Sanierung nach langer Zahnarztabstinenz und vernachlässigter Mundhygiene
Der Patient stellte sich im April 2011 in der Poliklinik der Akademie für Zahnärztliche Fortbildung Karlsruhe vor. Grund der Konsultation war die ästhetische Situation im Oberkieferfrontzahnbereich, durch die er sich beeinträchtigt fühlte. Das ästhetisch unbefriedigende Erscheinungsbild war auf kariöse Läsionen an fast allen Zähnen zurückzuführen. Dabei hatte der Patient trotz seines desolaten Gebisszustandes weder Schmerzen noch funktionelle Probleme mit seinen Zähnen.
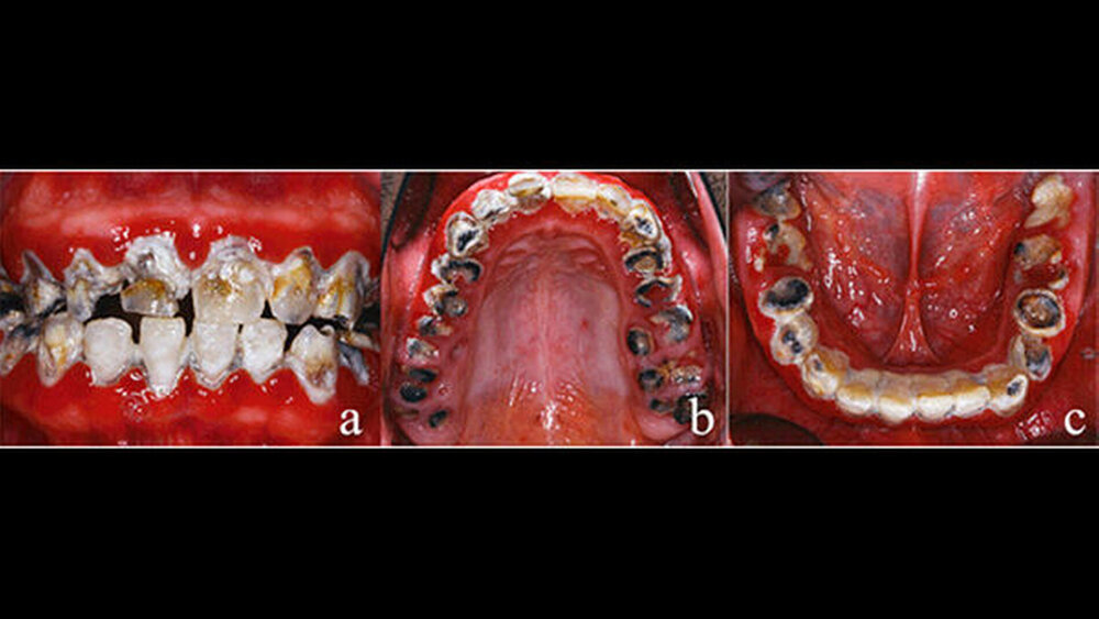
Dem Beginn der zu diesem Zeitpunkt erforderlichen Therapie war eine achtjährige Zahnarztabstinenz und eine damit einhergehende starke Vernachlässigung der Mundhygiene vorausgegangen (Abbildungen 1a-c). Als Grund für die lange Zahnarztabstinenz gab der Patient eine Zahnarztphobie an. Sein äußeres Erscheinungsbild war durchaus gepflegt und stand somit nicht im Einklang mit der oralen Situation. Eine Begründung, warum es zu dem offensichtlich desaströsen Zustand seiner Bezahnung gekommen war, konnte oder wollte der Patient nicht äußern. Die Reaktionen waren auf Nachfrage eher ausweichend und nichtssagend. Der Patient kann als gut situiert bezeichnet werden. Er trat eher introvertiert auf und verbarg seine Zähne beim Reden durch die Lippe.
Sein Wunsch war eine Gesamtrehabilitation des Gebisses in Vollnarkose. Einer implantologischen Versorgung stand er offen gegenüber. Die allgemeinmedizinische Anamnese war unauffällig.

Befund
Der allgemeinzahnmedizinische Befund zeigte ein generalisiert-kariöses Gebiss mit vollständig zerstörten Zähnen im Seitenzahnbereich (Abbildungen 1a-c). Die Zähne 13, 21, 22, 33–43 reagierten beim CO2-Sensibilitätstest positiv. Die restlichen Zähne im Ober- und Unterkiefer zeigten bei Vitalitätsprüfung keine Reaktion. Die Sondierungstiefen lagen im Frontzahngebiet von Ober- und Unterkiefer bei 3–4 mm sowie im Seitenzahnbereich bei größer/gleich 5 mm. Die Ober- und Unterkieferfrontzähne wiesen – im Gegensatz zum Seitenzahnbereich – keine erhöhten Lockerungsgrade auf.
Das OPG (Abbildung 2) zeigte kariöse Defekte an allen Zahnkronen sowie periapikale Osteolysen von 18–15, 24–28, 38–34 und 44–48. Die Zähne 13–23 wiesen kariöse Defekte mit Beteiligung der Pulpa auf. An den Unterkieferfrontzähnen waren keine größeren Defekte oder apikale Aufhellungen zu erkennen.
Bewertung des klinischen Ausgangs-befunds:
Das auffallendste Merkmal im hier zu bewertenden Fall war der Widerspruch zwischen oraler Situation und dem gepflegten Äußeren des Patienten. Man kann zu Recht von einem „paradoxen“ Erscheinungsbild sprechen. Da ein derartiger Zustand sehr selten und schwierig einzuordnen ist, wurde der Fall zur Diskussion der Gesamtplanung in der wöchentlichen Ärztebesprechung vorgestellt. Hier waren alle zahnärztlichen Fachrichtungen vertreten. Die ungewöhnliche Konstellation von Vernachlässigung der Mundhygiene bei gepflegtem äußerlichen Erscheinungsbild erzeugte eine gewisse Unsicherheit hinsichtlich der Einschätzung des Patienten. Eine prima vista Kategorisierung allein auf Basis des zahnärztlichen Befundes hätte die Planung eines hochwertigen Zahnersatzes eher ausgeschlossen. Es bestand aber die Vermutung, dass mit einer solchen Kategorisierung für diesen Patienten keine adäquate Therapieplanung zu begründen war.
Diagnose:
- Generalisierte Gingivitis
- Nicht erhaltungsfähige Zähne 18–14,
24–28, 38–34 und 44–48
- Kariöse Zähne 13–23 und 33–43
Abwägung der Optionen und Risiken
Bei der gestellten Diagnose unter Berücksichtigung einer unsicheren Prognose hinsichtlich der Mundhygiene des Patienten wurden folgende Behandlungsoptionen diskutiert:
Option 1: Totalprothese
Entfernung aller Zähne im Ober- und Unterkiefer sowie Herstellung von Totalprothesen. Diese Therapieoption war insbesondere in Anbetracht des Alters des Patienten fragwürdig. Nach Zahnverlust sowie unphysiologischer Belastung der Kieferkämme käme es zur Resorption des Alveolarfortsatzes. Wiederholte Anpassungsmaßnahmen der Prothese durch Unterfütterungen führen zu einem stetig größer werdenden Prothesenkörper, wodurch nicht beherrschbare Kippbewegungen der Prothesen hervorgerufen werden können. Nicht zu vernachlässigen ist der psychologische Aspekt der Zahnlosigkeit. Vorteil dieser Behandlung ist die Möglichkeit einer sehr schnellen, kostengünstigen Therapie.
Option 2: Teilprothese
Entfernung der Zähne 18–14, 24–28, 38–34 und 44–48, endodontische / prothetische Vorbehandlung der Zähne 13–23, 33–43 und Herstellung eines herausnehmbaren Zahnersatzes. Als prothetische Optionen stehen herausnehmbare Klammerprothesen (Einstückgussprothesen) oder Teleskopprothesen zur Verfügung. Für eine Teleskopprothese können die Zähne 13–23, 33–43 als Verankerung dienen.
Nachteilig bei Teleskopen sind die erhöhte Invasivität sowie mögliche Schleiftraumen durch einen hohen Verlust an Zahnhartsubstanz, insbesondere an den in vergleichsweise gutem Zustand befindlichen und füllungsfreien Unterkieferfrontzähnen.
Option 3: Festsitzender Zahnersatz unter Einsatz von Implantaten
Entfernung der Zähne 18–14, 24–28, 38–34 und 44–48 sowie endodontische und prothetische Vorbehandlung der Zähne 13–23 zur Aufnahme von festsitzenden Kronen; Karies- und Füllungstherapie der Zähne 33–43. Anschließend Implantation Regio 14, 16, 24, 26, 34, 36, 44 und 46 nach circa sechs bis zwölf Wochen. Der definitive implantatgetragene Zahnersatz kann drei bis vier Monate nach Implantation inkorporiert werden.
Diese Therapie entspricht dem herkömmlichen implantologischen Vorgehen und stellt somit eine bewährte Therapieoption dar, die allerdings einen langen Behandlungszeitraum von etwa sechs bis sieben Monaten erfordert. Die Behandlung kann sich bei unzureichendem Knochenangebot und einer nötigen zweizeitigen Augmentation auf neun bis zwölf Monate verlängern.
Option 4: All-on-4
Entfernung aller Zähne im Ober- und Unterkiefer mit simultaner Implantation und Sofortversorgung (All-on-4-Konzept®). Der definitive Zahnersatz wird nach ein bis drei Tagen inkorporiert.
Der Behandlungszeitraum ist im Vergleich zu Therapieoption 3 wesentlich verkürzt. Vorteil dieses Behandlungskonzepts ist die einzeitige chirurgische Therapie, die insbesondere bei sehr ängstlichen Patienten in Betracht zu ziehen ist. Nachteilig ist der Verlust aller Zähne. Das Vorgehen setzt fortgeschrittene chirurgische, implantologische und prothetische Kenntnisse sowie eine optimal organisierte Schnittstelle zwischen Chirurg und Zahntechniker voraus. Die Kosten sind vergleichbar mit Therapieoption 3.
In einem Aufklärungsgespräch wurde das Für und Wider der einzelnen Therapieoptionen mit dem Patienten diskutiert. Er wünschte, möglichst viele Zähne zu erhalten. Die Aussicht auf eine festsitzende Gesamtrekonstruktion bestärkte ihn darin, sich für eine Therapie mit Implantaten zu entscheiden. Er äußerte seine Absicht, die Mundhygiene in Zukunft wesentlich zu verbessern.

Therapie
Präprothetische Therapie
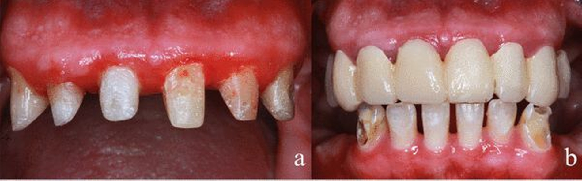
Aufgrund der massiven Beläge an der Restbezahnung erfolgte zuerst eine professionelle Zahnreinigung von Ober- und Unterkiefer. Anschließend wurde die chirurgische Sanierung in ITN durchgeführt. In dieser Sitzung wurden die Zähne 18–14, 28–24, 38–34 und 48–44 extrahiert. An den darauffolgenden Terminen erfolgte in Lokalanästhesie die endodontische Therapie der Zähne 12, 11 und 23 sowie die Stumpfaufbauten an diesen Zähnen (Abbildung 3a). Die Zähne im Unterkiefer konnten mit konservierenden Maßnahmen erhalten werden. Der Patient wurde zwischenzeitlich mit einem festen Provisorium im Oberkiefer versorgt (Abbildung 3b). Nach der chirurgischen Sanierung war eine gestiegene Motivation des Patienten feststellbar, die sich auch in einer verbesserten Mundhygiene ausdrückte.
Implantologische Therapie
Für die implantologische Therapie wurde auf Basis einer DVT-Aufnahme das Knochenangebot im Seitenzahngebiet von Ober- und Unterkiefer ermittelt. Dabei wurde eine unzureichende Knochenbreite im Unterkiefer und eine unzureichende Knochenbreite sowie Knochenhöhe im Oberkiefer festgestellt. Dementsprechend wurde eine Knochenaugmentation im Ober- und Unterkiefer mittels Knochenblocktransplantat und Sinuslift geplant und durchgeführt.
Der autologe Knochen wurde aus der Linea obliqua mandibulae Regio 38 und 48 entnommen und in Regio 14, 24, 34 und 44 zur Knochenverbreiterung eingebracht (Abbildungen 4a und b). In Regio 16 und 26 erfolgte zudem ein externer Sinuslift zur Knochenerhöhung. Simultan wurden Implantate Regio 16, 26, 36, 44 und 46 inseriert. Drei Monate später wurden diese Implantate freigelegt und Regio 14, 24 und 34 weitere Implantate eingesetzt (Abbildungen 5a-c). Nach weiteren drei Monaten erfolgte die Implantatfreilegung Regio 14, 24 und 34 und die prothetische Gesamtversorgung (Abbildungen 6a und b).
Nachkontrolle
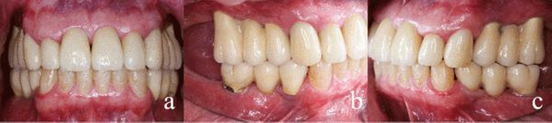
Der Patient stellte sich regelmäßig zu Nachkontrollen vor. Es wurden Termine zur professionellen Zahnreinigung in halbjährlichen Intervallen vereinbart. Zurzeit des hier vorgelegten Berichts lag der Behandlungsabschluss sieben Jahre zurück (Abbildungen 7 und 8a-c).
Epikrise
Der Patient stellte sich mit desolatem Gebisszustand vor. Ferner berichtete er über eine Zahnarztphobie, weshalb er sich über acht Jahre lang nicht mehr beim Zahnarzt vorgestellt hatte. Es musste in diesem Fall grundsätzlich eingeschätzt werden, ob die Compliance des Patienten für eine aufwendige Therapie ausreicht. Vorbedingung für eine aufwendige zahnerhaltende und implantologische Therapie war die Verbesserung der Mundhygiene. Um eine erfolgversprechende Therapie zu gewährleisten, musste zunächst eine Vertrauensbasis mit dem Patienten aufgebaut werden. Dies erfolgte durch intensive Aufklärung und gründliche Mundhygieneinstruktionen. Das gegenseitige Vertrauen manifestierte sich dadurch, dass der Patient die vereinbarten Termine einhielt und eine deutlich verbesserte Mundhygiene erkennen ließ. Dies gab schließlich den Ausschlag, sich für die Planung und Durchführung einer zahnerhaltenden und implantatprothetischen Therapie zu entscheiden. Der Aufbau einer adäquaten Vertrauensbasis zeigte sich auch dadurch, dass der Patienten lediglich die Zahnentfernung in Vollnarkose durchgeführt haben wollte. Alle weiteren Therapiemaßnahmen erfolgten anschließend in Lokalanästhesie.
Für den Fall, dass keine Verbesserung der Mundhygiene eingetreten wäre, wäre die Planung einer festsitzenden Rekonstruktion kritisch einzustufen gewesen. Die Versorgung mit Totalprothesen hätte wegen der absehbaren Stabilität des Behandlungsergebnisses als adäquate Therapie eingeschätzt werden können. Eine stereotype Einschätzung des Falls allein aufgrund des oralen Befundes wäre hier aber ganz augenscheinlich dem Patienten nicht gerecht geworden. Voreilige Kategorisierungen bergen ein hohes Risiko, die adäquate Therapieoption auszuschließen. Wenn hier die zahnmedizinische Indikation der Totalprothese festgestellt worden wäre, hätte dies zu einem schwerwiegenden Planungsfehler mit anschließender Einschränkung des Patientenwohls geführt.
Besonders der kollegiale Austausch kann in solch einem Fall dazu Beitragen, die von dem behandelnden Zahnarzt ausgehenden vorschnellen Urteile über Persönlichkeit und Verhalten eines Patienten abzuwehren und so eine systematische und strukturierte Therapieentscheidung zu finden. Aufgrund der guten Compliance sowie der deutlichen Verbesserung der Mundhygiene entschieden wir uns für den Zahnerhalt im Frontzahnbereich und eine implantologische Lösung im Seitenzahnbereich. Das zahnärztliche Ziel war, den Patienten nach aufwendiger Rekonstruktion über viele Jahre zu guter Mund-hygiene zu motivieren. Dies konnte durch intensive Aufklärung erreicht werden. Bereits nach den ersten Maßnahmen zeigte sich eine deutliche Besserung der Mundgesundheit. Der Patient begann darauf zu vertrauen, dass eine ihm adäquate Therapie erfolgte. Er entwickelte bald ein gesteigertes Selbstwertgefühl. Schon nach Eingliederung des Provisoriums verbarg er die Zähne nicht mehr hinter den Lippen und gewann sein Lächeln zurück. Seine Gesprächsbereitschaft steigerte sich deutlich. Die Versorgung ist auch nach sieben Jahren stabil (Abbildungen 7, 8a-c). Außer den regelmäßigen professionellen Zahnreinigungen waren keine zahnärztlichen Eingriffe erforderlich. Lediglich ein Chipping der Keramik Regio 46 ist anzumerken. Dies hatte jedoch funktionell und ästhetisch für den Patienten keine Auswirkung.
PD Dr. Michael Korsch, M.A.
Akademie für Zahnärztliche Fortbildung Karlsruhe
Lorenzstr. 7, 76135 Karlsruhe
michael_korsch@azfk.de
und
Zentrum für Implantologie und Oralchirurgie
Berliner Str. 41, 69120 Heidelberg
mk@drkorsch-heidelberg.de
Dr. Karim Mamar
Zentrum für Implantologie und Oralchirurgie
Berliner Str. 41, 69120 Heidelberg











