Prothetische Therapie beim älteren Patienten
Zur Beurteilung der Möglichkeiten einer zahnärztlich-prothetischen Versorgung bei betagten Patienten stellen die zahnmedizinische funktionelle Kapazität beziehungsweise die Belastbarkeitsstufen ein nützliches Instrument dar [Nitschke et al., 2012]. Dieses beinhaltet vier Stufen, die die Kriterien Therapiefähigkeit, Mundhygienefähigkeit und Eigenverantwortlichkeit berücksichtigen. Im Gespräch mit dem Patienten, gesetzlichen Vertretern oder Angehörigen werden Informationen über die Kriterien gesammelt, um eine Zuordnung zu ermöglichen (Tabelle 1).
PD Dr. Ramona Schweyen, M.Sc.
Martin-Luther-Universität Halle-Wittenberg, Universitätspoliklinik für Zahnärztliche Prothetik
Magdeburger Str. 16,
06114 Halle (Saale)
ramona.schweyen@uk-halle.de
2014: Promotion an der MLU Halle-Wittenberg, Universitätspoliklinik für Zahnärztliche Prothetik
2017–2019: MME-Studium Universität Heidelberg
2017: M.Sc. für Zahnärztliche Prothetik Universität Greifswald, Spezialistin für Zahnärztliche Prothetik der DGPRo
seit 2017: Funktionsoberärztin an der Universitätspoliklinik für Zahnärztliche Prothetik, MLU Halle-Wittenberg
2021: Habilitation und Erhalt der Venia Legendi im Fachgebiet Zahnärztliche Prothetik
Die Belastbarkeitsstufe (BS) beziehungsweise die zahnmedizinisch funktionelle Kapazität eines alternden Patienten kann sich schnell verschlechtern. Der folgende Patientenfall verdeutlicht die Notwendigkeit der regelmäßigen Anpassung in Abhängigkeit vom sich verändernden Gesamtzustand.
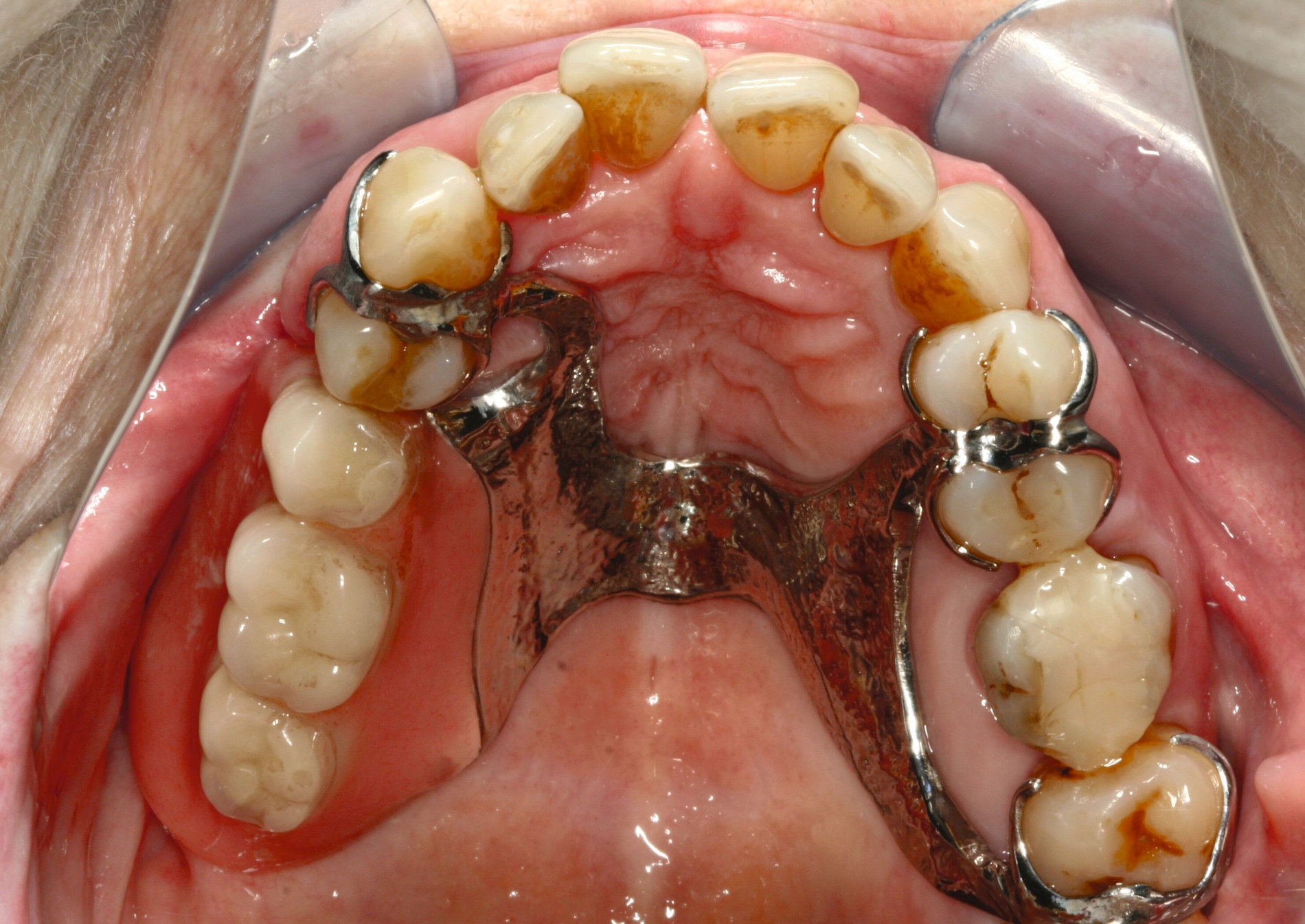
Eine 74-jährige Patientin erhielt eine Modellgussprothese im Oberkiefer zur Abdeckung einer Mund-Antrum-Verbindung infolge der Resektion eines malignen Befunds im Bereich des Alveolarfortsatzes rechtsseitig (Abbildung 1). Trotz mehrfacher Umarbeitungen gelang eine Adaption an den Zahnersatz nicht. Die Patientin empfand die Klammern als zu scharf und spitz. Zudem störte sie sich an der Ästhetik. Die Mundhygiene war gut, nur wenige Zähne besaßen eine Füllung. Es bestand eine hohe Erwartungshaltung an den Zahnersatz.
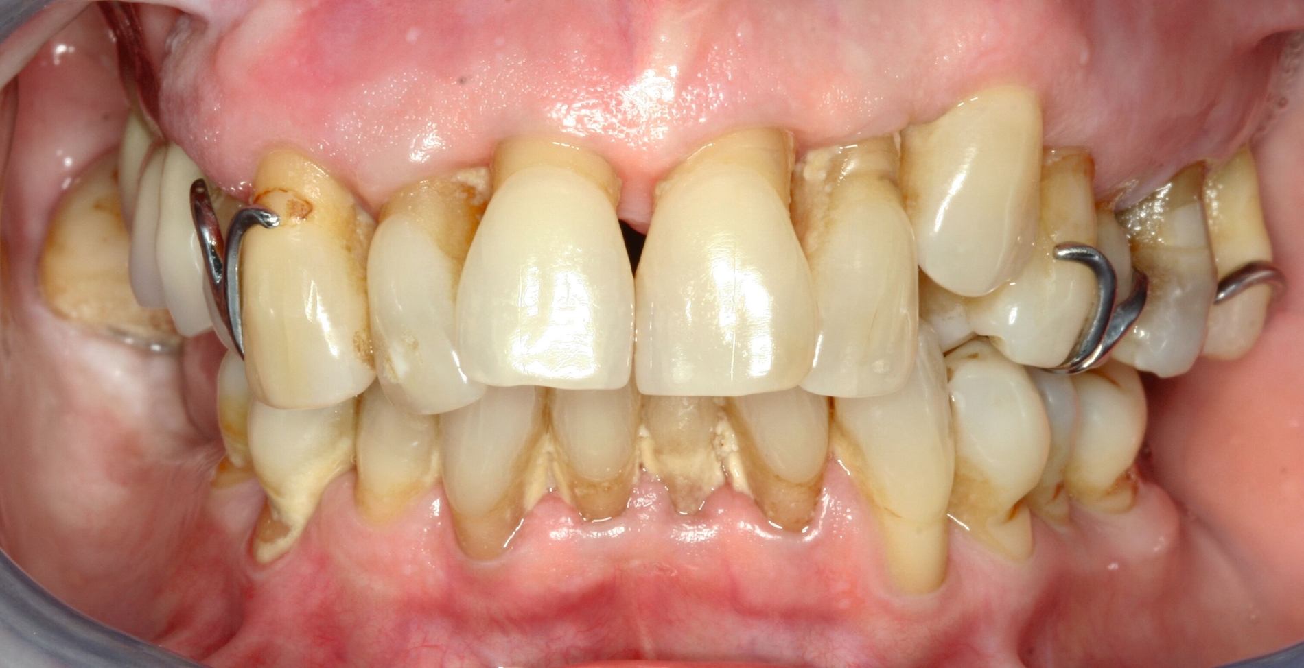
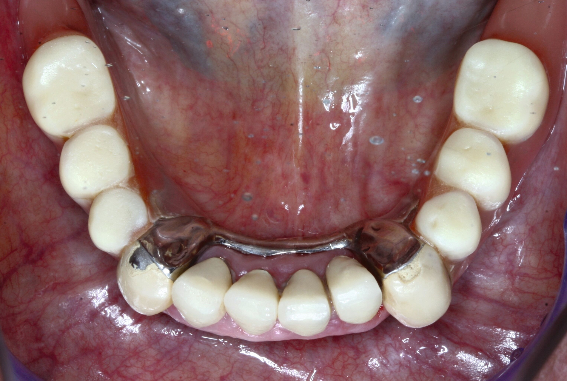
Bezogen auf die Belastbarkeit lagen zum damaligen Zeitpunkt trotz der Malignomtherapie keine Einschränkungen vor (BS 1). Dem Wunsch der Patientin nach einem Klammer-freien Zahnersatz konnte mit regulärem Therapieaufwand entsprochen werden (Abbildung 2). Nach dessen Eingliederung gelang eine rasche Gewöhnung. Die Patientin erschien viele Jahre regelmäßig zur professionellen Zahnreinigung und zur Kontrolle. Zahnmedizinische Interventionen waren nicht erforderlich.
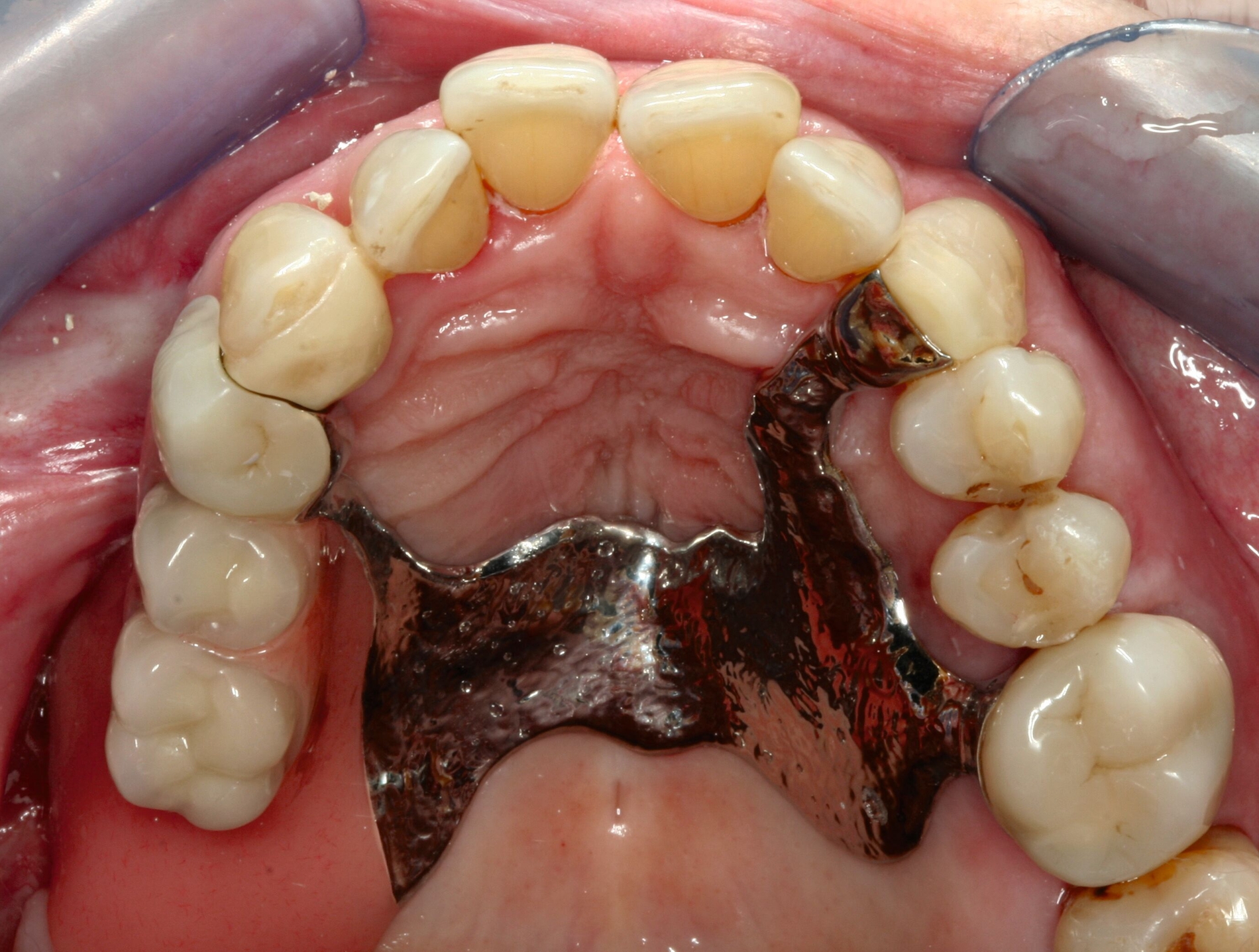
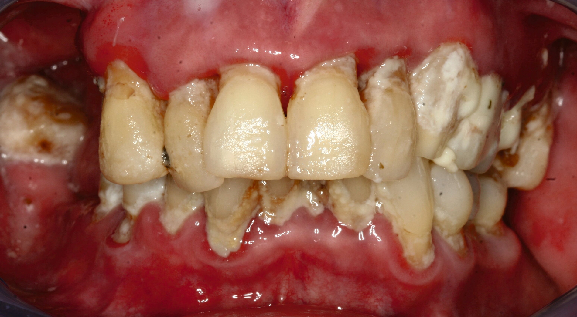
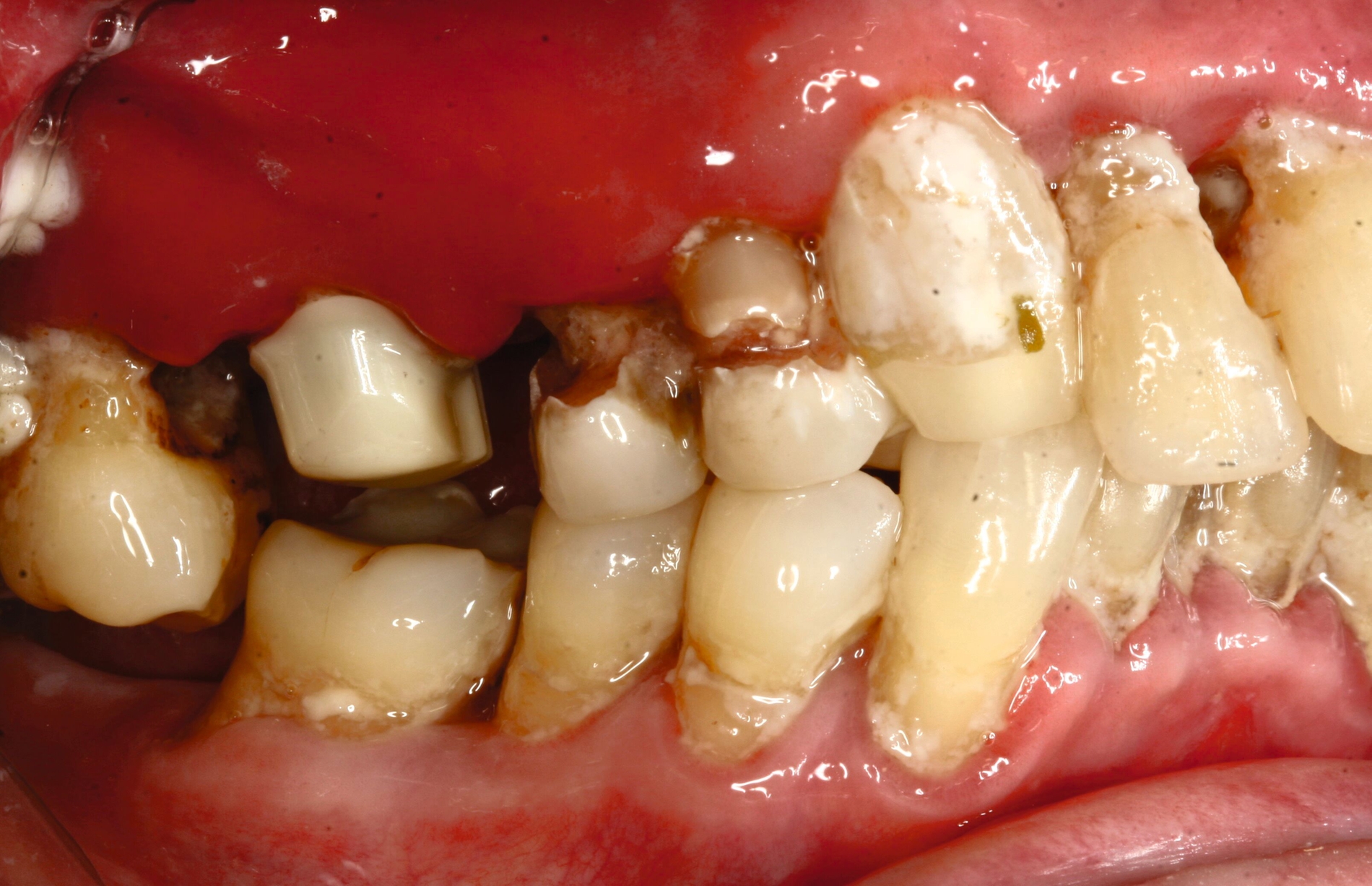
Nach siebenjähriger Tragezeit reduzierte sich der Allgemeinzustand der Patienten bedingt durch einen zweifachen Apoplex erheblich. Die Angehörigen bemühten sich bei nun fehlender Eigenverantwortlichkeit der Patientin um eine dauerhafte Aufnahme in eine Pflegeeinrichtung. Eine Vorstellung zur zahnärztlichen Kontrolle erfolgte nicht und die Patientin konnte unter ihrer ursprünglichen Adresse nicht mehr erreicht werden. Nach eineinhalbjähriger Abwesenheit wurde die Patientin mit Unterstützung ihrer Angehörigen wegen reduzierter Nahrungsaufnahme aufgrund von Schmerzen zur zahnärztlichen Behandlung vorstellig (Abbildung 3). Bei stark reduzierter Therapie- und Mundhygienefähigkeit wurde zusammen mit den Angehörigen entschieden, mehrere stark kariös und parodontal geschädigte Zähne zu entfernen und den vorhandenen Zahnersatz umzuarbeiten. Es lag nun eine BS 3 bis 4 vor.
Das Praxistool „Entscheidungshilfe mobile Prothetik“ (Abbildung 4) greift die Problematik der Belastbarkeit auf und gibt Hinweise auf die Inhalte und den Umfang patientenorientierter Behandlungsmaßnahmen [Nitschke et al., 2012]. Patienten mit reduziertem gesundheitlichem Allgemeinzustand (BS 3 und BS 4; gebrechlich, immobil) stellen aus zahnärztlicher Sicht eine Herausforderung dar. Sie sind in hohem Maße auf die Unterstützung ihres Umfelds angewiesen. Bei der Abschätzung der Behandlungsmaßnahmen muss dies zwingend mit beachtet werden. Um die Betroffenen und deren Betreuungsumfeld nicht zusätzlichen Herausforderungen auszusetzen, stehen aus prothetischer Sicht Maßnahmen zur Reinigung, zur Trageverbesserung und zur Aufarbeitung eines bestehenden Zahnersatzes sowie einfache invasionsarme Behandlungsoptionen im Fokus.
Reinigungsmaßnahmen
Charakteristisch für den alternden Menschen ist das Nachlassen der Sinne. Dies beinhaltet auch eine verringerte Wahrnehmung des Mundraums. Nicht selten löst ein ausgeprägt verunreinigter Zahnersatz, der trotz erheblicher Plaqueanlagerung und ausgeprägtem Foetor klaglos getragen wird, Verwunderung aus.
Aus medizinischer Sicht als problematisch gilt das schädigende Potenzial verunreinigten, mikrobiell besiedelten Zahnersatzes insbesondere bei abwehrgeschwächten Menschen (Abbildung 5). Eine mangelhafte Prothesenhygiene kann allgemeinmedizinische Folgen haben [Blankenstein et al., 2011] Aufgezeigt wurde, dass (hoch)betagte Probanden mit herausnehmbarem Zahnersatz einem deutlich höheren Pneumonierisiko unterliegen als vergleichbare Probanden ohne herausnehmbaren Zahnersatz [Alzamil et al., 2021].
Herausnehmbarer Zahnersatz beschreibt nicht die Ausnahme, sondern die Regel im vierten Lebensabschnitt [Jordan et al., 2014]. Untersuchungen zufolge entwickelt jeder dritte Prothesenträger langfristig eine Stomatitis [Zissis et al., 2006], wobei eine unzureichende Prothesenhygiene die Hauptursache darstellt.
Maßnahmen zur Reduktion der Keimbelastung sind einfach und unkompliziert auch durch Pflegende durchzuführen. Die Bundeszahnärztekammer und das Zentrum für Qualität in der Pflege haben einen praktischen Leitfaden mit patientenorientierten Informationen zur Prothesenreinigung erstellt, einschließlich eines Videos, das eine Reihe von Empfehlungen zusammenfasst (www.youtube.com/watch?v=Qdo6W2qkAiQ).
Zur effektiven Reinigung von dentalen Prothesen sollte eine Kombination aus mechanischem Bürsten und Seife oder Prothesenreinigern verwendet werden. Spezielle Prothesenzahnpasta oder spezieller Prothesenschaum sind geeignet, da sie sanft in der Anwendung sind und dennoch eine effektive Reinigung ermöglichen. Mechanisches Bürsten hilft bei der Entfernung von Plaque und Ablagerungen, während Prothesenreiniger helfen können, Bakterien abzutöten und verfärbte Rückstände zu entfernen. Klassische Zahncreme hat einen vergleichbaren Reinigungseffekt, führt aber zum Zerkratzen der PMMA-Oberfläche und erhöht dadurch die Anlagerung von Plaque im klinischen Gebrauch [Harrison et al., 2004].
Die Anwendung von Reinigungstabletten kann eine sinnvolle, unterstützende Maßnahme darstellen. Die auf dem europäischen Markt erhältlichen Produkte mit CE-Kennzeichen besitzen bei richtiger Anwendung weder für das Prothesenmaterial noch für die Mundschleimhaut eine schädigende Wirkung. Es werden ausschließlich Produkte angeboten, die durch Peroxide innerhalb von pH-Werten zwischen 4 und 9 wirksam werden. Im Gegensatz dazu muss von Hausmitteln wie Essigessenz, Zitronensäure oder Backpulver (Natron) abgeraten werden. Deren Effekte beruhen auf extremen pH-Werten. Bleiben auf dem Zahnersatz nach der Reinigung Rückstände erhalten, können diese zu Verätzungen führen.
Unter professionellen Bedingungen kann eine Desinfektion mit 0,5-prozentiger Natriumhypochloritlösung mit einer Einwirkzeit von drei Minuten in Kombination mit Ultraschall sehr wirksam sein [de Sousa Porta et al., 2015]. Wichtig ist dabei, dass die Reste des Materials vor dem Einsetzen in die Mundhöhle gründlich vom Zahnersatz entfernt werden müssen. Risikoärmer in der Handhabung ist die Verwendung von Chlorhexidin. Bei längerer Einwirkzeit ist jedoch mit Verfärbungen und Versprödungen des Materials zu rechnen [Moffa et al., 2011].
Eine weitere Maßnahme zur Keimreduktion stellt die Nutzung von Mikrowellen dar [Klironomos et al., 2015]. Unstrittig ist die hohe Effektivität des Verfahrens und die Einfachheit der Durchführung. Wenige Minuten reichen aus, um eine vergleichbare Keimreduktion zu erreichen wie bei einer chemischen Behandlung mit 0,02-prozentiger Natriumhypochloritlösung über eine Dauer von acht Stunden. Das Verfahren kann indes nur für metallfreie Prothesen und nicht in der alltäglichen Routine verwendet werden. Die Dimensionen und die mechanischen Eigenschaften des Prothesenwerkstoffs könnten sich nachteilig verändern. Aktuell gibt es Empfehlungen für eine Bestrahlungsleistung von 650 Watt für drei Minuten unter trockenen Bedingungen. Zum Ausschluss unerwünschter Veränderungen sollte das Verfahren nicht häufiger als dreimal angewendet werden.
Die Keimbesiedlung bei Zahnersatz kann einer Untersuchung nach auch bei adäquater Reinigung problematisch bleiben (Abbildung 5). Eine nächtliche Prothesenkarenz reduziert das Risiko hochbetagter Patienten, an einer Lungenentzündung zu erkranken. Deshalb wird gebrechlichen Patienten empfohlen, Zahnersatz tagsüber, aber nicht nachts zu tragen [Cinema et al., 2015]. Eine trockene Lagerung der Prothesen über acht Stunden führt zu einer messbaren, relevanten Reduktion der Mikroorganismen. Die durch die Trocknung auftretenden Schäden am Prothesenmaterial halten sich bei der Einhaltung dieses Zeitintervalls in Grenzen. Diese Form der Lagerung kann daher bei nächtlicher Prothesenkarenz empfohlen werden [Stafford et al., 1986].
Maßnahmen zur Trageverbesserung
Neben Hinweisen und Unterweisungen zur Pflege gehören Maßnahmen zur Trageverbesserung des Zahnersatzes zu den am häufigsten durchzuführenden zahnärztlichen Maßnahmen bei Patienten der Belastungsstufen 3 und 4. Mit zunehmender Gebrechlichkeit reduzieren sich häufig die Muskelkontrolle und die Speichelproduktion. Beides beeinflusst den Prothesenhalt negativ und erhöht das Risiko von Druckstellen. Dentale Haftcreme kann eine einfache und wirksame Option sein, um den Halt und die Stabilität der Prothesen beim Kauen sowie beim Sprechen zu verbessern und so die Lebensqualität der Patienten zu erhöhen. Es gilt darauf zu achten, eine Haftcreme zu verwenden, die einen geringen Zinkgehalt aufweist. Studien konnten bestätigen, dass sich hohe Mengen an Zink in dentalen Haftmitteln neurotoxisch auswirken können. Auf dem Markt sind Zink-freie beziehungsweise Haftcremes mit sehr geringem Zinkgehalt erhältlich, die bei langfristiger Anwendung als unkritisch gelten.
Eine Alternative zu klassischen Haftcremes können „thermoplastische“ Haftgele/-cremes darstellen. Deren Wirksamkeit konnte in einer im Journal of Prosthodontics veröffentlichten Studie bestätigt werden. Es zeigte sich, dass jene über einen vergleichbaren und teilweise besseren Prothesenhalt bei höherer Widerstandsfähigkeit gegenüber Verunreinigungen als konventionelle Haftcremes verfügen. Gleichsam konnte kein relevantes Toxizitäts- oder Reizungsrisiko aufgezeigt werden. Derzeit gelten sie als gut verträglich, unerwünschte Reaktionen sind selten.
Langzeitunterfütterung
Nicht nur als Haftcreme, sondern auch zur Langzeitunterfütterung können sich diese Materialien eignen. Der oftmals reduzierte Muskeltonus älterer Menschen erschwert es ihnen, in der Abformzeit üblicher Abformmassen die Funktionsbewegungen in ausreichendem Ausmaß durchzuführen, um Prothesenextensionen und somit Druckstellen zu vermeiden. Insbesondere Funktionsränder sowohl im Oberkiefer als auch im Lingualbereich des Unterkiefers lassen sich mit „thermoplastischen“ Haftcremes optimieren. Sofern erforderlich, sollten die Prothesenränder im Bereich von Druckstellen und am Ansatz von Bändern ausgeschliffen werden. Die Haftcreme wird im Wasserbad bei etwa 70° C einige Minuten erwärmt. Vor dem Auftragen sollte die Prothese gut getrocknet sein. Die Anwendung eines Haftvermittlers ist nicht erforderlich. Die thermoplastische Masse wird auf dem Prothesenrand appliziert. Befeuchtete Handschuhe oder Vaseline sind hilfreich, damit das Material nicht am Handschuh festklebt. Die manuelle Adaptation hilft, die Temperatur der Masse zu beurteilen. Bei einer Wassertemperatur von 70° C können Verbrennungen der Mundschleimhaut in der Regel vermieden werden. Der Zahnersatz wird anschließend eingesetzt. Es sollte darauf geachtet werden, das weiche Material beim Einsetzen nicht vorzeitig zu verdrücken, bevor das Vestibulum ausgeformt werden kann. Nach einer Tragedauer von 24 h bis zu einer Woche kann der Zahnersatz nun mit einem Haftadhäsiv und dünnfließendem Elastomer feinkonturiert und regulär unterfüttert werden (Abbildung 6).
Neben thermoplastischen Haftcremes ist auch die Wirksamkeit von Tissue Conditionern zur Trageverbesserung von schleimhautgelagertem Zahnersatz gut belegt. Mehrere Studien haben gezeigt, dass der temporäre Einsatz von Tissue Conditionern als viskoelastisches Gel erhebliche Vorteile bieten kann. Tissue Conditioner können die Produktion von Wachstumsfaktoren und Zytokinen anregen, die eine entscheidende Rolle bei der Heilung und der Regeneration von Gewebe spielen [Chaves et al., 2014]. Dank der gelartigen Konsistenz passen sich Tissue Conditioner der Form des oralen Gewebes an und bilden eine Art passgenaues Polster, dass dazu beitragen kann, den Druck gleichmäßiger zu verteilen. Studien kamen zu dem Ergebnis, dass Tissue Conditioner den Halt von Prothesen verbessern und das Auftreten von Druckstellen und Entzündungen der Mundschleimhaut verringern.
Im Rahmen einer Langzeitunterfütterung eignen sie sich sowohl zur flächigen Unterfütterung als auch zur Randausformung gleichermaßen [Baslas et al., 2014]. Sofern erforderlich sollten die Prothesenränder und die -basis im Bereich von Druckstellen und am Ansatz von Bändern ausgeschliffen werden. Der Conditioner wird aus Pulver und Flüssigkeit entsprechend den Dosierungsangaben des Herstellers angemischt. Im Fall einer flächigen Anwendung sollte das Material zügig nach dem Anmischen in einer dünnen, gleichmäßigen Schicht auf alle basalen Flächen des getrockneten Zahnersatzes aufgetragen werden. Die Anwendung eines Haftadhäsivs ist nicht zweckmäßig. Anschließend sollte der Zahnersatz zügig eingesetzt werden. Bei Mundtrockenheit empfiehlt es sich, vor dem Einsetzen einen Schluck Wasser zu reichen.
Bei der Verwendung zur Funktionsrandgestaltung sollte das angemischte Material vor dem Auftragen einige Minuten abbinden, bis eine zähe, fast knetbare Konsistenz erreicht ist. In diesem Zustand kann das Material mit einem Spatel auf den Prothesenrand aufgetragen und mit einem nassen oder mit Vaseline benetzten Handschuh modelliert werden. Bleibt das Material nicht stehen, war die Konsistenz nicht steif genug. Beim Einsetzen sollte darauf geachtet werden, dass der Funktionsrand durch die Lippe nicht weggedrückt wird. Der Zahnersatz kann nun nach frühestens einer Stunde oder spätestens nach drei Tagen mit Haftadhäsiv und einem Elastomer feinkonturiert und regelrecht unterfüttert werden. Verbleibt das Material länger auf dem Zahnersatz muss mit einer erhöhten Keimbesiedlung gerechnet werden.
Auf- und Umarbeitung von Zahnersatz
Neben der Trageverbesserung gehört die Umgestaltung im Hinblick auf die Handhabung und die Reinigung zu den Prämissen bei der Anpassung des Zahnersatzes an die Belastbarkeit des Patienten. Ist beispielsweise eine Unterfütterung im zahntechnischen Labor geplant, können die interdentalen Zahnkonturen mit farblosem PMMA aufgefüllt werden. Auch das Einbringen von Beschriftungen im Fall einer Wohnheimbetreuung ist eine sinnvolle Maßnahme (Abbildung 7).
Es empfiehlt sich darüber hinaus, komplizierte Riegelarbeiten und schwergängige Doppelkronenversorgungen umzuarbeiten, zum Beispiel durch das Ausschleifen der Sekundärteile zur Retentionsverminderung. Das Anbringen von Metallknöpfen oder nachträglich angebrachte Kerben auf den Vestibulärflächen in Höhe der Prämolaren können die Handhabung des Zahnersatzes für den Patienten oder die Pflegekraft weiter verbessern.
Sind größere Veränderungen am Zahnersatz erforderlich, so gilt es zu beachten, dass dieser zusammen mit der Zunge und der Wange einen fein abgestimmten Regelkreis fürs Kauen, Sprechen und Schlucken bildet. Bei Formveränderungen am Zahnersatz muss sich dieser Regelkreis neu programmieren – doch mit zunehmender Alterung nimmt diese Fähigkeit ab. Verbliebene wiedererkannte Konturen können helfen, die Adaptation an den umgestalteten Zahnersatz zu erleichtern. Es hat sich deshalb bewährt bei größeren Veränderungen des Mundraums, beispielsweise nach mehrfachem Zahnverlust, den bestehenden Zahnersatz eher umzuarbeiten, anstatt neu zu konstruieren. Im folgenden Beispiel wurden diese Überlegungen umgesetzt (Abbildung 8).
Der Verlust eines prothesendynamisch relevanten Pfeilerzahns konnte durch den größeren Abstand zur Doppelkrone mithilfe eines Locators ausgeglichen werden. Das Implantat wurde interforaminär an der Position 44 simultan zur Extraktion des Zahnes 43 gesetzt. Die Prothese musste anschließend nur unterfüttert und die Locatormatrize einpolymerisiert werden. Die Behandlung konnte so mit einer Mindestzahl an notwendigen Behandlungsterminen durchgeführt werden (Abbildung 8).
Neuanfertigung von Zahnersatz
Mitunter sind Neuanfertigungen allerdings bei Patienten der BS 3 und 4 unvermeidbar. Wann immer möglich sollte der Nutzen minimalinvasiver Konzepte bedacht werden.
Replicadenture
Bei Totalprothesen lässt sich dies beispielsweise durch die Replicadenture-Technik umsetzen. Die digitale Technologie hat dieses Verfahren nochmals vereinfacht. In der ersten Behandlungssitzung wird der bestehende Zahnersatz auf seine Mängel geprüft. Diese werden soweit möglich provisorisch am Zahnersatz korrigiert beziehungsweise an diesem markiert (Abbildung 9). Hierzu gehören der Aufbau der Stützkontakte und/oder die Registrierung der Prothesen in regelrechter Kieferrelation, die Ausformung und Anpassung der Prothesenränder und -basis ans Tegument, die Kennzeichnung der Lage der mittleren oberen Schneidezähne, aber auch die Übertragung der regelrechten Ausrichtung der Kauebene. Der so umgestaltete Zahnersatz kann mittels Intraoralscanner digitalisiert oder ins Labor zum Scannen gegeben werden. Nach der Informationsaufnahme werden die provisorischen Veränderungen wieder entfernt und der Patient erhält seinen unversehrten Zahnersatz zurück. Im Labor kann anhand der Datensätze der optimierten Prothesen ein neuer Zahnersatz konstruiert werden. Dieser sollte gegenüber dem alten Zahnersatz nur so viel Veränderung wie nötig aufweisen, damit eine einfache und schnelle Adaptation gelingt. In der zweiten Behandlungssitzung können die neuen Prothesen im Idealfall bereits eingesetzt werden.
Konzepte zur Verbesserung der Prothesendynamik
Zur Steigerung des Halts von Totalprothesen kann auch ein einzelnes Implantat als minimalinvasive Behandlungsoption eine erhebliche Verbesserung darstellen (Abbildung 10).
Zahnmedizinische Bemühungen zur Verbesserung der Mundgesundheit von in ihrer Belastbarkeit stark reduzierten Patienten sind in ihrer Wirksamkeit in hohem Maße an die Compliance der Pflegenden gebunden. Nicht selten gehen viele Maßnahmen im Pflegealltag unter, so dass die Zerstörung der verbliebenen Zähne oftmals zur unvermeidbaren Realität gehört. Bei der Entfernung von Zähnen beziehungsweise Wurzelresten sollte deren möglicher Nutzen zum Erhalt des Kieferknochens in Betracht gezogen werden. Der Zahnverlust und die damit verbundene Resorption führen zu erheblichen Veränderungen in der Form und der Größe des Alveolarknochens. Inwieweit Restzähne erhaltungswürdig sind, muss patientenindividuell entschieden werden. Insbesondere bei Patienten mit hoher Belastbarkeitsstufe und allgemeinmedizinischen Risiken kann eine Extraktion mit erheblichen Komplikationen verbunden sein.
Bereits vor 40 Jahren hat man sich die Frage gestellt, inwieweit das Belassen von Wurzelresten bei Patienten mit hoher BS therapeutisch sinnvoll sein kann, um den alveolären Knochenabbau zu verhindern. In einzelnen klinischen Fallberichten wurde der Verbleib von Wurzelresten unter dem prothetischen Zahnersatz untersucht. Dabei wurden sowohl kanalgefüllte und abgedeckte Wurzelreste beobachtet als auch Wurzelreste, die nicht weitergehend behandelt wurden. Interessanterweise wurden n = 37 Patienten in acht Studien dokumentiert, bei denen keine endodontische Behandlung der verbliebenen Wurzelreste stattfand [Bowles et al., 1983; Cook et al., 1977; Dugan, et al., 1981; Garver et al., 1978; Guyer, 1975; Masterson, 1979; Murray et al., 1979; Sharma et al., 2012]. Jedoch traten Komplikationen bei den belassenen, nicht endodontisch behandelten Wurzelresten auf. Neben dem erhöhten Schmerzempfinden der Patienten konnten chronische Entzündungen des pulpalen Gewebes der Wurzelreste nachgewiesen werden. [Bowles et al., 1983; Cook et al., 1977]. Die Bildung eines eitrigen Exsudats wurde in mehreren Fallberichten beschrieben, wobei der Zeitraum des Entzündungsauftretens zwischen sechs Wochen und sechs Monaten variierte [Bowles et al., 1983; Cook et al., 1977]. In einem weiteren klinischen Fall trat bei einem Patienten ein parodontaler Abszess auf [Cook et al., 1977].
Wurzelkanalbehandelte und abgedeckte Zähne wurden bei n = 41 Patienten in sieben Studien beschrieben. [Björn et al., 1965; Goska et al., 1972; Lam, 1972; Pameshwar Hiremath et al., 2010; Shankar et al., 2013; Simon et al., 1974; Von Wowern et al., 1981]. Die in den Studien untersuchten, endodontisch behandelten Zähne konnten gute Ergebnisse erzielen. Durch das Belassen der endodontisch behandelten Wurzelreste traten keine Beschwerden oder Beeinträchtigungen auf. Anzeichen von periapikalen pathologischen Veränderungen konnten im Rahmen der Nachuntersuchungen nicht diagnostiziert werden [Lam, 1972; Pameshwar Hiremath et al., 2010; Shankar et al., 2013; Von Wowern et al., 1981]. Allerdings sind auch negative Auswirkungen durch die belassenen, endodontisch behandelten Wurzelreste beschrieben worden, wie die Freilegung der abgedeckten Wurzeloberfläche [Pameshwar Hiremath et al., 2010; Shankar et al., 2013; Von Wowern et al., 1981]. Die einzelnen Fallberichte stimmen jedoch darin überein, dass die endodontische Behandlung von submukös retinierten Wurzeln zu einer guten Gewebeakzeptanz und Kieferkammerhaltung führen kann.
Die Studienlage erlaubt im Moment keine Empfehlung für das Belassen von Wurzelresten im Alveolarknochen, seien sie endodontisch behandelt oder nicht. Es können lediglich nicht wissenschaftlich fundierte Annahmen auf der Basis von klinischen Fallberichten gestellt werden. Langzeitergebnisse, die den Erfolg des wurzelkanalbehandelten, abgedeckten Zahnes wissenschaftlich belegen, fehlen derzeit. Einzelfallstudien ergaben, dass wurzelkanalbehandelte, retinierte Wurzeln zur Verringerung des Resorptionsmusters beitragen und den Alveolarkamm zu einem gewissen Grad erhalten können, wobei Stabilität für den angefertigten Zahnersatz erreicht wird.
Im eigenen Patientengut wurden gute Langzeiterfahrungen mit kanalbehandelten und abgedeckten Wurzeln erzielt (Abbildung 11).
Literaturliste
Alzamil H, Wu TT, van Wijngaarden E, Mendoza M, Malmstrom H, Fiscella K, Kopycka-Kedzierawski DT, Billings RJ, Xiao J. Removable Denture Wearing as a Risk Predictor for Pneumonia Incidence and Time to Event in Older Adults. JDR Clin Trans Res. 2021 Oct 23;8(1):23800844211049406. doi: 10.1177/23800844211049406. Epub ahead of print. PMID: 34693793; PMCID: PMC9772962.
Baslas V, Singh SV, Aggarwal H, Kaur S, Singh K, Agarwal KK. A technique for using short term soft liners as complete dentures final impression material. J Oral Biol Craniofac Res. 2014 Sep-Dec;4(3):204-7.
Blankenstein, F., Peroz, I. Sind Reinigungstabletten für die alltägliche Zahnprothesenhygiene geeignet?. Z Gerontol Geriat 44, 192–197 (2011). doi.org/10.1007/s00391-010-0153-2.
Björn, H., Hollender, L., & Lindhe, J. (1965). Tissue regeneration in patients with periodontal disease. Odontologisk revy, 16(4), 317-326.
Bowles, W. H., & Daniel, R. E. (1983). Reevaluation of submerged vital roots. J Am Dent Assoc, 107(3), 429-432. doi:10.14219/jada.archive.1983.0274.
Chaves CA, Vergani CE, Thomas D, Young A, Costa CA, Salih VM, Machado AL. Biological effects of soft denture reline materials on L929 cells in vitro. J Tissue Eng. 2014 Jun 23;5:2041731414540911. doi: 10.1177/2041731414540911. PMID: 25383166; PMCID: PMC4221910.
Cinema T et al.: Denture wearing during sleep doubles the risk of pneumonia in the very elderly. J Dent Res 94, 28S - 36S (2015).
Cook, R. T., Hutchens, L. H., & Burkes, E. J. (1977). Periodontal osseous defects associated with vitally submerged roots. J Periodontol, 48(5), 249-260. doi:10.1902/jop.1977.48.5.249.
de Sousa Porta SR, de Lucena-Ferreira SC, da Silva WJ, Del Bel Cury AA. Evaluation of sodium hypochlorite as a denture cleanser: a clinical study. Gerodontology. 2015 Dec;32(4):260-6. doi: 10.1111/ger.12104. Epub 2013 Dec 12. PMID: 24329765).
Dugan, D. J., Getz, J. B., & Epker, B. N. (1981). Root banking to preserve alveolar bone: a review and clinical recommendation. The Journal of the American Dental Association, 103(5), 737-743.
Garver, D. G., Fenster, R. K., Baker, R. D., & Johnson, D. L. (1978). Vital root retention in humans: A preliminary report. The Journal of prosthetic dentistry, 40(1), 23-28.
Goska, F. A., & Vandrak, R. F. (1972). Roots submerged to preserve alveolar bone: a case report. Military Medicine, 137(12), 446-447.
Guyer, S. E. (1975). Selectively retained vital roots for partial support of overdentures: a patient report. J Prosthet Dent, 33(3), 258-263. doi:10.1016/s0022-3913(75)80082-5.
Harrison Z, Johnson A, Douglas CW. An in vitro study into the effect of a limited range of denture cleaners on surface roughness and removal of Candida albicans from conventional heat-cured acrylic resin denture base material. J Oral Rehabil. 2004 May;31(5):460-7.
Jordan RA, Bodechtel C, Hertrampf K, Hoffmann T, Kocher T, Nitschke I, Schiffner U, Stark H, Zimmer S, Micheelis W; Fünfte Deutsche Mundgesundheitsstudie, DMS V - BMC Oral Health. 2014 Dec 29;14:161. doi: 10.1186/1472-6831-14-161. PMID: 25547464; PMCID: PMC4417261.
Klironomos T, Katsimpali A, Polyzois G. The Effect of Microwave Disinfection on Denture Base Polymers, Liners and Teeth: A Basic Overview. Acta Stomatol Croat. 2015 Sep;49(3):242-53. doi: 10.15644/asc49/3/7. PMID: 27688409; PMCID: PMC4993596.
Lam RV. Effect of root implants on resorption of residual ridges. J Prosthet Dent. 1972 Mar;27(3):311-23. doi: 10.1016/0022-3913(72)90041-8. PMID: 4501142.
Masterson, M. P. (1979). Retention of vital submerged roots under complete dentures: report of 10 patients. J Prosthet Dent, 41(1), 12-15. doi:10.1016/0022-3913(79)90348-2.
Moffa EB, Giampaolo ET, Izumida FE, Pavarina AC, Machado AL, Vergani CE. Colour stability of relined dentures after chemical disinfection. A randomised clinical trial. J Dent. 2011 Dec;39 Suppl 3:e65-71.
Murray, C. G., & Adkins, K. F. (1979). The elective retention of vital roots for alveolar bone preservation: a pilot study. Journal of Oral Surgery (American Dental Association: 1965), 37(9), 650-656.
Nitschke I, Kunze J, Hopfenmüller W, Reiber T. Die zahnmedizinische funktionelle Kapazität - ein Instrument in der Gerostomatologie. Alterszahnheilkunde, Quintessenz 2012;63(Nr. 2):207-210.
Pameshwar Hiremath, H., Y, S. D., Siddayya Kulkarni, S., & Kumar Purbay, S. (2010). Endodontic treatment in submerged roots: a case report. J Dent Res Dent Clin Dent Prospects, 4(2), 64-68. doi:10.5681/joddd.2010.017.
Shankar, Y. R., Srinivas, K., Surapaneni, H., & Reddy, S. V. (2013). Prosthodontic treatment using vital and non vital submerged roots-two case reports. J Clin Diagn Res, 7(10), 2396-2399. doi:10.7860/jcdr/2013/6192.3537.
Sharma, A., Oberoi, S. S., & Saxena, S. (2012). Submergence of vital roots for the preservation of residual ridge: a clinical study. Oral Health Prev Dent, 10(3), 259-265.
Simon, J. H., & Kimura, J. T. (1974). Maintenance of alveolar bone by the intentional replantation of roots: A pilot study. Oral Surgery, Oral Medicine, Oral Pathology, 37(6), 936-945.
Stafford, Arendorf, Huggett: The effect of overnight drying and water immersion on candidal colonization and properties of complete dentures. J Dent (1986).
Von Wowern, N., & Winther, S. (1981). Submergence of roots for alveolar ridge preservation: A failure (4-year follow-up study). International journal of oral surgery, 10(4), 247-250.
Zissis A, Yannikakis S, Harrison A. Comparison of denture stomatitis prevalence in 2 population groups. Int J Prosthodont. 2006 Nov-Dec;19(6):621-5. PMID: 17165305.


































