Unterfüllung bei zahnfarbenen Restaurationen – notwendig oder Zeitverschwendung?
Gerade für erfahrenere Zahnärztinnen und Zahnärzte, die noch Amalgam und Gold routinemäßig in ihren eigenen Studierendenkursen geübt haben, ist die klassische Zementunterfüllung als Schutz der Pulpa vor thermischen und toxischen Reizen häufig eine emotionale Angelegenheit. Und in der Tat, in der Zeit der „Heavy Metal Dentistry“ waren Unterfüllungen vor allem wichtig, um das Dentin vor den stark wärmeleitenden Metallen zu isolieren, damit postoperative Hypersensitivitäten im Zaum gehalten werden konnten [Pilcher et al., 2023]. Trotzdem waren selbst nach akribischem „Lining“ Hypersensitivitäten wesentlich häufiger als später nach dem Einzug kompromissloser Adhäsivtechnik, so dass gerade in den USA auch Amalgamfüllungen oftmals gebondet wurden [Olmez et al., 1995].
Diese Tatsache wird heute nur zu gerne ausgeblendet, wenn von den guten alten Zeiten geschwärmt wird. Dennoch waren Gold und Amalgam – und wir betonen dies im Präteritum, da sie heute einfach kaum noch eine Rolle spielen – solide Restaurationsmaterialien mit sehr guten Überlebensquoten, die jedoch selten minimalinvasiv und oft wenig ästhetisch waren [Donovan et al., 2004; Frankenberger et al., 2021; Mulic et al., 2018; Pilcher et al., 2023]. Letzteres ist wohl der Hauptgrund für die Abkehr vom Metall, weil sich Patienten längst unsichtbare Restaurationen wünschen und diesem Wunsch auch problemlos entsprochen werden kann [Frankenberger et al., 2021].
Interessant ist auch, dass beim Goldguss klassische Zementunterfüllungen schon lange nicht mehr Standard sind, da vielerorts adhäsive Aufbaufüllungen aus Komposit unter Goldinlays und -teilkronen appliziert werden. Hier werden schon lange keine Zemente mehr verwendet, da die Versiegelung des Dentins bei Kompositen ohnehin besser ist als bei Zementen. Dass Zementunterfüllungen bei der Versorgung mit Amalgam oder Gold zweifelsohne indiziert sind, steht ohnehin nicht zur Debatte – die Frage ist vielmehr, ob Unterfüllungen bei zahnfarbenen Restaurationen sinnvoll sind. Die Antwort lautet: NEIN.
Versiegelung des Pulpa-Dentin-Komplexes
Während die Retention bei zahnfarbenen Restaurationen in der Regel schon durch die Schmelzhaftung gewährleistet wird, wird seit Jahrzehnten die Dentinoberfläche als Haftfläche hinzugezogen [Van Meerbeek et al., 2021]. Dies dient der Gesamthaftung, der internen Stabilisierung, vor allem aber der sicheren Vermeidung postoperativer Hypersensitivitäten, da die Qualität der Versiegelung mit Adhäsivsystemen um ein Vielfaches höher ist als bei der Applikation eines non-adhäsiven (zudem noch sauren) Zements [Gorodovsky et al., 1992]. Die Qualität des Dentinverbunds ist im Vergleich zur Schmelzhaftung zwar noch immer schwächer [Schulz-Kornas et al., 2024; Van Meerbeek et al., 2020], ermüdungsanfälliger [Frankenberger et al., 2005; Merle et al., 2022] und schneller hydrolytisch und enzymatisch degradiert [Garcia-Godoy et al., 2010; Van Meerbeek et al., 2020], aber klinische Studien zeigen eindrucksvoll, dass diese Prozesse für das generelle Überleben von adhäsiv befestigten Komposit- oder Keramikrestaurationen keine signifikante Rolle spielen [Frankenberger et al., 2020; Merle et al., 2022].
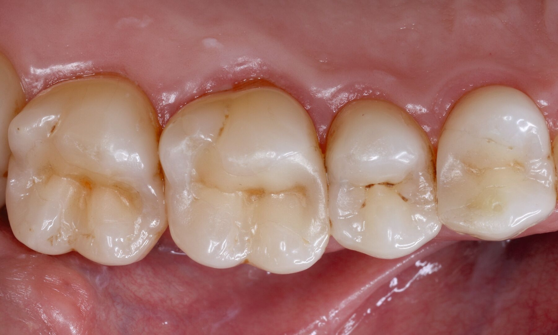
Darüber hinaus muss man bei der Erörterung konventioneller Zementunterfüllungen realistischerweise immer in Betracht ziehen, dass niemals jedes einzelne Dentinkanälchen von Zement bedeckt sein wird und somit selbstverständlich immer zusätzlich mit einem Adhäsivsystem (für Schmelz und Dentin) gearbeitet werden muss. Dies gilt vor allem für die Approximalbereiche, in denen der Abstand zur Pulpa oft geringer ist als okklusal (Abbildung 1).
Caries profunda
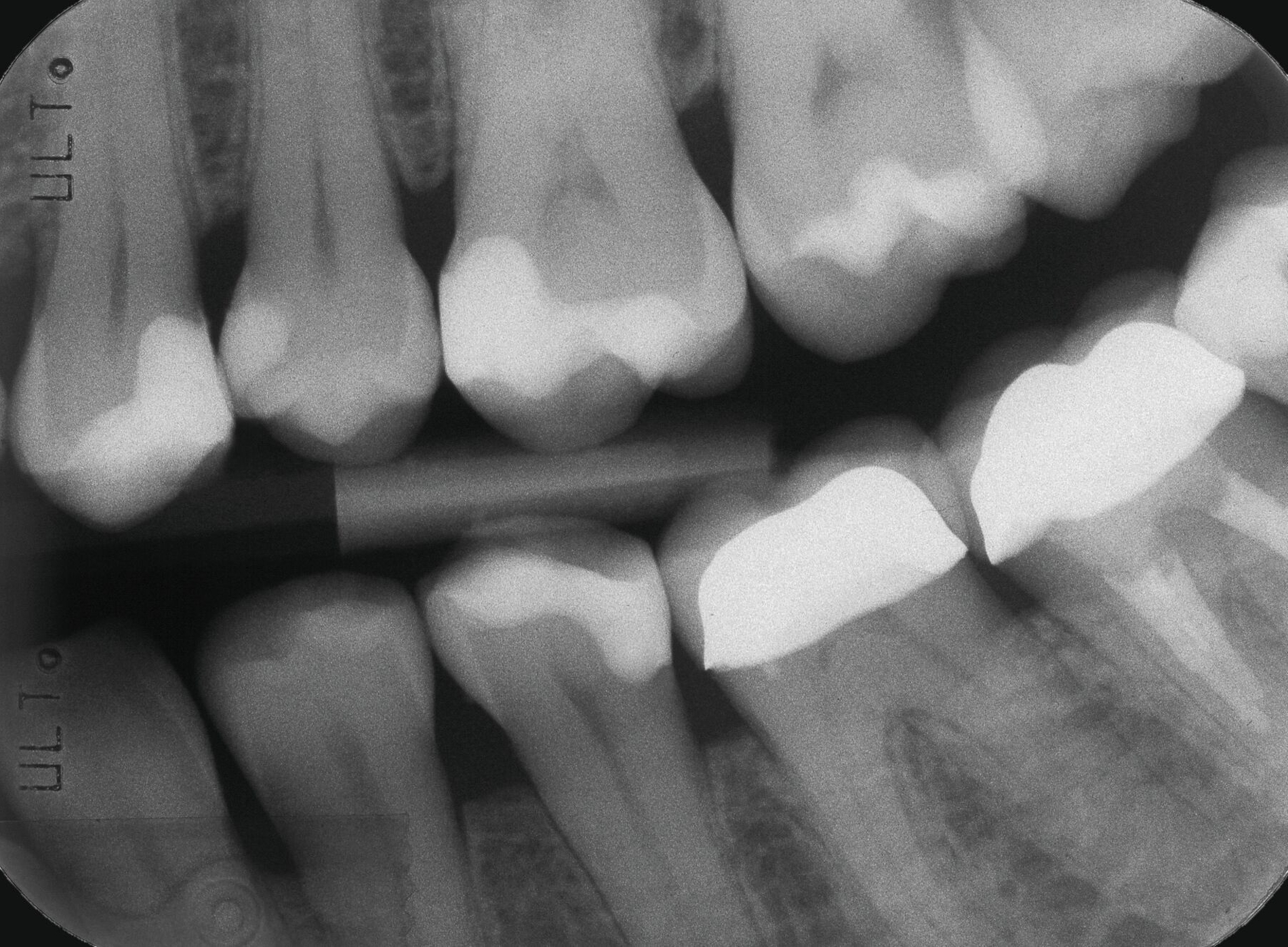
Eine besondere Situation stellt die Caries profunda dar. Hier gibt es hinreichend Evidenz, dass unterhalb einer Restdentindicke von 300 μm zum einen die Gefahr besteht, dass kurzkettige Monomere das Dentin durchdringen und Biomineralisationsprozesse der Odontoblasten stören können [Galler et al., 2011; Schmalz et al., 2001]. Praktisch viel wichtiger ist jedoch ein rein geometrisches Problem: Bondet man eine Kompositrestauration im Dentin so nahe an der Pulpa, bilden sich neben der für die Dentinhaftung verantwortlichen Hybridschicht auch Harzzotten (Resin Tags), die bis zu 300 μm in das Dentin eindringen (Abbildung 2). Das würde bedeuten, dass sich die Tags praktisch am Eingang der Pulpa befinden, was weder klinisch noch anatomisch sinnvoll erscheint. Gleiches gilt für pulpanahe Bereiche bei Kronenfrakturen. Insbesondere bei Kindern sind die Dentintubuli noch weit offen und das Dentin ist an diesen Stellen hoch permeabel [Krastl et al., 2021].
Für solche tiefen Areale existieren zwei unterschiedliche Lösungsansätze: Entweder man exkaviert einfach weniger aggressiv [Schwendicke et al., 2013] oder man appliziert ausschließlich in diesen Bereichen kleine Mengen klassischer „Cp-Medikamente“ oder Kalziumsilikatzemente [Schmidt et al., 2020] im Sinne einer kleinen Unterfüllung zur Blockade der „Tags“ [European Society of Endodontology, 2019]. Der weniger tief exkavierte Rest der Kavität wird aber auch hier vollständig mit einem Adhäsivsystem versiegelt und nicht mit einer konventionellen Zementunterfüllung [Arandi et al., 2020; European Society of Endodontology, 2019]. Eine korrekte Indikationsstellung für die Applikation eines Cp-Materials ist jedoch wichtig, da diese Materialien die Gesamthaftung in der restlichen Kavität reduzieren können [Frankenberger et al., 2021]. Die adhäsive Dentinversiegelung stellt heute den wirksamsten Schutz des Pulpa-Dentin-Komplexes dar (Abbildungen 3 und 4) [Arandi et al., 2020]. Das Risiko, dass die Pulpa dadurch einen irreversiblen Schaden erleidet, ist äußerst gering und minimal im Vergleich zum Schädigungspotenzial eines Diamantschleifers, der bei Amalgam und Gold oftmals „im Gesunden“ statt rein minimalinvasiv verwendet werden musste [Olmez et al., 1995; Schweikl et al., 2017].
Zusammenfassung
Klassische Zementunterfüllungen sind heutzutage bei direkten Komposit- und indirekten Keramikrestaurationen nicht mehr indiziert. Sie reduzieren das Versiegelungspotenzial der Adhäsivsysteme und führen durch die geringere interne Stabilisierung des Zahnes häufiger zu Frakturen des Restaurationsmaterials [Frankenberger et al., 2008]. Bei extrem tiefen Cp-Arealen kann eine gezielte Applikation bevorzugt eines Kalziumsilikatzements auf sehr pulpanahe Dentinareale in Erwägung gezogen werden.
Literaturliste
Arandi NZ, Rabi T. Cavity Bases Revisited. Clin Cosmet Investig Dent 2020;12:305-312.
Donovan T, Simonsen RJ, Guertin G, Tucker RV. Retrospective clinical evaluation of 1,314 cast gold restorations in service from 1 to 52 years. J Esthet Restor Dent 2004;16:194-204.
European Society of Endodontology developed b, Duncan HF, Galler KM, et al. European Society of Endodontology position statement: Management of deep caries and the exposed pulp. Int Endod J 2019;52:923-934.
Frankenberger R, Nassiri S, Lucker S, Lygidakis NN, Kramer N. The effect of different liners on the bond strength of a compomer to primary teeth dentine: in vitro study. Eur Arch Paediatr Dent 2021;22:643-649.
Frankenberger R, Pashley DH, Reich SM, Lohbauer U, Petschelt A, Tay FR. Characterisation of resin-dentine interfaces by compressive cyclic loading. Biomaterials 2005;26:2043-52.
Frankenberger R, Reinelt C, Glatthofer C, Kramer N. Clinical performance and SEM marginal quality of extended posterior resin composite restorations after 12 years. Dent Mater 2020;36:e217-e228.
Frankenberger R, Taschner M, Garcia-Godoy F, Petschelt A, Krämer N. Leucite-reinforced glass ceramic inlays and onlays after 12 years. J Adhes Dent. 2008 Oct;10(5):393-8.
Frankenberger R, Winter J, Schmalz G. [Amalgam and alternatives-discussions on mercury reduction in the environment]. Bundesgesundheitsblatt Gesundheitsforschung Gesundheitsschutz 2021;64:847-855.
Galler KM, Schweikl H, Hiller KA, Cavender AC, Bolay C, D'Souza RN, Schmalz G. TEGDMA reduces mineralization in dental pulp cells. J Dent Res 2011;90:257-62.
Garcia-Godoy F, Kramer N, Feilzer AJ, Frankenberger R. Long-term degradation of enamel and dentin bonds: 6-year results in vitro vs. in vivo. Dent Mater 2010;26:1113-8.
Gorodovsky S, Zidan O. Retentive strength, disintegration, and marginal quality of luting cements. J Prosthet Dent 1992;68:269-74.
Krastl G, Weiger R, Filippi A, et al. Endodontic management of traumatized permanent teeth: a comprehensive review. Int Endod J 2021;54:1221-1245.
Merle CL, Fortenbacher M, Schneider H, et al. Clinical and OCT assessment of application modes of a universal adhesive in a 12-month RCT. J Dent 2022;119:104068.
Mulic A, Svendsen G, Kopperud SE. A retrospective clinical study on the longevity of posterior Class II cast gold inlays/onlays. J Dent 2018;70:46-50.
Olmez A, Ulusu T. Bond strength and clinical evaluation of a new dentinal bonding agent to amalgam and resin composite. Quintessence Int 1995;26:785-93.
Pilcher L, Pahlke S, Urquhart O, et al. Direct materials for restoring caries lesions: Systematic review and meta-analysis-a report of the American Dental Association Council on Scientific Affairs. J Am Dent Assoc 2023;154:e1-e98.
Schmalz G, Hiller KA, Nunez LJ, Stoll J, Weis K. Permeability characteristics of bovine and human dentin under different pretreatment conditions. J Endod 2001;27:23-30.
Schmidt J, Buenger L, Krohn S, et al. Effect of a bioactive cement on the microbial community in carious dentin after selective caries removal - An in-vivo study. J Dent 2020;92:103264.
Schulz-Kornas E, Tittel M, Schneider H, et al. Tooth-composite bond failure with a universal and an etch-and-rinse adhesive depending on mode and frequency of application. Dent Mater 2024;40:359-369.
Schweikl H, Buchalla W, Krifka S. Cell responses to cariogenic microorganisms and dental resin materials-Crosstalk at the dentin-pulp interface? Dent Mater 2017;33:514-524.
Schwendicke F, Dorfer CE, Paris S. Incomplete caries removal: a systematic review and meta-analysis. J Dent Res 2013;92:306-14.
Van Meerbeek B, Yoshihara K, Van Landuyt K, Yoshida Y, Peumans M. From Buonocore's Pioneering Acid-Etch Technique to Self-Adhering Restoratives. A Status Perspective of Rapidly Advancing Dental Adhesive Technology. J Adhes Dent 2020;22:7-34.













