Ausgeprägte fibröse Dysplasie und CAD/CAM-geplante modellierende Unterkieferosteotomie
Die fibröse Dysplasie ist eine angeborene Ossifikationsstörung mit Mutation in der a-subunit des G-Proteins und konsekutiver Störung der Osteoblastentätigkeit. Bei Befall der Gesichtsschädelknochen imponieren klinisch zunehmende Asymmetrien. Differenzialdiagnostisch muss bei länger bestehenden Befunden das ossifizierende Fibrom in Betracht gezogen werden. Die Diagnose wird histopathologisch unter Berücksichtigung der röntgenologischen Befunde gestellt. Als Therapie wird insbesondere bei ausgedehnten Befunden eine modellierende Osteotomie empfohlen.
Kasuistik
Ein 61-jähriger Patient stellte sich mit einer ausgeprägten Raumforderung des Unterkiefers in der Abteilung für Mund-, Kiefer- und plastische Gesichtschirurgie der Universität Freiburg vor. Circa 55 Jahre zuvor hatte eine partielle Resektion im Bereich des Oberkiefers stattgefunden. Der Befund war seitdem langsam weiter gewachsen, eine weitere Operation aus Angst vor Komplikationen abgelehnt worden. Die neuerliche Vorstellung erfolgte aufgrund von zunehmenden Schwierigkeiten bei der Kopfwendung.
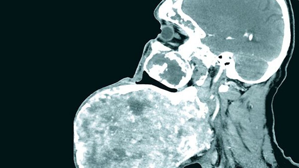
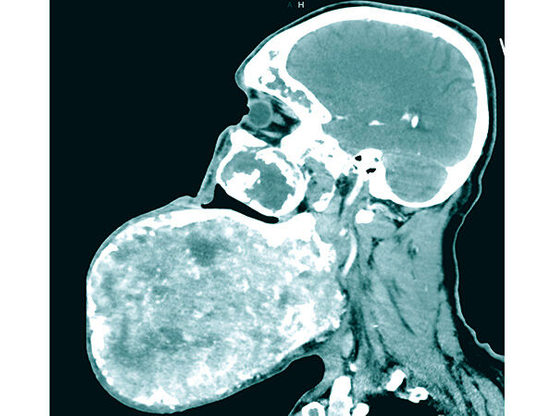
Klinisch zeigte sich eine circa 30 cm x 28 cm x 15 cm große, knochenharte und den Unterkiefer zu drei Vierteln umgreifende Raumforderung ohne Vincent-Symptomatik (Abbildung 1). In der Computertomografie zeigte sich eine inhomogene, blasige und hypodense Raumforderung mit Milchglasanteilen (Abbildung 2). Geplant wurde eine Abtragung der Veränderung mit Rekonturierung des Unterkiefers unter Verwendung eines statistischen 3-D-Formmodells, mit dessen Hilfe die ursprüngliche Form des Unterkiefers ermittelt wurde (Abbildung 3a). Im CAD/CAM-Verfahren wurden vier Resektionsschablonen hergestellt, um die geplante Osteotomie intraoperativ umzusetzen (Abbildung 3b).
Über eine submandibuläre Schnittführung konnte die stark durchblutete Raumforderung vollständig dargestellt werden. Zur Erhaltung der Sensibilität der Unterlippe wurde eine Resektionsschablone mit einem Pointer versehen, um das stark verlagerte Foramen mentale rechts darstellen zu können (Abbildung 4). Intraoperativ zeigte der Unterkiefer eine ausreichende Stabilität, sodass auf eine patienten-individuell hergestellte Rekonstruktionsplatte verzichtet werden konnte (Abbildung 5). Das überschüssige Weichgewebe wurde reseziert und die Wunde plastisch verschlossen.
Der histopathologische Befundbericht ergab ein über drei Kilogramm schweres Gewebe mit Anteilen einer teils spindelzelligen, teils locker fibrosierten und bekapselten Proliferation mit eingestreuten, teils trabekulierten Knochenbälkchen, teils mit angedeuteten Osteoblastensäumen sowie fokalen Osteoklastenlakunen und zentral demarkierter Osteolyse mit deutlich osteoklastärer Aktivität. In der Immunhistochemie zeigt sich anhand der Proliferationsfraktion (MIB-1) und der Anfärbung der Mitosefiguren (pHH3) ein niedriger Proliferationsindex (< 2 Prozent). Im postoperativ angefertigten DVT konnte der neu modellierte Unterkiefer mit seiner anatomisch korrekten Form gezeigt werden (Abbildung 6).
Der postoperative Verlauf war unauffällig, der Patient wurde nach sieben Tagen in die ambulante Weiterbehandlung entlassen und stellt sich halbjährlich zur Nachkontrolle vor (Abbildung 7).
Diskussion
Die fibröse Dysplasie wird als eine genetisch basierte, sporadische Erkrankung des Knochens bezeichnet, die 1942 von Lichtenstein und Jaffé erstmals beschrieben wurde und zu einer ungeordneten Proliferation von Osteoblasten führt, die im weiteren Verlauf keine komplex strukturierten Lamellenknochen bilden können [Freyschmidt et al., 2013; Lichtenstein, 1942; Yang et al., 2017]. Eine familiäre Häufung tritt aufgrund der postzygotischen Mutation nicht auf [Barnes et al., 2005]. Meist ist nur ein Knochen beteiligt (monostotisch), wobei der Oberkiefer etwas häufiger betroffen ist als der Unterkiefer [Burke et al., 2017]. Nach Ende der Pubertät kommt es meist zu einem Wachstumsstillstand. Die polyostotische Form ist insgesamt seltener und kann in drei Prozent der Fälle mit einem McCune-Albright-Syndrom kombiniert sein, bei dem es zu einer Pubertas praecox, Café-au-lait-Flecken und Endokrinopathien kommt.
Anamnestisch wird eine zunehmende, schmerzlose Schwellung im Gesicht von häufig jungen Patienten beschrieben. Bei Befall der Orbita können durch Verlagerung des Bulbus Sehstörungen auftreten. In der Bildgebung fällt ein aufgetriebener, im CT milchglasartiger, partiell mit lytischen Läsionen versehener Knochen auf, der eher unscharf in den nicht betroffenen Knochen übergeht. In sehr seltenen Fällen kann eine maligne Entartung vorkommen, sodass eine langfristige Nachkontrolle empfohlen wird [Yabut et al., 1988]. Differenzialdiagnostisch können bei unreifen fibrösen Dysplasien Ameloblastome, Riesenzellgranulome oder Zysten in Betracht kommen. Nach Mineralisierung der fibrösen Matrix ist als Differenzialdiagnose das ossifizierende Fibrom zu nennen [Neville et al., 2009].
Bis zum Abschluss der Pubertät sollte die Therapie primär observierend sein. Bei zunehmender Asymmetrie oder Funktionseinschränkung kann eine modellierende Osteotomie durchgeführt werden. Selten kommt es durch die Operation zu einem Rezidiv mit verstärkter Wachstumstendenz.
Im Fall ausgedehnter Befunde kann die Computer-assistierte Chirurgie (Computer-assisted surgery, CAS) auf Basis einer präzisen präoperativen 3-D-Planung helfen, die modellierende Osteotomie vorhersagbar durchzuführen. Als virtuelle Planungshilfe bei einseitigen Befunden ist das etablierte Verfahren die Spiegelung, bei der die gesunde Seite auf die betroffene Seite gespiegelt werden kann [Bittermann et al., 2014; Schmelzeisen et al., 2004]. Bei bilateralen Befunden muss ein komplexeres Verfahren Anwendung finden, bei dem mithilfe eines statischen Formenmodells patientenspezifisch die ursprüngliche Form berechnet wird [Fuessinger et al., 2017; Semper-Hogg et al., 2016].
Im vorliegenden Fall konnte durch diese Technik der ursprüngliche, nicht deformierte Unterkiefer errechnet werden. Anhand dieser Oberflächenabschätzung wurden insgesamt vier patientenspezifische Resektionsschablonen erstellt um die präoperative Planung intraoperativ präzise und schnell umsetzen und anatomisch sensible Strukturen, wie den N. mentalis, mithilfe von Pointern schützen zu können.
Dr. Dr. Marc Anton Füßinger
Klinik für Mund-, Kiefer und Gesichtschirurgie – plastische Operationen
Universitätsklinikum Freiburg
Hugstetter Str. 55, 79106 Freiburg
marc.anton.fuessinger@uniklinik-freiburg.de
Dr. Dr. René Rothweiler
Klinik für Mund-, Kiefer und Gesichtschirurgie – plastische Operationen
Universitätsklinikum Freiburg
Hugstetter Str. 55, 79106 Freiburg
PD Dr. Dr. Pit Voss
Klinik für Mund-, Kiefer und Gesichtschirurgie – plastische Operationen
Universitätsklinikum Freiburg
Hugstetter Str. 55, 79106 Freiburg
Prof. Dr. Dr. Rainer Schmelzeisen, FEBOMFS
Klinik für Mund-, Kiefer und Gesichtschirurgie – plastische Operationen
Universitätsklinikum Freiburg
Hugstetter Str. 55, 79106 Freiburg
Literaturliste
Barnes L, Eveson JW, Reichart P, Sidransky D: Pathology and genetics of head and neck tumours, vol. 9: IARC; 2005.
Bittermann G, Metzger MC, Schlager S, Lagrèze WA, Gross N, Cornelius C-P, Schmelzeisen R: Orbital reconstruction: prefabricated implants, data transfer, and revision surgery. Facial plastic surgery: FPS, 30, 554-560, 2014
Burke AB, Collins MT, Boyce AM: Fibrous dysplasia of bone: craniofacial and dental implications. Oral Dis, 23, 697-708, 2017
Freyschmidt J, Ostertag H: Knochentumoren: Klinik - Radiologie - Pathologie: Springer-Verlag; 2013.
Fuessinger MA, Schwarz S, Cornelius CP, Metzger MC, Ellis E, 3rd, Probst F, Semper-Hogg W, Gass M, Schlager S: Planning of skull reconstruction based on a statistical shape model combined with geometric morphometrics. Int J Comput Assist Radiol Surg, 2017
Lichtenstein L: Fibrous dysplasia of bone. Arch pathol, 33, 777-816, 1942
Neville BW, Damm DD, Allen CM, Bouquot JE: Oral and Maxillofacial Pathology 2009 3rd ed St. Louis, MO Saunders Elsevier, 2009
Schmelzeisen R, Gellrich NC, Schoen R, Gutwald R, Zizelmann C, Schramm A: Navigation-aided reconstruction of medial orbital wall and floor contour in cranio-maxillofacial reconstruction. Injury, 35, 955-962, 2004
Semper-Hogg W, Fuessinger MA, Schwarz S, Ellis E, Cornelius C-P, Probst F, Metzger MC, Schlager S: Virtual reconstruction of midface defects using statistical shape models. Journal of Cranio-Maxillo-Facial Surgery: Official Publication of the European Association for Cranio-Maxillo-Facial Surgery, 45, 461-466, 2016
Yabut JS, Kenan S, Sissons HA, Lewis MM: Malignant transformation of fibrous dysplasia. A case report and review of the literature. Clin Orthop Relat Res, 281-289, 1988
Yang L, Wu H, Lu J, Teng L: Prevalence of Different Forms and Involved Bones of Craniofacial Fibrous Dysplasia. J Craniofac Surg, 28, 21-25, 2017
















