Bergung von dislozierten Implantaten aus dem Sinus maxillaris
Fall 1:
Ein 61-jähriger Patient wurde von der Nephrologie der Universitätsmedizin Mainz zum Ausschluss eines dentogenen Fokus vor einer geplanten Nierentransplantation an die Abteilung für Mund-, Kiefer- und plastische Gesichtschirurgie der Universität Mainz überwiesen. Es lagen eine Niereninsuffizienz nach Glomerulonephritis und ein nephritisches Syndrom vor.
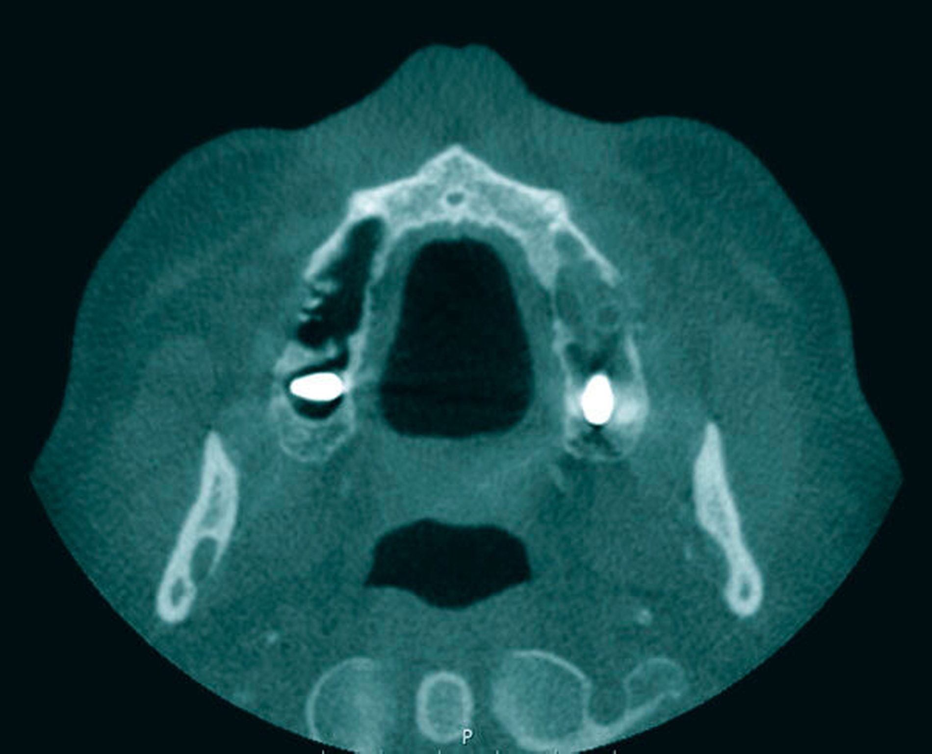
Bei der klinischen Untersuchung zeigten sich beide Kiefer totalprothetisch versorgt. Im Ober- und im Unterkiefer waren zur prothetischen Verankerung jeweils vier Implantate inseriert worden. In der durchgeführten Panoramaschichtaufnahme (PAN) zeigten sich alle Implantate osseointegriert. Zusammen mit den klinischen Befunden ergab sich kein Hinweis auf eine Periimplantitis oder einen weiteren Infektfokus. Die im Bereich des linken Sinus maxillaris nebenbefundlich festgestellte Opazität erweckte den Verdacht auf das Vorliegen eines metallenen Fremdkörpers in Form eines dentalen Implantats (Abbildung 1).
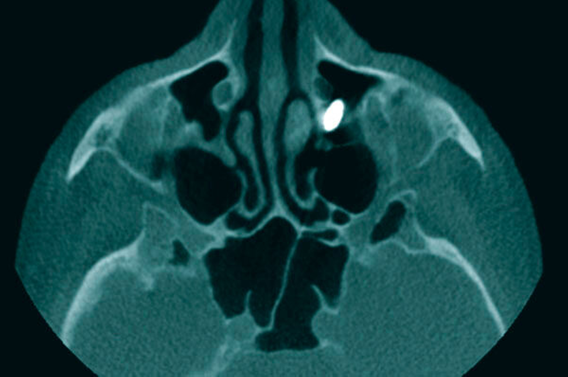
Zur weiteren Diagnostik und zur Beurteilung der Lage des Fremdkörpers wurde eine Digitalen Volumentomografie (DVT) durchgeführt. Diese bestätigte die Verdachtsdiagnose eines dislozierten Implantats im Bereich des Ostium naturale, wobei der Sinus maxillaris selbst Hinweise auf eine basale chronische Sinusitis aufwies (Abbildung 2).
Es folgte die Planung zur operativen Entfernung des Fremdkörpers in Intubationsnarkose über ein enorales Fenster zur Kieferhöhle. Nach Präparation eines mukoperiostalen Lappens über einen marginalen Zahnfleischrandschnitt wurde minimalinvasiv mittels Piezosurgery® (mectron, Köln) ein Knochenfenster zur Kieferhöhle angelegt. Mit dem Endoskop (30grad Optik, Karl-Storz, Berlin) zeigte sich das Ostium naturale offen und frei von dem radiologisch hier lokalisierten Fremdkörper. Dieser befand sich nun im Kieferhöhlenboden (Abbildung 3) und ließ sich komplikationslos bergen (Abbildung 4). Die Wunde wurde mehrschichtig geschlossen.
Fall 2:
Ein 32-jähriger Mann stellte sich mit einer akut schmerzhaften Sinusitis maxillaris der linken Seite nach Implantation und Augmentation alio loco vor. Der Knochenaufbau im Sinne einer Sinusboden-Augmentation und die Implantatinsertion im Oberkiefer beidseits waren vor circa einem halben Jahr im Ausland durchgeführt worden.
Bei der klinischen Untersuchung zeigte sich ein Druckschmerz über der linken Kieferhöhle und dem linken Sinus frontalis. In der PAN bestätigten sich eine beidseitige Augmentation der Oberkieferalveolarfortsätze von 17 bis 15 und von 25 bis 27, eine totale Verschattung der linken Kieferhöhle sowie beidseitig im Boden der Kieferhöhlen befindliche metallische Fremdkörper (Abbildung 5).
Zur weiteren Diagnostik wurde auch hier eine DVT angefertigt, auf der sich in beiden Kieferhöhlen jeweils ein Implantat identifizieren ließ. Der linke Sinus maxillaris zeigte das Bild einer totalen Kieferhöhlenverschattung bei Verdacht auf Flüssigkeitsansammlung, die rechte Kieferhöhle wies keine Entzündungszeichen auf (Abbildung 6).
Da in Zusammenhang mit der klinischen Diagnostik der Verdacht auf das Vorliegen eines Kieferhöhlenempyems bestand, erfolgte als Akutmaßnahme umgehend die Eröffnung der linken Kieferhöhle über eine bereits bestehende Mund-Antrum-Verbindung (MAV), aus der sich massiv Pus ergoss. In die MAV wurde konsekutiv eine Silikondrainage eingebracht, über die täglich gespült wurde. Zusätzlich erhielt der Patient bei bekannter Penicillinallergie eine antibiotische Therapie mit Clindamycin 600 mg dreimal täglich sowie Xylometazolin-Nasenspray. Nach zehn Tagen war das Spülsekret klar und frei von Pus, so dass der operative Eingriff in Intubationsnarkose geplant werden konnte.
Hier wurde jeweils über einen crestalen Schnitt der Alveolarfortsatz im Oberkiefer beidseits dargestellt. Auf der linken Seite erfolgte die Entfernung des Fremdkörpers über die bereits bestehende MAV. In der rechten Kieferhöhle zeigte sich nach Präparation des mukoperiostalen Lappens ebenfalls eine MAV mit subperiostaler Verwachsung. Auch hier konnte der Fremdkörper komplikationslos geborgen werden. Bilateral wurde die Wunde mehrschichtig verschlossen, auf der linken Seite mit zusätzlicher Einlagerung des Bichat’schen Fettpfropfs.
Diskussion
Die Insertion von dentalen Implantaten gilt als sicheres Verfahren mit voraussagbarem Ergebnis und hohen Erfolgsraten in Funktion und Ästhetik [Moraschini et al., 2015]. Gleichzeitig stehen auch für die prothetische Rehabilitation des atrophen Oberkiefers standardisierte und verlässliche Methoden zur Versorgung mit dentalen Implantaten zur Verfügung [Esposito et al., 2010]. Dennoch sind multiple Komplikationen bei der Implantatinsertion beschrieben worden. Diese werden eingeteilt in: fehlerhafte Osseointegration, Knochenverlust, Periimplantitis, mechanische Probleme, ästhetische und phonetische Komplikationen sowie – wie im vorliegenden Fall – die Migration des Implantats [Pelayo et al., 2008; Goodacre et al., 2003; Tolstunov et al., 2006; O’Mahony et al., 1999; Porter et al., 2005].
Als Gründe für eine Fehlinsertion und die Ektopie von Implantaten im Sinus maxillaris nach einem zahnärztlichen Eingriff werden meistens eine ungenügende Höhe des Alveolarkamms bei der Insertion, eine schlechte Planung, eine mangelhafte Erfahrung des Chirurgen und ein sehr spongiöser Knochen (Klasse-IV-Knochen) verantwortlich gemacht [Chappuis et al., 2009; Chiapasco et al., 2009; Guler et al., 2007]. Allerdings ist der Verlust eines Implantats in die Kieferhöhle ein selten auftretendes Ereignis [Kitamura et al., 2007]. Der steigende Gebrauch von Implantaten lässt die Wahrscheinlichkeit für derartige Komplikationen aber potenziell steigen.
Ein Implantat in der Kieferhöhle sollte schnellstmöglich geborgen werden, um Folgekomplikationen wie eine akute oder eine chronische Sinusitis, aber auch eine fortschreitende Infektion über die Nase und die Ethmoidalzellen zu vermeiden [Galindo et al., 2005]. Die Entfernung solcher Implantate erfolgt idealerweise endoskopisch gestützt über einen minimalinvasiven Zugang von enoral, transnasal oder aus beiden Richtungen [Chiapasco et al., 2009].
Zur Vermeidung solcher Komplikationen sollte vor Implantatinsertion eine gewissenhafte Planung erfolgen. Bei der Insertion im Bereich der Maxilla muss besonders auf die Restknochenhöhe des Alveolarkamms und das Vorliegen einer gesunden, nicht akut infizierten Kieferhöhle geachtet werden [Chiapasco et al., 2009].
Dr. Dr. Benjamin Beger
Assistenzarzt
Klinik und Poliklinik für Mund-, Kiefer- und Gesichtschirurgie
Universitätsmedizin Mainz
Augustusplatz 2, 55131 Mainz
benjamin.beger@unimedizin-mainz.de
PD Dr. Dr. Peer W. Kämmerer, M.A., FEBOMFS
Leitender Oberarzt / Stellvertretender Klinikdirektor
Klinik und Poliklinik für Mund-, Kiefer- und Gesichtschirurgie
Universitätsmedizin Mainz
Augustusplatz 2, 55131 Mainz
Fazit für die Praxis
Die Migration eines Implantats in die Kieferhöhle ist ein seltenes Ereignis.Zur Vermeidung von Komplikationen ist eine frühestmögliche Entfernung indiziert. Eine sorgfältige präoperative Planung unter Berücksichtigung der Oberkiefer-Restknochenhöhe kann derartige Komplikationen minimieren.
Literatur
Albrektsson T, Zarb G, Worthington P, Eriksson AR. The long-term efficacy of currently used dental implants: a review and proposed criteria of success. Int J Oral Maxillofac Implants. 1986;1:11–25.
Esposito M, Grusovin MG, Rees J, et al. Effectiveness of sinus lift procedures for dental implant rehabilitation: a Cochrane systematic review. Eur J Oral Implantol. 2010;3:7–26.
Pelayo JL, Diago MP, Bowen EM, Diago MP. Intraoperative complications during oral implantology. Med Oral Patol Oral Cir Bucal. 2008;13:239–43.
Goodacre CJ, Bernal G, Rungcharassaeng K, Kan JY. Clinical complications with implants and implant prostheses. J Prosthet Dent. 2003;90:121–32.
Tolstunov L. Dental implant success-failure analysis: a concept of implant vulnerability. Implant Dent. 2006;15:341–6.
O’Mahony A, Spencer P. Osseointegrated implant failures. J Ir Dent Assoc. 1999;45:44–51.
Porter JA, von Fraunhofer JA. Success or failure of dental implants? A literature review with treatment considerations. Gen Dent. 2005;53:423–32. quiz 33, 46.
Chappuis V, Suter VG, Bornstein MM. Displacement of a dental implant into the maxillary sinus: report of an unusual complication when performing staged sinus floor elevation procedures. Int J Periodontics Restorative Dent. 2009;29:81–7.
Chiapasco M, Felisati G, Maccari A, Borloni R, Gatti F, Di Leo F. The management of complications following displacement of oral implants in the paranasal sinuses: a multicenter clinical report and proposed treatment protocols. Int J Oral Maxillofac Surg. 2009;38:1273–8.
Guler N, Delilbasi C. Ectopic dental implants in the maxillary sinus. Quintessence Int. 2007;38:e238–9.
P. Galindo, E. Sánchez-Fernández, G. Avila, A. Cutando, J.E. FernandezMigration of implants into the maxillary sinus: two clinical cases. Int J Oral Maxillofac Implants, 20 (2005), pp. 291-295
A. Kitamura, Removal of a migrated dental implant from a maxillary sinus by transnasal endoscopy. Br J Oral Maxillofac Surg, 45 (2007), pp. 410-411














