Monostotische fibröse Dysplasie des Gesichtsschädels im Kindesalter
Eine zehnjährige Patientin stellte sich mit einer seit einigen Monaten bestehenden Schwellung der linken Wange bei ihrem Kinderzahnarzt vor. Allgemeinanamnestisch bestanden keine Vorerkrankungen. Die klinische Untersuchung zeigte neben einer leicht verminderten Mundöffnung ein regelhaftes Wechselgebiss mit physiologischen Zahndurchbrüchen und altersgerechter Zahnentwicklung. Die Seitenzähne im betroffenen dritten Quadranten wiesen keine Perkussionsempfindlichkeiten auf, Vitalitätsproben an den Zähnen 43, 75 und 46 zeigten sich positiv. Abgesehen von einer knochenharten, nicht druckdolenten Auftreibung der linken Mandibula und einer daraus resultierenden moderaten, asymmetrischen Gesichtsschwellung existierten keine klinisch apparenten Beschwerden. Zur weiteren Diagnostik und Therapie wurde die Patientin daraufhin an die Klinik und Poliklinik für Mund-, Kiefer- und Gesichtschirurgie der Universitätsmedizin Mainz überwiesen.
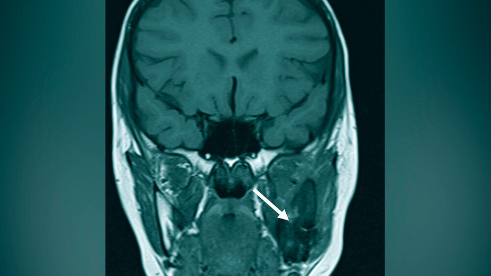
Zur (differenzial-)diagnostischen Beurteilung und Darstellung der Befundausdehnung wurde zunächst unter Berücksichtigung des Kindesalters eine Bildgebung mittels Magnetresonanztomografie (MRT) durchgeführt. Diese zeigte in der T1-Wichtung im Bereich des linken Kieferwinkels lokalisierte diffuse, inhomogene und signalarme Strukturen mit expansiver Auftreibung der Kortikalis und entzündlicher Begleitreaktion der angrenzenden Muskulatur (Abbildung 1). Aufgrund der MRT-morphologisch nicht zweifelsfrei wegweisenden Befunde erfolgte zur genaueren Beurteilung des knöchernen Gesichtsschädels eine ergänzende Computertomografie (CT), die kongruent zu den signalarmen Bereichen in der MRT milchglasartige Volumenvermehrungen des linken Kieferwinkels mit Ausbreitung in den Processus coronoideus und ins angrenzende Collum mandibulae aufwies (Abbildung 2). Die durchgeführte CT stützte bei den oben genannten, charakteristischen Kriterien (Abbildung 3) im Kontext der klinischen Befunde die Arbeitsdiagnose der fibrösen Dysplasie.
Zur definitiven Diagnosesicherung und zum Ausschluss eines malignen Prozesses erfolgte daraufhin eine minimalinvasive, knöcherne Probenentnahme in Intubationsnarkose. Diese konnte komplikationslos durch crestale Inzision distal des durchgebrochenen Molars 46 unter Schonung der bleibenden Zahnkeime und des N. alveolaris inf. unter Bildung eines Mukoperiostlappens aus dem Kieferwinkel gewonnen werden. Die histopathologische Begutachtung des Knochenbiopsats bestätigte bei ausgeprägtem Umbau der physiologischen Knochensubstanz durch Fibroblasten und Spindelzellen sowie Vorliegen zahlreicher, irregulär konfigurierter Knochentrabekel die Verdachtsdiagnose der fibrösen Dysplasie.
In der Zusammenschau der Befunde wurde in Anbetracht des unilateralen Vorliegens und der für die monostotische fibröse Dysplasie zu erwartenden postadoleszenten Selbstlimitierung die Entscheidung zu einem konservativen Vorgehen mit engmaschigen klinischen sowie radiologischen Kontrollen getroffen. Eine Evaluation etwaiger chirurgischer Eingriffe zur ästhetischen Rehabilitation bei Persistenz oder Progredienz der knöchernen Wucherungen soll im Verlauf nach Abschluss der Pubertät erfolgen.
Aktuell befindet sich die heute zwölfjährige Patientin im regelmäßigen Recall in ambulanter Sprechstunde. Aktuelle radiologische Verlaufskontrollen zeigen eine minimale Progredienz der dysplastisch veränderten Knochenanteile des linken Unterkiefers (MRT, Abbildung 4). Unter bedarfsgerechter Analgesie mit Paracetamol und Novaminsulfon bei episodischen Schmerzen sind im Kontext der geringfügigen Progredienz, aber sonstigen Beschwerdefreiheit weitere, kurzfristige Verlaufskontrollen mittels MRT vereinbart.
Diskussion
Bei der fibrösen Dysplasie handelt es sich um eine mit einer Prävalenz von etwa 1:30.000 auftretende [Chapurlat und Orcel, 2008], langsam fortschreitende Fehldifferenzierung des knochenbildenden Mesenchyms, bei dem die normale Knochenstruktur infolge progredienter Umbauvorgänge durch fibrotisches Gewebe und desorganisierte Knochentrabekel ersetzt wird, die vom physiologischen Wachstumsschema der betroffenen Knochen abweichen [Kimitsuki und Komune, 2015].
Die Erkrankung wurde erstmals von McCune und Bruch im Jahr 1937 beschrieben [McCune und Bruch, 1937] und lässt sich in drei verschiedene Unterformen klassifizieren [Nager et al., 1982]:
monostotische Form (ein Knochen betroffen),
polyostotische Form (mehrere Knochen betroffen) sowie
McCune-Albright-Syndrom (schwere, polyostotische Verlaufsform mit Endokrinopathien und Hyperpigmentierung der Haut).
Ursächlich für die Entstehung einer fibrösen Dysplasie ist eine postzygotische beziehungsweise somatische Missense-Mutation im GNAS-Gen („guanine nucleotide-binding protein, alpha-stimulating activity polypeptide“) auf Chromosom 20, das für die stimulierende α-Untereinheit eines regulatorischen G-Proteins codiert [Ostertag und Glombitza, 2018]. Folge dieser Mutation im GNAS-Genkomplex ist eine gesteigerte Aktivität der Adenylatzyklase mit konsekutiver Erhöhung von cAMP (zyklisches Adenosinmonophosphat) [Salpea und Stratakis, 2014], das bei dauerhaft pathologisch erhöhten Spiegeln zu charakteristischen, der fibrösen Dysplasie entsprechenden Zellformveränderungen führt [Riminucci et al., 1997].
In den meisten Fällen (70 Prozent) tritt die fibröse Dysplasie – wie im vorgestellten Fall – in monostotischer Form auf, wobei zehn Prozent dieser Manifestationen auf den Bereich des Gesichtsschädels entfallen [Windholz, 1947]. Etwa drei Viertel der Erkrankten sind unter 30 Jahren alt, Neuerkrankungen bei älteren Patienten sind deutlich seltener. Eine geschlechterspezifische Kumulation konnte nicht nachgewiesen werden [Hart et al., 2007]. Häufig handelt es sich um Zufallsbefunde, wobei als typische Prädilektionsstellen neben der Schädelbasis die proximale Metaphyse des Femurs, die Rippen und das Becken gelten [Anitha et al., 2015]. Der klinische Verlauf der monostotischen fibrösen Dysplasie ist häufig asymptomatisch und stagniert für gewöhnlich eigenständig nach Erreichen der Skelettreife in der Pubertät.
Klinisch imponieren beim Auftreten am Schädel oftmals ausschließlich schmerzlose, asymmetrische Gesichtsschwellungen, die bei enoraler Manifestation unilateral posteriore Anteile des Oberkiefers fast doppelt so häufig betreffen wie den Unterkiefer [Menon et al., 2013]. Bei etwa 27 Prozent sind multiple Knochen befallen und in seltenen Fällen (circa drei Prozent) tritt eine schwere Verlaufsform, ein McCune-Albright-Syndrom, mit begleitenden Endokrinopathien und typischen Café-au-lait-Flecken der Haut auf [Kimitsuki und Komune, 2015]. Je nach Ausmaß und Lokalisation der Wucherungen, insbesondere wenn diese in Nachbarschaft wichtiger Leitungsbahnen liegen, können exazerbierende Symptome wie Schmerzen und Bewegungseinschränkungen, in ausgeprägten Fällen sogar pathologische Frakturen resultieren.
Neben der klinischen Untersuchung ist die Diagnose der fibrösen Dysplasie überwiegend radiologisch zu stellen [Vogelsang et al., 1978]. Typischerweise zeigt eine fibröse Dysplasie bildmorphologisch in Orthopantomogramm (OPTG) und CT neben einer ausgedünnten, intakten Kompakta eine charakteristische, milchglasartige Struktur der betroffenen Knochen [Fitzpatrick et al., 2004]. Abhängig davon, ob fibröse oder ossäre Gewebeanteile überwiegen, dominieren Aufhellungen oder Verschattungen die oben genannten bildgebenden Verfahren. Insbesondere zur besseren Differenzierung, respektive Abgrenzung mon- und polyostotischer Krankheitsbilder ist in ausgewählten Fällen auch eine nuklearmedizinische Skelettszintigrafie wegweisend [Vogelsang et al., 1978]. Neben klar kennzeichnenden radiologischen Merkmalen kann auch der Nachweis einer GNAS-Genmutation die herkömmliche chirurgische Biopsiediagnostik, deren Notwendigkeit immer in Abhängigkeit des zu erwartenden diagnostischen Nutzens und des individuell bestehenden Frakturrisikos evaluiert werden sollte, ergänzen [Ostertag und Glombitza, 2018].
Differenzialdiagnostisch sind insbesondere aufgrund ähnlicher radiologischer Charakteristika und Prädilektionsstellen der Morbus Paget, das multiple Myelom, das Osteom, das ossifizierende Fibrom und mögliche Filialisierungen eines unbekannten Primarius zu nennen [Lisle et al., 2008]. Auch odontogene Manifestationen wie aneurysmatische Knochenzysten sollten bei der differenzialdiagnostischen Einordnung Beachtung finden.
Eine kausale Therapie der fibrösen Dysplasie existiert zurzeit nicht. Bei asymptomatischer, isoliert lokalisierter Manifestation ist in der Regel keine invasive Therapie erforderlich [Masthoff et al., 2021]. Neben der symptomorientierten, pharmakologischen Schmerztherapie steht die chirurgische Resektion von ästhetisch störenden oder Leitungsbahnen beeinträchtigenden Knochenwucherungen, gegebenenfalls in Kombination mit physiotherapeutischer Behandlung, im Vordergrund [Javaid et al., 2019]. Neue therapeutische Ansätze beschäftigen sich unter anderem mit dem Einsatz von Bisphosphonaten, die Studien zufolge durch ihren Eingriff in den Knochenstoffwechsel einen Progress der Krankheit zumindest teilweise verringern können [Egner, 2003].
Aus zahnmedizinischen Gesichtspunkten kann das Vorliegen einer fibrösen Dysplasie zu Zahnfehlstellungen bis hin zu Malokklusion, Verzerrungen des Gesichtsprofils oder Abszessen führen [Alves et al., 2016]. Da sich die fibröse Dysplasie vornehmlich im Kindesalter manifestiert, ist bei kieferorthopädischen Behandlungen von einer verlängerten, aufwendigeren Behandlungszeit und einer gesteigerten Rezidivrate auszugehen [Lee et al., 2012; Masthoff et al., 2021].
Auch wenn der explizite Krankheitsverlauf und der Schweregrad der fibrösen Dysplasie initial nicht eindeutig abzuschätzen sind, ist die Prognose – besonders bei der monostotischen Form – gut, da sich die Krankheit in der Regel nach Eintreten der Adoleszenz stabilisiert. Eine maligne, sarkomatöse Transformation der fibrösen Dysplasie ist sehr selten [Oh et al., 2020], regelmäßige klinische sowie radiologische Nachsorgen sind jedoch zweifelsfrei angezeigt.
Fazit für die Praxis
Häufige Symptome der fibrösen Dysplasie bei craniofazialer Lokalisation sind schmerzlose, knöcherne Auftreibungen und Gesichtsasymmetrien.
Die fibröse Dysplasie tritt in den meisten Fällen in monostotischer Form auf, ein Fortschreiten stabilisiert sich häufig nach Abschluss der Pubertät. Daher sollte die Indikation zur chirurgischen Intervention zurückhaltend gestellt werden.
Die Diagnose ist neben der klinischen Untersuchung in der Regel durch charakteristische radiologische Merkmale (milchglasartige Struktur der betroffenen Knochen) zu stellen.
Eine ursächliche Therapie existiert nicht, neben engmaschigen Verlaufskontrollen und konservativer Therapie können chirurgische Resektionen störender Knochenwucherungen erfolgen.
Die kieferorthopädische Behandlung erfordert ein interdisziplinäres Therapiekonzept. Es muss von einer verlängerten Therapiezeit und einer erhöhten Rezidivrate ausgegangen werden.
Literaturlisten
Alves, N., R. J. de Oliveira, D. Takehana, and N. F. Deana. 2016. 'Recurrent Monostotic Fibrous Dysplasia in the Mandible', Case Rep Dent, 2016: 3920850.
Anitha, N., S. L. Sankari, L. Malathi, and R. Karthick. 2015. 'Fibrous dysplasia-recent concepts', J Pharm Bioallied Sci, 7: S171-2.
Chapurlat, Roland D., and Philippe Orcel. 2008. 'Fibrous dysplasia of bone and McCune–Albright syndrome', Best Practice & Research Clinical Rheumatology, 22: 55-69.
Egner S, Dobnig H, Welkerling H, Windhager R. 2003. 'Der Stellenwert der Bisphosphonate in der Behandlung der polyostotischen fibrösen Dysplasie', Journal für Mineralstoffwechsel & Muskuloskelettale Erkrankungen, 2003; 10 (2): 16-19.
Fitzpatrick, K. A., M. S. Taljanovic, D. P. Speer, A. R. Graham, J. A. Jacobson, G. R. Barnes, and T. B. Hunter. 2004. 'Imaging findings of fibrous dysplasia with histopathologic and intraoperative correlation', AJR Am J Roentgenol, 182: 1389-98.
Hart, E. S., M. H. Kelly, B. Brillante, C. C. Chen, N. Ziran, J. S. Lee, P. Feuillan, A. I. Leet, H. Kushner, P. G. Robey, and M. T. Collins. 2007. 'Onset, progression, and plateau of skeletal lesions in fibrous dysplasia and the relationship to functional outcome', J Bone Miner Res, 22: 1468-74.
Javaid, Muhammad Kassim, Alison Boyce, Natasha Appelman-Dijkstra, Juling Ong, Patrizia Defabianis, Amaka Offiah, Paul Arundel, Nick Shaw, Valter Dal Pos, Ann Underhil, Deanna Portero, Lisa Heral, Anne-Marie Heegaard, Laura Masi, Fergal Monsell, Robert Stanton, Pieter Durk Sander Dijkstra, Maria Luisa Brandi, Roland Chapurlat, Neveen Agnes Therese Hamdy, and Michael Terrence Collins. 2019. 'Best practice management guidelines for fibrous dysplasia/McCune-Albright syndrome: a consensus statement from the FD/MAS international consortium', Orphanet Journal of Rare Diseases, 14: 139.
Kimitsuki, T., and S. Komune. 2015. 'Asymptomatic fibrous dysplasia of the temporal bone', J Laryngol Otol, 129 Suppl 2: S42-5.
Lee, J. S., E. J. FitzGibbon, Y. R. Chen, H. J. Kim, L. R. Lustig, S. O. Akintoye, M. T. Collins, and L. B. Kaban. 2012. 'Clinical guidelines for the management of craniofacial fibrous dysplasia', Orphanet J Rare Dis, 7 Suppl 1: S2.
Lisle, D. A., P. A. Monsour, and C. D. Maskiell. 2008. 'Imaging of craniofacial fibrous dysplasia', J Med Imaging Radiat Oncol, 52: 325-32.
M. Masthoff, M. Masthoff, D. Baumhoer, and H. Eufinger. 2021. 'Ausgedehnte fibröse Dysplasie des linken Oberkiefers', Zahnärztliche Mitteilungen, 09/2021.
McCune, DONOVAN J., and HILDE Bruch. 1937. 'Osteodystrophia fibrosa: report of a case in which the condition was combined with precocious puberty, pathologic pigmentation of the skin and hyperthyroidism, with a review of the literature.', American Journal of Diseases of Children, 54: 806-48.
Menon, S., S. Venkatswamy, V. Ramu, K. Banu, S. Ehtaih, and V. M. Kashyap. 2013. 'Craniofacial fibrous dysplasia: Surgery and literature review', Ann Maxillofac Surg, 3: 66-71.
Nager, G. T., D. W. Kennedy, and E. Kopstein. 1982. 'Fibrous dysplasia: a review of the disease and its manifestations in the temporal bone', Ann Otol Rhinol Laryngol Suppl, 92: 1-52.
Oh, Song Hee, Ju Hee Kang, Yu-Kyeong Seo, Jin Ho Kim, Yong-Suk Choi, and Eui-Hwan Hwang. 2020. 'Malignant transformation of fibrous dysplasia into angiosarcoma', Oral Radiology, 36: 116-20.
Ostertag, H., and S. Glombitza. 2018. 'Die aktivierende GNAS-Mutation', Der Pathologe, 39: 146-53.
Riminucci, M., L. W. Fisher, A. Shenker, A. M. Spiegel, P. Bianco, and P. Gehron Robey. 1997. 'Fibrous dysplasia of bone in the McCune-Albright syndrome: abnormalities in bone formation', Am J Pathol, 151: 1587-600.
Salpea, Paraskevi, and Constantine A. Stratakis. 2014. 'Carney complex and McCune Albright syndrome: An overview of clinical manifestations and human molecular genetics', Molecular and Cellular Endocrinology, 386: 85-91.
Vogelsang, H., L. Stoppler, and G. Thiede. 1978. '[Fibrous dysplasia of the skull--a radiological, computer tomographic and scintigraphic study (author's transl)]', Rofo, 128: 253-7.
Windholz, F. 1947. 'Cranial manifestations of fibrous dysplasia of bone; their relation to leontiasis ossea and to simple bone cysts of the vault', Am J Roentgenol Radium Ther, 58: 51-63.









