Unklare Schwellung des Mundbodens
Die extraorale Untersuchung ergab einen regelhaften Befund. Es fanden sich keine Schwellungen oder Asymmetrien. Intraoral imponierte eine vorgewölbte, derbe, gut verschiebliche und nicht schmerzhafte Schwellung im Bereich des gesamten Mundbodens rechts. Bei der palpatorischen Untersuchung ließ sich klarer Speichel aus dem Wharton-Gang exprimieren. Nebenbefundlich zeigte sich ein nicht erhaltungswürdiger Zahn 36, der tief kariös zerstört war und eine periapikale Osteolyse aufwies. Es ergab sich jedoch kein Hinweis auf ein Abszessgeschehen oder eine dentogene Ursache der Raumforderung.
Das OPG bestätigte, dass Zahn 36 nicht erhaltungswürdig war. Röntgendichte Strukturen, die auf einen Sialolith hinweisen können, waren nicht ersichtlich. Ein pathologischer Befund als Ursache für die Raumforderung im Mundboden war nicht zu erkennen.
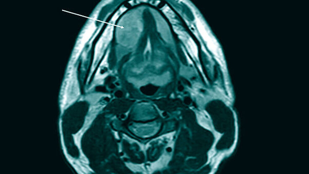
Zur weiteren Diagnostik erfolgte eine Magnetresonanztomografie (MRT). Diese zeigte eine glatt begrenzte, heterogene Raumforderung der Glandula sublingualis rechts (33 mm x 31 mm x 20 mm) mit Verdrängung der umgebenden Strukturen ohne Infiltration (Abbildungen 1 und 2). Es wurde die Verdachtsdiagnose eines pleomorphen Adenoms der Glandula sublingualis rechts gestellt. Weiterhin wurde eine deutlich atrophierte Glandula submandibularis rechts beschrieben.
Zur Diagnosesicherung und Therapie des Befunds erfolgte die vollständige Exstirpation der Raumforderung über einen Zugang im Bereich des Mundbodens rechts (Abbildungen 3 und 4). Zusätzlich erfolgte die Extraktion des Zahns 36. Die Untersuchung des Gewebes zeigte das histopathologische Bild eines pseudogekapselten Tumors aus myxoidem Bindegewebe mit Knorpelanteilen und mehreren epithelialen, benignen Proliferaten. Auf Basis des klinischen, des radiologischen und des histologischen Befunds ergab sich die Diagnose eines pleomorphen Adenoms.
In der postoperativen Kontrolle zeigten sich beschwerdefreie, reizlose Wundverhältnisse. Es wurden regelmäßige klinische und radiologische Verlaufsuntersuchungen im Intervall von sechs Monaten vereinbart.
Diskussion
Das pleomorphe Adenom macht zwei Drittel aller Speicheldrüsenneoplasien aus und zählt damit zu den häufigsten Speicheldrüsentumoren [Califano und Eisele, 1999]. Betroffen ist vornehmlich die Glandula parotis (85 Prozent), seltener trifft es die kleinen Speicheldrüsen intraoral oder die Glandula submandibularis [Pons Vicente et al., 2008; Rahnama et al., 2013]. Es tritt besonders bei Frauen von der dritten bis zur fünften Lebensdekade auf [Almeslet, 2020].
Der Tumor imponiert als langsam wachsende Schwellung, die ein verdrängendes Wachstum aufweist und sehr lange asymptomatisch bleibt [Almeslet, 2020]. Die histologische Untersuchung ist für die Diagnosestellung unabdingbar. Hierbei handelt sich um einen Tumor mit einem vielgestaltigen Tumorstroma. Aus seiner morphologischen Komplexität gründet sich der Name des pleomorphen Adenoms. Das pleomorphe Adenom ist von einer bindegewebigen Pseudokapsel umgeben und zeigt epitheliale, myoepitheliale und mesenchymale Komponenten mit Ausbildung von Knorpelanteilen [Ito et al., 2009; Almeslet, 2020].
Das Entartungsrisiko beträgt 5 bis 6 Prozent [Antony et al., 2012; Chooback et al., 2017; Almeslet, 2020], die Rezidivrate bei unvollständiger Entfernung ist hoch. Aufgrund dieser Eigenschaften gilt die komplette Exzision des Befunds als Therapie der Wahl [Aro et al., 2019; Almeslet, 2020].
Differenzialdiagnostisch sind entzündliche Prozesse, Zysten, Speicheldrüsenerkrankungen wie eine Sialolithiasis oder auch benigne oder maligne Tumore wie zum Beispiel Lipome, Neurinome oder Adenokarzinome der Glandula sublingualis abzugrenzen.
Im vorliegenden Fall konnte ein entzündlicher Prozess aufgrund der klinischen und radiologischen Befunde ausgeschlossen werden. Eine sichere Abgrenzung gegenüber Zysten oder Tumoren war letztlich nur durch die vollständige Entfernung und histologische Untersuchung des Gewebes möglich.
Postoperativ sind regelmäßige klinische und radiologische Nachsorgeuntersuchungen mittels CT oder MRT notwendig, um mögliche Rezidive frühzeitig zu erfassen [Almeslet, 2020].
Dr. med. Dr. med. dent. Katharina Nentwig-Tschürtz
Klinik für Mund-, Kiefer- und Plastische Gesichtschirurgie,
Universitätsklinikum Bonn
Venusberg – Campus 1, 53127 Bonn
Prof. Dr. Dr. Franz-Josef Kramer
Klinik für Mund-, Kiefer- und Plastische Gesichtschirurgie,
Universitätsklinikum Bonn
Venusberg – Campus 1, 53127 Bonn
Dr. Dr. Valentin Wiedemeyer
Klinik für Mund-, Kiefer- und Plastische Gesichtschirurgie,
Universitätsklinikum Bonn
Venusberg – Campus 1, 53127 Bonn
Fazit für die Praxis
Raumforderungen im Bereich des Mundbodens können vielfältige Ursachen haben.
Der umfassenden zahnärztlichen Untersuchung kommt eine große Bedeutung bei der frühzeitigen Erfassung intraoraler unklarer Neoplasien zu.
Die vollständige Entfernung des pleomorphen Adenoms ist von größter Relevanz.
Aufgrund der hohen Rezidivrate werden postoperativ regelmäßige Nachsorgeuntersuchungen empfohlen.










