Staging und Grading der Parodontitis am Patientenfall
Die 57-jährige Patientin stellte sich im Zentrum für Zahn-, Mund- und Kieferheilkunde des Universitätsklinikums Bonn vor. Ihr Wunsch war ein maximaler Zahnerhalt. Hauptbeschwerden äußerte die Patientin am Zahn 26, von dem kürzlich ein Abszess ausging. In der Vergangenheit hatte die Patientin mehrere Zähne aufgrund von Zahnlockerung verloren. Die Patientin ist Nichtraucherin, Allgemeinerkrankungen wurden verneint und es bestand keine regelmäßige Medikation. Die Familienanamnese ergab, dass bei der Mutter bereits im Alter von 40 Jahren Zähne durch Parodontitis verloren gegangen waren und ein Zahnersatz vorlag. Ihre Mundhygiene war als mäßig zu bezeichnen.
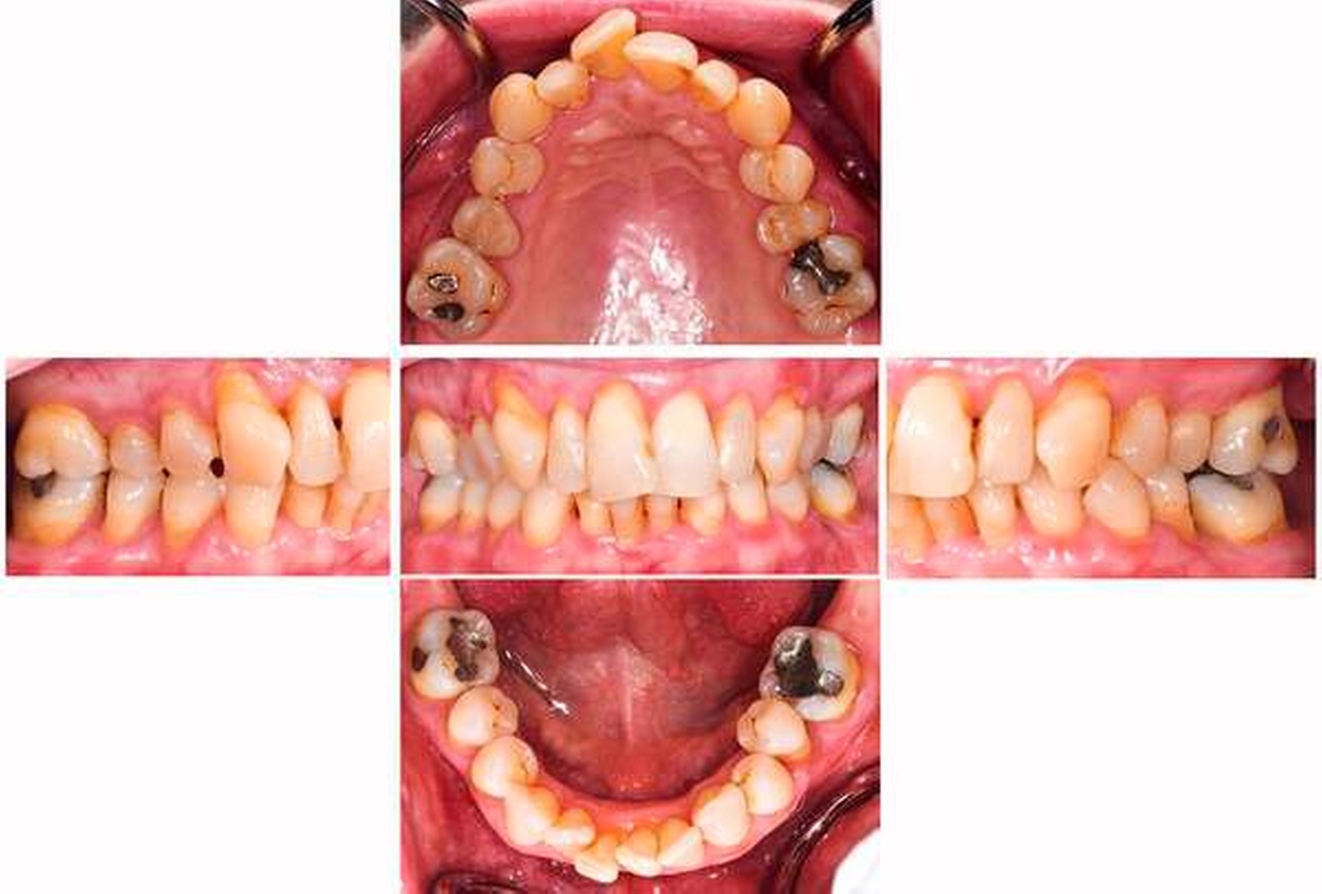
Extraoraler und intraoraler Befund
Es lagen Gelenkgeräusche und eine Deviation bei Mundöffnung bei ansonsten unauffälligem extraoralem Befund vor. Die Schleimhäute waren ohne pathologischen Befund. Es fehlten die Zähne 17, 27, 37, 47. Das Gebiss war konservierend versorgt, am Zahn 21 zeigte sich eine erneuerungsbedürftige Füllung (Sekundärkaries). Alle Zähne reagierten auf den CO2-Kältetest, Zahn 26 zeigte eine verzögerte Reaktion. Perkussionsempfindlichkeiten lagen nicht vor. Es fanden sich generalisierte harte und weiche Beläge. Die marginale Gingiva war generalisiert entzündlich verändert, an Zahn 14 entleerte sich putrides Exsudat aus der Zahnfleischtasche. Es traten Sondierungstiefen von bis zu 12 mm auf, wobei im Ober- und Unterkieferfrontzahnbereich Sondierungstiefen von maximal 4 mm vorlagen. Der maximale interdentale klinische Attachmentverlust (CAL) lag bei 13 mm (Zahn 35). Es zeigten sich Furkationsbeteiligungen von Grad II oder III an allen Molaren sowie von Grad II an einem oberen ersten Prämolaren. Eine Zahnbeweglichkeit von Grad I konnte an den Zähnen 26, 36 und 46 und von Grad II am Zahn 35 festgestellt werden.
Röntgenbefund
Auf dem Röntgenstatus zeigt sich an den Zähnen 16, 13, 12, 11, 26, 35, 31, 41, 45 und 46 ein horizontaler Knochenabbau bis in das mittlere Wurzeldrittel oder darüber hinaus. Zahn 35 zeigt zusätzlich vertikalen Knochenabbau mesial und distal. Eine interradikuläre Aufhellung ist an den Zähnen 26, 36 und 46 zu sehen. Am Zahn 26 liegt eine periapikale Aufhellung vor. An Zahn 46 findet sich eine röntgendichte Ablagerung auf der Wurzelfläche im Sinne eines Konkrements. Der Zahn 11 ist elongiert.
Klassifizierung zur Diagnosefindung
(schrittweises Vorgehen nach der im Beitrag „Parodontitis: Klinischer Entscheidungsbaum“ beschriebenen Systematik)
Schritt 1:
Neuer Patient
- Die Patientin hat erkennbaren röntgenologischen Knochenabbau (BL)
- Die Patientin hat klinisch interdentalen Attachmentverlust (CAL)
-> Es besteht der Verdacht auf eine Parodontitis.
Schritt 2:
Patient mit Verdacht auf Parodontitis
- Der klinische Attachmentverlust ist nicht nur durch lokale Faktoren (Endo-Paro-Läsionen, vertikale Wurzelfrakturen, Karies, Restauration oder impaktierte dritte Molaren) verursacht.
- Der klinische Attachmentverlust ist an mehr als einem nicht-benachbarten Zahn vorhanden.
-> Es handelt sich um einen Fall von Parodontitis. Wenn Sondierungstiefen (PPD) von 4 mm oder mehr vorliegen, sollte nun eine Beurteilung von Stadium und Grad vorgenommen werden.
Schritt 3a:
Der Patient ist ein Fall von Parodontitis, dessen Stadium festgelegt werden muss (Tabelle 1)
Ausmaß
- Es handelt sich nach der Beurteilung der Attachmentwerte beziehungsweise des Knochenabbaus um eine generalisierte Form der Erkrankung, da mehr als 30 Prozent der Zähne betroffen sind.
Schwere
- Die Patientin hat erkennbaren röntgenologischen Knochenabbau (BL) bis ins mittlere Wurzeldrittel oder darüber hinaus.
- Die Patientin hat interdentalen Attachmentverlust (CAL) von größer/gleich 5 mm an der Stelle mit dem höchsten Verlust.
- Die Patientin hat einen Zahnverlust aufgrund von Parodontitis (PTL) von 4 Zähnen.
Komplexität
- Die Patientin hat Sondierungstiefen (PPD) von 6 mm und mehr.
- Die Patientin hat Furkationsbeteiligungen von Grad II und Grad III.
- Die Patientin hat vertikale Defekte (zum Beispiel Zahn 35).
Schritt 3b:
Stadium III und IV versus I und II
Bei der Patientin liegt aufgrund von Ausmaß, Schwere und Komplexität eine generalisierte Parodontitis im Stadium III oder IV vor (Tabelle 1)
Schritt 3c:
Stadium III oder IV
- Der Zahnverlust aufgrund von Parodontitis ist nicht größer als 4, es finden sich keine Zahnwanderungen, keine Auffächerungen, kein Bisskollaps, keine schweren Kammdefekte und es liegen 10 oder mehr okkludierende Zahnpaare vor.
-> Die Patientin hat eine generalisierte Parodontitis im Stadium III.
Schritt 4a:
Grad-Einteilung, wenn keine früheren Patientenunterlagen vorhanden sind (Tabelle 2)
Indirekte Evidenz für Progression
- Verhältnis Knochenabbau (in Prozent)/Alter: 80 Prozent/56 >1,00 (Grad C)
- Fall-Phänotyp: Parodontale Destruktion entspricht dem Biofilm (Grad B)
Risikofaktoren
- Nichtraucherin, kein Diabetes (Grad A)
-> Da der Grad C nicht modifiziert (herabgestuft) werden kann, liegt bei der Patientin eine „generalisierte Parodontitis im Stadium III, Grad C“ vor.
Jennifer Bunke
Universitätsklinik Bonn, Poliklinik für Parodontologie, Zahnerhaltung und Präventive Zahnheilkunde
Welschnonnenstr. 17, 53111 Bonn
PD Dr. Karin Jepsen
Universitätsklinik Bonn, Zentrum für Zahn-, Mund-, Kieferheilkunde
Welschnonnenstr. 17, 53111 Bonn









