Operative Therapie einer vermeintlichen medianen Halszyste
Bei der Vorstellung des Patienten imponierte klinisch eine derbe, nicht verschiebliche, mindestens 5,5 cm messende Raumforderung submental bis submandibulär mittig-links. Bei ausgeprägtem dentalem Sanierungsbedarf bestanden keine Perkussionsschmerzen. Der Mundboden war weich. Es zeigte sich klarer, suffizienter Speichelfluss. Schmerzen, Atem- oder Schluckbeschwerden wurden negiert, jedoch fiel eine kloßige Sprache auf.
Der Patient berichtete von einer alio loco durchgeführten Schilddrüsensonografie und -szintigrafie. Dabei konnte kaum Restgewebe der Schilddrüse nachgewiesen werden. Das dargestellte Parenchym der Schilddrüse imponierte in erster Linie wie nach einer Thyreoiditis. Bei einer Medikation mit Euthyroxin 125 mg p.o. zeigten sich die Schilddrüsenwerte TSH, fT3 und fT4 im Normbereich.
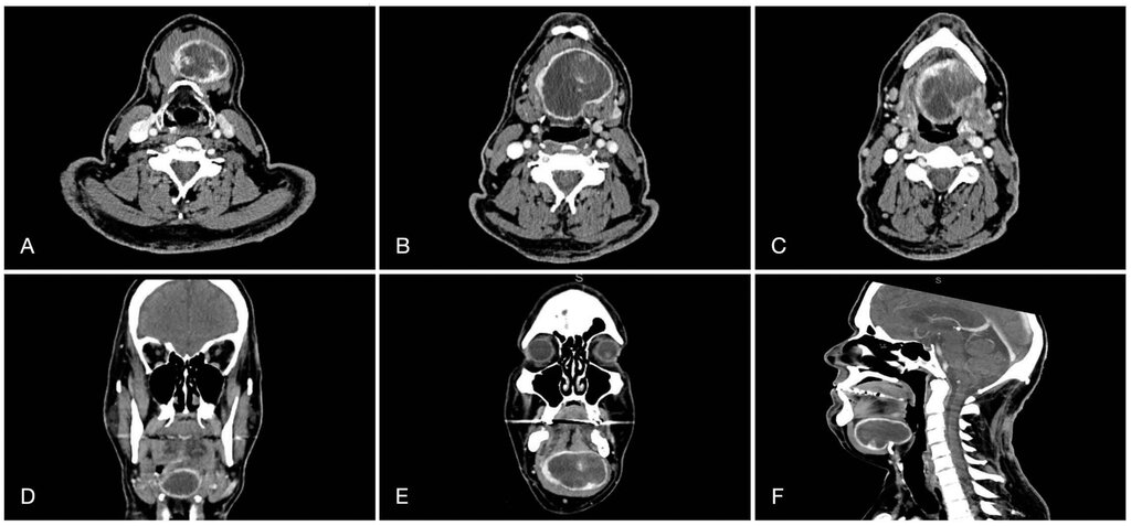
In der durchgeführten Orthopantomografie zeigten sich multiple nicht erhaltungswürdige Zähne, jedoch ohne eindeutigen dentalen Fokus. Zur weiteren Diagnostik führten wir eine Computertomografie durch. Dabei zeigte sich eine scharf abgrenzbare, randständig deutlich Kontrastmittel-anreichernde, insgesamt inhomogen kontrastierte Raumforderung submental bis suprahyoidal von circa 6,9 cm x 5,1 cm x 3,9 cm Größe. Es gab keinen Hinweis auf lokal destruierendes Wachstum oder Filiarisierung. Wie schon in der auswärtig durchgeführten Schilddrüsensonografie und -szintigrafie war auch in der Computertomografie das Schilddrüsenparenchym kaum abgrenzbar.
Nach der Diskussion des Falles wurde mit dem Verdacht auf eine mediane Halszyste eine operative Resektion mit dem Patienten besprochen. Die angebotene Dentalsanierung wurde vom Patienten abgelehnt.
Es folgte die komplikationslose Exstirpation der Raumforderung in Allgemeinanästhesie. Nach der Präparation des Situs zeigte sich die Raumforderung eng mit dem Os hyoideum verwachsen, woraufhin eine Knochenscheibe am Os hyoidem stumpf herausgelöst und abgetragen wurde. Zur Schwellungsprophylaxe wurden Drainagen in den Hals eingebracht.
Die abschließende histopathologische Aufarbeitung ergab den Befund einer ektopen lingualen Schilddrüsenanlage [Carranza Leon et al., 2016]. Es zeigte sich fibrosiertes gefäßführendes Fett- und Bindegewebe mit eingeblutetem, regressiv verändertem Schilddrüsenparenchym. Das Schilddrüsenparenchym stellte sich moderat entzündlich überlagert dar mit pseudoangiomatosen, regressiv bedingten Veränderungen im Stroma. Am übersandten Material fand sich kein Hinweis auf Atypien und kein Nachweis von Malignität.
Dieser histopathologische Befund schloss die präoperative Verdachtsdiagnose einer medianen Halszyste aus. Vielmehr zeigte sich das Bild einer Schilddrüsenektopie. Ektopes Schilddrüsengewebe kann auch in medianen Halszysten beziehungsweise Ductus-thyreoglossus-Zysten vorkommen, dort aber stets in Assoziation mit Zystenanteilen mit squamösem oder respiratorischem Epithel, die in unserem Fall fehlten [Wei et al., 2015].

Drei Tage post operationem konnte die Drainage am Hals entfernt werden. Am vierten postoperativen Tag entließen wir den Patienten in gutem Allgemeinzustand. Im Rahmen der Nachsorge ergaben Überprüfungen der Zungenmotorik und -sensibilität keine pathologischen Befunde. Es bestanden keine Schluckbeschwerden mehr. Bei noch deutlicher Restschwellung ohne Hinweis auf Abszess vereinbarten wir mit dem Patienten zunächst Kontrollen im Intervall von zwei Wochen bis zum Regress des Befunds.


Diskussion
Dieser Fall veranschaulicht die operative Therapie in Zusammenhang mit einer Verdachtsdiagnose, die sich in der postoperativen histologischen Aufarbeitung nicht bestätigt hat. Muss in diesem Fall also von einer fehlerhaften Therapie ausgegangen werden oder hat diese Therapie zur Prognose des Patienten entscheidend beigetragen?
Mediane Halszysten sind mit einer Prävalenz von sieben Prozent eine häufige Veränderung im Bereich der Mund-, Kiefer- und Gesichtschirurgie [Amos und Shermetaro, 2024] und damit häufiger als linguale Schilddrüsenektopien, die mit einer Prävalenz von circa 0,01 bis 0,001 Prozent auftreten [Carranza Leon et al., 2016].
Ätiologisch entstehen beide Entitäten aus Residuen des Ductus thyreoglossus. Dieser stellt die Verbindung zwischen der embryonalen Gewebeanlage und der definitiven anatomischen Position der Schilddrüse dar. Vollzieht sich der Deszensus des Gewebes nicht vollständig, so entstehen Schilddrüsenektopien. Persistiert Schilddrüsengewebe im Ductus, kann dieses zu einem späteren Zeitpunkt zystisch zerfallen und in Form von medianen Halszysten in Erscheinung treten. Liegt die Zyste im Mundboden, so handelt es sich um einen Sonderfall, die sogenannte Bochdalek-Zyste. Das durchschnittliche Volumen medialer Halszysten liegt bei circa 7–10 ml [Lee et al., 2021; Park et al., 2022].
Klinisch lassen sich ektope Schilddrüsenanlagen und mediane Halszysten nicht sicher voneinander abgrenzen. Kleinere Schilddrüsenektopien sind häufig klinisch unauffällig. Mediane Halszysten imponieren – wie größere ektope Schilddrüsenanlagen – als weiche, verschiebliche Raumforderungen im vorderen Halsbereich beziehungsweise im Mundboden. Beim Schlucken findet typischerweise eine Bewegung nach kranial statt. Histologisch findet sich oberhalb des Os hyoideum hauptsächlich Plattenepithel, wohingegen unterhalb des Os hyoideum Follikelepithel in den Zysten vorherrscht.
Ein weiteres häufig zu beobachtendes Merkmal medianer Halszysten ist das Wachstum an und unter das Os hyoideum [Garcia et al., 2019]. Da die definitive Diagnose erst postoperativ durch die vollständige histologische Aufarbeitung gestellt werden kann, muss diese Eigenschaft therapeutisch unbedingt bei der Operationsplanung adressiert werden. Eine vollständige Resektion der Zyste sollte angestrebt werden, um Geweberesiduen zu vermeiden und um die Wahrscheinlichkeit eines Rezidivs im Fall einer medialen Halszyste zu minimieren.
Die operative Resektion einer ektopen Schilddrüsenanlage muss bei klinisch manifester Einschränkung der Atemwege erwogen werden. Die nicht-chirurgische Therapie kleinerer Befunde stützt sich auf die Gabe von Schilddrüsenhormonen und die Radiojodablation zur Einleitung der Geweberückbildung [Guerra et al., 2014].
Die Therapie medianer Halszysten ist in aller Regel die vollständige operative Entfernung. Hierzu muss häufig ein Teil des Os hyoideum mit entfernt werden. Nach entsprechender Umstellung des operativen Vorgehens durch Sistrunk konnten die Rezidivraten von 50 Prozent auf vier bis zehn Prozent gesenkt werden [Amos und Shermetaro, 2024; Gioacchini et al., 2015; Mettias et al., 2023]. Bei diesem operativen Vorgehen werden das mittlere Drittel des Os hyoideum sowie ein Teil des Zungengrunds um das Foramen caecum zusätzlich reseziert [Sistrunk, 1920]. Funktionseinschränkungen sind bei Teilresektionen des Os hyoideum nicht zu erwarten [Lesoine, 1970]. Obschon sich dieses Standardvorgehen zur Resektion als sichere Methode etabliert hat [Maddalozzo et al., 2001; Pool et al., 2020], sind Fälle von schwerwiegenden Komplikationen beschrieben. Dazu zählen die Ruptur der Trachea [Erikci und Hosgör, 2014], die Perforation des Larynx [Matos et al., 2021] und Nervschädigungen [Erikci und Hosgör, 2014]. Aufgrund des Operationsumfangs kann die Sistrunk-Prozedur postoperativ zu Schluckbeschwerden führen [Sullivan et al., 2001].
Um intra- und postoperative Komplikationen zu vermeiden und dem Patienten eine möglichst strukturerhaltende Behandlung anzubieten, wurde im vorliegenden Fall auf eine Durchführung der Operation nach Sistrunk verzichtet und neben der vollständigen Zystenentfernung lediglich der anteriore Anteil des Os hyoideum entfernt, so dass dieses in seiner Kontinuität erhalten bleiben konnte. Ein ähnliches, ebenfalls wenig invasives Vorgehen wurde bereits bei kleineren Zysten des Halses erfolgreich durchgeführt [Sullivan et al., 2001; Knight et al., 1983]. Die chirurgische Resektion ist – wie dargelegt – bei medianen Halszysten wie auch bei ektopen Schilddrüsenanlagen die Therapie der Wahl.
Alternative therapeutische Konzepte bei medianen Halszysten bestehen in der regelmäßigen Entlastung der Zyste mittels Punktion. Auf diese Weise kann gegebenenfalls kurzfristig eine Besserung der Atem- und Schluckbeschwerden erreicht werden. Es wird jedoch nicht die ursächliche Malformation therapiert, sondern lediglich wiederholt das Symptom der zervikalen Raumforderung kuriert. Eine definitive Entfernung kann auf diese Weise nicht erreicht werden. Ein anderer Ansatz ist die Ethanol-Ablation. Dabei wird hochprozentiges Ethanol in die Zyste infundiert, um so den Zystenbalg zu denaturieren und die Zyste zu eliminieren [Ahn, 2023]. Dieses zunehmend im asiatischen Raum angewendete Verfahren liefert – wie die chirurgische Therapie – gute Ergebnisse bezüglich einer langfristigen Rezidivfreiheit [Stillman et al., 2023]. Die Möglichkeit der histologischen Aufarbeitung zur abschließenden Diagnosesicherung entfällt hier jedoch.
Maligne Entartungen werden mit circa einem Prozent aller Fälle selten beschrieben [Amos und Shermetaro, 2024; Rayess et al., 2017]. Kommt es zur Entartung, so liegt häufig ein papilläres Schilddrüsenkarzinom (aus einer medianen Halszyste) oder ein follikuläres Schilddrüsenkarzinom (aus einer Schilddrüsenektopie) vor [Klubo-Gwiezdzinska et al., 2011]. Entartungen zu Plattenepithelkarzinomen oder Mukoepidermoidkarzinomen sind ebenfalls beschrieben worden [Sen et al., 2023]. Die Entartungswahrscheinlichkeiten sind für Schilddrüsenektopien ebenso wie für mediane Halszysten identisch, was noch einmal die Bedeutung einer operativen Sanierung hervorhebt.
Fazit für die Praxis
Mediane Halszysten treten als Residuum des Ductus thyreoglossus mit einer Prävalenz von sieben Prozent häufig auf.
Schilddrüsenektopien treten mit einer Prävalenz von 0,01 bis 0,001 Prozent selten auf.
Maligne Entartungen treten in einem Prozent der Fälle selten auf.
Die vollständige chirurgische Resektion bei manifester Klinik ist die Therapie der Wahl.
Bei Raumforderungen des Halses sollte immer eine akute Notfallsituation ausgeschlossen werden.
Differenzialdiagnostisch sollten bei Raumforderungen am Hals vor allem akut lebensbedrohliche Krankheitsbilder ausgeschlossen werden. Dazu zählen in erster Linie Logenabszesse des Halses mit Verlegung der Atemwege. Unklare Raumforderungen am Hals sollten zudem immer den Ausschluss einer Malignität nach sich ziehen, also insbesondere von Karzinomen der Schilddrüse oder des Aerodigestivtrakts sowie von Lymphknotenmetastasen des Halses.
Literaturliste
Amos J, Shermetaro C (2024) Thyroglossal Duct Cyst StatPearls: Treasure Island (FL) ineligible companies. Disclosure: Carl Shermetaro declares no relevant financial relationships with ineligible companies.
Ahn D (2023) Ultrasound-Guided Ethanol Ablation for Thyroglossal Duct Cyst: A Review of Technical Issues and Potential as a New Standard Treatment. J Clin Med 12.
Carranza Leon BG, Turcu A, Bahn R, Dean DS (2016) Lingual Thyroid: 35-Year Experience at a Tertiary Care Referral Center. Endocr Pract 22:343-349.
Erikci V, Hosgör M (2014) A rare complication of the Sistrunk’s procedure in thyroglossal duct remnant: tracheal injury. Annals of Pediatric Surgery 10:130-132.
Garcia E, Osterbauer B, Parham D, Koempel J (2019) The incidence of microscopic thyroglossal duct tissue superior to the hyoid bone. Laryngoscope 129:1215-1217.
Gioacchini FM, Alicandri-Ciufelli M, Kaleci S, Magliulo G, Presutti L, Re M (2015) Clinical presentation and treatment outcomes of thyroglossal duct cysts: a systematic review. Int J Oral Maxillofac Surg 44:119-126.
Guerra G, Cinelli M, Mesolella M, Tafuri D, Rocca A, Amato B, Rengo S, Testa D (2014) Morphological, diagnostic and surgical features of ectopic thyroid gland: a review of literature. Int J Surg 12 Suppl 1:S3-11.
Klubo-Gwiezdzinska J, Manes RP, Chia SH, Burman KD, Stathatos NA, Deeb ZE, Wartofsky L (2011) Clinical review: Ectopic cervical thyroid carcinoma--review of the literature with illustrative case series. J Clin Endocrinol Metab 96:2684-2691.
Knight PJ, Hamoudi AB, Vassy LE (1983) The diagnosis and treatment of midline neck masses in children. Surgery 93:603-611.
Lee E, Park I, Elzomor A, Li L, Lloyd A, Benito DA, Goodman JF, Thakkar PG, Joshi A (2021) Efficacy of ethanol ablation as a treatment of benign head and neck cystic lesions. Am J Otolaryngol 42:103082.
Lesoine W (1970) [The morphology of the hyoid bone]. Z Laryngol Rhinol Otol 49:461-465.
Maddalozzo J, Venkatesan TK, Gupta P (2001) Complications associated with the Sistrunk procedure. Laryngoscope 111:119-123.
Matos L, Carvalho L, Alves A, Nora M (2021) Laryngeal perforation during Sistrunk procedure. J Surg Case Rep 2021:rjab091.
Mettias B, Cole S, Valsamakis T (2023) Preoperative investigations in thyroglossal duct cyst surgery: a 9-year experience and proposed practice guide. Ann R Coll Surg Engl 105:554-560.
Park SI, Baek JH, Chung SR, Choi YJ, Lee JH, Kim TY, Lee YM, Baek SM (2022) Ethanol ablation for the treatment of thyroglossal duct cysts: follow-up results for longer than 2 years. Eur Radiol 32:3525-3531.
Pool C, Rosi-Schumacher M, Ehret C, King TS, Wilson MN (2020) Outpatient Sistrunk procedure: A retrospective analysis. Int J Pediatr Otorhinolaryngol 139:110455.
Rayess HM, Monk I, Svider PF, Gupta A, Raza SN, Lin HS (2017) Thyroglossal Duct Cyst Carcinoma: A Systematic Review of Clinical Features and Outcomes. Otolaryngol Head Neck Surg 156:794-802.
Sen S, Thomas SS, Cherian A, Abraham D, Hepzhibah J, John R, Therese M, Reka K, Paul MJ (2023) Thyroglossal Duct Cyst Carcinoma: Lessons from a 20-Case Series. Indian J Surg Oncol 14:609-618.
Sistrunk WE (1920) The Surgical Treatment of Cysts of the Thyroglossal Tract. Ann Surg 71:121-122 122.
Stillman MD, Waring NA, Kuo JH (2023) Ethanol Ablation of a Thyroglossal Duct Cyst and Review of the Literature. JCEM Case Rep 1:luad070.
Sullivan DP, Liberatore LA, April MM, Sassoon J, Ward RF (2001) Epidermal inclusion cyst versus thyroglossal duct cyst: sistrunk or not? Ann Otol Rhinol Laryngol 110:340-344.
Wei S, LiVolsi VA, Baloch ZW (2015) Pathology of thyroglossal duct: an institutional experience. Endocr Pathol 26:75-79.







