Follikuläre Zyste im Kindesalter
Ein neunjähriger Junge stellte sich in der Ambulanz der Mund-, Kiefer- und Gesichtschirurgie der Universitätsmedizin Mainz mit einer zystischen Raumforderung des rechten Unterkiefers nach Überweisung durch einen niedergelassenen Oralchirurgen vor. Anamnestisch war bei einer Routinekontrolle durch den behandelnden Kinderzahnarzt ein ausbleibender Durchbruch der Molaren im 4. Quadranten aufgefallen. Es bestanden keine Schmerzen oder Sensibilitätsstörungen im Versorgungsgebiet des rechten Nervus alveolaris inferior.
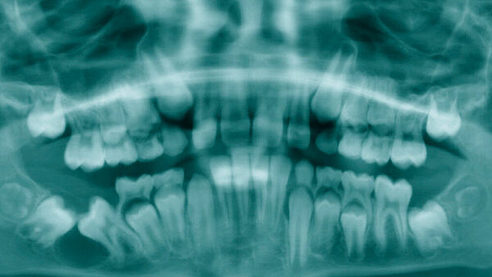
Eine angefertigte Panoramaschichtaufnahme (Abbildung 1) zeigte eine zystische Raumforderung mit Kontakt zu den retinierten Zähnen 46 und 47, die sich nach distal beziehungsweise mesial anguliert präsentierten. Zunächst war die Überweisung an einen niedergelassenen Oralchirurgen mit der Bitte um Therapieübernahme erfolgt, der den kleinen Patienten und seine besorgten Eltern an unserer Klink vorstellte.
Klinisch präsentierte sich ein gesundes Kind ohne Vorerkrankungen oder auffällige Familienanamnese. Die Inspektion der Mundhöhle zeigte einen leicht verdickten Alveolarkamm im dorsalen 4. Quadranten. Bei Palpation gab der Patient keine Schmerzen an. Ein Fistelgang war nicht zu sondieren. Sensible oder motorische Ausfälle wurden nicht beobachtet. Zur erweiterten Diagnostik erfolgte eine Bildgebung mittels Digitaler Volumentomografie (Abbildungen 2 und 3). Hier bestätigte sich die zystische Raumforderung mit einer Ausdehnung von circa 2,5 cm x 2 cm. Die Kortikalis erschien intakt, wenn auch besonders im lingualen Bereich von geringer Stärke. Die Zähne 46 und 47 zeigten beide keine Zeichen von Resorptionen und der Canalis mandibularis konnte über seinen gesamten Verlauf nachverfolgt werden.
In Zusammenschau der klinischen und radiologischen Befunde wurde die Verdachtsdiagnose einer follikulären Zyste gestellt. In einer interdisziplinären Beratung mit den Kollegen der kieferorthopädischen Abteilung wurde entschieden, die Zyste im Sinne einer Zystostomie mit Erhaltung der Zähne 46 und 47 operativ zu entfernen.
In Intubationsnarkose wurde vom aufsteigenden Ast kommend unter marginaler Schnittführung ein Mukoperiostlappen mit vestibulärer Entlastung am Zahn 45 präpariert. Unter vorsichtiger stumpfer Präparation erfolgte nun die Darstellung der Zyste (Abbildung 4) mit anschließender Eröffnung über einen osteoklastischen Zugang von vestibulär (Abbildung 5). Unter dem Schutz der Zähne 46 und 47 konnte der Zystenbalg mobilisiert und entfernt werden. Abschließend erfolgten der mehrschichtige Wundverschluss mit Fensterung nach vestibulär (Abbildung 6), eine intraoperative Alginatabformung zur Herstellung eines Obturators sowie die Einlage einer Tamponade.
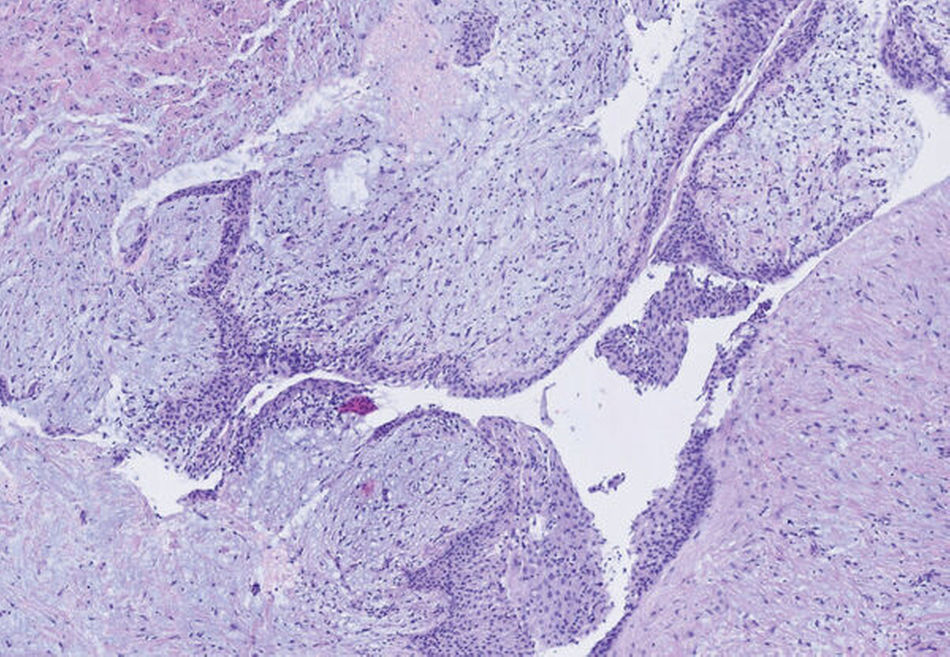
Die Tamponade konnte nach fünf Tagen entfernt und der fertiggestellte Obturator durch die Kollegen der Kieferorthopädie eingegliedert werden. Die histopathologische Aufbereitung zeigte eine Zyste mit Auskleidung durch Plattenepithel, fibrosiertem Bindegewebe und lymphozytärer Infiltration – vereinbar mit dem klinischen Bild einer follikulären Zyste (Abbildung 7).
Diskussion
Als Zysten werden epithelial ausgekleidete, von Flüssigkeit gefüllte Hohlräume im Hart- oder Weichgewebe bezeichnet. Follikuläre Zysten zählen zu den Zysten odontogenen Ursprungs und entstehen im Bereich retinierter Zähne zwischen dem inneren und dem äußeren Schmelzepithel. Durch nicht-infiltrierendes, langsames Wachstum bleibt ihr Voranschreiten lange asymptomatisch und oft werden sie – wie im vorliegenden Fall – beim radiologischen Screening aufgrund eines ausbleibenden Zahndurchbruchs nur zufällig gefunden [Alkhatib & Manton, 2010]. Der Häufigkeitsgipfel findet sich zwischen der zweiten und der dritten Lebensdekade, wobei das männliche Geschlecht häufiger betroffen ist [Hyomoto et al., 2001; Soluk et al., 2016].
Radiologisch präsentieren sich follikuläre Zysten als unilokuläre, gut abgrenzbare Läsionen im Bereich des Alveolarknochens mit einem partiellen oder kompletten Einschluss der Krone eines retinierten Zahnes mit Kontakt im Bereich der Schmelz-Zement-Grenze [Guven et al., 2014].
Zwei Typen follikulärer Zysten werden unterschieden: Bei der durch die Zahnentwicklung bedingten Zyste kommt es zu einer Aufweitung des Zahnsäckchens impaktierter Zähne. Inflammatorisch bedingte Zysten hingegen resultieren aus einer absteigenden Entzündung avitaler Milchzähne oder anderer entzündlicher Prozesse. Eine Unterscheidung der Ätiologie kann nur durch die Kombination der klinischen Untersuchung und der histopathologischen Beurteilung erfolgen. Bei Größenprogredienz von follikulären Zysten können Symptome wie Zahnlockerung, Zahnverlagerungen oder infektiöse Prozesse auftreten. Als Komplikationen sind neben Zahnverlust auch Frakturen, Nervschäden und in seltenen Fällen metaplastische Transformationen zu Ameloblastomen oder Mukoepidermoidkarzinomen zu nennen [Tamgadge et al., 2011].
Aufgrund der differenzialdiagnostischen Möglichkeiten ist eine histopathologische Untersuchung unbedingt anzustreben. Als Differenzialdiagnosen kommen neben gutartigen Befunden wie der radikulären Zyste auch andere Neoplasien wie die Keratozyste oder das Ameloblastom infrage.
Dr. Philipp Matheis
Klinik und Poliklinik für Mund-, Kiefer- und Gesichtschirurgie, Plastische Operationen, Universitätsmedizin Mainz
Augustusplatz 2, 55116 Mainz
philipp.matheis@unimedizin-mainz.de
PD Dr. Dr. Peer W. Kämmerer, MA, FEBOMFS
Leitender Oberarzt und stellvertretender Klinikdirektor
Klinik und Poliklinik für Mund-, Kiefer- und Gesichtschirurgie, Plastische Operationen, Universitätsmedizin Mainz
Augustusplatz 2, 55131 Mainz
Fazit für die Praxis
Follikuläre Zysten können aufgrund ihres verdrängenden Wachstums lange asymptomatisch bleiben und eine beträchtliche Größe erreichen.
Eine chirurgische Entfernung der Zyste in toto sollte je nach Möglichkeit erfolgen.
Eine histopathologische Aufbereitung zur Bestimmung der Dignität ist anzustreben.
Literaturliste
1. Alkhatib A, Manton DJ. Case report: preservation of teeth involved with an odontogenic cyst. Eur Arch Paediatr Dent. 2010;11(3):146-8.
2. Hyomoto M, Kawakami M, Hanamoto S, Kirita T, Miyawaki S. A clinicopathologic study of 184 dentigerous cysts. J Nara Med Assoc. 2001;52:181‐187
3. Soluk Tekkesin M, Tuna EB, Olgac V, Aksakalli N, Alatli C. Odontogenic lesions in a pediatric population: Review of the literature and presentation of 745 cases. Int J Pediatr Otorhinolaryngol. 2016;86:196-9.
4. Guven Y, Kasimoglu Y, Soluk Tekkesin M, Ulug D, Cankaya AB, Tuna EB, et al. Preservation of Involved Teeth Associated with Large Dentigerous Cysts. Int Sch Res Notices. 2014;2014:289463.
5. Tamgadge A, Tamgadge S, Bhatt D, Bhalerao S, Pereira T, Padhye M. Bilateral dentigerous cyst in a non-syndromic patient: Report of an unusual case with review of the literature. J Oral Maxillofac Pathol. 2011;15(1):91-5.











