Langzeit-Metastase eines Mamma-CA bei Verdacht auf Osteomyelitis
Im weiteren Verlauf bestanden nach wie vor rezidivierende Beschwerden im Unterkiefer links. Deshalb erfolgte eine Revision regio 036 mit Entfernung eines Fremdkörpergranuloms und einer narbigen Fibrose durch einen niedergelassenen Mund-, Kiefer-, Gesichtschirurgen. Zwei Wochen nach der Revision zeigten sich eine langsam progrediente Schwellung des linken Unterkiefers mit Taubheitsgefühl der Unterlippe sowie eine persistierende Schmerzsymptomatik.
Anamnese
Die allgemeine Anamnese ergab: Die Patientin hatte vor 27 Jahren eine Ablatio mammae links mit Axilladissektion aufgrund eines Mammakarzinoms (invasiv lobulär; pT3pN0M0, G2, ER-PR-). Vor 26 Jahren erhielt sie eine Tumorresektion der Thoraxwand aufgrund eines Rezidivs mit adjuvanter Nachbestrahlung (50 Gy) sowie eine weitere Axillarrevision aufgrund eines erneuten Rezidivs links axillär (pT2pNxM0, G2, R1) mit erneut adjuvanter Bestrahlung (55 Gy). Dann wurde vor acht Jahren bei ihr eine Therapie mit Aromatasehemmern eingeleitet. Man hatte bei ihr eine Hysterektomie sowie die Adnektomie beidseits durchgeführt. Zusätzlich mussten multiple Basaliome fazial entfernt werden. Darüber hinaus litt sie an einem arteriellen Hypertonus. Neben dem Aromatasehemmer wurden regelmäßig Antihypertonika eingenommen, Allergien bestanden gegen Zink und Nüsse.
Diagnostik
Bei der extraoralen Untersuchung fand sich eine diskrete Schwellung des Unterkiefers und der Wange links sowie eine deutliche Auftreibung des Unterkieferrands links. Daneben bestand eine Hypästhesie im Bereich der Unterlippe mit unsicherer Spitz-Stumpf-Diskrimination. Intraoral zeigte sich eine allseits dichte Schleimhaut. Der Unterkiefer links regio 036 bis 038 war druckdolent und leicht geschwollen, eine Fluktuation oder ein Hinweis auf Abszess gab es aber nicht. Die Sensibilitäts- und Perkussionsproben der Restbezahnung im linken Unterkiefer waren negativ, erhöhte Taschentiefen fanden sich nicht.
In der alio loco durchgeführten OPG-Aufnahme ergaben bei schlechter Aufnahmequalität ein allenfalls geringes sklerotisches Areal regio 036 sowie eine leichte apikale Aufhellung am Zahn 37. In der Clementschitsch-Aufnahme (Abbildung 1) zeigte sich eine - im Vergleich zur Gegenseite - leicht osteolytische Zone regio 038.
Die Patientin wurde daraufhin bei Verdacht auf eine Unterkiefer-Osteomyelitis stationär aufgenommen. In der Labordiagnostik fand sich ein gering erhöhtes CRP von 1,1 mg/dl (Referenz <0,5 mg/dl) bei normwertigen Leukozyten (7,3 /nl) und bei ansonsten unauffälligen Routine-Parametern. In der durchgeführten CT zeigte sich eine unscharfe, runde Osteolyse regio 038 mit periostaler Reaktion (Abbildung 2).
Insgesamt bestand somit die Indikation zur operativen Revision. Diese erfolgte über einen intraoralen Zugang mit Dekortikation, Entnahme multipler Gewebeproben, Neurolyse des Nervus mentalis links, modellierender Osteotomie und offener Nachbehandlung mittels Tamponade (Abbildung 3).
Befund
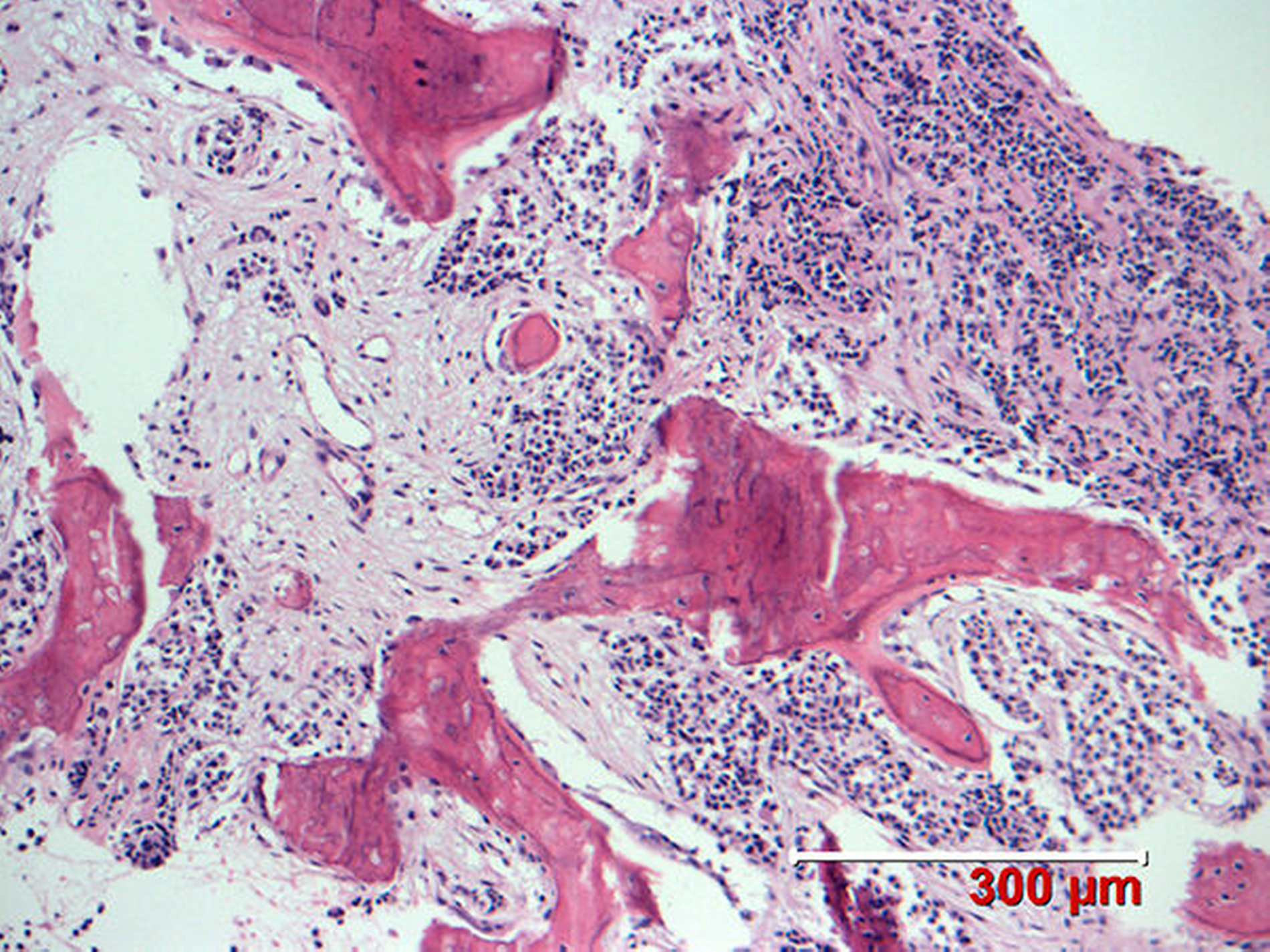
Die pathohistologische Begutachtung (Abbildung 4) ergab eine metastatische Absiedlung eines Mammakarzinoms (ER+/PR-). Im anschließenden Re-Staging fand sich der Verdacht auf weitere osseäre Filiae, insbesondere im Bereich der Wirbelsäule, der fronto-parietalen Schädelkalotte links sowie im Bereich der linken Beckenschaufel (Abbildung 5).
Therapie
Nach Rücksprache mit dem vorbehandelnden Onkologen wurde die Patientin zur Planung des weiteren Procederes dort vorgestellt. Es erfolgte zunächst die Einleitung einer zytostatischen (Fulvestrant) und Bisphosphonat-Therapie. Bei progredientem Verlauf (Weichteilmetastase im Bereich des medialen Oberlides; Abbildung 6) wurde schließlich eine palliative Chemotherapie mittels Epirubicin/ Cyclophosphamid durchgeführt.
Im Verlauf folgten noch eine Zweit-Linien-Chemotherapie mit Docetaxel, eine Dritt-Linien-Chemotherapie mit Gemcitabin undeine Viert-Linien-Chemotherapie mit Capetabin/Vinorelbine. Die Patientin verstarb drei Jahre nach der histologischen Sicherung im Bereich des Unterkiefers an ihrer Grunderkrankung, also 30 Jahre nach der Erstdiagnose.
Diskussion
Das Mammakarzinom ist das häufigste Karzinom der Frau in den westlichen Ländern mit einem Erkrankungsgipfel zwischen dem 40. und 65. Lebensjahr [Balaji et. al., 2007]. Es kann prinzipiell zwar auch bei Männern auftreten, dies ist aber im Vergleich zum weiblichen Geschlecht extrem selten [Ferzoco et. al., 2016].
Die Inzidenz wird mit 117 Neuerkrankungen pro 100.000 Frauen angegeben [Zentrum für Krebsregisterdaten, 2012]. In Deutschland erkranken jährlich somit circa 70.000 bis 75.000 Frauen. Aufgrund der gesteigerten Lebenserwartung und verbesserten Primär- und Sekundärprävention wird statistisch davon ausgegangen, dass jede achte Frau im Laufe ihres Lebens an einem Mammakarzinom erkrankt [Rojas et. al., 2016] bei sinkender Mortalität [Levi et. al., 2001].
In der Literatur wird bei 25 bis 50 Prozent aller Patientinnen ein Rezidiv, an dem die meisten der Frauen versterben [Castiglione et. al., 1994], beschrieben. Dabei handelt es sich bei etwa 10 bis 20 Prozent um isolierte lokoregionäre Rezidive, bei ungefähr 60 bis 70 Prozent der Fälle um eine Fernmetastasierung, davon bis zu 70 Prozent um Skelettmetastasen [Hortobagyi, 1991]. Die häufigste Metastasenlokalisation im Skelettsystem ist die Wirbelsäule. Sie ist mit circa 18 Prozent, gefolgt vom Becken mit etwa 11 Prozent beteiligt.
Die Gesichtsschädelknochen stehen mit etwa 2 Prozent an der fünften Stelle [Dib et. al., 2007]. Als Besonderheit beim Mammakarzinom ist anzumerken, dass, wie auch im vorliegenden Fall, Fernmetastasen auch noch Jahrzehnte nach der Erstdiagnose auftreten können. Dies sollte insbesondere bei der Differenzialdiagnose im Rahmen der zahnärztlichen Anamnese bedacht werden.
Im Rahmen einer oralen Metastasierung finden sich in 90 Prozent knöcherne Raumforderungen. In 60 bis 80 Prozent der Fälle ist hierbei die Mandibula betroffen [Pretzl et. al., 2014]. Die klinische Symptomatik von Fernmetastasen in der Mundhöhle ist meist unspezifisch und aufgrund von multiplen Differenzialdiagnosen nicht immer einfach.
Aus zahnärztlicher/oralchirurgischer Sicht sollte eine Abklärung oder mund-, kiefer-, gesichtschirurgische Überweisung bei folgenden Symptomen erfolgen:
größenprogrediente Schwellung oder Knochenauftreibungen mit oder ohne Schmerzen,
Ulceration der Schleimhaut,
Vincent-Symptomatik,
intermittierende Blutungen,
persistierende Dysphagie / Kaubeschwerden,
V.a. pathologische Fraktur,
progrediente Kieferklemme / Trismus,
Wundheilungsstörung nach Zahnextraktion oder Zahnlockerungen ohne parodontale Ursache [Baum et. al., 2016].
Differenzialdiagnostisch kommen eine Vielzahl an benignen und malignen Tumoren sowie Osteomyelitiden, Abszesse, dentogene Zysten und Systemerkrankungen des Knochens (wiefibröse Dysplasie) in Betracht [De Vicente et. al., 2001].
Zusätzlich zur klinischen Untersuchung sollte neben dem OPG auch eine CT- oder DVT- Bildgebung erfolgen. Mammakarzinom-Metastasen zeigen dabei meist eine osteolytische Läsion, können aber auch osteoblastisch oder gemischt erscheinen [Chappard et. al., 2011]. Bei reinen Weichgewebeläsionen ist eine MRT- Bildgebung zu empfehlen. Je nach Fragestellung kann die Diagnostik daraufhin erweitert werden. Zur definitiven Diagnose einer metastatischen Absiedlung sollte schließlich eine bioptische Sicherung durchgeführt werden.
Interessant erscheint im vorliegenden Fall, dass in Anbetracht der Anamnese, der vorliegenden Vincent-Symptomatik und der alio loco unauffälligen Histologie trotz bekanntem Mammakarzinom zunächst von einer Osteomyelitis ausgegangen wurde und daher eine operative Revision mit Neurolyse, Dekortikation und modellierender Osteotomie erfolgte.
Bei der Vincent-Symptomatik handelt es sich um eine Sensibilitätsstörung mit Hyp- oder Parästhesie bis hin zur Anästhesie im Versorgungsgebiet des Nervus alveolaris inferior. Die Patienten geben meist ein Taubheitsgefühl im Bereich der Unterlippe an. Die Vincent-Symptomatik tritt meist im Rahmen einer Osteomyelitis, einer Faktur oder iatrogen auf [Penarrocha et. al., 2007].
Daneben zeigt sie sich auch bei malignen Prozessen im Kieferbereich, so dass im Rahmen einer operativen Revision immer repräsentative Gewebeproben zur histopathologischen Begutachtung genommen werden sollten, auch wenn bereits vorbestehende Histologien als unauffällig beschrieben wurden. In der vorliegenden Kasuistik konnte die Diagnose trotz jahrelanger Beschwerden ebenfalls erst durch eine weitere Histologie gestellt und die Patientin somit einer onkologischen Therapie zugeführt werden.
Die Erstellung einer anschließenden Therapieempfehlung nach Sicherung einer Fernmetastase ist abhängig von multiplen Faktoren und daher sehr individuell, so dass eine interdisziplinäre Zusammenarbeit mit Erstellung von multimodalen Konzepten unter Leitung eines Onkologen oder einer Tumorkonferenz erforderlich ist.
Fazit für die Praxis
Orale Mammakarzinom-Metastasen sind selten und können auch noch Jahrzehnte nach der Erstdiagnose auftreten
Die klinische Symptomatik ist meist unspezifisch. Diagnostisch sollte zusätzlich zur klinischen Untersuchung neben dem OPG auch eine CT- oder DVT- Bildgebung erfolgen
Zur definitiven Abklärung sollten repräsentative Gewebeproben genommen werden
Eine Vincent-Symptomatik kann ein Hinweis auf eine maligne Erkrankung sein
Dr. Dr. Sven Holger Baum
Prof. Dr. Dr. Christopher Mohr
Universitätsklinik für Mund-, Kiefer- und Gesichtschirurgie Essen
Kliniken Essen-Mitte, Henricistr. 92, 45136 Essen
s.baum@kliniken-essen-mitte.de
Literaturverzeichnis
Balaji R, Ramachandran K, Somanathan T, Nair SG, Krishnakumar AS, Venugopal M.: Breast metastases in an adolescent woman with alveolar rhabdomyosarcoma of the maxillary sinus. Breast J. 2007
Baum SH, Mohr C.: Fernmetastasen im Kopf-Hals-Bereich. Best practice onkologie. 2016
Castiglione M, Schnurch HG, Bender HG, Goldhirsch A.: Prinzipien der adjuvanten medikamentösen Therapie beim Mammakarzinom. Gynäkologe. 1994
Chappard D, Bouvard B, Baslé MF, Legrand E, Audran M.: Bone metastasis: histological changes and pathophysiological mechanisms in osteolytic or osteosclerotic localizations. A review. Morphologie. 2011
De Vicente JC, Martín M, López-Arranz JS.: Asymptomatic epulis of the maxilla. Oral Surg Oral Med Oral Pathol Oral Radiol Endod. 2001
Dib LL, Soares AL, Sandoval RL, Nannmark U.: Breast metastases around dental implants: a case report. Clin Implant Dent Relat Res. 2007
Ferzoco RM, Ruddy KJ.: The Epidemiology of Male Breast Cancer. Curr Oncol Rep. 2016
Hortobagyi GN.: Bone metastases in breast cancer patients. Semin Oncol. 1991
Levi F, Lucchini F, Negri E, La Vecchia C.: The fall in breast cancer mortality in Europe. Eur J Cancer. 2001
Penarrocha M, Cervello MA, Marti E, Bagan JV.: Trigeminal neuropathy. Oral Dis. 2007
Pretzl C, Lübbers HT, Grätz KW, Kruse AL.: [Metastases in the temporomandibular joint: a review from 1954 to 2013. Rare causes for temporomandibular disorders]. Swiss Dent J. 2014
Rojas K, Stuckey A.: Breast Cancer Epidemiology and Risk Factors. Clin Obstet Gynecol. 2016
Zentrum für Krebsregisterdaten in Deutschland / Robert - Koch Institut: Brustkrebs (Mammakarzinom). Berlin. 2012











