Fragmententfernung mit selbst gebauter Tube-Dorn-Apparatur
Die Instrumentenfraktur ist eine mögliche Komplikation im Rahmen einer Wurzelkanalbehandlung, deren Inzidenz Instrumenten-abhängig stark schwankt und mit bis zu 7,4 Prozent pro Behandlung am höchsten bei Stahlinstrumenten ausfällt [Amza, 2020]. Das frakturierte Instrument erschwert das Ziel der vollständigen chemomechanischen Aufbereitung des Wurzelkanalsystems, infolgedessen können Gewebereste und Bakterien im Endodont persistieren [McGuigan, 2013]. Die Nichterschließung von Wurzelkanalbereichen ist der Hauptgrund für persistierende apikale Parodontitiden, weshalb eine Instrumentenentfernung fallspezifisch durchaus zu erwägen ist [Nair, 2006].
Es existieren verschiedene Techniken und Methoden, mit denen Instrumente entfernt werden können [Madarati, 2013]. Im Speziellen soll hier auf die Entfernung mittels einer selbst herstellbaren Tube-Dorn-Apparatur eingegangen werden. Diese Technik ist bei langen Fragmenten indiziert, wenn der koronale Anteil des zu entfernenden Instruments im koronalen oder im mittleren Wurzeldrittel lokalisiert ist (Abbildung 1). Der apikale Instrumentenanteil kann hierbei im mittleren oder im unteren Wurzeldrittel oder sogar über den Apex hinaus lokalisiert sein [Arnold, 2013].
Die Voraussetzung zur Anwendung dieser Technik ist, dass das Instrument im koronalen Anteil 2 bis 3 mm geradlinig freigelegt wird, damit eine kleine, seitlich aufpräparierte Kanüle das Fragment umfassen kann. Das koronale Fragmentende ragt aus der lateralen Öffnung der Kanüle idealerweise hinaus (Abbildung 2). Im Anschluss wird ein Stempel vorsichtig nach apikal bewegt und das Fragment in der Kanüle mechanisch an drei Punkten verkeilt.
Mit vorsichtigen, der Situation angepassten Bewegungen kann das Instrument schließlich herausgezogen werden. Solche Tube-Dorn-Apparaturen können im Dentalhandel erworben (zum Beispiel IRS Instrument Removal System, Jadent, Aalen, Deutschland) oder (wie hier auch) selbst hergestellt werden.
In beiden unten beschriebenen Fällen wurde die Tube-Dorn-Apparatur aus einer stumpfen Spülkanüle mit einem Innendurchmesser von 0,6 mm (ANEL stumpfe Kanüle ø 0,6 mm, Dispomed Witt, Gelnhausen, Deutschland) und einem Ligaturendraht (Remanium vorgefertigte Ligaturen, ø 0,25 mm, Dentaurum, Ispringen, Deutschland) konstruiert. Die Spülkanüle muss den Anforderungen entsprechend individualisiert werden.
Im ersten Schritt wird die Krümmung der Kanüle an die Position des Fragments angepasst und kontrolliert, ob der Außendurchmesser eine Umfassung des Fragments zulässt. Im Anschluss wird das seitliche Fenster mit einem schnelllaufenden Diamanten unter Wasserkühlung präpariert. Bei der Dimensionierung muss die Balance zwischen erforderlicher Größe und Stabilität gefunden werden.
Vor der Anwendung am Patienten müssen alle Grate und Metallpartikel entfernt werden. Zum Schluss wird der Ligaturendraht als Stempel in die Kanüle eingeführt und auf Durchgängigkeit geprüft. Zur besseren Handhabung kann eine Arterienklemme als Halterung verwendet werden. Die Anwendung der Apparatur wird an zwei klinischen Fällen demonstriert.
Fall 1:
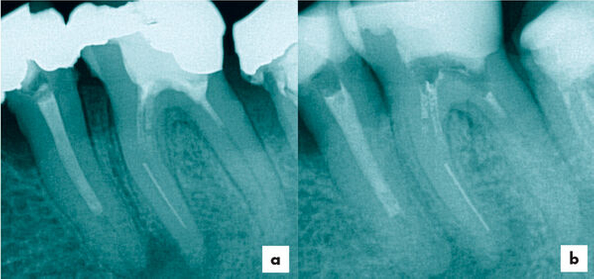
Ein 64-jähriger Patient wurde mit zwei frakturierten Hedströmfeilen in der distalen Wurzel von Zahn 46 überwiesen. Der Vorbehandler hatte versucht, das erste Fragment mit einer weiteren Hedströmfeile schraubend zu entfernen, jedoch frakturierte auch diese unter der hohen Torsionsbelastung (Abbildung 3).
Das eingeschraubte Fragment wurde koronal mittels Ultraschalltechnik (VDW Ultra, VDW, München, Deutschland; Endo-Chuck, B&L Biotech, Fairfax, USA) 3 mm freigelegt und aufgerichtet. Anschließend konnte das Fragment mit der Tube-Dorn-Apparatur gegriffen und entfernt werden (Abbildung 4). Daraufhin wurde Durchgängigkeit in allen drei Wurzelkanälen erreicht und es erfolgte die chemomechanische Aufbereitung. In der nächsten Sitzung wurde die Obturation mit Guttapercha und AH Plus (Dentsply Sirona, York, USA) warm-vertikal modifiziert nach Schilder durchgeführt (Abbildung 5).
Fall 2:
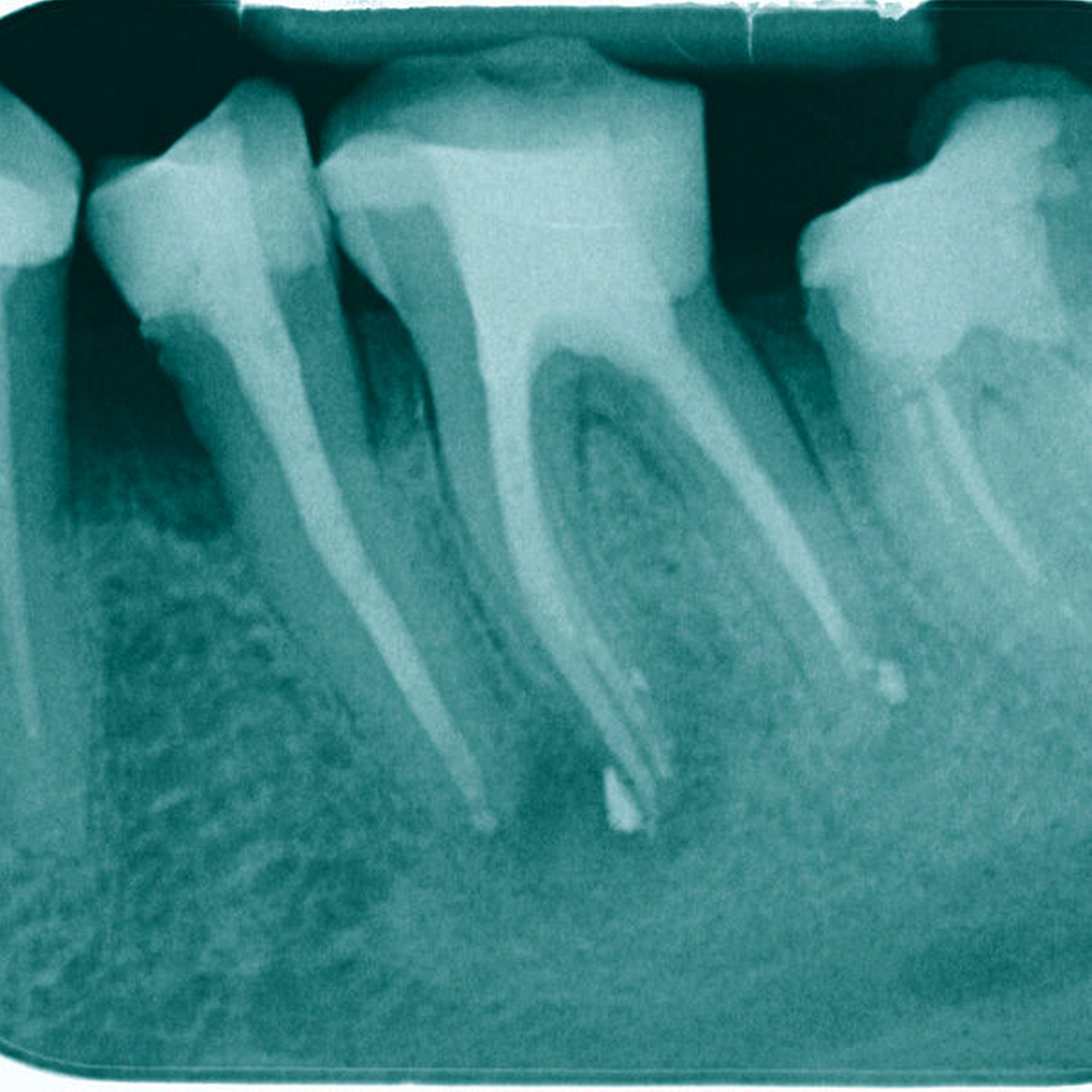
Eine 37-jährige Patientin mit einem frakturierten Nickel-Titan-Instrument in der mesiolingualen Wurzel von Zahn 36 wurde zur Weiterbehandlung überwiesen (Abbildung 6).
Mit einer Reciproc R25 (VDW) wurde zuerst die koronale Wurzelfüllung (Abbildung 7) entfernt, anschließend wurden die Kanaleingänge erweitert. Wie bei Fall 1 wurde zunächst das Fragment circa 3 mm koronal mittels Ultraschalltechnik (VDW Ultra/Endo Chuck) freigelegt und mit der oben beschriebenen Technik entfernt (Abbildung 8).
Auch in diesem Fall konnte in allen drei Wurzelkanälen Durchgängigkeit erreicht werden. Die chemomechanische Aufbereitung und Obturation (warm-vertikal modifiziert nach Schilder) der Wurzelkanäle erfolgte in zwei weiteren Sitzungen (Abbildung 9). Nach acht Monaten erfolgte der erste Recall, wobei eine deutliche Heilungstendenz erkennbar war (Abbildung 10).
Bewertung
Die Instrumentenentfernung gelingt in der endodontologischen Spezialistenpraxis zu 95 Prozent [Cuje, 2010], wobei die Prognose stark fallabhängig ist [Madarati, 2013].
In beiden gezeigten Fällen konnte die selbst gebaute Tube-Dorn-Apparatur erfolgreich zur Instrumentenentfernung angewendet werden. Nachteilig ist bei dieser Technik, dass die Handhabung etwas Übung erfordert. Vorteile sind die hohe Individualisierbarkeit und die vergleichsweise geringen Kosten der eingesetzten Komponenten.
Die Apparatur kann in einer endodontologischen Spezialistenpraxis ein speziell ausgelegtes Fragmententfernungskit nicht ersetzen, jedoch sinnvoll ergänzen. In der Generalistenpraxis kann diese Technik zur Entfernung gut sichtbarer Fragmente im Wurzelkanaleingang oder zur Entfernung trägerbasierter Obturationsmaterialien in ausgewählten Fällen auch ohne Operationsmikroskop angewendet werden.
Dr. Med. Dent. Sascha Herbst
Oberarzt, Zertifizierter Tätigkeitsschwerpunkt Endodontologie (DGET)
Abteilung für Orale Diagnostik, Digitale Zahnheilkunde und Versorgungsforschung,
Charité Universitätsmedizin Berlin
Aßmannshauser Str. 4–6, 14197 Berlin
Univ.-Prof. Dr. Falk Schwendicke, MDPH
Direktor der Abteilung für Zahnärztliche Diagnostik, Digitale Zahnheilkunde und Versorgungsforschung
Spezialist für Zahnerhaltung der DGZ
Centrum 3 für Zahn-, Mund- und Kieferheilkunde, Charité – Universitätsmedizin Berlin
Aßmannshauser Str. 4–6, 14197 Berlin
Literaturliste
Amza, O., B. Dimitriu, I. Suciu, R. Bartok, and M. Chirila. 2020. „Etiology and Prevention of an Endodontic Iatrogenic Event: Instrument Fracture.“ J Med Life 13 (3):378-381. doi: 10.25122/jml-2020-0137 .
Arnold, M. 2013. „Methoden zur orthograden Entfernung frakturierter Wurzelkanalinstrumente Teil 1.“ Endodontie 22 (2):159-169.
Cuje, J., C. Bargholz, and M. Hulsmann. 2010. „The outcome of retained instrument removal in a specialist practice.“ Int Endod J 43 (7):545-54. doi: 10.1111/j.1365-2591.2009.01652.x. Madarati, A. A., M. J. Hunter, and P. M. Dummer. 2013. „Management of intracanal separated instruments.“ J Endod 39 (5):569-81. doi: 10.1016/j.joen.2012.12.033. McGuigan, M. B., C. Louca, and H. F. Duncan. 2013. „Clinical decision-making after endodontic instrument fracture.“ Br Dent J 214 (8):395-400. doi: 10.1038/sj.bdj.2013.379. Nair, P. N. 2006. „On the causes of persistent apical periodontitis: a review.“ Int Endod J 39 (4):249-81. doi: 10.1111/j.1365-2591.2006.01099.x.














