Chirurgische Rezessionstherapie – von einfach bis komplex
Weichgewebeaugmentationen an Zähnen dienen nicht allein der Verbesserung der ‚Roten Ästhetik‘, sondern spielen eine wichtige Rolle bei der Zahnerhaltung. Verfahren und Technologien zur Regeneration dieser Weichgewebe – zunächst als mukogingivale, später als plastische Parodontalchirurgie bezeichnet – sollen anatomische, entwicklungsbedingte oder traumatische Deformitäten in Morphologie, Position und/oder Menge der Gingiva um Zähne korrigieren beziehungsweise beseitigen.
Gingivale Rezessionen an natürlichen Zähnen sind mit einer Prävalenz von 60 bis 90 Prozent in der erwachsenen Bevölkerung weit verbreitet [Cortellini und Bissada, 2018; Tonetti und Jepsen, 2014]. Freiliegende Wurzeloberflächen werden von den Betroffenen anfänglich nicht immer bemerkt und häufig erst als störend empfunden, wenn sie mit unangenehmen Begleiterscheinungen wie einer Zahnhalsüberempfindlichkeit [Rees und Addy, 2002] einhergehen oder aber eine ästhetische Beeinträchtigung [Nieri et al., 2013] darstellen. Weitere Probleme können das Auftreten von nicht-kariösen zervikalen Läsionen (NCCL) [Pini Prato et al., 2010] oder aber von Wurzelkaries [Bignozzi et al., 2013] an den exponierten Wurzeloberflächen sein [Tonetti und Jepsen, 2014; Jepsen et al., 2018]. Analysen haben auch gezeigt, dass 78 Prozent unbehandelter Rezessionsdefekte weiter voranschreiten [Chambrone und Tatakis, 2016].
Klassifikation gingivaler Weichgewebsdefizite
Weichgewebsdefizite an natürlichen Zähnen können die Breite und Dicke der keratinisierten befestigten Gingiva betreffen und ohne oder mit Rezessionen auftreten.
Mukogingivale Zustände ohne Rezessionen
Mukogingivale Zustände ohne Rezessionen können anhand des gingivalen Phänotyps entweder für die gesamte Dentition oder lokal beschrieben werden. Der „gingivale Phänotyp“ beschreibt die Dicke der Gingiva (mittels Parodontalsonde im Sulkus: dünn (≤ 1 mm), wenn Sonde durch Gingiva sichtbar; dick (> 1 mm), wenn Sonde nicht sichtbar) und die Breite der keratinisierten Gewebe vom Gingivarand bis zur Mukogingivalinie [Jepsen et al., 2018]. Der Begriff „parodontaler Phänotyp“ umfasst zusätzlich die Dicke des bukkalen Knochens, die allerdings nur aufwendiger (zum Beispiel mit DVT) bestimmt werden kann. Untersuchungen haben gezeigt, dass ein dünner Phänotyp das Risiko für das Entstehen und Voranschreiten von gingivalen Rezessionen erhöhen kann.
Mukogingivale Zustände mit Rezessionen
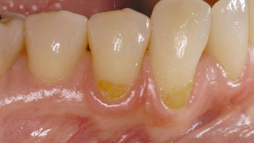
Gingivale Rezession ist definiert als die apikale Verlagerung des Gingivarandes bezogen auf die Schmelz-Zement-Grenze [Pini Prato, 1999], verbunden mit Attachmentverlust und Freiliegen der Wurzeloberfläche. Sie kann an allen Zahnflächen auftreten. Ätiologisch spielen die folgenden prädisponierenden Faktoren bei der Entstehung von Rezessionen eine Rolle [Cortellini und Bissada, 2018; Jepsen et al., 2018; Chambrone et al., 2019]:
anatomisch: dünner Phänotyp, Abwesenheit befestigter Gingiva, Zahnstellung, knöcherne Dehiszenzen beziehungsweise Fenestrationen
pathologisch: Parodontitis
iatrogen: intrasulkuläre Platzierung von Restaurationsrändern, vor allem bei dünnem Phänotyp, Spätfolge kieferorthopädischer Zahnbewegungen, insbesondere bei bukko-lingualer Bewegung (zum Beispiel Proklination unterer Inzisivi) und dünnem Phänotyp
traumatisch: traumatische Zahnputztechnik sowie Fremdkörper in Kontakt mit dem Gingivarand (zum Beispiel Lippenpiercing)
Es gibt keine Evidenz dafür, dass okklusale Kräfte gingivale Rezessionen verursachen.
Seit 2018 werden mukogingivale Zustände mit Rezessionen durch eine neue Klassifikation beschrieben [Jepsen et al., 2018]. Diese bezieht neben der eigentlichen Rezessionstiefe (zum Beispiel bukkal) und dem interdentalen klinischen Attachmentverlust [Cairo et al., 2011] auch den gingivalen Phänotyp, den Zustand der Wurzeloberfläche (Defekte des Wurzeldentins durch nicht-kariöse zervikale Läsionen oder Karies) und die Erkennbarkeit der Schmelz-Zement-Grenze [Pini Prato et al., 2010] mit ein [Cortellini und Bissada, 2018] (Abbildungen 1 und 2).
Weitere wichtige Faktoren können die Zahnposition, ein abnormes Frenum und die Zahl angrenzender Rezessionen sein, selbstverständlich aber auch patientenbezogene Probleme wie Ästhetik und Dentinhypersensititivät. Deren Einbeziehung ist deshalb so bedeutsam, weil sie bei der Planung eines Eingriffs zur Rezessionsdeckung eine Rolle spielen. Die aktuelle Klassifikation hat die bis dahin gültige Klassifikation nach Miller (1985) mit den Rezessionsklassen I bis IV abgelöst. Dennoch wird man diese in vielen Literaturübersichten und Analysen nach wie vor finden, da sie bis vor wenigen Jahren in allen Studien verwendet wurde.
Indikationen und Behandlungsziele
Mukogingivale Zustände ohne Rezessionen
Ob eine bestimmte Menge keratinisierter Gewebe an natürlichen Zähnen erforderlich ist, um die parodontale Gesundheit aufrechterhalten zu können, ist immer schon kontrovers diskutiert worden. Konsens besteht heute darüber, dass dafür keine minimale Menge an Gingiva erforderlich ist, vorausgesetzt der Patient ist in der Lage, eine optimale Mundhygiene zu betreiben [Jepsen et al., 2018].
Wenn die individuellen mukogingivalen Gegebenheiten des Patienten das aber nicht zulassen, kann eine Gingivaaugmentation sinnvoll sein. Angestrebt wird hier mindestens eine Breite der keratinisierten Gewebe von 2 mm und der befestigten Gingiva von 1 mm [Kim und Neiva, 2015; Scheyer et al., 2015]. Parodontalchirurgische Eingriffe zur Verdickung der Gingiva und zur Verbreitung der keratinisierten Gewebe und damit der Modifizierung des gingivalen Phänotyps werden heute als „Phenotype Modification Therapy (PMT)“ bezeichnet [Barootchi et al., 2020]. Derartige Eingriffe können auch bei Patienten mit dünnem Phänotyp indiziert sein, um Rezessionen präventiv zu verhindern, beispielsweise vor einer KFO-Therapie.
Mukogingivale Zustände mit Rezessionen
Selbstverständlich sollten bei der Indikationsstellung zur Rezessionsdeckung die Wünsche und Probleme des Patienten berücksichtigt werden. Unabhängig davon, ob es sich primär um ein ästhetisches Anliegen oder aber den Schutz der freiliegenden Wurzeloberflächen vor thermischen Reizen, weiteren Substanzverlusten oder Karies handelt, ist das Ziel eine möglichst komplette Rezessionsdeckung mit Weichgewebe.
Dies kann allerdings nur bei Rezessionsdefekten der Cairo-Klasse RT1 (Miller-Klassen I und II) vorhersehbar erreicht werden. Deshalb sind eine detaillierte und gründliche Befunderhebung und eine Diagnostik mit Einordnung der vorliegenden Situation in die aktuelle Klassifikation sehr wichtig. Eine falsche Beurteilung kann unrealistische Erwartungen bei Behandler und Patient zur Folge haben. Rezessionsdefekte der Cairo-Klasse RT3 (Miller-Klasse IV) können definitiv nicht vorhersehbar vollständig gedeckt werden.
Im Ergebnis – das sechs Monate nach Therapie klinisch sicher beurteilt werden kann – sollten zudem keine Zunahme der zuvor flachen Sondierungstiefen, die gewünschte Breite keratinisierter Gewebe und die Dicke der Gingiva mit harmonischer Anpassung in Farbe und Form an die Nachbargewebe vorzufinden sein.
Operative Verfahren und Ergebnisse
Rezessionsdeckung
Zur chirurgischen Therapie singulärer und multipler Rezessionen ist eine Vielzahl von Techniken entwickelt und in randomisierten kontrollierten Studien (Randomized Controlled Trial = RCT) untersucht worden. Darauf basierende systematische Übersichten, häufig mit Metaanalysen, sind in den vergangenen 20 Jahren vielfach angefertigt worden, um immer wieder aktuelle Studien berücksichtigen zu können.
Dabei konnte überzeugend demonstriert werden, dass mit einigen Techniken vorhersagbar sehr gute Ergebnisse erzielt werden können [Cairo et al., 2014; Graziani et al., 2014; Tonetti und Jepsen, 2014; Chambrone et al., 2018, 2019]. In den meisten RCTs wurden der Koronale Verschiebelappen (KVL) allein oder aber im Vergleich zu KVL plus BGT (Bindegewebstransplantat), ADM (Azelluläre Dermale Matrix), XCM (Xenogene Kollagene Matrix) oder EMD (Schmelzmatrixprotein) untersucht. Basierend auf 48 RCTs [Chambrone et al., 2019] lassen sich die wichtigsten Ergebnisse wie folgt zusammenfassen:
Alle untersuchten chirurgischen Verfahren können bei singulären Rezessionen der Miller-Klassen I und II zu einem signifikanten Rückgang der Rezessionstiefe und zu einem klinischen Attachmentgewinn führen, ohne dass sich die Sondierungstiefen vergrößern. Dies gilt ebenfalls für multiple Rezessionen, allerdings ist die Datenlage dafür deutlich eingeschränkter.
Techniken, die BGTs verwenden (mit KVL oder Tunnel), zeigen im Vergleich die besten Ergebnisse hinsichtlich mittlerer und kompletter Rezessionsdeckung und zugleich einer Verbreiterung des keratinisierten Gewebes.
KVL plus entweder ADM, EMD oder XCM können als Alternativen angesehen werden.
Rauchen hat einen negativen Einfluss auf die Ergebnisse der Rezessionstherapie.
Bei der Interpretation dieser sehr positiven Ergebnisse ist allerdings zu beachten, dass die allermeisten Studien nur Rezessionen ohne interdentalen Attachmentverlust (Miller-Klassen I und II, beziehungsweise Cairo-Klasse RT1) eingeschlossen haben. Die Evidenzlage zu weiter fortgeschrittenen Rezessionen (Cairo RT2, Cairo RT3 beziehungsweise Miller-Klassen III und IV) ist hingegen noch dürftig. Hier kann allenfalls eine partielle Deckung erwartet werden.
Hinsichtlich einer zusätzlichen Modifikation des Phänotyps kann im Vergleich zum alleinigen KVL bei Verwendung von BGT beziehungsweise ADM mit einer signifikanten Verbreiterung der keratinisierten Gewebe und bei Verwendung von BGT, ADM und XCM auch mit einer Zunahme der Gingivadicke gerechnet werden. Dies ist ein wichtiger, ebenfalls erwünschter zusätzlicher Effekt der Rezessionsdeckung, der hinsichtlich der Langzeitstabilität der erzielten Ergebnisse eine wichtige Rolle spielen könnte [Barootchi et al., 2020].
Aktuell liegen Langzeitergebnisse aus drei nicht-randomisierten Studien vor, die die Patienten über mindestens 20 Jahre nachverfolgt haben [Agudio et al., 2009, 2016; Pini Prato et al., 2018]. Rezidive wurden nur in denjenigen Bereichen beobachtet, in denen weniger als 2 mm breite keratinisierte Gewebe vorlagen. In dieser Hinsicht scheinen mit BGT behandelte Bereiche Vorteile zu haben.
Fallbeispiele
Fall 1 – einfach
Einfacher Fall und guter Kandidat für eine erfolgreiche chirurgische Rezessionsdeckung: Die Patientin war zum Zeitpunkt der Erstuntersuchung 26 Jahre alt, Hauptanliegen war die Korrektur einer ästhetischen Beeinträchtigung durch die Rezession an Zahn 23. Es bestanden keinerlei Allgemeinerkrankungen oder Allergien. Die Mundhygiene war sehr gut, die Frau Nichtraucherin (Abbildung 3). Die Deckung der Rezession kann hier mit einem koronalen Verschiebelappen, mit lateraler Entlastung und Bindegewebstransplantat oder aber Weichgewebsersatzmaterial erfolgen – mit 100-prozentiger Deckung und gutem Erfolg auch nach fünf Jahren (Abbildung 4). Ein schrittweises Vorgehen zur Rezessionsdeckung ist in Abbildung 5 illustriert.

Fall 2 – fortgeschritten
Fortgeschrittener Fall für eine chirurgische Rezessionstherapie (Abbildung 6): Die Patientin war zum Zeitpunkt der Erstuntersuchung 30 Jahre alt, der Auslöser für die Behandlung war ein Fortschreiten der Rezessionen bei den Zähnen 44 und 43 sowie eine starke Dentinüberempfindlichkeit. Es gab keinerlei Allgemeinerkrankungen oder Allergien. Die Mundhygiene war sehr gut, kein Nikotinabusus. Die Zähne 44 und 43 waren nicht gelockert und vital. Oberflächlich bestand eine leichte Karies. Die parodontale Rezession war ein Defekt der Cairo-Klasse RT1 bei Zahn 44 (Rezessionstiefe: 3 mm), RT2 bei Zahn 43 (4 mm tief). Die Deckung der Rezession erfolgte hier mit einem koronal verschobenen Tunnel (Verschiebelappen) und Bindegewebstransplantat. Die Rezessionen waren auch nach fünf Jahren noch vollständig gedeckt (Abbildung 7).
Fall 3 – komplex
Komplexer Fall für eine chirurgische Rezessionstherapie (Abbildung 8): mukogingivale Problematik bei einer 48 Jahre alten Patientin mit allgemein sehr guter Mundhygiene. Die Zähne 32 bis 42 wiesen Rezessionen auf, waren nicht gelockert, vital und kariesfrei. Deutlicher Engstand, eine kieferorthopädische Korrektur der Zahnfehlstellung zur Auflösung der Komplexität kam für die Patientin nicht in Betracht. Die Deckung der Rezession erfolgte hier mit einem koronal und lateral verschobenen Tunnel und Bindegewebstransplantat. Die Rezessionen waren auch nach fünf Jahren noch vollständig gedeckt (Abbildung 9).
Zusammenfassung
Rezessionsdeckungen an Zähnen können bei richtiger Indikationsstellung an singulären und multiplen Rezessionen der Miller-Klassen I und II beziehungsweise der Cairo-Klasse RT1 vorhersagbar und mit sehr gutem Erfolg durchgeführt werden. Allerdings gibt es klinische Szenarien in sehr unterschiedlichen Konfigurationen, die als „einfach“, „fortgeschritten“ oder „komplex“ kategorisiert werden können. Im vorliegenden Beitrag wurde eine Matrix präsentiert, die zur Orientierung bei der Fallauswahl dienen kann, um „einfache“ Situationen von denjenigen für „Fortgeschrittene“ unterscheiden zu können – und auch von „komplexen“ Fällen, die den Spezialisten vorbehalten sein sollten.
Plastisch-parodontalchirurgische Eingriffe sind keineswegs trivial in der Durchführung und erfordern in jedem Fall eine spezielle praktische Schulung und intensives Training. Darüber hinaus sind eine akkurate Vorbereitung mit individueller Optimierung der Mundhygiene, eine sorgfältige Planung, die Verwendung mikrochirurgischen Instrumentariums, eine minimalinvasive Vorgehensweise und eine individuelle Nachsorge unter Vermeidung traumatisierender Hygienemaßnahmen im OP-Bereich wichtige Voraussetzungen für den Erfolg.
PD Dr. med. dent. Karin Jepsen
Zentrum für Zahn-, Mund-, Kieferheilkunde, Universitätsklinikum Bonn
Welschnonnenstr. 17, 53111 Bonn
1977–1983: Studium der Zahnmedizin in Mainz und Hamburg
1983–1985: Weiterbildung Oralchirurgie Universität Hamburg
1986–1988: Postgraduierten-Studium in Parodontologie / Orale Implantologie, Loma Linda University, Kalifornien, USA
1989–1991: Post Doc Parodontologie / Implantologie / Orale Mikrobiologie (DFG-Stipendium)
1992–1993: wissenschaftliche Mitarbeiterin, Klinik für Zahnerhaltung & Parodontologie, Uni Kiel
1997: Spezialistin der Deutschen Gesellschaft für Parodontologie
1993–2008: Praxistätigkeit in eigener Praxis für Parodontologie und Implantologie in Hamburg
seit 2008: Oberärztin, Zentrum für Zahn-, Mund- und Kieferheilkunde, Universität Bonn
Literaturliste
AGUDIO, G., CORTELLINI, P., BUTI, J. & PINI PRATO, G. 2016. Periodontal Conditions of Sites Treated With Gingival Augmentation Surgery Compared With Untreated Contralateral Homologous Sites: An 18- to 35-Year Long-Term Study. J Periodontol, 87, 1371-1378.
AGUDIO, G., NIERI, M., ROTUNDO, R., FRANCESCHI, D., CORTELLINI, P. & PINI PRATO, G. P. 2009. Periodontal conditions of sites treated with gingival-augmentation surgery compared to untreated contralateral homologous sites: a 10- to 27-year long-term study. J Periodontol, 80, 1399-405.
BAROOTCHI, S., TAVELLI, L., ZUCCHELLI, G., GIANNOBILE, W. V. & WANG, H. L. 2020. Gingival phenotype modification therapies on natural teeth: A network meta-analysis. J Periodontol, 91, 1386-1399.
BIGNOZZI, I., CREA, A., CAPRI, D., LITTARRU, C., LAJOLO, C. & TATAKIS, D. N. 2014. Root caries: a periodontal perspective. J Periodontal Res, 49, 143-63.
CAIRO, F., NIERI, M., CINCINELLI, S., MERVELT, J. & PAGLIARO, U. 2011. The interproximal clinical attachment level to classify gingival recessions and predict root coverage outcomes: an explorative and reliability study. J Clin Periodontol, 38, 661-6.
CAIRO, F., NIERI, M. & PAGLIARO, U. 2014. Efficacy of periodontal plastic surgery procedures in the treatment of localized facial gingival recessions. A systematic review. J Clin Periodontol, 41 Suppl 15, S44-62.
CHAMBRONE, L., ORTEGA, M. A. S., SUKEKAVA, F., ROTUNDO, R., KALEMAJ, Z., BUTI, J. & PRATO, G. P. P. 2019. Root coverage procedures for treating single and multiple recession-type defects: An updated Cochrane systematic review. J Periodontol, 90, 1399-1422.
CHAMBRONE, L., SALINAS ORTEGA, M. A., SUKEKAVA, F., ROTUNDO, R., KALEMAJ, Z., BUTI, J. & PINI PRATO, G. P. 2018. Root coverage procedures for treating localised and multiple recession-type defects. Cochrane Database Syst Rev, 10, CD007161.
CHAMBRONE, L. & TATAKIS, D. N. 2016. Long-Term Outcomes of Untreated Buccal Gingival Recessions: A Systematic Review and Meta-Analysis. J Periodontol, 87, 796-808.
CORTELLINI, P. & BISSADA, N. F. 2018. Mucogingival conditions in the natural dentition: Narrative review, case definitions, and diagnostic considerations. J Clin Periodontol, 45, S190-S198.
GRAZIANI, F., GENNAI, S., ROLDAN, S., DISCEPOLI, N., BUTI, J., MADIANOS, P. & HERRERA, D. 2014. Efficacy of periodontal plastic procedures in the treatment of multiple gingival recessions. J Clin Periodontol, 41 Suppl 15, S63-76.
JEPSEN, S., CATON, J. G., ALBANDAR, J. M., BISSADA, N. F., BOUCHARD, P., CORTELLINI, P., DEMIREL, K., DE SANCTIS, M., ERCOLI, C., FAN, J., GEURS, N. C., HUGHES, F. J., JIN, L., KANTARCI, A., LALLA, E., MADIANOS, P. N., MATTHEWS, D., MCGUIRE, M. K., MILLS, M. P., PRESHAW, P. M., REYNOLDS, M. A., SCULEAN, A., SUSIN, C., WEST, N. X. & YAMAZAKI, K. 2018. Periodontal manifestations of systemic diseases and developmental and acquired conditions: Consensus report of workgroup 3 of the 2017 World Workshop on the Classification of Periodontal and Peri-Implant Diseases and Conditions. J Clin Periodontol, 45, S219-S229.
KIM, D. M. & NEIVA, R. 2015. Periodontal soft tissue non-root coverage procedures: a systematic review from the AAP Regeneration Workshop. J Periodontol, 86, S56-72.
MILLER, P.D. 1985. A classification of marginal tissue recession. Int J Periodontics Restorative Dent, 5, 8-13.
NIERI, M., PINI PRATO, G. P., GIANI, M., MAGNANI, N., PAGLIARO, U. & ROTUNDO, R. 2013. Patient perceptions of buccal gingival recessions and requests for treatment. J Clin Periodontol, 40, 707-12.
PINI PRATO, G. 1999. Mucogingival deformities. Ann Periodontol, 4, 98-101.
PINI PRATO, G. P., FRANCESCHI, D., CORTELLINI, P. & CHAMBRONE, L. 2018. Long-term evaluation (20 years) of the outcomes of subepithelial connective tissue graft plus coronally advanced flap in the treatment of maxillary single recession-type defects. J Periodontol, 89, 1290-1299.
PINI-PRATO, G., FRANCESCHI, D., CAIRO, F., NIERI, M. & ROTUNDO, R. 2010. Classification of dental surface defects in areas of gingival recession. J Periodontol, 81, 885-90.
REES, J. S. & ADDY, M. 2002. A cross-sectional study of dentine hypersensitivity. J Clin Periodontol, 29, 997-1003.
SCHEYER, E. T., SANZ, M., DIBART, S., GREENWELL, H., JOHN, V., KIM, D. M., LANGER, L., NEIVA, R. & RASPERINI, G. 2015. Periodontal soft tissue non-root coverage procedures: a consensus report from the AAP Regeneration Workshop. J Periodontol, 86, S73-6.
TONETTI, M. S., JEPSEN, S. & WORKING GROUP 2 OF THE EUROPEAN WORKSHOP ON, P. 2014. Clinical efficacy of periodontal plastic surgery procedures: consensus report of Group 2 of the 10th European Workshop on Periodontology. J Clin Periodontol, 41, S36-43.













