Ein ungewöhnlicher Fremdkörper in der Kieferhöhle
Einleitung
Die Gefahr der Entstehung einer oroantralen Fistel ist der dünnen Knochenschicht (1 bis 2 mm) zwischen Oberkieferseitenzähnen (1. bis 3. Molar) und Kieferhöhle geschuldet. Entsprechend der „Leichtbauweise“ des Schädels handelt es sich bei den Kieferhöhlen um luftgefüllte Hohlräume, die mit respiratorischem Epithel ausgekleidet sind und deren Selbstreinigung zum mittleren Nasengang durch einen gerichteten Zilienschlag erfolgt.
Im Rahmen der prothetischen Versorgung müssen neben Zahnextraktionen auch Zahnpräparationen zur Aufnahme von Kronen oder Brückenkonstruktionen durchgeführt werden. Die Anfertigung einer temporären Versorgung ist im weiteren Verlauf zwingend notwendig, um die präparierten Zähne vor thermischen, chemischen, mechanischen und mikrobiellen Einflüssen zu schützen.
Des Weiteren können funktionelle und ästhetische Aspekte verwirklicht werden. Mithilfe einer im Vorfeld erstellten Überabformung wird das selbsthärtende Zweikomponenten-Material in die Mundhöhle eingebracht. Ist nun im Vorfeld eine oroantrale Fistel bei der Zahnextraktion entstanden, kann das Provisoriumsmaterial ungehindert und durch den entstehenden Druck bei der Eingliederung der Überabformung in die Kieferhöhle gelangen. Das Material härtet im weiteren Verlauf aus und stellt somit einen soliden Fremdkörper dar, welcher zu einer dauerhaften Reizung der Kieferhöhlenschleimhaut und zur Entstehung einer Sinusitis maxillaris führen kann.
Anamnese und Befund
Eine 57-jährige, allgemeinmedizinisch gesunde Patientin mit einer Kontrastmittelallergie stellte sich zwei Monate nach Extraktion des Zahns 16 alio loco und der Präparation der Brückenpfeiler 15 und 17 mit Symptomen einer akuten Sinusitis maxillaris in der Poliklinik der MKG-Chirurgie des Universitätsklinikums Regensburg vor.
Sie berichtete, dass bereits eine Woche nach initialem Behandlungsbeginn Beschwerden im Sinne von Schmerzen und Pusaustritt aufgetreten seien, woraufhin sie ihren behandelnden Zahnarzt aufgesucht habe. Dieser habe die Extraktionsalveole gespült und einen Streifen in die Alveole eingelegt.
Aufgrund der Beschwerdepersistenz habe die Patientin einen HNO-ärztlichen Kollegen aufgesucht, der trotz endoskopischer Untersuchung kein Vorliegen eines Fremdkörpers habe nachweisen können. Infolge eines mikrobiologischen Abstrichs sei hier eine therapeutische Antibiose mittels Ciprofloxacin 500 mg (1–0–1) erfolgt.
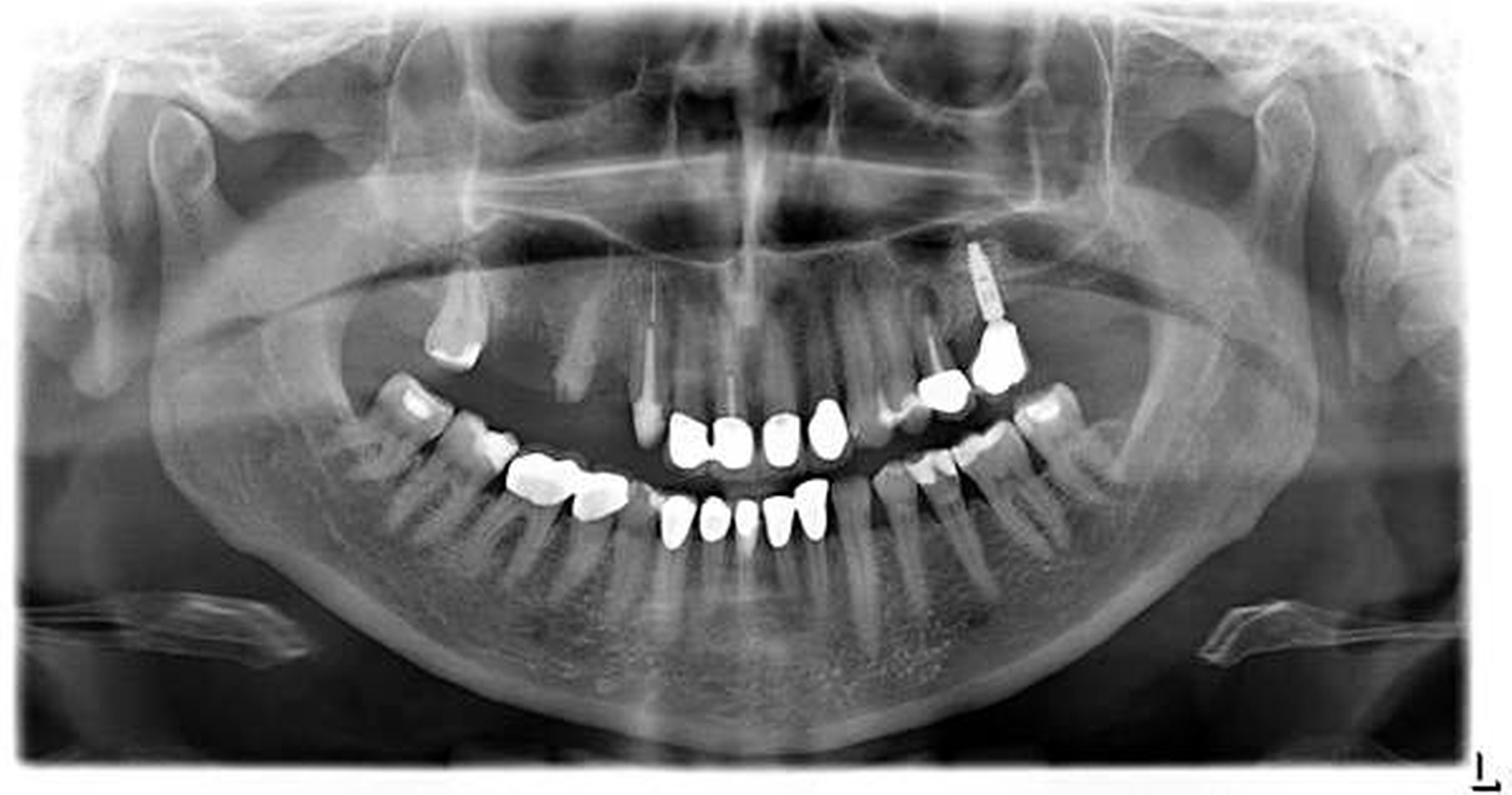
Erneut vorstellig bei ihrem behandelnden Zahnarzt habe die Patientin um die Anfertigung eines Röntgenbildes gebeten, was nach ihren Angaben allerdings abgelehnt worden sei. Nach Überweisung zu einem niedergelassenen MKG-Chirurgen fertigte dieser ein Orthopantomogramm (Abbildung 1) an, auf dem eine deutliche Verschattung im Bereich der rechtsseitigen Kieferhöhle festgestellt wurde, woraufhin er sie zur Weiterbehandlung an das Universitätsklinikum Regensburg überwies.
Operativer Eingriff und Therapie
Bei der klinischen Untersuchung zeigte sich Pusaustritt aus der bestehenden Mund-Antrum-Verbindung in Regio 16. Außerdem gab die Patientin starke Schmerzen in diesem Bereich an. Da es sich bei dem Fremdkörper um einen Teil einer Tamponade handeln könnte, wurde zunächst ein frustraner Bergungsversuch des Fremdkörpers über die bestehende Mund-Antrum-Verbindung in Lokalanästhesie durchgeführt. Dabei wurde die Kieferhöhle ausgiebig mittels Kochsalzlösung gespült und letztlich ein Drainageröhrchen eingenäht.
Nach stationärer Aufnahme der Patientin, intravenöser Antibiose sowie Durchführung der vorbereitenden präoperativen Maßnahmen wurde noch am Aufnahmetag der operative Eingriff in nasaler Intubationsnarkose eingeleitet. Nach Anlage eines fazialen Kieferhöhlenfensters (Abbildung 2) wurde die Kieferhöhle endoskopisch exploriert.
Dabei wurde festgestellt, dass der Fremdkörper (Abbildungen 3 und 4) sich nicht frei im Lumen der Kieferhöhle befand, sondern sich wie ein Sinusbodenaugmentat unter der Schleimhaut verteilt hatte. Schließlich konnte er lokalisiert und mittels Fasszange geborgen werden.
Es zeigten sich bereits chronisch entzündlich, polypös veränderte Kieferhöhlenschleimhautareale, von denen Bioptate zur histopathologischen Untersuchung gewonnen wurden. Zur Unterstützung der Drainage sich bildenden Eiters und Wundsekrets wurde ein temporäres Nasenfenster angelegt. Nach ausgiebiger Spülung sowie Einbringung einer Tamponade zur Nase konnte die Mund-Antrum-Verbindung in typischer Weise nach Rehrmann plastisch gedeckt werden.
Postoperativ erhielt die Patientin eine kalkulierte Antibiose mittels Amoxiclav 2,2 g intravenös (3 x täglich). Die Analgesie erfolgte mittels Novalgin (500 mg/ml 30 gtt 3 x täglich). Ferner wurde ein zwei- bis dreiwöchiges Schnäuzverbot ausgesprochen sowie die Anwendung abschwellender Nasentropfen (Xylametazolin 0,1 Prozent) dreimal täglich für eine Woche empfohlen.
Verlauf
Bereits am ersten postoperativen Tag wurde erneut ein Orthopantomogramm (Abbildung 5) zur Kontrolle angefertigt. Die Wundheilung zeigte sich stadiengerecht, die Kieferhöhlentamponade konnte am fünften postoperativen Tag entfernt werden. Die histopathologische Untersuchung der Kieferhöhlenbioptate ergab das Vorliegen einer stärkergradig chronischen, sowie mäßiggradigen floriden Entzündung der Schleimhaut des Sinus maxillaris rechts.
Neben Streptococcus anginosus konnten vergrünende Streptokokken sowie Rothia mucilaginosa nach aerober Bebrütung des Abstrichmaterials nachgewiesen werden. Alle Erreger zeigten sich im Antibiogramm sensibel auf das verabreichte Antibiotikum. Nach einem stationären Aufenthalt von einigen Tagen konnte die Patientin entlassen werden. Bei einem ambulanten Nachsorgetermin am zehnten postoperativen Tag wurde das einliegende Nahtmaterial entfernt. Hierbei zeigten sich reizlose und dehiszenzfreie Wundverhältnisse. Die Patientin ist seither beschwerdefrei und wurde zur prothetischen Versorgung an den niedergelassenen Kollegen zurückverwiesen.
Diskussion
Die Entstehung einer Mund-Antrum-Verbindung ist eine häufige Komplikation bei der Entfernung von Oberkieferseitenzähnen. In der Hälfte der Fälle ereignet sie sich bei der Entfernung der ersten oberen Molaren, in 25 Prozent sind Weisheitszahnextraktionen und in 17 Prozent die Entfernung der zweiten oberen Molaren ausschlaggebend [Hernando, 2010]. Ist es zur Entstehung einer oroantralen Fistel gekommen, können nicht nur Keime aus der Mundhöhlenflora, sondern auch Fremdkörper in die Kieferhöhle gelangen. In der Vergangenheit konnte gezeigt werden, dass in 80 Prozent der Fälle Kieferhöhleneröffnungen innerhalb einer Woche zu akuten Sinusitiden führen können [Susarla, 2003].
Zur Anfertigung von temporären Versorgungen präparierter Zähne werden vor allem selbsthärtende Zweikomponentenmaterialien verwendet. Diese können in viskösem Zustand mittels einer Überabformung oder Tiefziehschiene im Bereich der präparierten Zähne in die Mundhöhle eingebracht werden. Ist durch eine im Vorfeld erfolgte Extraktion eine Mund-Antrum-Verbindung entstanden, kann bei der Eingliederung der Überabformung das Provisoriumsmaterial in die Kieferhöhle gelangen.
In der zahnärztlichen Prothetik werden heutzutage am häufigsten Acrylat-Kunststoffe verwendet [Craig, 2006]. Bei deren Polymerisation verbleibt ein bestimmter Anteil an freiem Restmonomer, das aus zahnärztlichen Werkstoffen freigesetzt und vom menschlichen Organismus resorbiert werden kann. Bei deren Metabolisation können wiederum Intermediate gebildet werden, die ihrerseits toxische Wirkungen zeigen können. Jedoch ist anzumerken, dass Monomere im Speichel des Menschen nach deren Elution aus Komposit im micromolaren Bereich zu detektieren sind, wohingegen toxische Wirkungen der genannten Materialien erst im millimolaren Bereich auftreten [Reichl, 2011]. Dementsprechend ist eine lokal toxische Wirkung umstritten. Weiterhin ist eine höhere Pathogenität im Vergleich zu Fremdkörpern anderer Materialien klinisch nicht nachweisbar.
Verbleibt ein Fremdkörper in der Kieferhöhle, der zu einer Dauerreizung der Kieferhöhlenschleimhaut führt, besteht die Gefahr, dass eine akute Sinusitis maxillaris mit einem Druckgefühl im Bereich der Kieferhöhle entsteht [Reichert, 2009]. Ferner kommt es in den meisten Fällen zum eitrigen Ausfluss aus der Nase beziehungsweise aus der Mundhöhle. Persistiert die Symptomatik länger als acht Wochen, geht die akute Sinusitis maxillaris definitionsgemäß in ein chronisches Stadium über, wobei die genannten Symptome meist in abgeschwächter Form fortbestehen. Behandlungsziele sind die Entfernung des Fremdkörpers, die Wiederherstellung der Belüftung der Kieferhöhle sowie der dichte und spannungsfreie Verschluss einer bestehenden Mund-Antrum-Verbindung [Reinert, 2014].
Zunächst kann versucht werden, den Fremdkörper über die Extraktionsalveole zu bergen. Dabei sind eine eingeschränkte Einsehbarkeit, die Größe des Fremdkörpers im Verhältnis zur Extraktionsalveole sowie instrumentelle Einschränkungen limitierende Faktoren in der Zahnarztpraxis. Bleibt der Versuch erfolglos, bietet sich als minimal-invasives Verfahren eine osteoplastische Kieferhöhlenoperation an [Chiapasco, 2009; Dundar, 2017]. Dabei wird im Bereich der fazialen Kieferhöhlenwand ein Kieferhöhlenfenster angelegt, über das der Operateur mit dem Endoskop in die Kieferhöhle eingehen und diese einsehen kann. Der knöcherne Deckel wird nach Bergung des Fremdkörpers repositioniert und mittels resorbierbarem Nahtmaterial fixiert. Der im Anschluss durchgeführte dichte und spannungsfreie Wundverschluss im Sinne einer Rehrmann-Lappenplastik trägt zusätzlich zur Stabilisierung bei.
Die plastische Deckung einer Mund-Antrum-Verbindung ist in 90 Prozent der untersuchten Fälle erfolgreich, vorbehaltlich des Einhaltens des strikten Schnäuzverbots durch den Patienten. In neun Prozent der Fälle muss ein Zweiteingriff durchgeführt werden [Visscher et al., 2011]. Im akuten bakteriellen Stadium können Antibiotika wie Aminopenicilline mit Beta-Lactamase-Inhibitoren oder Cephalosporine der zweiten oder dritten Generation einen therapeutischen Nutzen erzielen [Zirk, 2017]. Im chronischen Stadium ist deren Wirkung nicht erwiesen.
Fazit für die Praxis
Nach der Extraktion von Oberkieferseitenzähnen ist es unumgänglich, das Vorliegen einer entstandenen Mund-Antrum-Verbindung auf direkte (Bowman-Sonde) oder indirekte (Nasenblasversuch) Weise auszuschließen. Falls eine Mund-Antrum-Verbindung entstanden ist, ist bei Fehlen entzündlicher Prozesse die plastische Deckung zwingend erforderlich.
Bei der geplanten Anfertigung von Provisorien präparierter Zähne in direkter Nachbarschaft einer frischen Extraktionsalveole sollte eine schützende Abdeckung der Alveole erfolgen, um ein Eindringen des Provisoriumsmaterials in die Wunde zu verhindern.
Stellt sich ein Patient nach erfolgter Zahnextraktion mit Schmerzen und weiteren Symptomen einer Sinusitis maxillaris in der Praxis vor, sollte zumindest eine zweidimensionale Bildgebung durchgeführt werden, um einen in die Kieferhöhle dislozierten Fremdkörper auszuschließen.
Dr. Dr. Sina Heimer, Prof. Dr. Dr. Torsten E. Reichert,PD Dr. Dr. Ulrich Wahlmann
Klinik und Poliklinik für Mund-Kiefer-Gesichtschirurgie des Universitätsklinikums Regensburg
Franz-Josef-Strauß-Allee 11, 93053 Regensburg
sina-franziska.heimer@ukr.de
Literaturliste
1. Chiapasco M, Felisati G, Maccari A, Borloni R, Gatti F, Di Leo F (2009) The management of complications following displacement of oral implants in the paranasal sinuses: a multicenter clinical report and proposed treatment protocols. Int J Oral Maxillofac Surg. 38: 1273-1278.
2. Craig RG, Powers JM, Wataha JC (2006) Zahnärztliche Werkstoffe: Eigenschaften und Verarbeitung Elsevier Urban & Fischer, München, S. 64-68; S.271; S.318-319.
3. Dundar S, Karlidag T, Keles E (2017) Endoscopic Removal of a Dental Implant From Maxillary Sinus. J Craniofac Surg. 28: 1003-1004.
4. Hernando J, Gallego L, Junquera L, Villarreal P (2010) Oroantral communications. A retrospective analysis. Med Oral Patol Oral Cir Bucal. 15: 3499-503.
5. Reichert TE (2009) Odontogene Kieferhöhlenerkrankungen. MKG-Chirurg 2: 293–310.
6. Reichl FX (2011) Neue Forschung zur Komposit Toxikologie. Zahnärztliche Mitteilungen 10: 54-58.
7. Reinert S, Krimmel M (2014) Therapie odontogener Kieferhöhlenerkrankungen. MKG-Chirurg 7: 195– 205.
8. Susarla SM, Blaeser BF, Magalnick D (2003) Third molar surgery and associated complications. Oral Maxillofac Surg Clin North Am. 15: 177-86.
9. Visscher SH, van Roon MR, Sluiter WJ, van Minnen B, Bos RR (2011) Retrospective study on the treatment outcome of surgical closure of oroantral communications. J Oral Maxillofac Surg. 69: 2956-61.
10. Zirk M, Dreiseidler T, Pohl M, Rothamel D, Buller J, Peters F, Zöller JE, Kreppel M (2017) Odontogenic sinusitis maxillaris: A retrospective study of 121 cases with surgical intervention. J Craniomaxillofac Surg. 45: 520-525.








