Glück im Unglück: Verlagerter 3er wird zum oberen 1er
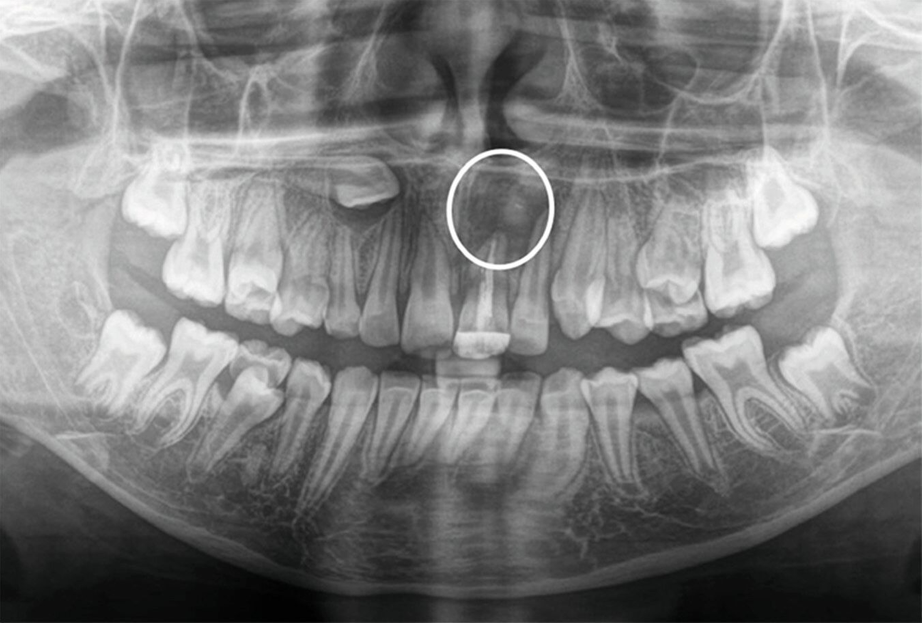
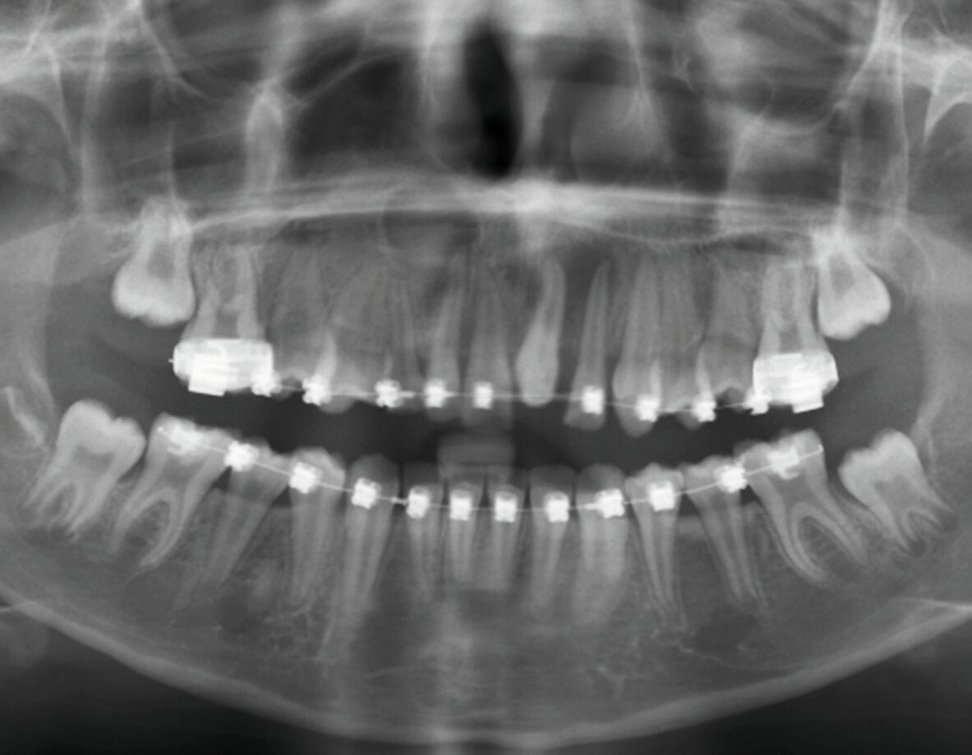
Zwei Jahre nach einem komplexen Zahntrauma mit komplizierter Kronenfraktur 21 und endodontischer Versorgung stellte sich eine elfjährige Patientin mit nun ausgedehnter apikaler Beherdung am Zahn 21 bei uns vor (Abbildung 1). In ihrer Krankengeschichte hatte die Patientin im Alter von vier Jahren eine Leukämie überwunden. Es wurden keine weiteren gesundheitlichen Probleme angegeben. Im OPG zeigt der Zahn 21 eine periapikale Aufhellung im Sinne einer Parodontitis apicalis chronica mit nun akuten klinischen Schmerzen (Abbildung 1).
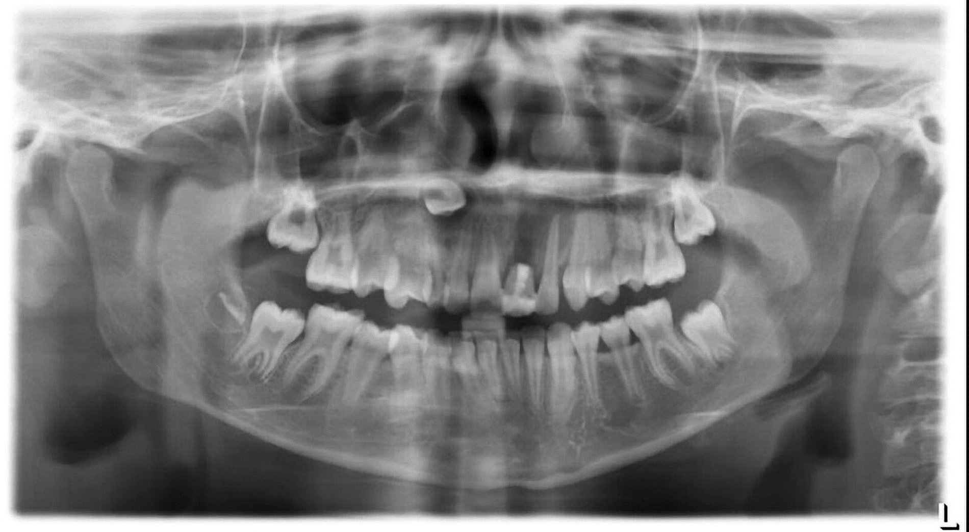
Zur weiteren Abklärung wurde eine dreidimensionale Aufnahme durchgeführt (DVT). Dabei bestätigte sich die erhebliche Osteolysezone im apikalen Bereich des vormals traumatisierten Zahnes 21. Der Zahn 13 stellt sich hoch verlagert am Nasenboden dar, während es bei dem persistierenden Milchzahn 53 zu einem natürlichen Lückenschluss in regio 13 gekommen ist (Abbildung 2).

Chirurgisches Management und klinischer Verlauf
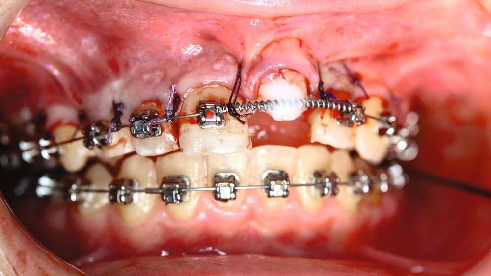
Wir entschieden uns für ein zweizeitiges Vorgehen mit Entfernung des Zahnes 21 und Ausräumung der ausgedehnten entzündlichen Läsion im apikalen Bereich mit Anfrischung des Knochens, um so eine entzündungsfreie Situation vor Transplantation zu erreichen. Der Zahn 21 wurde provisorisch als Pontic wieder eingesetzt, um eine weitere Retraktion des Weichgewebes in regio 21 zu vermeiden (Abbildung 3B).

Auf Empfehlung des mitbehandelnden Kieferorthopäden sollte der natürliche Lückenschluss in regio 53 belassen und die autogene Transplantation des verlagerten Eckzahns 13 an die Stelle des verloren gegangenen Zahnes 21 durchgeführt werden. Der Eckzahn 13 wurde etwa einen Monat später in die Region 21 transplantiert und am zuvor eingebrachten kieferorthopädischen Bogen kunststoffadhäsiv fixiert (Abbildung 4).

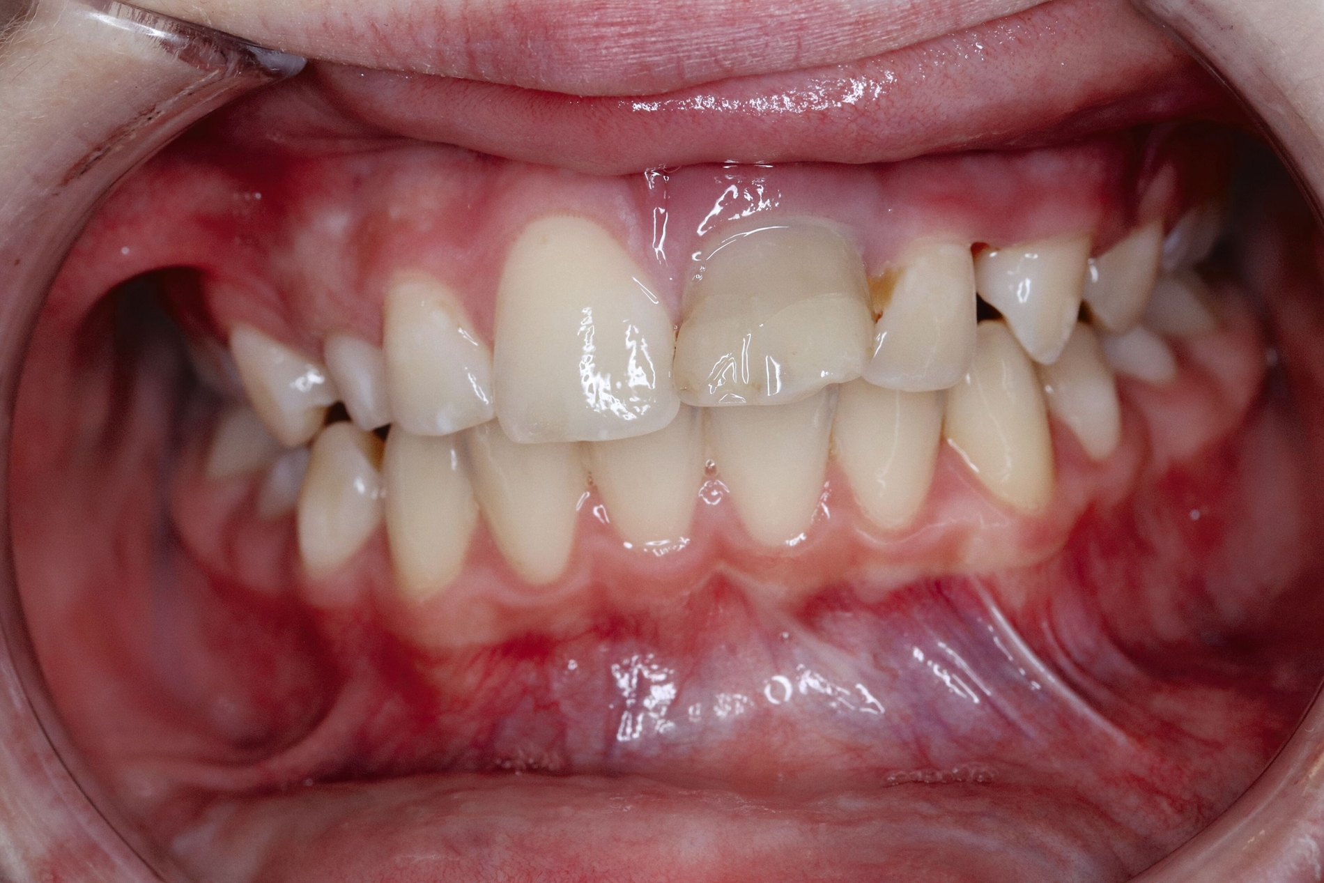
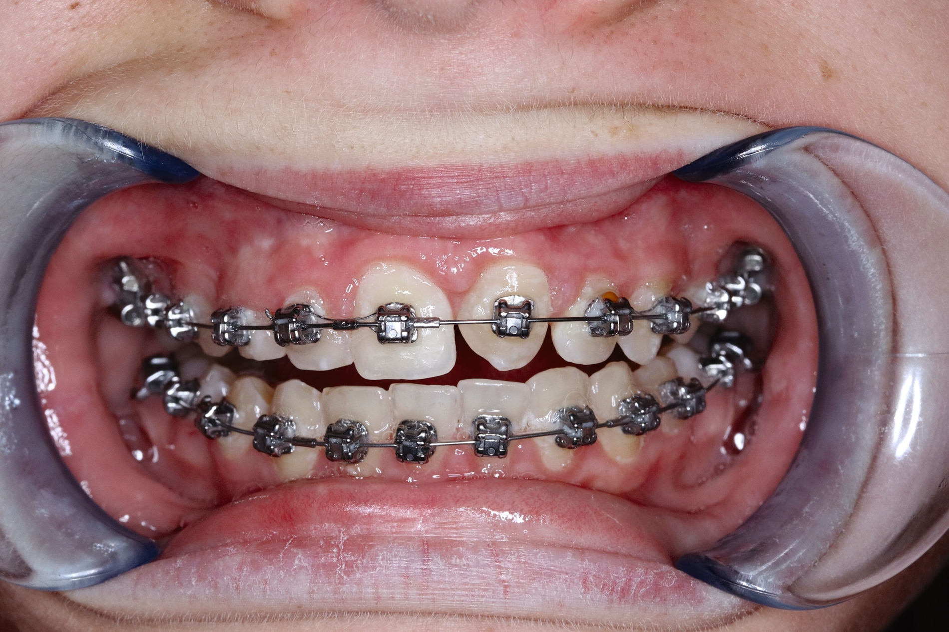
Der spätere kunststoffadhäsive Aufbau des Zahnes erfolgte nach Erreichen des isogingivalen Niveaus im Vergleich zum Nachbarzahn 11 durch kieferorthopädische Extrusion (Abbildung 5).
Der Milcheckzahn 53, dessen Wurzel intakt und aufgrund der fehlenden Anresorption durch den stark verlagerten Eckzahn nicht resorbiert war, erschien langfristig gut erhaltungswürdig bei spontan erfolgtem Lückenschluss. Durch die Verfügbarkeit des hoch verlagerten Eckzahns bot sich die Möglichkeit, den nicht erhaltbaren Zahn 21 durch Transplantation des Eckzahns zu ersetzen und wenig später ästhetisch aufzubauen.
Ein Jahr später präsentiert sich das Transplantat in regio 21 reizfrei und perfekt in Okklusion stehend. Die Transplantation des verlagerten Eckzahns an die Stelle des Zahnes 21 war mit einer ausgezeichneten Wiederherstellung der knöchernen und weichgewebigen Situation verbunden (Abbildung 5).
Diskussion
Die Überlebensraten von Zahntransplantationen im Allgemeinen – das heißt unabhängig von der Zahnart – liegen in neueren Studien von 1995 bis heute bei einer mittleren Nachuntersuchungszeit von 6,4 Jahren im Mittel bei circa 90,7 Prozent [Nolte und Jackowski, 2024]. Neu in diesem Zusammenhang ist, dass in den vergangenen Jahren vermehrt auch über die Überlebens- und Erfolgsraten der Transplantation von Zähnen mit abgeschlossenem Wurzelwachstum berichtet wird, die an diejenigen jugendlicher Zähne mit einem Unterschied von circa drei bis sechs Prozent heranreichen und sich lediglich in der häufigeren Notwendigkeit einer endodontischen Therapie unterscheiden. In einer erst kürzlich publizierten Studie zur autogenen Transplantation von 378 permanenten Eckzähnen lag die mittlere Überlebensrate nach 4,6 Jahren bei 93,4 Prozent [Krupp et al., 2024].
Da die Ergebnisse von Transplantationen mit zunehmender operativer Erfahrung und bei richtiger Indikationsstellung deutlich verbessert werden konnten, sollte die autogene Transplantation als adjuvante Therapieoption zur implantologischen, prothetischen und kieferorthopädischen Versorgung insbesondere von jugendlichen Patienten öfter in Betracht gezogen werden. Ihr Stellenwert ist heute unumstritten und erweitert das Behandlungsspektrum der zahnärztlich-chirurgischen Praxis [Nolte und Jackowski, 2024].
Wie in diesem Fallbericht dargelegt, stellt die beschriebene Methode gerade beim Frontzahntrauma in Verbindung mit einer begleitenden kieferorthopädischen Behandlung eine ausgezeichnete Methode zur Rehabilitation von jugendlichen, noch im Wachstum befindlichen Patienten dar. Entscheidend für den guten Verlauf war in diesem konkreten Fall, die Möglichkeit der autogenen Ausgleichstransplantation differenzialtherapeutisch zu erkennen und umzusetzen. So endete dieser Fall mit einem erfolgreichen Lächeln der kleinen Patientin bei zeitnaher Wiederherstellung der Frontzahnlücke.
Literaturliste
[Nolte und Jackowski, 2024]: Jackowski et al. (Hrsg.), Zahnärztliche Chirurgie, Kap. 11.6, DOI 10.1007/978-3-642-54754-6_11; in Vorbereitung.
Krupp J, Petrakakis P, Jost-Brinkmann PG, Meinzer S, Widbiller M, Niederle C, Geserick M, et al. Survival of retained permanent canines after autotransplantation: A retrospective cohort study. Am J Orthod Dentofacial Orthop 2024.















