Zuerst war es nur eine moderate Schwellung
Ein zwölfjähriger Junge wurde uns von seinem Zahnarzt mit einem aktuellen Orthopantomogramm (OPT) zugewiesen. Anamnestisch bestand bei dem ansonsten gesunden Patienten seit ungefähr vier Wochen eine moderate, weiche, nicht schmerzhafte und nicht entzündlich erscheinende Schwellung im Bereich des rechten Unterkiefers. Die Okklusion im Wechselgebiss war ungestört, die maximale Mundöffnung mit 25 mm Schneidekantendistanz (SKD) vermindert. Klinisch war der Zahn 47 im Gegensatz zu den anderen zweiten Molaren nicht erkennbar.
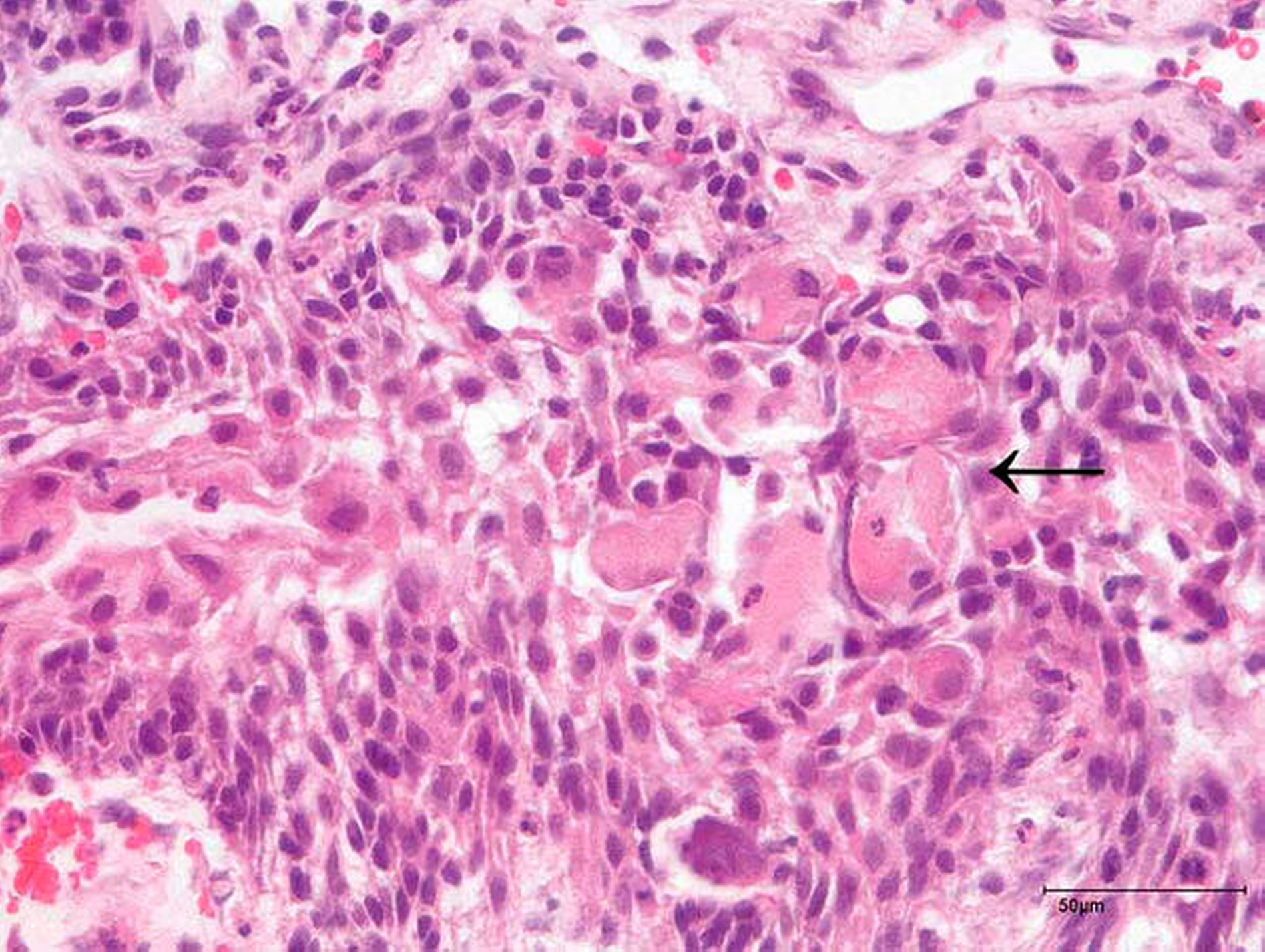
Das OPT und die ergänzend durchgeführte digitale Volumentomografie (DVT) zeigten einen destruierenden, blasig-zystischen Prozess im rechtsseitigen Unterkiefer, der das Kiefergelenkköpfchen praktisch aufgelöst hatte (Abbildung 1). Die Probeexzision von intraoral ergab den Befund eines dentinogenen Geister- oder Schattenzelltumors. Dieser selten vorkommende benigne Tumor zeigt histologisch die namensgebenden „Geisterzellen“ (Abbildung 2).
Geplant wurde eine zweizeitige Therapie: Im ersten Schritt erfolgte die Unterkieferteilresektion mit histologisch gesicherter, kompletter Entfernung des Tumors. Dabei wurden sowohl der Nervus alveolaris inferior als auch die Zähne 46 und 45 geopfert. Während des gleichen Eingriffs wurden ein freies Beckenkammtransplantat (60 mm x 25 mm x 15 mm) zur Rekonstruktion des Unterkiefers und ein zur temporären Wiederherstellung des Gelenks an einer Rekonstruktionsplatte befestigtes konfektioniertes Kondylusimplantat eingebracht (Abbildung 3). Schon 14 Tage postoperativ konnte auf Unterarmgehstützen verzichtet werden. Das Gangbild zeigte sich auch im Verlauf normal und ohne Einschränkungen.
Fünf Monate später erfolgte in einem zweiten Schritt bei einem verlustfrei eingeheilten Beckenkammtransplantat die Entfernung des temporären Kiefergelenkersatzes. Dieser wurde durch eine virtuell geplante und im „computer aided designed / computer aided manufactoring“(CAD/CAM)-Verfahren hergestellte totale Kiefergelenkendoprothese (TEP) ersetzt. Die Kiefergelenkpfanne aus hochverdichtetem und abriebfestem Polyethylen (ultra-high molecular weight polyethylene, UHMWPE) wurde als Onlay über der knöchernen Pfanne positioniert und verschraubt. Das Kondylen-tragende Segment aus einer Kobalt-Chrom-Titan-Nickel-Legierung umfasste das Beckenkammtransplantat, die ipsilaterale Mandibula und – aus Stabilitätsgründen – auch den kontralateralen anterioren Mandibulabereich (Abbildung 4). Bereits drei Monate postoperativ zeigte sich bei einer nach wie vor habituellen Okklusion eine normale maximale Mundöffnung von 40 mm SKD (Abbildung 5).
Ein Jahr nach Erstdiagnose ergaben sich keine Hinweise auf ein Rezidiv, Wachstumsstörungen oder eine Funktionsstörung der TEP. Der junge Patient hatte sich gut an den Sensibilitätsausfall der Lippen- und der Kinnregion adaptiert und berichtete zu diesem Zeitpunkt sogar über wieder vorhandenes Empfindungsvermögen.
Diskussion
Der dentinogene Geisterzelltumor (dentinogenic ghost cell tumour, DGCT) wurde in der Vergangenheit der „verkalkenden odontogenen Zyste” zugeordnet und ist erst nach Aufnahme in die 4. Ausgabe der WHO-Klassifikation von Kopf- und Halstumoren im Jahr 2017 formal eine eigene Entität. Der DGCT ist äußerst selten, bisher wurden nur rund 60 Fälle veröffentlicht [El-Naggar et al., 2017]. Im Allgemeinen wird der DGCT als gutartiges, aber lokal-invasives Neoplasma charakterisiert, das in allen zahntragenden Bereichen des Ober- oder des Unterkiefers zwischen dem zweiten und dem neunten Lebensjahrzehnt auftritt und das Risiko für eine maligne Transformation birgt [Pinheiro et al., 2019]. Die empfohlene Behandlung beinhaltet die ausgedehnte Resektion aufgrund der lokalen Invasivität und der hohen Rezidivraten bei einfacher Enukleation oder Kürettage in mehr als 70 Prozent der Fälle [Salgadoa et al., 2021; Dowgierd et al., 2021].
In unserem Fall zeigte sich bei der Diagnosestellung schon ein sehr ausgedehnter Befund, der auf ein relativ asymptomatisches Tumorwachstum zurückzuführen war. Teile des Unterkieferkorpus, der Kieferwinkel und des Kondylus waren durch den DGCT bereits weitestgehend aufgelöst und es drohte neben einer pathologischen Fraktur des Unterkiefers eine Infiltration der Schädelbasis. Vor diesem zeitkritischen Hintergrund musste die Tumorresektion zeitnah erfolgen. Bei tumorfreien Randschnitten konnten zudem während der gleichen Operation die knöcherne Rekonstruktion und der temporäre Kiefergelenkersatz erfolgen, um einer weichgeweblichen Atrophie und einem Verlust der habituellen Okklusion durch eine narbig bedingte Rotation des Unterkiefers entgegenzuwirken. Außerdem konnte dadurch Zeit bis zur Fertigstellung der individuellen TEP gewonnen werden, die eine durchschnittliche Produktionszeit (vom Hochladen der Daten auf den Server des Providers bis zur Auslieferung) von vier bis fünf Monaten hat. Ein Wechsel des Kondylusersatzes hin zur individuellen TEP war unbedingt notwendig, da einerseits die Passgenauigkeit zwischen dem konfektionierten Kondylusersatz und der erhaltenen Kiefergelenkpfanne nicht optimal war und andererseits die Gefahr der Penetration des Kondylusersatzes durch die Schädelbasis in die mittlere Schädelgrube bestand [Driemel et al., 2009].
Derzeit existieren keine evidenzbasierten Techniken für die Rekonstruktion des Kiefergelenks bei Kindern, insbesondere nicht hinsichtlich des möglichen Problems der postoperativen Wachstumsstörung des Unterkiefers. In einigen Studien wird die kostochondrale Rippentransplantation (costochondral graft, CCG) als Methode der Wahl zur Rekonstruktion des kindlichen Kiefergelenks beschrieben, zum Beispiel bei Ankylosen. Zwar konnte ein „Mitwachsen“ des CCG mit einem positiven Effekt auf die weitere Entwicklung des Gesichts beobachtet werden [Resnick et al., 2018]. Andererseits ist aber das Wachstum des CCG nicht genau vorhersehbar. Im Verlauf sind schwere funktionelle und ästhetische Einbußen durch eine neuerliche Ankylose oder sogar eine Resorption des Transplantats möglich [Lazzarotto et al., 2022]. Aufgrund dieser Einwände und der möglichen Steigerung der Morbidität durch die Schaffung einer weiteren Entnahmestelle haben wir auf die Option der Rekonstruktion mittels eines CCG verzichtet.
Wir sind stattdessen aktuellen, ermutigenden Studienempfehlungen gefolgt, die nach der Implantation einer TEP bei Kindern über eine deutliche Verbesserung der SKD und eine mittel- bis langfristige Stabilität berichten [Dowgierd et al., 2021; Lazzarotto et al., 2022]. Diese Erfahrungen können wir nach einem Jahr teilen: Unser Patient zeigte eine Zunahme der SKD von initial 25 mm auf 40 mm unter Beibehaltung der habituellen Okklusion. Die weiteren Nachsorgetermine bis mindestens zum Wachstumsabschluss werden zeigen, inwieweit eine kieferorthopädische Therapie, orthognathe Chirurgie oder sogar ein Wechsel der TEP notwendig werden. Die implantatgetragene prothetische Rehabilitation ist – in Abhängigkeit davon – im Alter von 18 Jahren geplant und stellt den Abschluss der Behandlung dar.
Fazit für die Praxis
Bei subakuten, nicht eindeutig entzündlichen Schwellungszuständen und bei verzögerter Dentition einzelner Zähne ist eine frühzeitige Röntgenübersichtsaufnahme bei Kindern indiziert.
Tumore und Zysten der Kiefer können relativ lange asymptomatisch wachsen. Das Ausmaß einer Schwellung und das klinische Bild korrelieren nicht unbedingt mit der tatsächlichen Größe des Befunds.
Die Auswirkungen auf das weitere Wachstum des Gesichtsschädels nach autologen oder alloplastischen Kiefergelenksersatz bei Kindern ist nicht eindeutig geklärt. Daher sind regelmäßige Kontrolltermine bis ins Erwachsenenalter erforderlich.
Literaturliste
1. El-Naggar AK, Chan JKC, Grandis JR, Takata T, Slootweg PJ (2017) Classification of Head and Neck Tumours. WHO/IARC Classification of Tumours. 4th Edition, Vol. 9, WHO Press, Geneva
2. Pinheiro TN, de Souza APF, Bacchi CE, Consolaro A (2019) Dentinogenic ghost cell tumor: a bibliometric review of literature. J Oral Dis Marker 3: 9-17
3. Salgadoa I, Vilaresa M, Nogueiraa R, Ritob M, Rosab F, Gomes P (2021) Dentinogenic ghost cell tumor – Case report of a rare entity. Int J Surg Case Rep 81: 10565
4. Dowgierd K, Pokrowiecki R, Borowiec M, Kozakiewicz M, Smyczek D, Krakowczyk ŁA (2021) Protocol for the Use of a Combined Microvascular Free Flap with Custom-Made 3D-Printed Total Temporomandibular Joint (TMJ) Prosthesis for Mandible Reconstruction in Children. Appl Sci 11: 2176
5. Driemel O, Braun S, Müller-Richter UDA, Behr M, Reichert TE, Kunkel M, Reich R (2009) Historical development of alloplastic temporomandibular joint replacement after 1945 and state of the art. Int J Oral Maxillofac Surg 38: 909-920
6. Pang KM, Choi SW, Byun SH, Lee J, Jung HJ, Lim KY, Kim SM, Lee JH (2015) Mandibular condylar-ramal reconstruction using vascularized costochondral graft based on the serratus anterior composite flap. J Craniomaxillofac Surg 43: 1184-1193
7. Resnick CM (2018) Temporomandibular Joint Reconstruction in the Growing Child. Oral Maxillofacial Surg Clin N Am 30: 109-121
8. Guyuron B, Lasa CIJ (1992) Unpredictable Growth Pattern of Costochondral Graft. Plast Reconstr Surg 90: 880-886
9. Mercuri LG, Swift JQ (2009) Considerations for the use of alloplastic temporomandibular joint replacement in the growing patient. J Oral Maxillofac Surg 67: 1979-1990
10. Lazzarotto A, Tel A, Nocini R, Raccampo L, Sembronio S, Costa F, Robiony M (2022) Custom-Made Alloplastic Prosthetic Implant to Treat Temporomandibular Joint Ankylosis in Pediatric Patients: A Case Study. Appl Sci 12: 142








