Einflügelige Zirkoniumdioxidbrücke – von der Planung zum Erfolg
In klinischen Studien konnte bereits die gute Langzeitprognose vollkeramischer Adhäsivbrücken gezeigt werden [Kern M und Sasse M, 2011; Kern M, 2017]. Der Schlüssel zum Erfolg sind eine exakte präprothetische Diagnostik, zahnärztliche und zahntechnische vorbereitende Maßnahmen, das Einhalten definierter Präparationsanforderungen, die Kontrolle und die Freigabe der CAD-Konstruktion sowie der standardisierte Ablauf der adhäsiven Befestigung (Grafik).
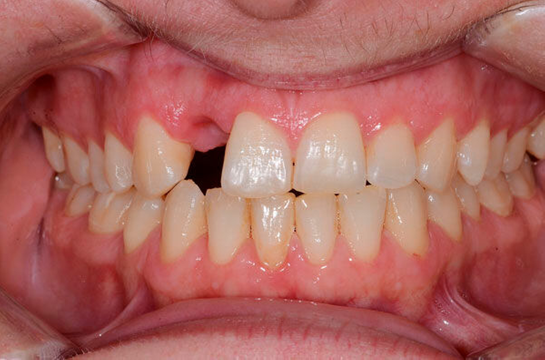
Präprothetisch werden die statische und die dynamische Okklusion im Bereich der anzulegenden Flügelpräparation mit Blaupapier und Zinnfolie (0,5 mm) überprüft und auf ein Situationsmodell übertragen (Abbildungen 2 bis 4). Dies visualisiert die freie Fläche des Zahnschmelzes, die zur Aufnahme des Zirkoniumdioxidflügels präpariert werden kann; eine Haftfläche von circa 30 mm² in gesundem Zahnschmelz ist erforderlich. Bei interokklusalem Platzmangel sollte eine kieferorthopädische Ausrichtung der Frontzähne über eine Alignertherapie überlegt werden, um so eine ausreichende Dimensionierung des Zirkoniumdioxidflügels zu gewährleisten. Fehlt der Zahn bereits, können über ein Wax-up die definitive Restauration im Bereich des Pontics und die vestibuläre Ausdehnung der Verblendung visualisiert werden (Abbildung 5). Andernfalls dient ein prächirurgisches Situationsmodell dem Behandler als Orientierungshilfe.
Über eine 0,4 mm starke Tiefziehschiene (Duran, PET-G, Polyester, Scheu Dental), hergestellt über dem Wax-up beziehungsweise dem ursprünglichen Zahn, kann der fehlende Zahn ersetzt und der Pontic-Bereich bereits ausgeformt werden (Abbildungen 6 und 7). Die circa 0,2 mm tiefe Präparation im palatinalen Schmelz erfolgt anhand der übertragenen Okklusionskontakte des Situationsmodells. Rot visualisiert die statischen und die dynamischen Okklusionskontakte, Schwarz die gesamte zur Präparation stehende freie Zahnschmelzfläche. Lingual werden supragingival eine leichte Hohlkehle und inzisal eine leichte Stufe angelegt. Eine zusätzliche Noppe auf der oralen Zahnfläche wie approximal ein seichter Kasten (2 x 2 x 0,5 mm) dienen der Positionierung des Flügels und der Stabilisierung des Verbinders. Die Präparation erfolgt mit Feinkorndiamanten, so dass im Grunde nur die Farbe abgetragen wird. Die vestibuläre Ausdehnung des Verbinders wird mithilfe eines SiIikonschlüssels überprüft, um ausreichend Platz für die 1 mm bis 1,2 mm starke Verblendung sicherzustellen (Abbildungen 8 bis 11).
Die CAD-Konstruktion des Zirkoniumdioxidgerüsts (BEGO, 3 Shape) erfolgt durch den Zahntechniker. Per Screenshot und via E-Mail erhält der Zahnarzt die digitale Konstruktion und gibt sie nach erfolgter Kontrolle frei. Parameter, die bei dieser Qualitätssicherung überprüft werden, sind eine ausreichende Dimensionierung des Verbinders (2 mm x 3 mm), des palatinalen Flügels (circa 30 mm²) sowie der Flügelstärke von 0,6 bis 0,7 mm. Auf eine Skelettierung des Übergangs des Flügels in die palatinale Fläche des Zwischenglieds muss unbedingt verzichtet werden, so dass eine plane Fläche resultiert. Die Ausdehnung des Flügels nach inzisal (mindestens 1 mm unterhalb der Schneidekante) sollte ebenfalls kritisch geprüft werden. Ein nachträgliches Beschleifen des Zirkoniumdioxidgerüsts durch den Zahntechniker sollte verhindert werden.
Der korrekte Sitz des in CAD/CAM-gefertigten Zirkoniumdioxidgerüsts ist bei einer maximalen Unterschichtungsstärke von 0,1 mm gegeben (Xantopren). Sollte sich bei der Gerüstanprobe zeigen, dass trotz präprothetischer Ausformung des Weichgewebes im Bereich des fehlenden Zahns im Pontic-Bereich weitere Unterstützung nötig ist, kann dies über ein direktes Antragen eines lichthärtenden fließfähigen Komposits im Bereich des ovate Pontics des Gerüsts erfolgen. Dadurch werden spätere schwarze interdentale Dreiecke vermieden. Der Zahntechniker muss in diesem Fall eine neue Zahnfleischmaske auf dem Meistermodell erstellen. Nach Entfernung des intraoral angebrachten fließfähigen Komposits ist somit der Platzbedarf für die unter zu brennende Keramik erkennbar. Ebenso kann über eine Unterschichtung mit einem dünnfließenden Silikon und einer Überabformung dies in gleicher Weise dem Zahntechniker aufgezeigt werden.
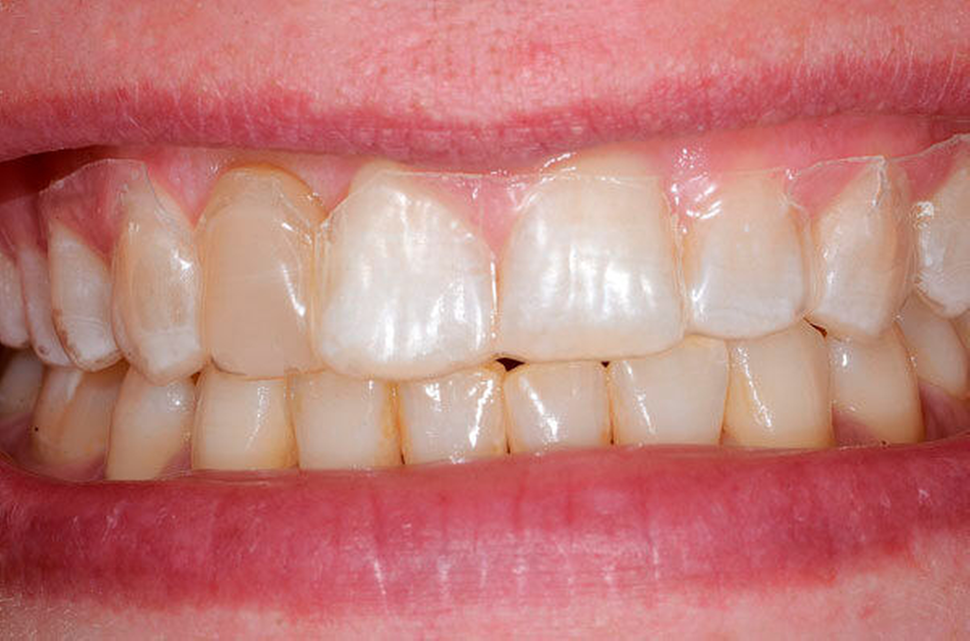
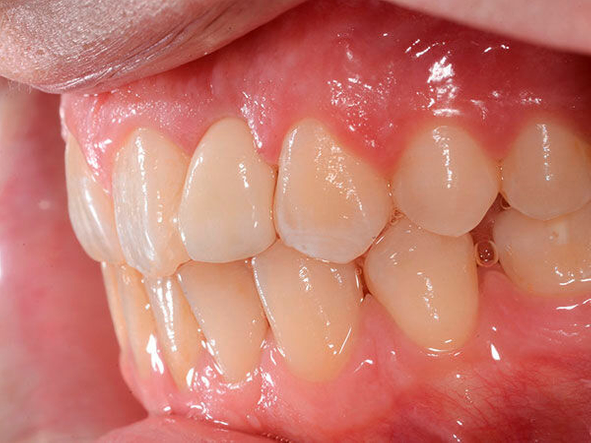
Die verblendete einflügelige Adhäsivbrücke kann nun eingegliedert werden. Nach Säuberung mit Alkohol wird die vestibuläre Verblendung mit einem lichthärtenden Kunststoff, beispielsweise einem Material, das zur Individualisierung von konfektionierten Abformlöffeln benutzt wird, geschützt. Die Klebefläche des Flügels wird schwarz markiert (Textmarker) und anschließend mit 50 µm Al2O3-Pulver bei einem Druck von 1,0 bis 1,5 Bar abgestrahlt. Im Anschluss erfolgt erneut eine Reinigung mit Alkohol im Ultraschallbad. Wichtig ist, dass der Zirkoniumdioxidflügel nicht mit Phosphorsäure geätzt wird (Abbildungen 20 bis 23).
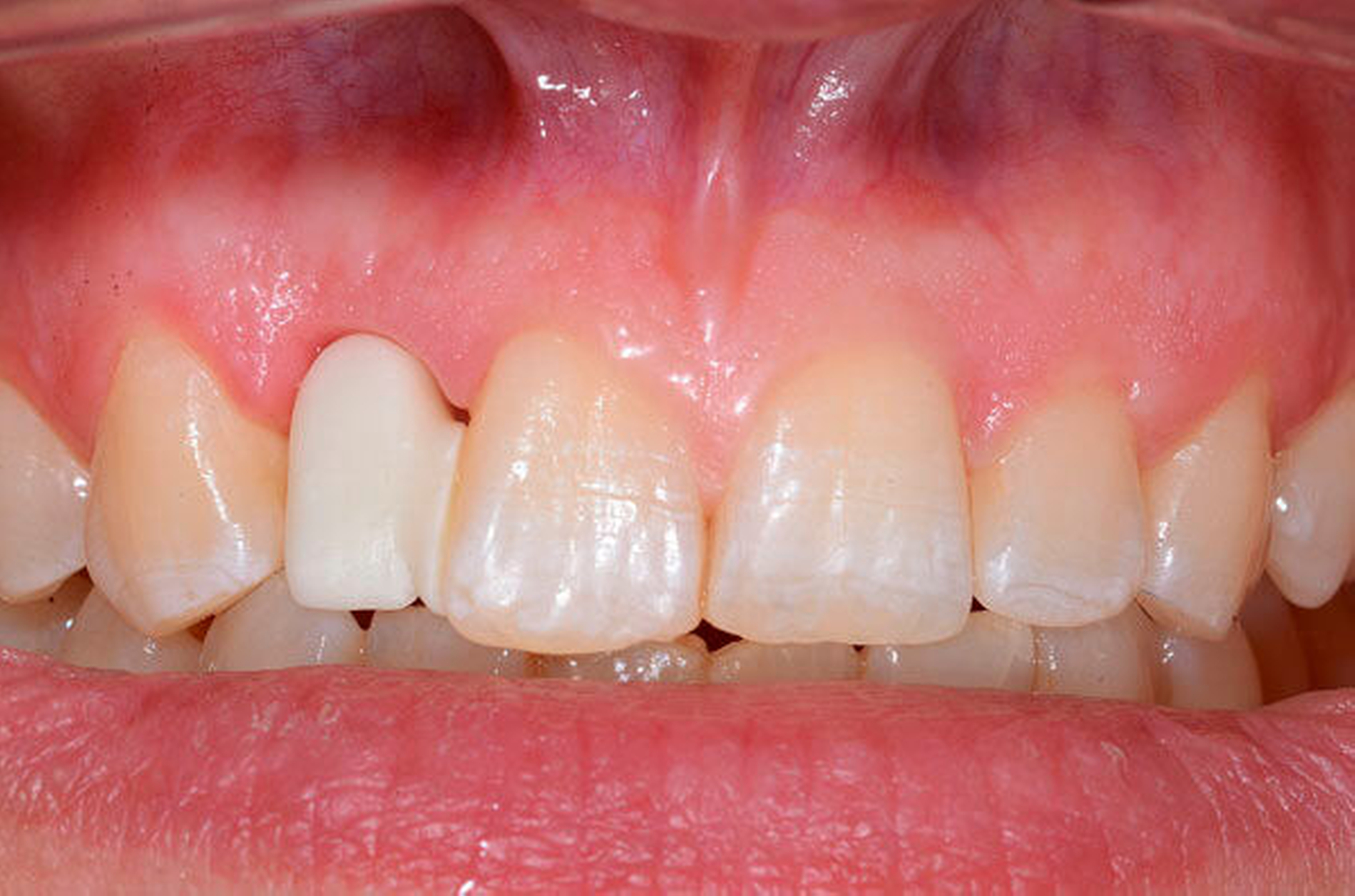
Nach Säuberung mit Bimsstein oder einer fluoridfreien Reinigungspaste wird der präparierte Schmelzanteil für etwa 60 Sekunden mit 35-prozentiger Phosphorsäure konditioniert und anschließend mit ClearfilTM Universal Bond Quick, Kuraray benetzt und lichtgehärtet (Quelle Kuraray). Die Nachbarzähne sollten mit einem Teflonband vor Kompositüberschüssen geschützt werden, über die Anwendung von Kofferdam entscheidet der Behandler. Der dualhärtende Befestigungskompositzement (Panavia SA Zement) wird auf den Zirkoniumdioxidflügel appliziert und die Restauration über einen Positionierungsschlüssel sieben Minuten in situ gehalten (Abbildungen 24 und 25). Ein zusätzlicher MDP-haltiger Primer braucht nicht aufgebracht werden, da dieser im Panavia SA Zement enthalten ist. Die marginalen Randbereiche werden mit LED-Lichtpolymerisation (Bluephase, Ivoclar Vivadent) ganz kurz angehärtet, die Überschüsse entfernt. Das Aufbringen eines Glycerin-Gels (Oxygard) schützt während der Polymerisation vor der Bildung einer Sauerstoffinhibitionsschicht, die die Polymerisation des Befestigungskomposits in den oberflächlichen Schichten inhibieren würde. Abschließend erfolgt die Kontrolle der statischen und der dynamischen Okklusion. Alternativ wird der rein autopolymerisierende Panavia 21 Zement von Kuraray benutzt. Die konditionierte Zahnschmelzfläche wird bei freiliegendem Dentin mit dem frisch angemischten Primer A und B bestrichen. Die Autopolymerisation von Panavia 21 startet durch das Mischen beider Pasten.
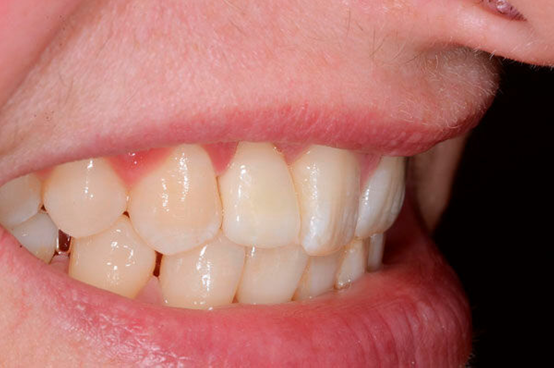
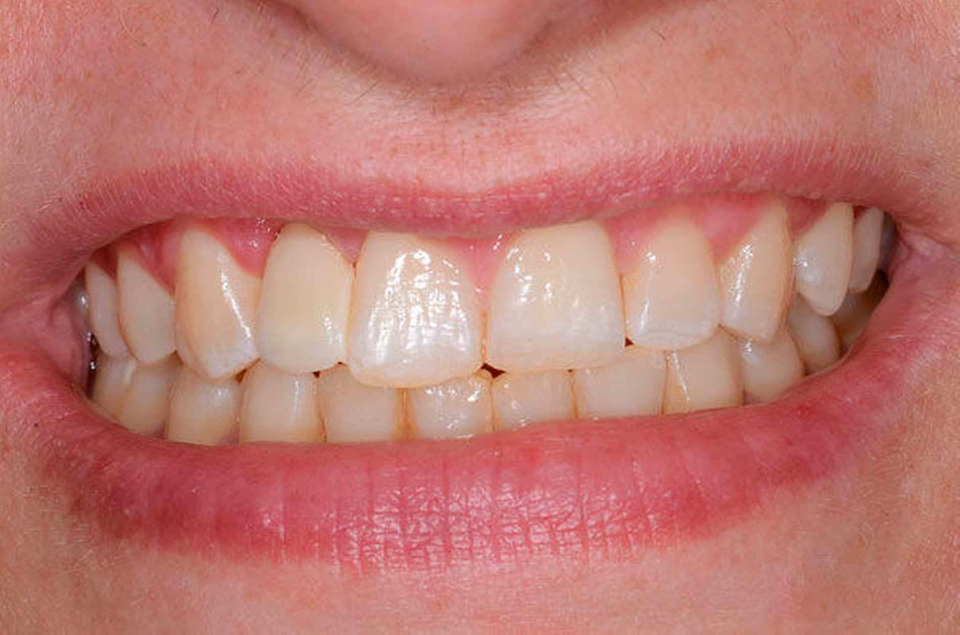
Einen Tag nach der Eingliederung erfolgt die Kontrolle auf Überschüsse des Befestigungskomposits, hierbei muss insbesondere auf den marginalen Bereich geachtet werden. Die statischen und die dynamischen Okklusionskontakte werden erneut überprüft, um Frühkontakte im Bereich des Flügels wie des Zwischenglieds zu vermeiden. Der Patient sollte in die Handhabung von Superfloss-Zahnseide zur Reinigung des auf dem Weichgewebe aufliegenden Pontics unterwiesen werden. Bei weiteren halbjährlichen Recall-Intervallen werden die Sekundärkariesbildung, die Dezementierung des Flügels und die Überprüfung der statischen wie der dynamischen Okklusion begutachtet. Ein Auswaschen der Klebefuge kann durch Re-Etching und Einbringen eines lichthärtenden fließfähigen Komposits repariert werden. Dies sichert den langfristigen Erhalt (Abbildungen 26 bis 29).
Dr. med. dent. Daniela Bogena
Niedergelassen in eigener Praxis
Sagerstr. 28, 28757 Bremen
aktuell: MSc Zahnärztliche Prothetik,
Universität Greifswald
danibogena@gmail.com
Literaturliste
Kern M und Sasse M: „Ten-year survival of anterior all-ceramic resin-bonded fixed dental prostheses.“ Journal of Adhesive Dentistry 13.5 (2011).
Kern M: „Fifteen-year survival of anterior all-ceramic cantilever resin-bonded fixed dental prostheses.“ Journal of dentistry 56 (2017): 133–135.
Kern M: „Adhäsivbrücken: Minimalinvasiv – ästhetisch – bewährt.“ Quintessenz Publishing (2018). 2. Auflage.

































