Ein vielseitig einsetzbarer „Zauberlack“
Nichtinvasive und minimalinvasive Techniken haben in den vergangenen Jahren dank eines besseren Verständnisses der Kariespathologie und -prävention sowie Fortschritten bei den Dentalmaterialien stark an Bedeutung gewonnen. Diese modernen Ansätze ermöglichen es gerade in der Kinderzahnheilkunde, traditionelle restaurative Verfahren hinauszuzögern oder gar ganz zu vermeiden. Dies ist insbesondere wichtig, wenn man die verhältnismäßig hohen Misserfolgsraten von Füllungen im Milchgebiss in Deutschland berücksichtigt [Pötter et al., 2024].
Einsatzmöglichkeiten von Silberdiaminfluorid
Die konventionelle restaurative Behandlung kann bei Kleinkindern, Kindern mit hohem Kariesbefall oder mit besonderen Behandlungsbedürfnissen herausfordernd sein und ist oft nicht erfolgreich [Santamaría et al., 2020; BaniHani et al., 2022; Duggal et al., 2022]. Zur Bewältigung dieser Problematik werden häufig weitergehende Formen des Verhaltensmanagements in Kombination mit Sedierung und/oder sogar die Vollnarkose eingesetzt, welche die Risiken und Kosten für den Patienten und das Gesundheitssystem erheblich erhöhen. Bei älteren beispielsweise pflegebedürftigen Patienten treten häufig ähnliche Probleme auf, da unbehandelte Karies die Lebensqualität stark beeinträchtigen kann und die Schwierigkeiten bei der zahnmedizinischen Versorgung durch Mobilitätseinschränkungen und andere gesundheitliche Komorbiditäten noch verstärkt werden [Chan et al., 2022].
Weltweit hat die Anwendung von SDF in der zahnmedizinischen Forschung und in der täglichen klinischen Praxis in den letzten Jahren an Popularität gewonnen. Silber ist in der (Zahn-)Medizin nicht neu; es wird aufgrund seiner starken antimikrobiellen Eigenschaften seit Langem verwendet. „Silbernitratimprägnierung“ von Karies wird einigen (älteren) Lesern vielleicht auch ein Begriff sein. Schon seit den 1960er-Jahren haben Studien in Japan gezeigt, dass SDF, das aus 38 Prozent Silber und einer hohen Fluoridkonzentration (44.800 ppm) besteht, vielfältige Anwendungsmöglichkeiten bietet [Hu et al., 2018; Horst, 2018]:
Silberdiaminfluorid in der Kariesprävention und -behandlung
SDF ist besonders wirksam bei der Behandlung von Kariesläsionen (Abbildung 1). Bei der Anwendung auf kariösem Zahnhartgewebe dringen die Silberionen in die bakteriellen Zellwände ein, stören die bakterielle DNA-Synthese und den Stoffwechsel, und führen so zum Zelltod. Zusätzlich stabilisieren die Silberionen die kariösen Läsionen, indem sie die Dentinkanälchen blockieren (Abbildung 2) [Crystal, and Niederman, 2019].

Die Anwendung von SDF hat sich weltweit bewährt [Seifo et al., 2019]. Eine retrospektive Studie untersuchte die Wirksamkeit und Akzeptanz von SDF bei pädiatrischen Patienten an der Poliklinik für Kinderzahnheilkunde, der Universitätsmedizin Greifswald [Abdulrahim et al., 2023]. Daten von 93 Patienten (Durchschnittsalter 5,3 Jahre) mit 455 behandelten Zähnen wurden bis zu 24 Monate nachbeobachtet. SDF wurde hauptsächlich zur Behandlung von Karies (98,2 Prozent) und zur Linderung von Überempfindlichkeiten (1,8 Prozent) eingesetzt. Die Erfolgsrate lag bei 84,2 Prozent. Die Akzeptanz bei den Eltern war hoch; jedoch bemerkten 80 Prozent Verfärbungen, weshalb die Zufriedenheit bei den Seitenzähnen höher war (95,2 Prozent) als bei den Frontzähnen (36,4 Prozent; p < 0.001). Die Zahnärzte waren ebenfalls zufrieden, da 85 Prozent die Anwendung als einfach empfanden.
Weitere Studien haben gezeigt, dass SDF nicht nur aktive Kariesläsionen arretiert, sondern auch präventive Effekte hat [Mei et al., 2018]. Die Weltgesundheitsorganisation hat SDF 2021 in die Liste der essenziellen Arzneimittel für die Behandlung von kariösen Läsionen aufgenommen [World Health Organization, 2021]. So ist im Manual der WHO: „Ending childhood dental caries“ SDF bereits als Therapieverfahren aufgeführt [WHO, 2020].
Effekte von Silberdiaminfluorid auf Mundschleimhaut und Gingiva
Es ist zu beachten, dass SDF die (Mundschleim-)Haut und die Gingiva vorübergehend verfärben kann, weshalb der Kontakt mit diesen Geweben während der Anwendung vermieden werden sollte (Abbildung 3). Eine Isolierung, zum Beispiel mit flüssigem Kofferdam, ist eine Option (Abbildung 4). Da die Mitarbeit der Kinder oft gering ist, sollten zumindest die Lippen vorher mit Vaseline eingecremt werden, um unbeabsichtigte extraorale Verfärbungen zu reduzieren.
Behandlung von Kindern und Patienten mit besonderen Bedürfnissen
Bei der Behandlung von Patienten mit besonderen Bedürfnissen scheint sich der Schwerpunkt der präventiven und restaurativen Strategien zu verlagern, indem minimalinvasive Methoden wie SDF und die Hall-Technik eingesetzt werden (Abbildung 5). Minimalinvasive Therapien haben sich als geeignet und wirksam für die Behandlung von Kariesläsionen sowohl bei Milchzähnen als auch an bleibenden Zähnen erwiesen und reduzieren somit die Notwendigkeit von Eingriffen unter Vollnarkose [Molina et al., 2022].
Mit Silberdiaminfluorid gegen Wurzelkaries
SDF hat sich sowohl bei der Prävention als auch bei der Behandlung von Wurzelkaries bei Senioren als wirksam erwiesen (Abbildung 6). Systematische Übersichtsarbeiten zeigen, dass 38-prozentiges SDF das Auftreten neuer kariöser Läsionen auf freiliegenden Wurzeloberflächen signifikant reduziert und bestehende Läsionen arretiert. Eine jährliche Anwendung von 38-prozentiger SDF-Lösung reduziert das Auftreten neuer Wurzelkaries um 50 bis 68 Prozent und zeigt eine noch größere Effektivität über längere Zeiträume [Chan et al., 2022; Hendre et al., 2017].
Reduktion des Bedarfs an zahnärztlicher Vollnarkose bei Kindern
In einer aktuellen Studie der Poliklinik für Kinderzahnheilkunde der Universitätsmedizin Greifswald wurden die Auswirkungen der Applikation von 38-prozentigem SDF auf die Reduktion der Notwendigkeit einer zahnärztlichen Vollnarkose (zVN) bei Kindern untersucht, die zwischen 2019 und 2021 behandelt wurden. Retrospektiv wurden die Daten von 65 Kindern mit hohem Kariesrisiko analysiert (Durchschnittsalter= 4,3±1,6 Jahre; dmft/DMFT= 6±4,2/0,7±1), die keine invasiven Behandlungen am Behandlungsstuhl tolerieren konnten.
Bis zur Nachuntersuchung nach zwei Jahren wurde die Mehrheit (58/65) der für eine zVN infrage kommenden Kinder ausschließlich am Behandlungsstuhl ohne Narkose behandelt, was zu einer 89-prozentigen Reduzierung der zVNs führte. Die Studie ergab, dass SDF bei der Behandlung von Karies bei Hochrisikokindern wirksam ist und den Bedarf an zVN erheblich verringert, und wurde wahrscheinlich aufgrund dieser erheblichen klinischen Relevanz von der Weltkariesorganisation ORCA im letzten Jahr prämiert [Abdulrahim et al., 2023a].
Mit Silberdiaminfluorid gegen Dentinhypersensibilität
SDF führt zu einer sofortigen Linderung der Dentinhypersensibilität, da es die Dentintubuli durch die Freisetzung von Silberionen blockiert, eine Schutzbarriere bildet und eine geringe Löslichkeit aufweist, zum Beispiel bei Abrasionskavitäten am Zahnhals [Seifo et al., 2019; Kiesow et al., 2022]. In einer prospektiven, vergleichenden Doppelkohortenstudie unserer Arbeitsgruppe wurde die Wirksamkeit von Silberdiaminfluorid und Kaliumjodid (38-prozentiges SDF+KI; Riva Star®) mit Natriumfluoridlack (5 Prozent NaF; Duraphat®) bei der Behandlung hypersensibler kariöser Läsionen im Milchgebiss verglichen. Die Studie umfasste 30 Kinder im Alter von zwei bis fünf Jahren, die in zwei Gruppen aufgeteilt wurden: Eine Gruppe erhielt fünfprozentiges NaF und die andere 38-prozentiges SDF+KI. Nach drei Monaten zeigte die SDF+KI-Gruppe eine signifikant höhere Kariesarretierungsrate (86,7 Prozent) im Vergleich zur NaF-Gruppe (13,3 Prozent; p<0,05). Beide Behandlungen reduzierten die Karies-bedingte Hypersensibilität wirksam, jedoch war SDF+KI signifikant effektiver bei der Kariesarretierung [Abudrya et al., 2023].
Linderung von Überempfindlichkeit bei MIH
Die Applikation von Silberfluorid ist einfach, gut akzeptiert und lindert erfolgreich Überempfindlichkeiten bei MIH, wie Studienergebnisse unserer Arbeitsgruppe zeigen [Ahmed et al., 2023; Ahmed et al., 2024]. Nachteilig ist jedoch die schwer vorhersagbare, aber mögliche dauerhafte Schwarzverfärbung der hypomineralisierten Bereiche. Hier sollte also in Abhängigkeit der Lokalisation und des Schweregrades der Hypersensibilitäten abgewogen werden, ob diese Technik direkt beim Erstbesuch oder gegebenenfalls doch nur bei persistierender Überempfindlichkeit bei einem der Recall-Besuche erfolgen sollte („SMART“ im Recallbesuch) (Abbildung 7). Sofern MIH-Läsionen hauptsächlich approximal liegen oder die MIH-Molaren so stark betroffen sind, dass unabhängig von der Initialbehandlung mittelfristig eine Kronenversorgung (zum Beispiel Stahlkrone) oder sogar eine Extraktion wahrscheinlich ist, wäre die Silberfluoridapplikation aufgrund der schnellen Wirkung eine probate Option - auch als SMART-Technik beim Erstbesuch.

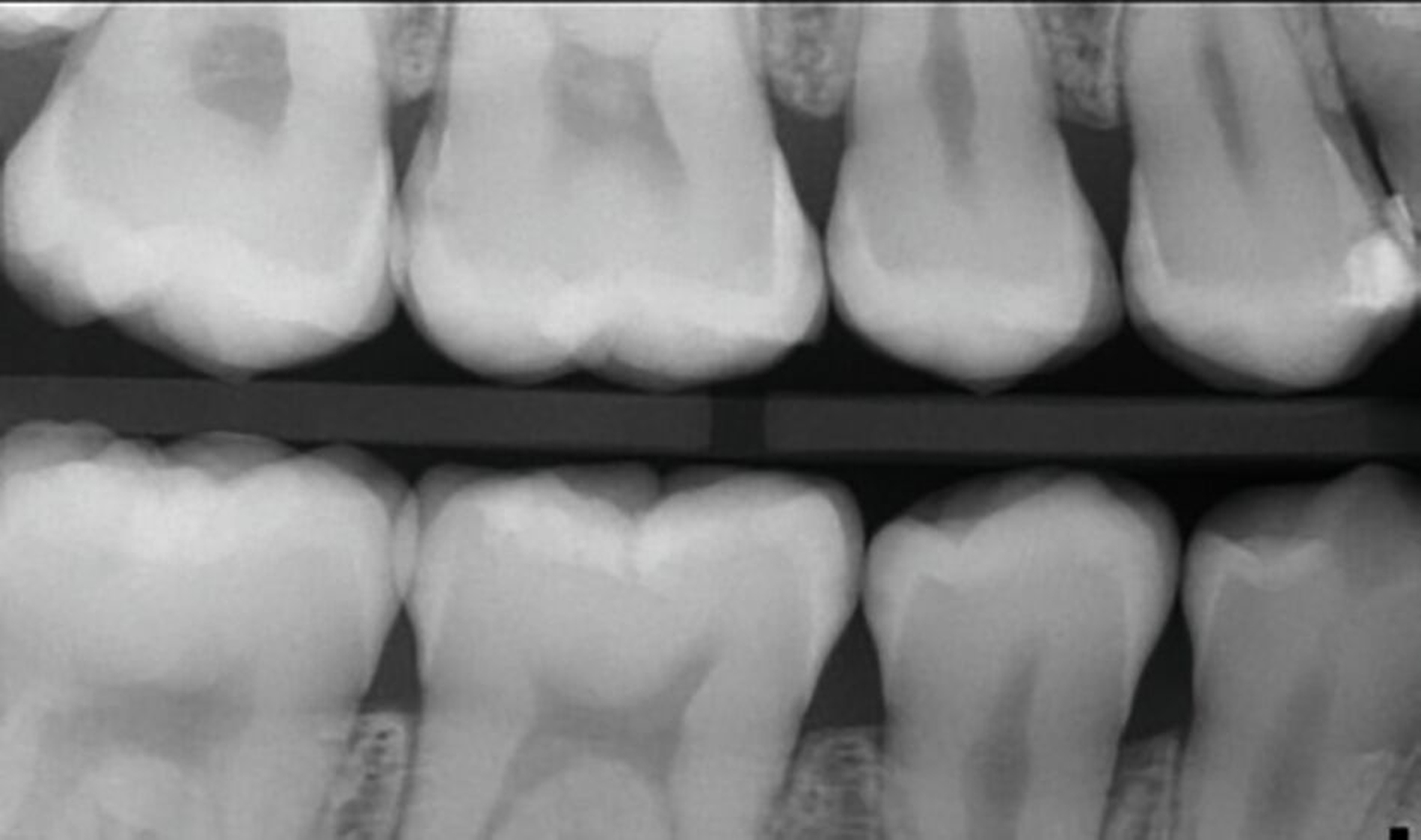
Silberdiaminfluorid bei approximalen kariösen Läsionen
SDF eignet sich auch für die Behandlung von approximalen Läsionen. Besonders interessant wird die Anwendung von Silberfluoriden zur Behandlung von Initialkaries beziehungsweise nicht-kavitierter Karies im kariesaktiven permanenten Gebiss Jugendlicher (Abbildung 8).
Der verkürzt dargestellte Patientenfall zeigt dieses minimalinvasive, innovative und kostengünstige Behandlungskonzept [Ahmed et al., 2023]. Im Kern werden dazu nach vorheriger Diagnostik orthodontische Separiergummis in die Zahnzwischenräume eingesetzt und für circa ein bis zwei Stunden in situ belassen. Direkt nach der Entfernung der Gummis erfolgt eine zügige, direkte klinische Untersuchung der Approximalkaries und eine Applikation von SDF zur Kariesinaktivierung mittels Microbrush.
Der Patientenfall belegt röntgenologisch die hohe Kariesaktivität vor der Behandlung, sowie die deutlich reduzierte Kariesaktivität nach der einmaligen SDF-Applikation in der oben genannten Technik nach knapp eineinhalb Jahren anhand von Bissflügelaufnahmen (Abbildungen 8a bis 8g). Eine retrospektive Pilot-Untersuchung an der Kinderzahnheilkunde in Greifswald gibt deutliche Hinweise auf die Wirksamkeit dieser Technik. Die Ergebnisse wurden beim diesjährigen Weltkarieskongress vorgestellt und diese Studie wurde ebenfalls von ORCA prämiert. Die Ergebnisse dieses Pilotprojekts zeigen für gut 90 Prozent der behandelten E1/E2/D1-Läsionen über einem Zeitraum von 15 Monaten keine weitere Progression in den Bissflügelaufnahmen [Ahmed et al., 2024].



Interessanterweise wurde bereits vor zehn Jahren ein Studienprotokoll für einen RCT veröffentlicht, das beschreibt, dass für eine einzelne Approximalkaries die Applikation von SDF mit der Kariesinfiltration und einer Kontrollgruppe verglichen werden sollte [Mattos-Silveira et al., 2014]. Diese Ergebnisse sind unseres Wissens leider bislang noch nicht veröffentlicht.
Nutzen von Silberdiaminfluorid
SDF reduziert unter anderem Überempfindlichkeiten, verhindert die Entstehung beziehungsweise arretiert bestehende kariöse Läsionen an Milch- und bleibenden Zähnen an allen Flächen inklusive der Wurzeloberfläche. Aufgrund dieser vielfältigen Anwendungsmöglichkeiten und seiner Wirksamkeit in der Kariestherapie hat SDF weltweit an Interesse gewonnen und ist heute in den meisten Ländern verfügbar.
Jedoch zeigt eine andere retrospektive Studie aus den USA, in der jeweils nur eine Läsion pro Patient behandelt wurde, einen deutlichen positiven Nutzen von SDF mit dem Produkt Advantage Arrest (Elevate Oral Care, West Palm Beach, Fla., USA): „nur“ 23,6 Prozent Progression im Vergleich zu 38,1 Prozent in der Kontrollgruppe [Polacek et al., 2021]. Aus der Studie geht auch hervor, dass eine Inaktivierung der Läsion noch effektiver zu sein scheint, wenn SDF mittels Microbrush appliziert wird, anstatt mit Superfloss. Es erfolgte jedoch keine vorherige Zahnseparation, die möglicherweise Vorteile für die Benetzung der Läsion durch SDF hat.
SDF-Kariestherapie ist Off-Label-Behandlung
Die in Europa verfügbaren Silberdiaminfluoridprodukte sind als Medizinprodukt offiziell für die Behandlung von Überempfindlichkeit zugelassen (Riva Star® und Riva Star Aqua®, SDI Limited). Dennoch werden sie im Rahmen der Off-Label-Behandlung von Karies aufgrund der enormen Vorteile und der großen wissenschaftlichen Evidenz vielfach eingesetzt: Zahnärzte können SDF „off-label“ auf der Grundlage ihrer klinischen Beurteilung und der Bedürfnisse der Patienten verwenden, sofern sie die informierte Zustimmung der Patienten oder ihrer Erziehungsberechtigten einholen[Gao et al., 2021; Crystal, and Niederman, 2016]. Beispielsweise stellt die British Society of Paediatric Dentistry zusätzliche Informationen und Ressourcen für die Verwendung von SDF in diesem Zusammenhang zur Verfügung (https://www.bspd.co.uk/Professionals/Resources). Die Kosten für die Kariesbehandlung mit SDF werden allerdings nicht von den gesetzlichen Krankenkassen übernommen.
Silberdiaminfluorid ist eine flexible, kostengünstige und effektive Lösung
Silberdiaminfluorid hat sich als eine wertvolle Ergänzung in der modernen Zahnmedizin bewährt. Es bietet eine flexible, kostengünstige und effektive Lösung für eine Vielzahl von zahnmedizinischen Herausforderungen, von der Kinderzahnheilkunde bis zum Kariesmanagement älterer Menschen, beispielsweise Pflegebedürftige. Die vielseitigen Anwendungsmöglichkeiten machen Silberdiaminfluorid zu einem unverzichtbaren Werkzeug im Behandlungsspektrum der Zahnärzte weltweit.
Literaturliste
Abdulrahim R, Splieth C, Mourad M, Vielhauer A, Santamaría R: Impact of silver diammine fluoride use on the need for dental general anaesthesia treatment in children. Caries Res 2023a;57:276–277.
Abdulrahim R, Splieth CH, Mourad MS, Vielhauer A, Khole MR, Santamaría RM: Silver Diamine Fluoride Renaissance in Paediatric Dentistry: A 24-Month Retrospective and Cross-Sectional Analysis. Medicina (Kaunas) 2023b;60. DOI: 10.3390/medicina60010016
Abudrya M, Splieth CH, Mourad MS, Santamaría RM: Efficacy of Different Fluoride Therapies on Hypersensitive Carious Lesions in Primary Teeth. Medicina (Kaunas) 2023;59. DOI: 10.3390/medicina59112042
Ahmed E, Al Nesser S, Mourad M, Splieth C, Schmoeckel J: Innovative management of multiple non-cavitated proximal caries in high-risk patients: combining SDF & orthodontic separators. Caries Research 2024;58:196.
Ahmed EEA, Al Nesser S, Schmoeckel J: Introducing an Innovative Approach for Managing Proximal Non-Cavitated Carious Lesions in Juvenile Permanent Dentition: Combining Orthodontic Separators and Silver Fluoride Application. Medicina (Kaunas) 2023;59. DOI: 10.3390/medicina59111892
BaniHani A, Santamaría RM, Hu S, Maden M, Albadri S: Minimal intervention dentistry for managing carious lesions into dentine in primary teeth: an umbrella review. Eur Arch Paediatr Dent 2022;23:667–693.
Chan AKY, Tamrakar M, Jiang CM, Tsang YC, Leung KCM, Chu CH: Clinical evidence for professionally applied fluoride therapy to prevent and arrest dental caries in older adults: A systematic review. J Dent 2022;125:104273.
Chibinski AC, Wambier LM, Feltrin J, Loguercio AD, Wambier DS, Reis A: Silver Diamine Fluoride Has Efficacy in Controlling Caries Progression in Primary Teeth: A Systematic Review and Meta-Analysis. Caries Res 2017;51:527–541.
Crystal YO, Niederman R: Silver Diamine Fluoride Treatment Considerations in Children’s Caries Management. Pediatr Dent 2016;38:466–471.
Crystal YO, Niederman R: Evidence-Based Dentistry Update on Silver Diamine Fluoride. Dent Clin North Am 2019;63:45–68.
Duggal M, Gizani S, Albadri S, Krämer N, Stratigaki E, Tong HJ, et al.: Best clinical practice guidance for treating deep carious lesions in primary teeth: an EAPD policy document. Eur Arch Paediatr Dent 2022;23:659–666.
Gao SS, Amarquaye G, Arrow P, Bansal K, Bedi R, Campus G, et al.: Global Oral Health Policies and Guidelines: Using Silver Diamine Fluoride for Caries Control. Frontiers in oral health 2021;2:685557.
Hendre AD, Taylor GW, Chávez EM, Hyde S: A systematic review of silver diamine fluoride: Effectiveness and application in older adults. Gerodontology 2017;34:411–419.
Horst JA: Silver Fluoride as a Treatment for Dental Caries. Adv Dent Res 2018;29:135–140.
Hu S, Meyer B, Duggal M: A silver renaissance in dentistry. Eur Arch Paediatr Dent 2018;19:221–227.
Kiesow A, Menzel M, Lippert F, Tanzer JM, Milgrom P: Dentin tubule occlusion by a 38% silver diamine fluoride gel: an in vitro investigation. BDJ Open 2022;8:1.
Mattos-Silveira J, Floriano I, Ferreira FR, Viganó MEF, Frizzo MA, Reyes A, et al.: New proposal of silver diamine fluoride use in arresting approximal caries: study protocol for a randomized controlled trial. Trials 2014;15:448.
Mei ML, Lo ECM, Chu CH: Arresting Dentine Caries with Silver Diamine Fluoride: What’s Behind It? J Dent Res 2018;97:751–758.
Molina G, Zar M, Dougall A, McGrath C: Management of dental caries lesions in patients with disabilities: Update of a systematic review. Frontiers in oral health 2022;3:980048.
Polacek J, Malhi N, Yang Y-J, Scully AC, Soki FN, Boynton JR: Silver Diamine Fluoride and Progression of Incipient Approximal Caries in Permanent Teeth: A Retrospective Study. Pediatr Dent 2021;43:475–480.
Pötter LA, Vollmer M, Santamaría RM, Splieth CH, Schmoeckel J: Performance of restorations in primary molars over a seven-year period. J Dent 2024;147:105121.
Santamaría RM, Abudrya MH, Gül G, Mourad MS, Gomez GF, Zandona AGF: How to Intervene in the Caries Process: Dentin Caries in Primary Teeth. Caries Res 2020;54:306–323.
Seifo N, Cassie H, Radford JR, Innes NPT: Silver diamine fluoride for managing carious lesions: an umbrella review. BMC Oral Health 2019;19:145.
WHO: Ending childhood dental caries: WHO implementation manual. [Internet], 2020, [cited 2024 Aug 4].Available from: www.who.int/publications/i/item/9789240000056
World Health Organization: WHO Model List of Essential Medicines - Technical Document, ed 22. Geneva, Switzerland, World Health Organization, 2021.




















