur der Weg einer Mitteilung an die zuständige Standesorganisation.
Besondere Bedeutung kommt in diesem Fall aufgrund der Verletzung des Nichtschadens- und des Wohltunsgebots dem Gerechtigkeitsgebot zu. T. hat in mehrfacher Weise das Nichtschadensprinzip missachtet, indem er Behandlungen – sowohl bei der Patientin S. als auch bei anderen Patienten – wissentlich und wiederholt entgegen den aktuellen wissenschaftlichen Erkenntnissen durchgeführt hat. Er hat unter anderem Infektionen des Wurzelkanalsystems in Kauf genommen, unnötige Revisionen an Wurzelfüllungen durchgeführt, den Kostenträgern ein den Richtlinien entsprechendes Behandlungsergebnis vorgetäuscht und dazu gegebenenfalls unnötigerweise ionisierende Strahlung angewandt. T. hat vermutlich auch Leistungen abgerechnet, obwohl er diese wissentlich nicht ordnungsgemäß erbracht hat und schadet durch sein Verhalten der Versichertengemeinschaft, den Kostenträgern und nicht zuletzt dem Berufsstand.
B., der hiervon Kenntnis erhalten hat, ist nun auch unter diesem Gesichtspunkt gefordert, gegen das Verhalten von T. vorzugehen.
Definitive Abstimmung über die favorisierte Vorgehensweise:
In diesem Fall finden sich übereinstimmende fachliche, rechtliche und ethische Dimensionen, die zu gleichen Bewertungen und Handlungsempfehlungen führen. Insofern sind die in der Falldarstellung aufgeworfenen Fragen einheitlich wie folgt zu beantworten: 1. Die Wurzelfüllung muss einer Revision unterzogen werden. 2. Die Patientin ist vollständig, sachgerecht und unter Beachtung ihres Selbstbestimmungsrechts aufzuklären. 3. B. muss das Fehlverhalten von T. der zuständigen Standesorganisation mitteilen – ein Vorgehen, das im Übrigen im Hinblick auf die Kollegialität ausdrücklich von den (zahn-)ärztlichen Standesorganisationen legitimiert ist.
Die Prinzipienethik
Ethische Dilemmata, also Situationen, in denen der Zahnarzt zwischen zwei konkurrierenden, nicht miteinander zu vereinbarenden Handlungsoptionen zu entscheiden oder den Patienten zu beraten hat, lassen sich mit den Instrumenten der Medizinethik lösen. Viele der geläufigen Ethik-Konzeptionen (wie die Tugendethik, die Pflichtenethik, der Konsequentialismus oder die Fürsorge-Ethik) sind jedoch stark theoretisch hinterlegt und aufgrund ihrer Komplexität in der Praxis nur schwer zu handhaben.
Eine methodische Möglichkeit von hoher praktischer Relevanz besteht hingegen in der Anwendung der sogenannten Prinzipienethik nach Tom L. Beauchamp und James F. Childress: Hierbei werden vier Prinzipien „mittlerer Reichweite“, die unabhängig von weltanschaulichen oder religiösen Überzeugungen als allgemein gültige ethisch-moralische Eckpunkte angesehen werden können, bewertet und gegeneinander abgewogen.
Drei dieser Prinzipien – die Patientenautonomie, das Nichtschadensgebot (Non-Malefizienz) und das Wohltunsgebot (Benefizienz) – fokussieren ausschließlich auf den Patienten, während das vierte Prinzip Gerechtigkeit weiter greift und sich auch auf andere betroffene Personen oder Personengruppen, etwa den (Zahn-)Arzt, die Familie oder die Solidargemeinschaft, bezieht.
Für ethische Dilemmata gibt es in den meisten Fällen keine allgemein verbindliche Lösung, sondern vielfach können differierende Bewertungen und Handlungen resultieren. Die Prinzipienethik ermöglicht aufgrund der Gewichtung und Abwägung der einzelnen Faktoren und Argumente subjektive, aber dennoch nachvollziehbare und begründete Gesamtbeurteilungen und Entscheidungen. Deshalb werden bei klinisch-ethischen Falldiskussionen in den zm immer wenigstens zwei Kommentatoren zu Wort kommen.
Der Arbeitskreis verfolgt die Ziele:
das Thema „Ethik in der Zahnmedizin“ in Wissenschaft, Forschung und Lehre zu etablieren,
das ethische Problembewusstsein der Zahnärzteschaft zu schärfen und
die theoretischen und anwendungsbezogenen Kenntnisse zur Bewältigung und Lösung von ethischen Konflikt- und Dilemmasituationen zu vermitteln.
Oberstarzt Prof. Dr. Ralf Vollmuth
Zentrum für Militärgeschichte und Sozialwissenschaften der Bundeswehr
Zeppelinstr. 127/128
14471 Potsdam
vollmuth@ak-ethik.de
Oberfeldarzt Dr. André Müllerschön
Sanitätsversorgungszentrum Neubiberg
Werner-Heisenberg-Weg 39
85579 Neubiberg
andremuellerschoen@bundeswehr.org
Schildern Sie Ihr Dilemma!
Haben Sie in der Praxis eine ähnliche Situation oder andere Dilemmata erlebt? Schildern Sie das ethische Problem – die Autoren prüfen den Fall und nehmen ihn gegebenenfalls in diese Reihe auf.
Kontakt: Prof. Dr. Ralf Vollmuth
vollmuth@ak-ethik.de








