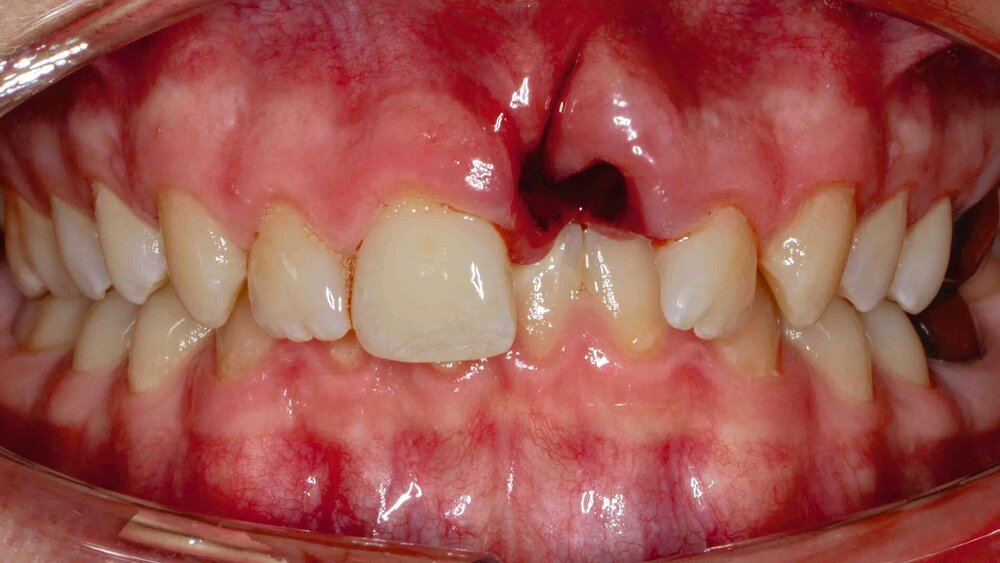
Zahnunfälle im Fokus
Die Deutsche Gesellschaft für Mund-, Kiefer- und Gesichtschirurgie e.V. (DGMKG) trat Anfang Juni in einer Pressekonferenz mit der Forderung an die Öffentlichkeit, die Zahnrettungsbox der Standardausrüstung von Rettungswagen hinzuzufügen. Rettungswagen in Deutschland seien „zwar in der Regel mit Amputatbeuteln ausgestattet, nicht aber mit Zahnrettungsboxen, was ein Mangel ist“, erklärte Prof. Dr. Dr. Hendrik Terheyden, Pressesprecher der DGMKG. Neben Schulen und Sportstätten sollten künftig auch Rettungswagen standardmäßig mit den nur wenige Euro teuren Zahnrettungsboxen ausgestattet sein, verlangt die Fachgesellschaft. Das könne mögliche Folgeschäden des Zahntraumas niedrig halten.
Die Zahnrettungsbox gehört in den Rettungswagen
Entscheidend für eine gute Prognose bei avulsierten Zähnen ist die Vitalerhaltung der desmodontalen Zellen auf der Wurzeloberfläche. Das kann durch die möglichst umgehende Einlagerung des Zahnes in Zahnrettungsboxen erreicht werden. Das in den Zahnrettungsboxen enthaltene Zellkulturmedium ermöglicht den Erhalt der Vitalität der desmodontalen Zellen über etwa 24 Stunden. Als Mittel der zweiten Wahl empfiehlt die DGMKG kalte H-Milch, die der aktuellen Leitlinie zufolge für die Aufbewahrung „über wenige Stunden geeignet erscheint“.
Zwei Drittel kennen die Zahnrettungsbox nicht
Im August 2023 führte das Marktforschungsinstitut Dynata im Auftrag der Deutschen Gesellschaft für Endodontologie und zahnärztliche Traumatologie e.V. (DGET) eine Umfrage mit 1.000 Teilnehmern zum Wissensstand über das Verhalten nach Zahnunfällen durch. Dabei zeigte sich, dass 65 Prozent der Befragten nicht wussten, welche Maßnahmen im Fall eines Zahnunfalls zu treffen sind. 68 Prozent kannten die Zahnrettungsbox nicht. Nur zwei Prozent gaben an, im eigenen Haushalt über eine Zahnrettungsbox zu verfügen.
Der Umfrage zufolge passieren die meisten Unfälle im Haushalt, wo sich 49 Prozent der Befragten ihre Verletzung zugezogen haben. Darauf folgen Sportunfälle mit 33 Prozent und Gründe wie instabile Zähne mit 18 Prozent. Körperliche Auseinandersetzungen oder Schlägereien sind mit sechs Prozent ursächlich.
Die Deutsche Gesellschaft für Endodontologie und zahnärztliche Traumatologie (DGET) bietet mit ihrem Patientenportal www.rette-deinen-zahn.de umfangreiche Informationen zum Verhalten nach einem Zahnunfall und im Downloadbereich einen Patientenratgeber zum Ausdrucken an. Auch die DGET-Experten weisen darauf hin, dass im Fall von Zahnunfällen schnelles Handeln und eine rasche fachgerechte Versorgung erforderlich sind.
Zahnunfälle müssen Teil der Ersthelfer-Ausbildung sein
„Erste-Hilfe-Maßnahmen werden derzeit aber nicht oder zu oberflächlich behandelt, um einerseits das Spektrum möglicher Zahnunfälle abzudecken und andererseits den Patienten die notwendige Kompetenz zu vermitteln, die richtigen Erstmaßnahmen durchzuführen“, sagte Prof. Dr. Matthias Widbiller, DGET-Vorstandsmitglied und Koordinator des Zahntraumazentrums am Universitätsklinikum Regensburg, den zm. Deshalb sei es notwendig, dass die Umsetzung in allen Ausbildungsstätten wie bei der „Ausbildung betrieblicher Ersthelfer“ verlässlich erfolgt und sowohl die Mitarbeiter in den Gesundheitsberufen als auch die Teilnehmer an Erste-Hilfe-Kursen das entsprechende Fachwissen vermittelt bekommen.
Zahnunfälle werden am Universitätsklinikum Regensburg auch wissenschaftlich erforscht. Auf der folgenden Seite finden Sie ein Interview mit Prof. Dr. Matthias Widbiller zum „Regensburg Dental Trauma Archive“.




