Management von Tätowierungen in Heberegionen mikrovaskulärer Lappen
Jeder fünfte Mensch über 14 Jahren in Deutschland ist bei insgesamt steigender Tendenz tätowiert [Borkenhagen et al., 2019]. Einige Tätowierungen beinhalten Abbilder besonderer Life-Events und haben somit in der Regel neben dem ästhetischen Anspruch auch eine emotionale Bedeutung für den Patienten. Tätowierungen stellen daher auch in wachsender Zahl Operateure vor neue Herausforderungen, da beliebte Stellen für Tätowierungen (zum Beispiel Unterarm) mitunter auch typische Entnahmestellen mikrochirurgischer Transplantate sind. So ist beispielsweise der Radialislappen als „workhorse-flap“ einer der am häufigsten ver-wendeten mikrovaskulären Lappen in der Rekonstruktion im Kopf-Hals-Bereich [Lutz et Wei, 2005]. Bei Tätowierungen im Bereich des Unterarms kann somit möglicherweise ein Abweichen von Standardzugangswegen notwendig werden.
Fallbeispiel 1:
Eine 64-jährige Patientin stellte sich mit einem Plattenepithelkarzinom im Bereich des Arcus palatoglossus rechtsseitig vor. Zur Rekonstruktion nach Tumorablation war die Hebung eines Radialislappens geplant. Auf dem linken Unterarm der Patientin fand sich palmarseitig eine circa 5 cm x 8 cm große Tätowierung mit einem Engelmotiv, die bei regulärer Schnittführung inzidiert worden wäre (Abbildung 1a). Die Schnittführung wurde so modifiziert (Abbildung 1b), dass sie radialseitig um die Tätowierung herum angelegt und der Engel vollständig erhalten wurde (Abbildungen 1c und 1d).
Fallbeispiel 2:
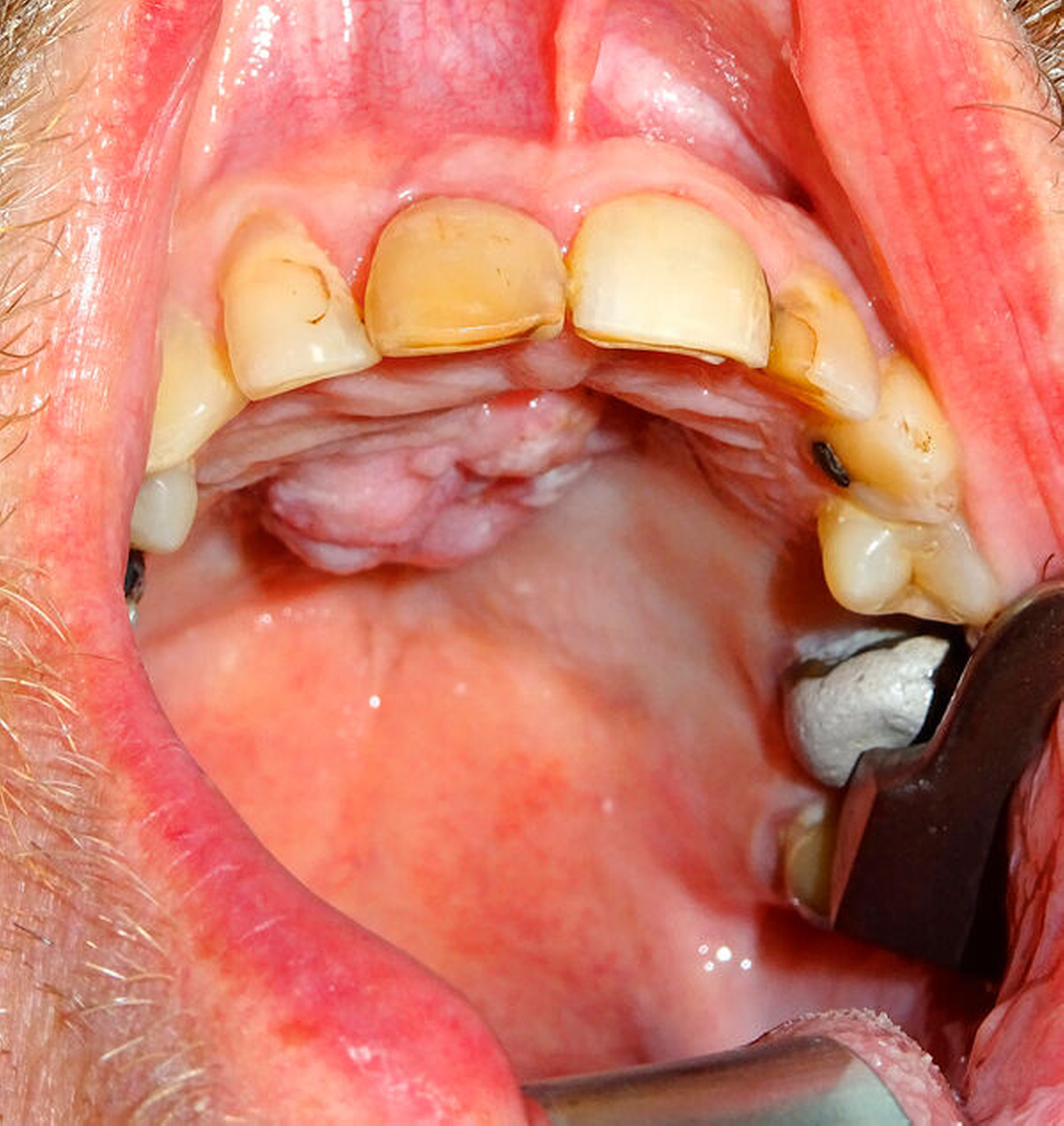
Dieser Fall zeigt, dass ein Tätowierung-erhaltendes Vorgehen nicht immer möglich ist. Ein 65-jähriger Patient mit großflächigen Tätowierungen am ganzen Körper stellte sich mit einem Plattenepithelkarzinom im Bereich des Alveolarfortsatzes des anterioren Oberkiefers und des Gaumens vor (Abbildung 2a). Zur Rekonstruktion nach Tumorentfernung war die Hebung eines Radialislappens geplant. Eine medizinisch sinnvolle Alternative bestand hierzu nicht. Nach sorgfältiger Abwägung und Aufklärung des Patienten erfolgte dann die Entscheidung für einen Radialislappen von links und die damit verbundene partielle Entfernung eines eintätowierten „Bacardi“-Emblems (Abbildungen 2b und 2c). Postoperativ kam es allerdings zu einer ausgeprägten Wundheilungsstörung im Entnahmegebiet (Abbildung 2d), während das Transplantat komplikationslos einheilte (Abbildung 2e).
Fazit für die Praxis
Tätowierungen können für Patienten eine große emotionale Bedeutung besitzen. Das Vorliegen einer Tätowierung im Operationsgebiet sollte daher bei der OP-Planung berücksichtigt und Alternativen diskutiert werden (Abbildung 3).
Es empfiehlt sich, den Patienten über die Art der Einbeziehung der Tätowierung in die Schnittführung und die ästhetischen Folgen explizit aufzuklären.
Inwieweit das Abheilen der Entnahmestellen von Fernlappen mit Tätowierungen oder das Einheilen dieser Lappen selbst überdurchschnittlich mit Komplikationen behaftet ist, müssen weitere Studien zeigen.
Sina Springhetti
Klinik für Mund-, Kiefer- und Gesichtschirurgie, Plastische Operationen
Klinikum Bremen-Mitte, 28177 Bremen
Dr. Dr. Patrick Schöne
Klinik für Mund-, Kiefer- und Gesichtschirurgie, Plastische Operationen
Klinikum Bremen-Mitte, 28177 Bremen
Prof. Dr. Dr. Jan Rustemeyer
Klinik für Mund-, Kiefer- und Gesichtschirurgie, Plastische Operationen
Klinikum Bremen-Mitte, 28177 Bremen
Jan.rustemeyer@klinikum-bremen-mitte.de















