Das Entschlüsseln der „Black Box“ zeigt ein seltenes intraossäres Hämangiom
Eine 69-jährige, multimorbide Patientin stellte sich nach Überweisung durch ihren Hauszahnarzt in unserer Klinik und Poliklinik für Mund-, Kiefer- und Plastische Gesichtschirurgie vor. Die Patientin gibt an, dass ihre Unterkieferprothese nicht mehr passe, ansonsten habe sie keine Beschwerden. Weiterhin ist sie aufgrund einer Lungenarterienembolie vor neun Jahren dauerhaft mit Rivaroxaban antikoaguliert.
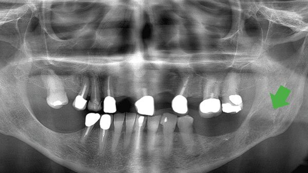
Der extraorale Untersuchungsbefund ist unauffällig. Enoral ist eine fluktuierende Schwellung im Bereich des zahnlosen Alveolarkamms des linken Unterkiefers tastbar. Im angefertigten Orthopantomogramm (OPTG) ist eine zystische Raumforderung im Bereich des Unterkiefers zu erkennen (Abbildung 1). In der anschließenden dreidimensionalen Bildgebung (CT) stellt sich eine glatt berandete, zystische Raumforderung im Bereich des linken Kieferwinkels dar (Abbildung 2).

Aufgrund der unklaren Entität wird sich zunächst für eine histopathologische Sicherung des Befunds entschieden. Der intraoperative Verlauf gestaltet sich aufgrund einer starken Blutung protrahiert. Diese kann aber mit primären hämostyptischen Maßnahmen (Naht, Gelastypt) beherrscht werden. Die histopathologische Aufarbeitung der anschließend entnommenen Biopsie ergibt ein kapillares Hämangiom.
Als weitere diagnostische Abklärung wird anschließend eine transfemorale Katheterangiografie der kraniozephalen Gefäße in intraarterieller, digitaler Subtraktionsangiografie durchgeführt. Es wird eine osteodestruktive Formation mit kräftiger, blush-artiger, spätarterieller Kontrastmittelanreicherung mit teils dilatierten Venen und venösem Abfluss beschrieben. Weiterhin kann die linke Arteria facialis als arterieller Hauptfeeder identifiziert sowie ein pathologischer Zufluss von kontralateral ausgeschlossen werden (Abbildung 3).

Nach der Diagnosestellung wird der Patientenfall im interdisziplinären Schädel-Basis-Board besprochen und die Patientin zur präoperativen Embolisation des Hämangioms und anschließenden operativen Resektion stationär aufgenommen. Im Rahmen einer superselektiven digitalen Subtraktionsangiografie wird das zuführende Gefäß, die Arteria alveolaris inferior, mittels Histoacryl vollständig verschlossen (Abbildung 4).

Am Folgetag wird das Hämangiom über einen extraoralen Zugang zunächst dargestellt, eine Osteotomie des Unterkiefers ohne Kontinuitätsunterbrechung mittels Piezo-Chirurgie vorgenommen (Abbildung 5) und unter Erhalt des Nervus alveolaris inferior vollständig reseziert (Abbildung 6). Es kommt zu keinem übermäßigen Blutverlust. Die zuvor eingekreuzten Blutkonserven werden nicht benötigt. Im Anschluss wird die vestibuläre Kortikalis mit einem patientenspezifischen Implantat belastungsstabil refixiert (Abbildung 7). Die orale Antikoagulation wurde zwei Tage präinterventionell pausiert und perioperativ halbtherapeutisch mit Tinzaparin überbrückt. Nach zwei blutungsfreien Tagen konnte das Rivaroxaban komplikationslos angesetzt werden.



Diskussion
Zystische Raumforderungen im Unterkiefer sind heterogene Entitäten. Von asymptomatischen, apikalen Aufhellungen im Zahnfilm bis hin zu ausgedehnten Raumforderungen mit Verdrängung der Nachbarstrukturen ist eine Diagnosestellung häufig nur durch bildgebende Verfahren und histopathologische Sicherung in interdisziplinärer Zusammenarbeit möglich [Düker, 2000]. Sind die betroffenen Patienten zudem durch Allgemeinerkrankungen oder Medikamente vorbelastet, kann die Diagnostik zusätzlich ein Risiko darstellen [AWMF, 1999].
Nach Anamnese und Erhebung von etwaigen Symptomen sowie Beschwerdeart und -beginn sollten im bezahnten Kiefer die angrenzenden Zähne auf Vitalität und Perkussionsempfindlichkeit sowie Lockerungsgrad geprüft werden. Im unbezahnten Kiefer sind Schleimhautveränderungen wie Rötung, Schwellung oder Perforationen zu beachten. Anschließend wird ein Röntgenbild, beispielsweise ein OPTG, angefertigt. Hier ist auf die Begrenzung der Raumforderung, Wurzelresorptionen oder Wurzelverdrängung zu achten. Gibt es Voraufnahmen, sollte unbedingt ein Vergleich zur Verlaufsbeurteilung erfolgen [Düker, 2000].
Differenzialdiagnostisch sind im bezahnten Kiefer Zysten odontogenen Ursprungs die häufigsten Diagnosen. Bei avitalem Zahn mit Bezug zur Zyste handelt es sich mit hoher Wahrscheinlichkeit um eine radikuläre Zyste. Steht die Zyste hingegen in Bezug zu einem retinierten Weisheitszahn, kommt nicht selten eine follikuläre Zyste infrage [Schwenzer/Ehrenfeld, 2011].
Im vorliegenden Fall handelte es sich um eine glatt begrenzte Raumforderung im unbezahnten Kiefer, so dass zur weiterführenden Diagnostik zunächst eine dreidimensionale Röntgenaufnahme zur besseren Beurteilbarkeit der Ausdehnung des Befunds indiziert ist. Anschließend wurde zur Sicherung der Entität eine Probebiopsie entnommen. In diesem Fall musste differenzialdiagnostisch das intraossäre Hämangiom in Betracht gezogen werden. Im unbezahnten Kiefer ist die Begrenzung der Zyste von entscheidender Bedeutung. Solitäre Knochenzysten weisen häufig eine glatte Begrenzung auf, bei unscharfer Begrenzung hingegen sollten Malignomerkrankungen unbedingt ausgeschlossen werden. Eine Sonderform bildet hier der keratozystische odontogene Tumor (KZOT): eine typische, girlandenförmige Berandung ist pathognomonisch (Abbildung 8).

Hämangiome im Kopf-Hals-Bereich sind insbesondere bei Kindern eine häufige Entität. Infantile Hämangiome gehören zu den häufigsten gutartigen Tumoren im Kindesalter [Rößler, 2015]. Intraossäre Hämangiome im Erwachsenenalter hingegen sind eine seltene und wenig erforschte Entität [Chandra et al., 2017; Chetan et al., 2015]. Hämangiome gehen stets mit einem deutlich erhöhten Blutungsrisiko einher [Misra et al., 2015]. Im vorliegenden Fall wurde das Hämangiom von einem Seitenast der Arteria carotis externa arteriell gespeist. Zusätzlich hatte die Patientin durch die orale Antikoagulation eine deutlich verlängerte Gerinnungszeit. Daher musste eine Biopsie zur histologischen Sicherung unter kontrollierbaren Bedingungen erfolgen. Nach der Sicherung des Befunds wird die operative Resektion im interdisziplinären Team geplant.
Eine präoperative Embolisation durch die Neuroradiologie dient der Minimierung des Blutungsrisikos. Zusätzlich wird die orale Antikoagulation nach klinikinterner Leitlinie pausiert und mittels niedermolekularem Heparin in therapeutischer Dosierung perioperativ überbrückt.
Fazit für die Praxis
Obwohl zystische Raumforderungen des Unterkiefers vermeintlich häufig auftreten, ist eine Diagnostik nicht selten erschwert. Auch bei asymptomatischen Patienten sollte eine Diagnostik hinsichtlich der Dignität erfolgen (Abbildung 8).
Handelt es sich um ein hypervaskuläres, intraossäres Hämangiom, sollte unbedingt ein interdisziplinäres Therapiekonzept angestrebt werden.
Der perioperative Blutverlust kann – bei entsprechender Blutungsprophylaxe, Gerinnungsmanagement und Embolisation der zuführenden Gefäße – minimal gehalten werden.
Literaturliste
AWMF Online (1999): S1-Leitlinie: Knochenzysten 006-029. www.awmf.org/uploads/tx_szleitlinien/006-029l_S1_Knochenzysten_2019-09.pdf (03/2019)
Chandra, S.R., Chen, E., Cousin, T., Oda, D. (2017): A case series of intraosseous hemangioma of the jaws: Various presentations of a rare entity. in: J Clin Exp Dent, 9, 11, e1366-e1370.
Chetan, B.I., Sharmila, Shruthi, D.K., Karthik, B. (2015): Diagnostic and Surgical Aspects of Central Hemangioma of Mandible: A Surgical Approach for the Reconstruction of Mandible. in: J Int Oral Health, 7, 1, S. 56–58.
Düker, J. (2000): Röntgendiagnostik mit der Panoramaschichtaufnahme. 2. Aufl., s.l.
Misra, S.R., Rastogi, V., Mohanty, N., Vineet, D.A. (2015): Locally aggressive cavernous haemangioma of the mandible: an unusual presentation. in: BMJ Case Rep, 2015.
Prof. Dr. med. Jochen Rößler (2015): Infantile Hämangiome.
Schwenzer, N., Ehrenfeld, M. (2011): Mund-Kiefer-Gesichtschirurgie, 48 Tab. 4. Aufl., Stuttgart.







