Mundgeruch beim zahnärztlichen Patienten
Unter gesunden Bedingungen wird der menschliche Atem als leicht süßlich wahrgenommen. Die Intensität dieses nicht unangenehm erscheinenden Eigengeruchs wechselt abhängig von Tageszeit, Nahrungsaufnahme sowie den durchgeführten Mundhygienemaßnahmen [Filippi, 2008]. Unter Halitosis versteht man den unangenehmen Geruch der Atemluft. Das Wort stammt aus dem Lateinischen, wo der Terminus „halitus“ Atemluft und das Suffix „-osis“ eine pathologische Veränderung bedeuten. Wenn die menschliche Atemluft auch nur wahrnehmbare Spuren unangenehm riechender Gase enthält, ist es möglich, dass dies bereits zu Halitosis führt, auch wenn die sonstigen Bestandteile der ausgeatmeten Luft vollkommen geruchlos sind: etwa 78 Prozent Stickstoff, circa 17 Prozent Sauerstoff, vier Prozent Kohlendioxid [Filippi, 2008; 2011].
Der Formenkreis der Halitosis wird in drei unterschiedliche Unterarten aufgeteilt [Yaegaki und Coil, 2000; Ortiz und Filippi, 2021]:
echte Halitosis (extra- und intraoral)
Pseudo-Halitosis
Halitophobie
Mundgeruch, Halitosis oder „Foetor ex ore“ werden oft synonym verwendet. „Foetor ex ore“ beschreibt genau genommen den unangenehmen Geruch aus der Mundhöhle, während bei Halitosis auch bei geschlossenem Mund aus der Nase ein Übelgeruch wahrzunehmen ist [Filippi, 2008]. Pseudo-Halitosis beschreibt die fälschliche Annahme eigener schlecht riechender Atemluft und kann auf psychologische Faktoren wie Angstzustände, Depressionen oder Zwangsstörungen zurückgeführt werden [Li et al, 2023; Falcão et al., 2012]. In einer Analyse von Daten einer Berliner Mundgeruchssprechstunde konnte eine hohe Prävalenz (25 Prozent) von Pseudo-Halitosis festgestellt werden [Seemann et al., 2014]. Besonders für Patienten mit Verdacht auf Pseudo-Halitosis kann eine Messung der Ausatemluft hilfreich sein und ihnen Sicherheit bezüglich ihrer Krankheitswahrnehmung vermitteln. Halitophobie bezeichnet die Phobie vor Mundgeruch, selbst nach erfolgreicher Behandlung von echter oder Pseudo-Halitosis [Falcão et al., 2012; Wu et al., 2020].
Ätiologie, Epidemiologie
Klinisch bedeutsam ist die Unterscheidung zwischen intraoraler und extraoraler Halitosis. Während erstere rein intraoral entsteht, hat letztere ihren Ursprung außerhalb der Mundhöhle im Nasen-, Nasennebenhöhlen- oder Kehlkopfbereich, in der Lunge oder dem oberen Verdauungstrakt [Yaegaki und Coil, 2000; Ortiz und Filippi, 2021]. Auch wenn es häufig angenommen wird, sind Magen und Intestinaltrakt meist nicht Ursache für Halitosis. Als Gründe im Verdauungstrakt kommen Kardia-Insuffizienz, Reflux und Divertikel infrage [Stephenson und Rees, 1990].
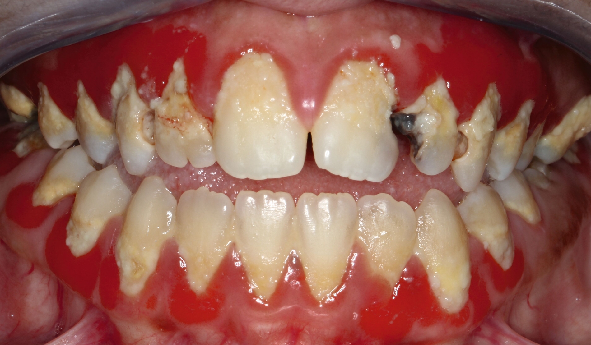
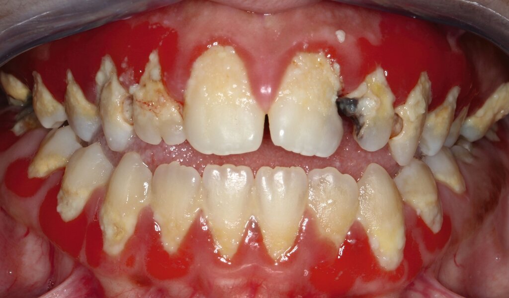
HNO-bezogene Ursachen sind die häufigsten extraoralen Ursprungs, wovon hier wiederum die Tonsillitis die vorherrschende Ursache darstellt [Filippi, 2008]. Es ist inzwischen gesichert, dass die Ursache für Halitosis in circa 80 bis 90 Prozent der Fälle in der Mundhöhle liegt [Quirynen et al., 2009; Filippi, 2008]. Der Zungenbelag stellt mit rund 51 Prozent die häufigste orale Ursache dar, gefolgt von unzureichender Mundhygiene und/oder Parodontitis und/oder insuffizienten Füllungs- oder Kronenrändern [Filippi, 2011] (Abbildung 1). Als weitere Ursachen sind (stressbedingte oder medikamenteninduzierte) Hyposalivation, lokale Infektionen sowie begünstigende Faktoren wie das Rauchen, Kaffeegenuss und spezielle Diäten zu nennen.
Halitosis betrifft einen großen Teil der Bevölkerung und dabei alle Altersgruppen mit unterschiedlicher Prävalenz [Zürcher und Filippi, 2012]. Es konnte ein Zusammenhang zwischen der Halitosis und steigendem Alter der Patienten festgestellt werden, was vermutlich mit der Zunahme an Parodontitis und Zungenbelag in späteren Lebensphasen zusammenhängt [Miyazaki et al., 1995]. Einige Studien zeigten, dass Männer häufiger betroffen sind als Frauen [Nadanovsky et al., 2007; Adedapo et al., 2020], andere Studien wiederum konnten keinen Unterschied feststellen [Zürcher und Filippi, 2012]. Die psychologischen Effekte von Halitosis sind weitreichend und beeinflussen das soziale Leben häufig enorm. Aus diesem Grund gibt es immer häufiger spezielle Sprechstunden, welche Patienten mit dieser Problematik aufsuchen können.
Zahlreiche Patientinnen und Patienten suchten die Halitosissprechstunde der Universitätsmedizin Mainz seit ihrer Einführung auf. Alle Patienten, die sich aus diesem Grund vorstellen oder überwiesen werden, werden patientengerecht über den Formenkreis Halitosis und deren Ätiologie aufgeklärt. Erfahrungsgemäß waren die häufigsten Gründe für Halitosis Zungenbeläge oder unbehandelte Parodontitiserkrankungen. In den allermeisten Fällen ließen sich durch Instruktionen zur korrekten Reinigung des Zungenrückens beziehungsweise einer systematischen Parodontitistherapie subjektive wie auch objektive Besserungen erreichen.
Manche Patienten zeigten trotz täglicher Reinigung des Zungenrückens nach wie vor Zungenbeläge. In diesen Fällen erfolgte in der Regel eine Trainingssitzung – auch hinsichtlich anderer Mundhöhlenbereiche wie zum Beispiel der Interdentalräume und es wurde dezidiert die Ernährung unter die Lupe genommen: „Abrasivere“ Kost wie zum Beispiel Nüsse vermögen den dorsalen Zungenabschnitt zu reinigen – eine manuelle Zungenreinigung ist hier aus Gründen des Würgereizes häufig unmöglich. Zuweilen waren auch lange zirkadiane Nahrungskarenzen ursächlich – diese begünstigen die Re-Etablierung anaerober und damit potenziell halitogener Mikroorganismen.
Nicht selten waren auch junge Patientinnen und Patienten vorstellig – meist gänzlich ohne Restaurationen und Entzündungen der oralen Weichgewebe. Sowohl organoleptisch als auch mittels Sulfidmonitor ließ sich meist keine Halitosis feststellen, was diesen Patienten das subjektiv empfundene Unwohlsein aufgrund ihrer selbst vermuteten Mundgeruchsproblematik nehmen ließ. Hierbei handelte es sich also um Fälle der oben erwähnten Pseudohalitosis.
Diagnostik
Zusätzlich zur intraoralen Diagnostik und der speziellen Anamnese kann auch Geräte-Diagnostik zur Analyse der Atemluft zum Einsatz kommen. Geräte, wie zum Beispiel ein Gaschromatograf können das objektive Vorhandensein von übelriechenden Schwefelverbindungen feststellen. Dafür wird die Atemluft des Patienten in einer Spritze aufgenommen und in das Gerät gegeben (Abbildungen 2 und 3).
Die Messung mittels eines Gaschromatografen (Abbildung 4) kann als Goldstandard angesehen werden [Yaegaki und Coil, 2000]. Damit ist es möglich, die Konzentration an schwefligen Gasen in der Atemluft zu bestimmen und digital zu erfassen (Abbildung 5). Die wichtigsten flüchtigen Schwefelverbindungen sind Schwefelwasserstoff (H₂S), Methylmercaptan (CH4S) und Dimethylsulfid (C2H6S). Diese flüchtigen Schwefelverbindungen, sogenannte „volatile sulphur compounds“ (VSC), werden hauptsächlich von gramnegativen anaeroben Bakterien gebildet [Bollen und Beikler, 2012].
Gaschromatografen führen im Vergleich zu den ebenfalls eingesetzten Sulfidmonitoren zu genaueren Messungen, da die Messsensitivität für das Vorliegen von Methylmercaptan und Dimethylsulfid im Vergleich nur 50 Prozent beträgt. Jedoch ist die Nutzung von Sulfidmonitoren kostengünstiger und klinisch besser umsetzbar [van den Broek et al., 2007]. Die Differenzierung unterschiedlicher VSC ist mit Sulfidmonitoren nicht möglich und weitere unangenehm riechende Verbindungen wie Putrescin und Buttersäure können nicht nachgewiesen werden [Quirynen et al., 2003]. Durch die fehlende Messbarkeit weiterer Geruchsstoffe kann beispielsweise ein hoher organoleptischer Messwert vorliegen, während mit dem verwendeten Sulfidmonitor lediglich geringe VSC-Messwerte festzustellen sind.
Eine ebenfalls übliche Messmethode stellt die organoleptische Messung dar, die durch den Geruchssinn des Untersuchers erfolgt. Die Ausatemluft wird beim Sprechen in drei verschiedenen Abständen vom Behandler wahrgenommen und anhand dessen in verschiedene Schweregrade eingeteilt. Da es sich hierbei um weitgehend subjektive Empfindungen handelt, wird die Messung mittels Gaschromatografen präferiert.
Neben Schleimhäuten sollte ein besonderer Fokus auf die Zunge gelegt werden, da Zungenbelag eine der Hauptursachen für Halitosis darstellt. So kann die Farbe des Zungenbelags deutlich variieren (farblos, weiß, gelb, grau, braun). Es gibt Indizes, nach denen sich der Schweregrad der Zungenbeläge einteilen lässt. Der Zungenbelag-Index nach Winkel teilt die Oberfläche der Zunge in sechs Bereiche, bei dem jeder Bereich einen Wert von 0-2 – je nach Verfärbungsgrad – erhält [Winkel et al., 2003]. Auch der Zungenbelag-Index nach Miyazaki beruht auf der optischen Beurteilung des Zungenrückens, wird jedoch in Schweregrade von 0-3 insgesamt aufgeteilt [Miyazaki et al., 1995]. Inwiefern die Dokumentation von Zungenbelag-Indizes tatsächlich klinisch bedeutsam ist, muss am Einzelfall geprüft werden – eine regelhafte Anwendung findet in der Praxis meist nicht statt – meist bleibt die Anwendung wissenschaftlichen Untersuchungen vorbehalten.
Therapie
Die Behandlung der Halitosis sollte sich danach richten, deren Ursachen zu beheben. Zunächst sollte die häusliche Mundhygiene überprüft werden. Laut der deutschen Mundgesundheitsstudie kennt nur etwa jeder dritte Erwachsene die Empfehlungen zur Zahnpflege und gibt ein gutes Putzverhalten an [DMS V, 2016]. Sinnvollerweise sollte als Erstes die Mundhygiene kontrolliert und trainiert werden. Zu einer optimalen Mundhygiene zählt auch die Interdentalhygiene und wenn notwendig die Zungenreinigung. Es sollte hierbei kein scharfkantiger Zungenschaber, sondern ein Zungenreiniger benutzt werden (Abbildung 6). Eine massive mechanische Reinigung der Zunge könnte eine Schädigung der Zungenzellen verursachen [Amano et al., 2007]. Möglicherweise könnte die Zungenreinigung mit Zungenpaste effektiver sein [Hoshi et al., 2002].
Bezüglich der Zungenreinigung wurde vermutet, dass sie als willkommenen Nebeneffekt auch eine kariesprotektive Wirkung entfalten könnte, da sich ein großer Anteil der oralen Bakterien auf dem Zungenrücken befindet [Filippi, 2011]. Hier ist die Datenlage jedoch noch uneinheitlich - so gibt es auch Studien, die keine Hinweise auf eine kariesprotektive Wirkung finden konnten [Laleman et al., 2018]. Bei Bedarf werden orale Antiseptika verordnet.
Mit der Einführung oraler Probiotika kam die Frage auf, ob sich die Anwendung dieser in der Mundhöhle positiv auf die Halitosis auswirken könnte. Einige neuere Untersuchungen konnten tatsächlich zeigen, dass Probiotika nicht nur zu einer besseren Mundgesundheit führen, sondern auch die Halitosis verbessern können [Lau et al., 2021; Mousquer et al., 2020; Huang et al., 2022]. Drei randomisierte, doppelblinde, placebokontrollierte klinische Studien ergaben, dass die organoleptischen Werte bei den Probanden, die Probiotika erhalten hatten, signifikant niedriger waren als in der Placebogruppe [Yoo et al., 2019]. Unterstützend können sowohl Mundspüllösungen als auch Kaugummis wirken [Filippi, 2008; Zürcher und Filippi, 2011].
Halitosissprechstunde der Universitätsmedizin Mainz
In der Poliklinik für Parodontologie und Zahnerhaltung der Universitätsmedizin Mainz wurde eine Halitosissprechstunde etabliert, in der weitgehend angelehnt an das Therapiekonzept der Universität Basel (Prof. Dr. A. Filippi) vorgegangen wird (Abbildung 7) [Filippi, 2088; 2011].
Nach Aufklärung des Patienten über den Formenkreis der Halitosis wird der spezielle Anamnesebogen ausführlich besprochen. Eventuelle Rückfragen werden beantwortet. Es werden außerdem das weitere Procedere und die anfallenden Kosten erörtert. Nach Zustimmung des Patienten erfolgt die Erstuntersuchung, bestehend aus dem kariologisch-restaurativen Mundbefund und der Erhebung des Parodontalen Screening Index (PSI). Die Messung der Ausatemluft kann erst an einem weiteren Termin durchgeführt werden, da zuvor zwingend bestimmte Kriterien erfüllt sein müssen (keine Antibiotikatherapie in den letzten drei Wochen; kein Verzehr von Zwiebeln oder Knoblauch in den letzten zwei Tagen; kein Alkoholkonsum, kein Auftragen von Kosmetika und keine Verwendung pfefferminzhaltiger Produkte oder Mundspüllösungen am Tag der Untersuchung).
Je nach Befund werden die weiteren Behandlungen festgelegt. In den meisten Fällen zeigt sich die Notwendigkeit einer Parodontitistherapie; gegebenenfalls müssen in diesem Rahmen Restaurationsränder verbessert werden. Mundhygieneinstruktionen mit besonderem Schwerpunkt auf der Reinigung des Zungenrückens erfolgen in jedem Fall.
Fazit
Zusammenfassend lässt sich festhalten, dass der Formenkreis der Halitosis einen hohen individuellen Leidensdruck verursachen kann. Trotzdem wird Halitosis von vielen Menschen aus Schamgefühl als Tabuthema behandelt. Das Angebot einer speziellen Halitosissprechstunde hilft Betroffenen, das Thema von sich aus ansprechen zu können und aktiv Hilfe und Beratung zu suchen. Die Zusammenhänge und Ursachen sind heutzutage weitestgehend bekannt, so dass erfreulicherweise ein Therapieerfolg nach Identifizierung der patientenindividuellen Ursachen sehr wahrscheinlich ist.
Literaturliste
Adedapo AH, Kolude B, Dada-Adegbola HO, Lawoyin JO, Adeola HA. Targeted polymerase chain reaction-based expression of putative halitogenic bacteria and volatile sulphur compound analysis among halitosis patients at a tertiary hospital in Nigeria. Odontology. 2020;108(3):450-61.
Amano K, Miyake K, Borke JL, McNeil PL. Breaking biological barriers with a toothbrush. J Dent Res. 2007;86(8):769-74.
Bollen CM, Beikler T. Halitosis: the multidisciplinary approach. Int J Oral Sci. 2012;4(2):55-63.
Falcão DP, Vieira CN, Batista de Amorim RF. Breaking paradigms: a new definition for halitosis in the context of pseudo-halitosis and halitophobia. J Breath Res. 2012;6(1):017105.
Filippi A. Halitosis – Aktueller Stand und Perspektiven. Zahnmedizinup2date4. 2008.
Filippi A. Halitosis - Professionelle Behandlung von Mundgeruch in der zahnärztlichen Praxis 2011.
Fünfte Deutsche Mundgesundheitsstudie (DMS V): Deutscher Zahnärzte Verlag DÄV; 2016.
Hoshi K, Yamano Y, Mitsunaga A, Shimizu S, Kagawa J, Ogiuchi H. Gastrointestinal diseases and halitosis: association of gastric Helicobacter pylori infection. Int Dent J. 2002;52 Suppl 3:207-11.
Huang N, Li J, Qiao X, Wu Y, Liu Y, Wu C, et al. Efficacy of probiotics in the management of halitosis: a systematic review and meta-analysis. BMJ Open. 2022;12(12):e060753.
Laleman I, Koop R, Teughels W, Dekeyser C, Quirynen M. Influence of tongue brushing and scraping on the oral microflora of periodontitis patients. J Periodontal Res. 2018;53(1):73-9.
Lau P, Ibrahim S, Hussain A, Hu S, Jin S, Huang M, et al. „Say Ahhh“: Experience and Views on Halitosis Management in the General Public in Victoria, Australia. Int Dent J. 2021;71(4):316-20.
Li Z, Li J, Fu R, Liu J, Wen X, Zhang L. Halitosis: etiology, prevention, and the role of microbiota. Clin Oral Investig. 2023;27(11):6383-93.
Miyazaki H, Sakao S, Katoh Y, Takehara T. Correlation between volatile sulphur compounds and certain oral health measurements in the general population. J Periodontol. 1995;66(8):679-84.
Mousquer CR, Della Bona A, Milani DC, Callegari-Jacques SM, Ishikawa K, Mayer MPA, et al. Are Lactobacillus salivarius G60 and inulin more efficacious to treat patients with oral halitosis and tongue coating than the probiotic alone and placebo? A randomized clinical trial. J Periodontol. 2020;91(6):775-83.
Nadanovsky P, Carvalho LB, Ponce de Leon A. Oral malodour and its association with age and sex in a general population in Brazil. Oral Dis. 2007;13(1):105-9.
Ortiz V, Filippi A. Halitosis. Monogr Oral Sci. 2021;29:195-200.
Quirynen M, Zhao H, Avontroodt P, Soers C, Pauwels M, Coucke W, et al. A salivary incubation test for evaluation of oral malodor: a pilot study. J Periodontol. 2003;74(7):937-44.
Quirynen M, Dadamio J, Van den Velde S, De Smit M, Dekeyser C, Van Tornout M, et al. Characteristics of 2000 patients who visited a halitosis clinic. J Clin Periodontol. 2009;36(11):970-5.
Rosenberg M, Kulkarni GV, Bosy A, McCulloch CA. Reproducibility and sensitivity of oral malodor measurements with a portable sulphide monitor. J Dent Res. 1991;70(11):1436-40.
Seemann R, Conceicao MD, Filippi A, Greenman J, Lenton P, Nachnani S, et al. Halitosis management by the general dental practitioner--results of an international consensus workshop. J Breath Res. 2014;8(1):017101.
Stephenson BM, Rees BI. Extrinsic duodenal obstruction and halitosis. Postgrad Med J. 1990;66(777):568-70.
van den Broek AM, Feenstra L, de Baat C. A review of the current literature on aetiology and measurement methods of halitosis. J Dent. 2007;35(8):627-35.
Winkel EG, Roldán S, Van Winkelhoff AJ, Herrera D, Sanz M. Clinical effects of a new mouthrinse containing chlorhexidine, cetylpyridinium chloride and zinc-lactate on oral halitosis. A dual-center, double-blind placebo-controlled study. J Clin Periodontol. 2003;30(4):300-6.
Wu J, Cannon RD, Ji P, Farella M, Mei L. Halitosis: prevalence, risk factors, sources, measurement and treatment - a review of the literature. Aust Dent J. 2020;65(1):4-11.
Yaegaki K, Coil JM. Examination, classification, and treatment of halitosis; clinical perspectives. J Can Dent Assoc. 2000;66(5):257-61.
Yoo JI, Shin IS, Jeon JG, Yang YM, Kim JG, Lee DW. The Effect of Probiotics on Halitosis: a Systematic Review and Meta-analysis. Probiotics Antimicrob Proteins. 2019;11(1):150-7.
Zürcher A, Filippi A. Findings, diagnoses and results of a halitosis clinic over a seven year period. Schweiz Monatsschr Zahnmed. 2012;122(3):205-16.











