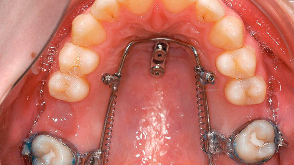
Mini-Implantate und Mesialslider in der Therapie
Heftarchiv
Titel
Dieter
Drescher
,
Benedict
Wilmes
Univ. Prof. Dr. Dieter Drescher
Poliklinik für Kieferorthopädie, Westdeutsche Kieferklinik
Universitätsklinikum Düsseldorf
Moorenstraße 5,
40225 Düsseldorf
Universitätsklinikum Düsseldorf
Moorenstraße 5,
40225 Düsseldorf

Prof. Dr. Benedict Wilmes




