AOT: Neoplasie oder Anomalie?
Ein zwölfjähriger Patient wurde von einem niedergelassenen Fachzahnarzt für Oralchirurgie zur operativen Entfernung einer unklaren Raumforderung im Oberkiefer überwiesen. Anamnestisch bemerkenswert war, dass Zahn 21 im Jahr 2023 durch den überweisenden Kollegen aufgrund einer begonnenen kieferorthopädischen Behandlung freigelegt wurde. Ein Jahr später zeigte sich bei der klinischen Untersuchung eine nicht-druckdolente, nicht-verschiebliche Vorwölbung der vestibulären Schleimhaut im Bereich 21-22 (Abbildung 1). In der angefertigten Digitalen Volumentomografie (DVT) ließ sich in dieser Region eine monolokuläre, relativ scharf begrenzte, radioluzente Struktur mit zentraler, diffus gefleckter Radioopazität erkennen (Abbildung 2).
Die Pulpenvitalität der angrenzenden Zähne 21 und 22 war erhalten. Basierend auf der Anamnese, dem klinischen Befund und dem radiologischen Bild wurde die Verdachtsdiagnose eines benignen odontogenen Tumors gestellt. Als Therapie der Wahl erfolgte die Enukleation des Befundes in toto unter Lokalanästhesie. Nach Mobilisation des Mukoperiostlappens wurde ein Weichgewebssack sichtbar. Die Tumorkapsel war fest am intraalveolären Knochen fixiert (Abbildung 3).
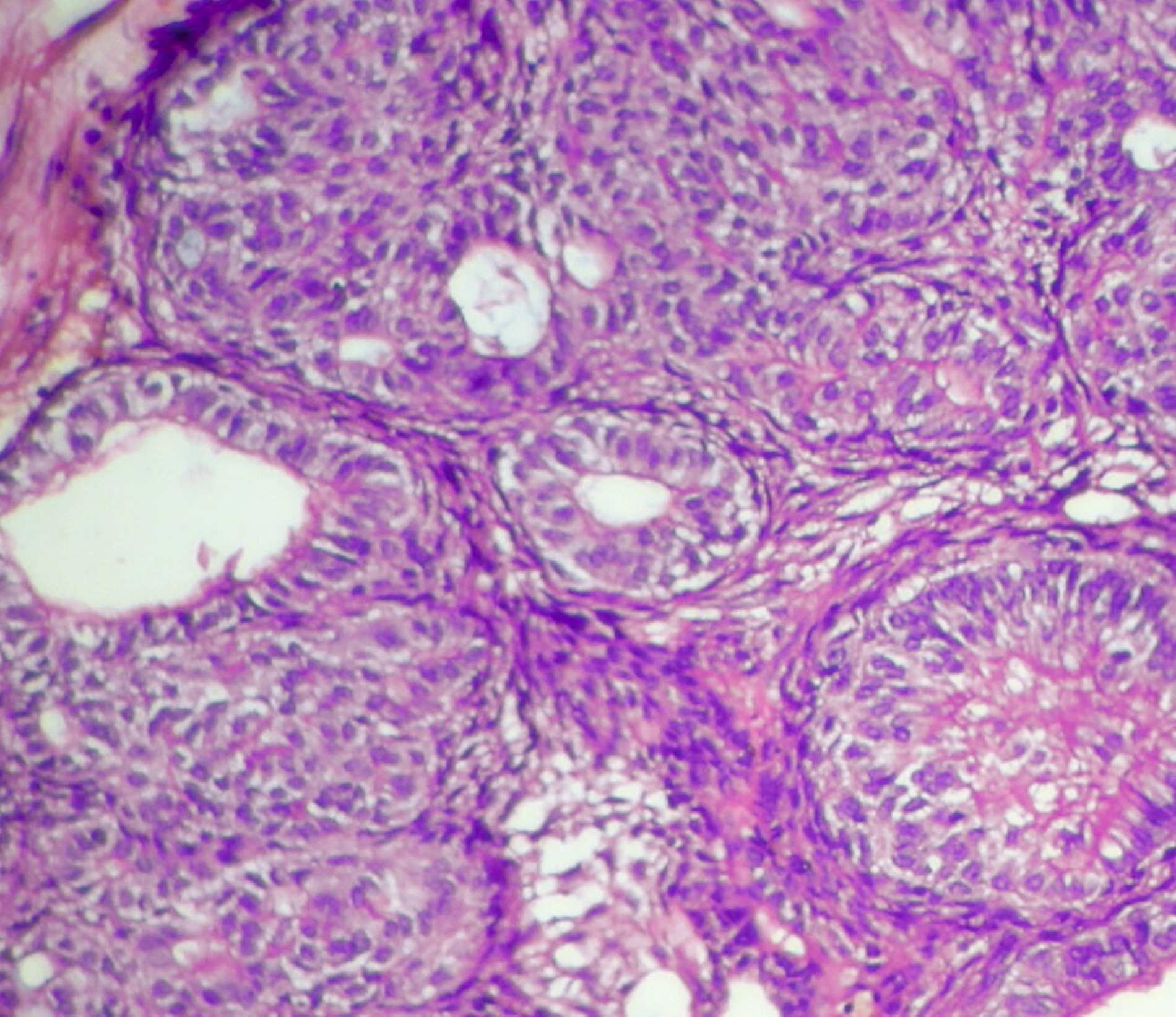
Die entstandene ossäre Kavität wurde mit einem Knochenersatzmaterial mit Kollagenzusatz aufgefüllt, und es wurde ein plastischer Wundverschluss durchgeführt (Abbildung 4). Das entnommene Gewebe wurde zur histopathologischen Untersuchung in die Pathologie der Universitätsmedizin Mainz eingesandt. Histologisch zeigte sich ein zellarmes, bindegewebiges Stroma mit strangförmig angeordneten Zellen odontogenen Epithels.
Im Zentrum der soliden Epithelansammlungen ließen sich drüsenähnliche Strukturen erkennen. Zudem wurden kleinere Ablagerungen beobachtet, die als dentinähnliche Hartgewebsablagerungen interpretiert wurden (Abbildung 5). Auf dieser Grundlage wurde die Diagnose eines adenomatoiden odontogenen Tumors (AOT) gestellt, welche durch das Institut für Pathologie der Universität Erlangen konsiliarisch bestätigt wurde. Der Patient befindet sich in der Nachsorge (Abbildung 6). Die angrenzenden Zähne sind weiterhin pulpavital und die kieferorthopädische Behandlung wird weitergeführt.
Diskussion
Der Begriff „odontogene Tumoren“ umfasst Neoplasien, die hauptsächlich aus embryonalen Geweberesten der Zahnanlage entstehen. Diese Tumoren werden in eine breite Klassifikation eingeordnet, die von hamartomatösen Fehlbildungen bis hin zu überwiegend benignen Tumoren reicht [Buch et al., 2003]. Der AOT ist ein seltener odontogener Tumor, der erstmals im Jahr 1905 unter der Bezeichnung „Pseudoadenoma adamantinum“ beschrieben wurde [Prein et al., 1985]. In der Vergangenheit wurden zur Beschreibung des Tumors jedoch zahlreiche unterschiedliche Nomenklaturen verwendet.
Fälschlicherweise wurde der AOT früher als eine Sonderform des Ameloblastoms angesehen [Gundlach, 2000]. Erst im Jahr 1948 wurde die frühere Bezeichnung „Adenoameloblastom“ durch den heute gebräuchlichen Begriff „adenomatoider odontogener Tumor“ ersetzt [Gundlach, 2008]. Entgegen der früheren Annahme konnte nachgewiesen werden, dass der AOT im Unterschied zum Ameloblastom eine induktive Wirkung auf das Mesenchym ausübt. Gorlin et al. klassifizierten die odontogenen Tumoren 1961 in folgende Entitäten [Gorlin et al., 1961]:
epitheliale Tumoren ohne Induktionswirkung auf das Bindegewebe,
epitheliale Tumoren mit Induktionswirkung auf das Bindegewebe
und bindegewebige Tumoren.
In der WHO-Klassifikation wird der AOT als eine eigenständige Entität aufgeführt [Soluk-Tekkesin et al., 2020]. Die Histopathologie dieses benignen Tumors ist in der Literatur jedoch weiterhin umstritten. Einige Autoren betrachten ihn als eine echte gutartige Neoplasie, während andere ihn als Hamartom oder sogar als odontogene Zyste einstufen. Der zystische Charakter konnte bisher jedoch nicht eindeutig nachgewiesen werden [Thakur et al., 2016].
Klinisch ist der Tumor dadurch charakterisiert, dass er vorwiegend bei jüngeren Patienten in der zweiten Lebensdekade auftritt, wobei Frauen doppelt so häufig betroffen sind wie Männer. Der Tumor wird in der Regel intraossär, insbesondere im anterioren Oberkiefer, lokalisiert, wobei die häufigste Stelle der Eckzahnbereich ist. Der AOT zeigt ein langsames, progressives und meist symptomarmes Wachstum. Eine Beteiligung nicht-eruptierter Zähne, insbesondere der Eckzähne, ist häufig. Daher wird der Tumor oft als radiologischer Zufallsbefund bei der Untersuchung nicht-durchgebrochener Zähne der zweiten Dentition entdeckt [Handschel et al., 2005].
Es werden drei klinisch-topographische Subtypen unterschieden: die follikuläre Variante (71 Prozent), die extrafollikuläre Variante (27 Prozent) und die periphere Variante (2 Prozent). Sowohl die follikuläre als auch die extrafollikuläre Variante treten intraossär auf. Die seltene periphere Variante hingegen manifestiert sich hauptsächlich im Zahnfleischgewebe der zahntragenden Bereiche [Philipsen und Reichart, 1999]. Im Röntgenbild zeigt sich typischerweise eine Radioluzenz mit eingestreuten radioopakeren Verkalkungsherden [Buch et al., 2003; Konouchi et al., 2002]. Die follikuläre Variante des AOT zeigt eine klar abgegrenzte, unilokuläre Radioluzenz, die – wie im oben beschriebenen Fall – mit einem nicht durchgebrochenen Zahn verbunden ist. Bei extrafollikulären AOTs befindet sich die Radioluzenz hingegen entweder apikal oder zwischen den Wurzeln durchgebrochener bleibender Zähne.
Differenzialdiagnostisch sind follikuläre Zysten, nichtodontogene Kieferzysten, Ameloblastome, ameloblastische Fibrome, adenoidzystische Karzinome sowie Mukoepidermoidkarzinome zu berücksichtigen [Bilodeau und Collins, 2017]. Der AOT lässt sich weder klinisch noch radiologisch sicher vom Ameloblastom oder von odontogenen Zysten abgrenzen. Eine gesicherte Diagnose kann nur durch eine histopathologische Untersuchung gestellt werden.
Histologisch zeigen sich zwei verschiedene Zellformen: ringförmige Epithelzellstrukturen sowie kubische oder niedrig säulenförmige Zellen, die röhrenförmige oder drüsenartige Strukturen bilden [Bravo et al., 2005]. Diese histologischen Merkmale führten sowohl zur früheren Bezeichnung „Adenoameloblastom“ als auch zur heutigen Bezeichnung „adenomatoid“. Aufgrund der niedrigen Rezidivrate des AOT wird eine chirurgische Enukleation mit anschließender konservativer Nachsorge als ausreichend angesehen [Chrcanovic und Gomez, 2019]. Die histopathologische Sicherung der Diagnose ist jedoch obligatorisch, da die Unterscheidung zwischen einer benignen Läsion und einer echten Neoplasie die Therapieentscheidung maßgeblich beeinflusst.
Fazit für die Praxis
Aufgrund des häufig symptomarmen und langsamen Wachstums wird der AOT oft als radiologischer Zufallsbefund bei der Detektion nicht durchgebrochener Zähne entdeckt.
Der AOT kann klinisch und radiologisch nicht sicher von anderen odontogenen Tumoren oder Zysten unterschieden werden. Daher ist eine histopathologische Untersuchung zur Sicherung der Diagnose unerlässlich.
Aufgrund der niedrigen Rezidivrate ist eine chirurgische Enukleation in Kombination mit konservativer Nachsorge die Therapie der Wahl.
Ob der AOT tatsächlich zystischen, neoplastischen Ursprungs ist oder ein Hamartom darstellt, bleibt umstritten.
Literaturliste
BILODEAU, E. A. & COLLINS, B. M. 2017. Odontogenic cysts and neoplasms. Surgical pathology clinics, 10, 177-222.
BRAVO, M., WHITE, D., MILES, L. & COTTON, R. 2005. Adenomatoid odontogenic tumor mimicking a dentigerous cyst. International journal of pediatric otorhinolaryngology, 69, 1685-1688.
BUCH, R. S. R., COERDT, W. & WAHLMANN, U. 2003. Adenomatoider odontogener Tumor in kalzifizierender odontogener Zyste. Mund-, Kiefer- und Gesichtschirurgie, 7, 301-305.
CHRCANOVIC, B. R. & GOMEZ, R. S. 2019. Adenomatoid odontogenic tumor: an updated analysis of the cases reported in the literature. Journal of Oral Pathology & Medicine, 48, 10-16.
GORLIN, R. J., CHAUDHRY, A. P. & PINDBORG, J. J. 1961. Odontogenic tumors. Classification, histopathology, and clinical behavior in man and domesticated animals. Cancer, 14, 73-101.
GUNDLACH, K. K. H. 2000. Odontogene Tumoren. Mund-, Kiefer- und Gesichtschirurgie, 4, S187-S195.
GUNDLACH, K. K. H. 2008. Odontogene Tumoren. Der MKG-Chirurg, 1, 221-236.
HANDSCHEL, J. G. K., DEPPRICH, R. A., ZIMMERMANN, A. C., BRAUNSTEIN, S. & KüBLER, N. R. 2005. Adenomatoid odontogenic tumor of the mandible: review of the literature and report of a rare case. Head & Face Medicine, 1, 3.
KONOUCHI, H., ASAUMI, J.-I., YANAGI, Y., HISATOMI, M. & KISHI, K. 2002. Adenomatoid odontogenic tumor: correlation of MRI with histopathological findings. European journal of radiology, 44, 19-23.
PHILIPSEN, H. P. & REICHART, P. A. 1999. Adenomatoid odontogenic tumour: facts and figures. Oral Oncology, 35, 125-131.
PREIN, J., REMAGEN, W., SPIESSL, B. & UEHLINGER, E. 1985. Adenomatoider odontogener Tumor. In: PREIN, J., REMAGEN, W., SPIESSL, B. & UEHLINGER, E. (eds.) Atlas der Tumoren des Gesichtsschädels: Odontogene und nicht odontogene Tumoren. Berlin, Heidelberg: Springer Berlin Heidelberg.
SOLUK-TEKKESIN, M., CAKARER, S., AKSAKALLI, N., ALATLI, C. & OLGAC, V. 2020. New World Health Organization classification of odontogenic tumours: impact on the prevalence of odontogenic tumours and analysis of 1231 cases from Turkey. British Journal of Oral and Maxillofacial Surgery, 58, 1017-1022.
THAKUR, A., TUPKARI, J. V., JOY, T. & HANCHATE, A. V. 2016. Adenomatoid odontogenic tumor: What is the true nature? Medical Hypotheses, 97, 90-93.













