Osteolytische Destruktion des Unterkiefers als Erstmanifestation eines Multiplen Myeloms
0In der Ambulanz der Universitätsklinik für Mund-, Kiefer- und Gesichtschirurgie Magdeburg stellte sich im Mai dieses Jahres eine 50-jährige, normalgewichtige Patientin in stabilem Allgemeinzustand ohne bekannte Allgemeinerkrankungen vor. Das plötzliche Auftreten einer Schwellung im Bereich des Unterkiefers rechts habe die Patientin bewogen, kurzfristig die Zahnarztpraxis aufzusuchen. Dort sei eine endodontische Behandlung an Zahn 45 begonnen worden. Der anschließend kontaktierte niedergelassene Kieferchirurg überwies die Patientin unter der Verdachtsdiagnose „einer ausgedehnten Zyste des Unterkiefers“ weiter.
Die extraorale Untersuchung ergab eine dezente Schwellung paramandibulär rechts (Abbildung 2). Enoral war eine umschriebene, prallelastische, schmerzlose Auftreibung des Corpus mandibulae vestibulär regio 43 bis 46 zu verzeichnen, ohne akute Entzündungszeichen (Abbildung 3) bei ansonsten unauffälligem Schleimhautbefund und weitestgehend saniertem Zahnstatus. Hinweise auf eine Fraktur des Unterkiefers oder Hypästhesien ergaben sich nicht.
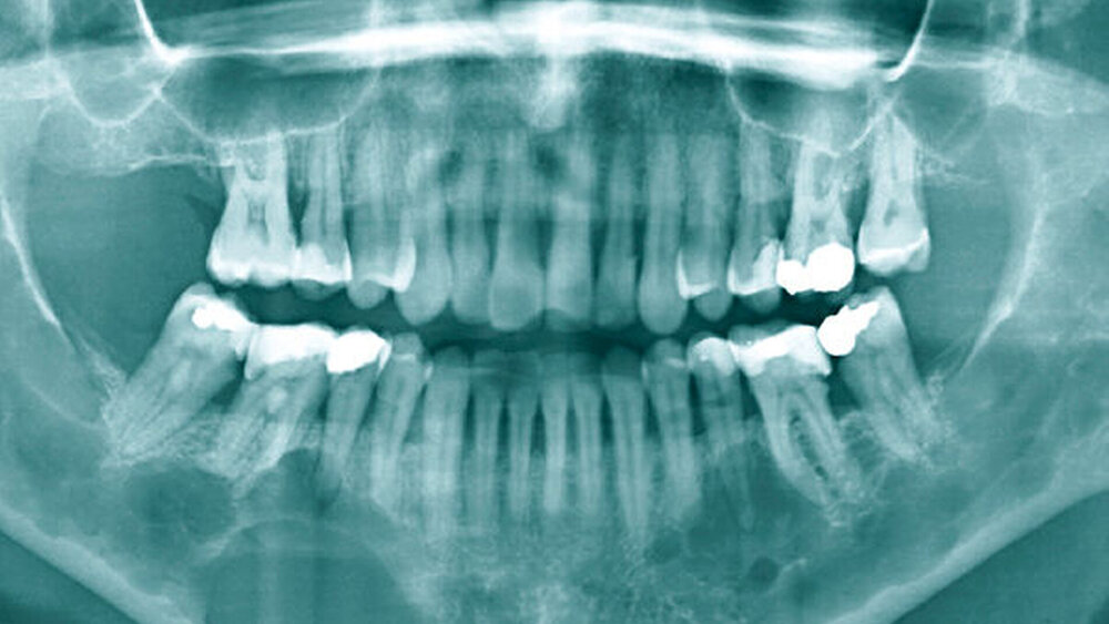
Das Orthopantomogramm zeigte eine auffällige, homogene, scharf begrenzte osteolytische Veränderung in regio 43 bis 46 ohne Resorption der angrenzenden Zahnwurzeln, allerdings mit Destruktion der Corpusunterkante korrespondierend zur klinisch evidenten Auftreibung des Unterkiefers. Daneben waren weitere osteolytische Läsionen zu verzeichnen, die sich subtotal über die gesamte Mandibula verteilten (Abbildung 1). Die Computertomografie des Unterkiefers bestätigte das Vorliegen multipler disseminierter osteolytischer Prozesse (Abbildung 4).
Dieses Erscheinungsbild ist für lokal-umschriebene Kiefererkrankungen wie Zysten untypisch, so dass systemische Grunderkrankungen in Betracht kamen. Die gezielte Nachfrage diesbezüglich ergab seitens der Patientin Rückenschmerzen, insbesondere im Bereich der Halswirbelsäule, die seit mehreren Wochen bestünden und zeitlich mit einem Gewichtsverlust korrespondierten. Die letzte gynäkologische Kontrolle vor wenigen Monaten sei ohne Auffälligkeiten gewesen.
Differenzialdiagnostisch mussten hämatoonkologische Erkrankungen berücksichtigt werden. Die durchgeführten laborchemischen Untersuchungen ergaben diesbezüglich deutliche Hinweise (Proteinämie, Anämie und Niereninsuffizienz). Auf eine operative Intervention seitens der MKG-Chirurgie zur histologischen Untersuchung wurde vor diesem Hintergrund und bei hoher Frakturgefahr des Unterkiefers verzichtet. Stattdessen erfolgte eine weiterführende Abklärung über die Universitätsklinik für Hämatologie und Onkologie des Universitätsklinikums Magdeburg.
Anhand spezifischer Laboruntersuchungen wie Eiweißelektrophorese und Immunfixation einschließlich Knochenmarkspunktion konnte die Diagnose Multiples Myelom gesichert werden. Die Ganzkörper-Low-Dose-CT ergab einen multifokalen Befall weiterer Teile des Skeletts (Abbildung 5) mit Kompressionsfraktur des dritten Halswirbelkörpers. Eine gezielte kombinierte Therapie mit Bortezomib, Lenalidomid, Dexamthason sowie Denosumab wurde in kurativer Intention binnen einer Woche eingeleitet. Zahnärztlich-chirurgischer Sanierungsbedarf ergab sich bezüglich der Einleitung der antiresorptiven Therapie nicht. Eine konservierende sowie eine Parodontaltherapie über den Hauszahnarzt wurden empfohlen.
Zur Stabilisierung der Halswirbelfraktur erfolgte zeitnah eine Radiatio. Über die hochgradige Frakturgefahr des Unterkiefers wurde die Patientin eingehend aufgeklärt und eine Ernährung mit ausschließlich flüssig-weicher Kost vereinbart. Eine mandibulomaxilläre Ruhigstellung wurde vorbehalten. Bei den regelmäßigen Nachkontrollen ergab sich sechs Monate nach Therapieeinleitung ein insgesamt stabilisierter Unterkiefer ohne Anhalt für eine Fraktur.
Diskussion
Als erste Symptome im Krankheitsverlauf der Patientin sind die Auftreibung im Bereich des Unterkiefers und die in der zahnärztlichen Röntgendiagnostik auffälligen osteolytischen Veränderungen anzusehen. Im Rahmen einer Zahnfilmaufnahme kann eine solche apikale Osteolyse fälschlicherweise als Parodontitis apikalis chronica oder radikuläre Zyste gedeutet werden. Das Orthopantomogramm ist bei großen Raumforderungen als Übersichtsaufnahme besser geeignet und unnötige Trepanationen können vermieden werden. Die im Orthopantomgramm der Patientin dargestellten, nahezu über den gesamten Unterkiefer disseminierten multiplen Osteolysen erscheinen ungewöhnlich und untypisch für die in der Zahnheilkunde bekannten zystischen Formationen.
Bei der differenzialdiagnostischen Betrachtung rein osteolytischer Kieferläsionen kommen verschiedene Erkrankungen in Betracht. Die häufig vorkommenden Osteomyelitiden oder Kiefernekrosen besitzen in der Regel neben osteolytischen auch sklerosierende Anteile und stellen sich weniger als zystische Formationen dar. In erster Linie sind diesbezüglich odontogene Zysten zu erwähnen. Diese können zwar eine multilokuläre Kammerung aufweisen, multifokales Auftreten ist dabei allerdings selten. Radikuläre Zysten beispielsweise können zwar multipel auftreten, beziehen sich aber in der Regel jeweils streng auf eine Wurzelspitze eines avitalen Zahnes [Devenney-Cakir et al., 2011]. Ebenso tritt die follikuläre Zyste zumeist solitär auf und beinhaltet charakteristischerweise eine Zahnkrone. Beim Auftreten multipler follikulärer Zysten ist an syndromale Erkrankungen zu denken wie Mukopolysaccharidose oder cleidokraniale Dysplasie [Freitas et al., 2006]. Ein multifokales Vorkommen von Keratozysten kann beim Gorlin-Goltz-Syndrom beobachtet werden, allerdings verbunden mit weiteren typischen syndromalen Erscheinungen wie Basalzellkarzinomen [González-Alva et al., 2008].
Neben den zystischen Veränderungen der Kiefer kommen auch osteolytische Läsionen anderer Genese vor. Zentrale Riesenzellgranulome können multipel im Rahmen von Syndromen, zum Beispiel des Noonan-Syndroms, neben weiteren Symptomen wie geistiger Retardierung und typischen körperlichen Fehlbildungen auftreten [Moskovszky et al., 2012]. Als endokrinologische Ursache solcher Riesenzellgranulome sollte ein Hyperparathyreoidismus (sogenannter brauner Tumor) berücksichtigt werden [Brabyn et al., 2017]. Der Cherubismus ist eine autosomal-dominante Erbkrankheit, die schon im Vorschulalter zu osteolytischen Auftreibungen in allen Quadranten führen kann [Sidorowic et al., 2018].
Kiefertumoren rufen ebenfalls Osteolysen hervor. In der Regel treten auch diese als solitäre Läsion auf, sind aber bei großer Ausdehnung und multilokulärem Vorkommen zu berücksichtigen. Benigne odontogene Tumore wie beispielsweise das Ameloblastom oder das odontogene Myxom besitzen häufig ein blasiges beziehungsweise wabiges Erscheinungsbild [More et al., 2012; Friedrich et al., 2012]. Maligne Tumoren des Kieferknochens wie das Osteosarkom weisen neben den osteolytischen meist auch sklerosierte Anteile auf sowie eine unscharfe Begrenzung [Chindia, 2001]. Auch Fernmetastasen eines extragnathen Tumors kommen in Betracht, treten aber zumeist ebenfalls solitär auf und führen eher zur ossären Destruktion als zu multiplen zystenähnlichen Auftreibungen [Akinbami, 2009].
Bei Erkrankungen des hämatopoetischen und des lymphatischen Systems ist zum einen die Histiozytose X (Langerhans-Zell-Granulomatose) zu nennen, die meist im Kindes- oder im Jugendalter auftritt und multifokale Osteolysen hervorrufen kann [Kim et al., 2019]. Zum anderen sind Lymphome, insbesondere das solitär auftretende intraossäre Lymphom und das Plasmozytom, zu erwähnen [Wen et al., 1988]. Letzteres wird bei multiplem Auftreten wie im vorliegenden Fall als Multiples Myelom bezeichnet. Zahlreiche osteolytische, scharf begrenzte Herde unterschiedlicher Größe verleihen dem Knochen im Rahmen des Multiplen Myeloms ein schrotkugelartig ausgestanztes Aussehen [Witt et al., 1997]. Die hämatopoetisch aktive Mandibula kann dabei betroffen sein. Das Auftreten von Veränderungen im Bereich des Unterkiefers als Erstmanifestation eines Multiplen Myeloms ist wiederum selten [Goetze et al., 2014].
Das Multiple Myelom macht circa zehn Prozent aller hämatologischen Neoplasien und ein Prozent aller Krebserkrankungen weltweit aus. In Deutschland werden jährlich etwa 6.500 Neudiagnosen gestellt. Nach den WHO-Kriterien zählt das Multiple Myelom zu den B-Zell-Lymphomen. Kennzeichnend sind eine Vermehrung der monoklonalen Plasmazellen im Knochenmark und eine erhöhte Produktion der kompletten oder inkompletten monoklonalen Immunglobuline. Das mediane Erkrankungsalter liegt für Frauen bei 71 Jahren, für Männer bei 74, wobei Männer häufiger erkranken. Die Fünfjahresüberlebensrate liegt für das R-ISS Stadium I bei circa 82 Prozent, bei 62 Prozent für Stadium II und bei 40 Prozent für Stadium III [Palumbo et al., 2015].
Das Multiple Myelom ist ein komplexes Krankheitsbild, das – wie im vorliegenden Fall – lange Zeit asymptomatisch verlaufen kann. Myelompatienten berichten meist über unspezifische Beschwerden, weshalb die Diagnose häufig erst im fortgeschrittenen Stadium gestellt wird. Initial werden anhaltende Rücken- und/oder Knochenschmerzen angegeben. Daneben leiden die Patienten häufig an einer Fatigue-Symptomatik, verursacht durch eine Anämie.
Die Diagnose wird durchs Vorhandensein der sogenannten CRAB-Kriterien (Hyperkalzämie, Niereninsuffizienz, Anämie und/oder osteolytische Knochenläsionen) und dem Nachweis klonaler Plasmazellen im Knochenmark gesichert [Goldschmidt et al., 2019]. Die Indikation zur Therapie wird anhand der CRAB-Kriterien sowie von radiologischen und serologischen Parametern gestellt. Entscheidend vor Einleitung der Therapie ist die Prüfung der Transplantationstauglichkeit des Patienten. In Abhängigkeit davon stehen immunmodulatorische Substanzen (Lenalidomid), Proteasomeninhibitoren (Bortezomib), Alkylanzien (Cyclophosphamid, Melphalan) und Antikörper (Daratumumab) zur Verfügung [Smith et al., 2006]. Neben der Immun-Chemotherapie wird bei Nachweis mindestens einer Osteolyse eine osteoprotektive Therapie mit antiresorptiven Medikamenten (Bisphosphonate beziehungsweise RANKL-Inhibitor) empfohlen [Terpos et al., 2013].
Die zahnärztliche Mitbehandlung ist hierbei relevant. Zum einen muss bei laufender Chemotherapie mit Wundheilungsstörungen gerechnet werden, so dass oralchirurgische Eingriffe möglichst zu vermeiden sind beziehungsweise eine antibiotische Abschirmung vorzunehmen ist. Zum anderen ist die Prophylaxe einer Antiresorptiva-assoziierten Kiefernekrose von wesentlicher Bedeutung. Diese beinhaltet die Beseitigung sämtlicher entzündlicher Foki im Bereich der Kiefer vor Beginn der antiresorptiven Therapie. Nach Beginn der antiresorptiven Therapie sind Eingriffe am Kieferknochen nur unter Einhaltung festgelegter Kautelen vorzunehmen. Eine entsprechende Leitlinie existiert (S3-Leitlinie: Antiresorptiva-assoziierte Kiefernekrosen, AWMF-Register-Nr. 007–09, letzte Aktualisierung: 12/2018).
Bei einer ausgedehnten osteolytischen Destruktion der Mandibula – wie im vorliegenden Fall – sind zahnärztliche Maßnahmen mit hoher Krafteinwirkung aufgrund der außerordentlichen Frakturgefahr allerdings zu vermeiden. Zahnextraktionen sind absolut schonend vorzunehmen und eine prophylaktische mandibulomaxilläre Ruhigstellung ist zu erwägen. Schonkost wird dringend angeraten. Auch bei Abformungen ist Vorsicht geboten. Die mögliche Wirbelsäuleninstabilität sollte bei der Patientenlagerung beachtet werden. Bei Unterkieferfrakturen reicht das Therapieregime von konservativen Maßnahmen bis zu Plattenosteosynthesen und Fixateur externe. Inwiefern es unter der kombinierten Chemotherapie zu einer Reossifikation der osteolytischen Herde kommt, ist ungewiss und kann röntgenologisch kontrolliert werden.
Fazit für die Praxis
Osteolytische Läsionen des Unterkiefers, die im Orthopantomogramm zur Darstellung kommen, sind in den meisten Fällen zystischen Ursprungs. In seltenen Fällen können solche Destruktionen auch Ausdruck einer systemischen Grunderkrankung sein. Als solche verursacht das Multiple Myelom multifokale, disseminierte Osteolysen des Skeletts. Die Beteiligung der Kieferregion kann zur Erstvorstellung in der Zahnarztpraxis führen. Grundsätzlich sollten ungewöhnliche radiologische Befunde unter Berücksichtigung der Klinik und der Anamnese bewertet und zeitnah fachärztlich abgeklärt werden, da dies für die Prognose, beispielsweise bei Vorliegen einer malignen Erkrankung, entscheidend sein kann.
Literaturliste
- Akinbami BO. Metastatic carcinoma of the jaws: a review of literature. Niger J Med. 2009 Apr-Jun;18(2):139-42.
- Brabyn P, Capote A, Belloti M, Zylberberg I. Hyperparathyroidism Diagnosed Due to Brown Tumors of the Jaw: A Case Report and Literature Review. J Oral Maxillofac Surg. 2017 Oct;75(10):2162-2169.
- Chindia ML. Osteosarcoma of the jaw bones. Oral Oncol. 2001 Oct;37(7):545-7.
- Devenney-Cakir B, Subramaniam RM, Reddy SM, Imsande H, Gohel A, Sakai O. Cystic and cystic-appearing lesions of the mandible: review. AJR Am J Roentgenol. 2011 Jun;196(6 Suppl):WS66-77.
- Freitas DQ, Tempest LM, Sicoli E, Lopes-Neto FC. Bilateral dentigerous cysts: review of the literature and report of an unusual case. Dentomaxillofac Radiol. 2006 Nov;35(6):464-8.
- Friedrich RE, Scheuer HA, Fuhrmann A, Zustin J, Assaf AT. Radiographic findings of odontogenic myxomas on conventional radiographs. Anticancer Res. 2012 May;32(5):2173-7.
- Gerecke C, Fuhrmann S, Strifler S, Schmidt-Hieber M, Einsele H, Knop S. The Diagnosis and Treatment of Multiple Myeloma. Dtsch Arztebl Int. 2016 Jul 11;113(27-28):470-6.
- Goetze E, Walter C, Kämmerer PW. Osseous plasma cell neoplasm of the mandible for initial diagnosis of multiple myeloma: case report and literature review. J Maxillofac Oral Surg. 2015 Mar;14(Suppl 1):469-74.
- Goldschmidt H, Ashcroft J, Szabo Z, Garderet L. Navigating the treatment landscape in multiple myeloma: which combinations to use and when? Ann Hematol. 2019 Jan;98(1):1-18.
- González-Alva P, Tanaka A, Oku Y, Yoshizawa D, Itoh S, Sakashita H, Ide F, Tajima Y, Kusama K. Keratocystic odontogenic tumor: a retrospective study of 183 cases. J Oral Sci. 2008 Jun;50(2):205-12.
- Kim JE, Yi WJ, Heo MS, Lee SS, Choi SC, Huh KH. Langerhans cell histiocytosis of the jaw, a mimicker of osteomyelitis on CT and MR images: A retrospective analysis. Medicine (Baltimore). 2019 Jul;98(27):e16331.
- Mikulasova A, Wardell CP, Murison A, Boyle EM, Jackson GH, Smetana J, Kufova Z, Pour L, Sandecka V, Almasi M, Vsianska P, Gregora E, Kuglik P, Hajek R, Davies FE, Morgan GJ, Walker BA. The spectrum of somatic mutations in monoclonal gammopathy of undetermined significance indicates a less complex genomic landscape than that in multiple myeloma. Haematologica. 2017 Sep;102(9):1617-1625.
- More C, Tailor M, Patel HJ, Asrani M, Thakkar K, Adalja C. Radiographic analysis of ameloblastoma: a retrospective study. Indian J Dent Res. 2012 Sep-Oct;23(5):698.
- Moskovszky L, Idowu B, Taylor R, Mertens F, Athanasou N, Flanagan A. Analysis of giant cell tumour of bone cells for Noonan syndrome/cherubism-related mutations. J Oral Pathol Med. 2013 Jan;42(1):95-8.
- Palumbo A, Avet-Loiseau H, Oliva S et al.: Revised International Staging System for Multiple Myeloma: A Report From International Myeloma Working Group. J Clin Oncol 33:2863-2869, 2015. DOI:10.1200/JCO.2015.61.2267
- Sidorowicz W, Kubasiewicz-Ross P, Dominiak M. Familial cherubism: clinical and radiological features. Case report and review of the literature. Eur J Paediatr Dent. 2018 Sep;19(3):213-217.
- Smith A, Wisloff F, Samson D; UK Myeloma Forum; Nordic Myeloma Study Group; British Committee for Standards in Haematology. Guidelines on the diagnosis and management of multiple myeloma 2005. Br J Haematol. 2006 Feb;132(4):410-51.
- Terpos E, Roodman GD, Dimopoulos MA. Optimal use of bisphosphonates in patients with multiple myeloma. Blood. 2013 Apr 25;121(17):3325-8.
- Wen BC, Zahra MK, Hussey DH, Doornbos JF, Vigliotti A. Primary malignant lymphoma of the mandible. J Surg Oncol. 1988 Sep;39(1):39-42.
- Witt C, Borges AC, Klein K, Neumann HJ. Radiographic manifestations of multiple myeloma in the mandible: a retrospective study of 77 patients. J Oral Maxillofac Surg. 1997 May;55(5):450-3; discussion 454-5.











