Palatinale Mini-Implantat-Insertion mittels CAD/CAM-gefertigter Bohrschablone
Eine frühzeitige Diagnose von Zahndurchbruchsstörungen ist notwendig, um die kieferorthopädische Behandlung zum optimalen Zeitpunkt einzuleiten. Aufgrund eines gestörten Zahndurchbruchs kann die Anzahl der für eine dento-alveoläre Verankerung benötigten Zähne jedoch reduziert sein und diese damit verunmöglichen. Daher ist die kieferorthopädische Behandlungsplanung ohne suffiziente Verankerung erschwert. In solchen Fällen liegt eine Möglichkeit in der Verwendung einer skelettalen Verankerung mittels Mini-Implantaten [Costa et al., 1998]. Diese ermöglicht auch die Kombination mit einer Oberkieferexpansion („rapid maxillary expansion“ (RPE)) und wird als „micro-implant-assisted RPE“ (MARPE) bezeichnet – zum Beispiel mithilfe der Hybrid-Hyrax, die viele Vorteile bietet [Clarenbach et al., 2017; Wilmes et al., 2014; Wilmes et al., 2011].
Fallbericht
Ein zwölfjähriger Patient stellte sich in der Poliklinik für Kieferorthopädie des Universitätsklinikums Tübingen mit einer skelettalen Klasse-III-Konfiguration, einer Angle-Klasse III, einem Kreuzbiss auf der linken Seite und transversal schmalem Oberkiefer vor. Die Anamnese ergab ein vermindertes Hörvermögen, weshalb der Patient Hörgeräte trug. Darüber hinaus wurde keine Medikamenteneinnahme oder Allergie angegeben. Er wies mit einem dentalen Alter von sieben Jahren einen verzögerten Zahndurchbruch auf. Der initiale intraorale Befund zeigte die in situ befindlichen Zähne 11, 21 und 32–42. Die Zähne 12 und 22 eruptierten in Inklinationsfehlstellung. Die Milcheckzähne und -molaren befanden sich noch in situ. Die Sechsjahrmolaren waren nicht eruptiert und zeigten eine Verlagerungstendenz, insbesondere im Unterkiefer (Abbildung 1, Tabelle 1).
Die initiale Panoramaschichtaufnahme zeigte die Verlagerung mehrerer Zahnkeime sowie einen Platzmangel der Eckzähne und der Prämolaren im Oberkiefer (Abbildung 1b). Die Keimkrone von Zahn 13 wies dabei eine enge Lagebeziehung zum Zahnkeim 12 auf (Abbildung 1b). Die bereits eruptierten permanenten Frontzähne zeigten eine Angulations- und eine Inklinationsfehlstellung. Im distalen Bereich waren keine Durchbruchshindernisse erkennbar. Vor Beginn der kieferorthopädischen Behandlung wurde eine Primäre Zahndurchbruchsstörung (Primary Failure of Eruption – PFE) genetisch ausgeschlossen.
Anhand des erhobenen Befunds wurde folgender Behandlungsplan festgelegt:
1. RPE unter Verwendung einer Hyrax-Apparatur mit skelettaler Verankerung im Oberkiefer
2. Chirurgische Freilegung der retinierten und verlagerten Zähne
3. Kieferorthopädische Einordnung der freigelegten Zähne in den Zahnbogen unter Verwendung einer skelettalen Verankerung wegen der durch das reduzierte Gebiss fehlenden dento-alveolären Verankerungsmöglichkeiten
4. Durchbruchskontrolle der verlagerten Zähne nach Platzgewinn im Zahnbogen
5. Überstellung des Kreuzbisses durch transversale Oberkiefererweiterung
6. Korrektur der Inklinations-, Angulations- und Rotationsfehlstellungen der bleibenden Zähne durch Verwendung einer Multi-Bracket-Apparatur in Ober- und Unterkiefer
Design und Herstellung der CAD/CAM-Bohrschablone
Initial wurde ein Intraoralscan (IOS) des Oberkiefers durchgeführt. Des Weiteren erfolgte eine DVT zur dreidimensionalen Lagebestimmung der Zahnkeime. Die Daten des IOS des Oberkiefers und der DICOM-Datensatz der DVT wurden in die Planungs-Software (coDiagnostiXTM, Dental Wings GmbH, Chemnitz) importiert. Nach Überlagerung der Datensätze erfolgte die Festlegung der Positionen der Mini-Implantate, um eine Schädigung der verlagerten Zahnkeime zu vermeiden. Nach dem virtuellen Design der dental gelagerten Bohrschablone wurde diese als Standard Tessellation Language (STL)-Datei exportiert.

Die Herstellung der Bohrschablone erfolgte additiv mittels Stereolithographie (SLA) Vat-3D-Drucker. Das verwendete biokompatible und autoklavierbare Material wurde in einer Schichtdicke von 100 µm gedruckt, die sich in einer früheren Studie als suffizient erwiesen hatte [Aretxabaleta et al., 2021]. Die Finalisierung der Bohrschablone erfolgte nach den Herstellerangaben. Zur präoperativen Kontrolle der Bohrschablone wurde zusätzlich ein Oberkiefermodell additiv hergestellt und die Passung der Schablone kontrolliert.
Insertion der Mini-Implantate
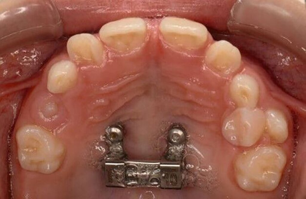
Die Zähne 36, 37, 46 und 47 wurden in Allgemeinanästhesie chirurgisch freigelegt. Zusätzlich wurden die beiden paramedianen Mini-Implantate (2 x 9 mm, Benefit System; PSM North America, Indio, CA) ohne Vorbohren mithilfe der zuvor hergestellten Schablone inseriert (Abbildung 3). Für die Platzierung der Mini-Implantate wurde ein Winkelschraubendreher verwendet. Direkt nach der Operation wurde die bmx DIRECT Hyrax-Schraube (10 mm, BENEfit®-System, Dentalline, Birkenfeld, Deutschland) an den Mini-Implantaten befestigt, um ein MARPE zu erzielen (Abbildung 4).
Die Eltern des Patienten wurden angewiesen, die Schraube einmal täglich zu aktivieren. Die gesamte Aktivierungszeit der Hyrax-Schraube betrug circa zehn Wochen. Während dieser Zeit vergrößerte sich die transversale Dimension des Oberkiefers um sieben Millimeter im posterioren Bereich (Milchmolaren) und um fünf Millimeter im anterioren Bereich (Milcheckzähne). Währenddessen trat ein mediales Diastema auf (Abbildungen 4b und 4c), das auf eine skelettale transversale Expansion des Oberkieferknochens hinwies. Nach der aktiven Expansionsphase der Hyrax-Apparatur wurde das Gerät für weitere Behandlungszwecke verwendet: Erstens als Retentionsgerät, um die bereits erzielte transversale Oberkieferbreite zu halten und zweitens als skelettal verankerte Apparatur zum Einstellen der retinierten und verlagerten Zähne mithilfe individuell angefertigter Kragarme. Hierfür wurde die Hyrax-Apparatur im zahntechnischen Labor modifiziert, indem Kreuzröhrchen für eine stationäre Befestigungen für die Drähte des Kragarms angebracht wurden.
Für die Zähne 13, 16, 23 und 26 wurde eine weitere chirurgische Freilegung durchgeführt. Zwei Kragarme (0,017 x 0,025 Zoll TMA-Draht, Dentaurum, Ispringen, Deutschland) wurden verwendet, um die Zähne 13 und 23 kieferorthopädisch in den Zahnbogen einzustellen. Danach wurde eine Teil-Multi-Bracket-Apparatur eingesetzt, um die eruptierten Zähne zu nivellieren (Abbildung 5b). Nach einer Behandlungsdauer von circa sechs Monaten waren die chirurgisch freigelegten Zähne optimal eingeordnet (Abbildungen 5c und 5d). Um die Lücke für die noch retinierten Prämolaren 15 und 25 zu öffnen, wurden in dieser Region auf den Teilbögen offene Federn angebracht. Danach wurden die Zähne 15 und 25 chirurgisch freigelegt und ebenfalls mithilfe von zwei Kragarmen (0,017 x 0,025 Zoll TMA-Draht) eingestellt (Abbildungen 5e und 5f, Abbildung 6).
Das Endergebnis ist in der Panoramaschichtaufnahme in Abbildung 6 gezeigt, in der beide Mini-Implantate keine Anzeichen einer periimplantären Osteolyse aufweisen. Während des Behandlungszeitraums von insgesamt 31 Monaten wurden keine unerwünschten Nebenwirkungen beobachtet.
Diskussion
Während des Wachstums ist der Zahndurchbruch ein wichtiger Faktor in der maxillofazialen Entwicklung. Das Auftreten eines ektopischen Zahndurchbruchs kann zu erheblichen Zahnfehlstellungen führen. Diese strukturelle Veränderung kann im stomatognathen System während des Wachstums zu einer Anpassung desselben führen, was eine Dysgnathie zur Folge hat [Björk und Skieller, 1972]. Die Durchbruchsstörung kann durch Faktoren wie Geschlecht, Alter oder ethnische Zugehörigkeit beeinflusst oder durch ein Syndrom wie zum Beispiel die Primäre Zahndurchbruchsstörung (Primary Failure of Eruption – PFE) verursacht werden [Proffit und Vig, 1981]. Des Weiteren kann der Zahndurchbruch durch pathologische Hindernisse wie Zysten, überzählige Zähne oder Traumata/Operationen ungünstig beeinflusst werden. Zu den gebräuchlichsten Begriffen, die eine Zahndurchbruchsstörung beschreiben, gehören „Impaktion“ und „Retention“.
Unter „Impaktion“ versteht man „das Sistieren des Durchbruchs, das durch eine radiologisch oder klinisch nachweisbare physische Barriere im Durchbruchsweg, zum Beispiel überzählige Zahnkeime, verursacht wird“ [Rajendran, 2014]. Zu den möglichen Ursachen zählen Platzmangel im Zahnbogen, ein vorzeitiger Milchzahnverlust sowie eine abnormale Position des Zahnkeims [Regezi et al., 2017]. Retention kann hingegen als primär oder sekundär definiert werden. Unter primärer Retention versteht man, dass ein Zahnkeim nicht eruptiert und im Kiefer verbleibt, obwohl dieser normal entwickelt oder richtig platziert ist und ein identifizierbares Hindernis fehlt [Andreasen et al., 2019]. Unter sekundärer Retention versteht man das Verbleiben des Zahnkeims im Kiefer ohne erkennbare physische Barriere, jedoch als Folge einer abnormalen Position [Andreasen et al., 2019; Raghoebar et al., 1989]. Die Begriffe „Impaktion“ und „Retention“ werden dabei in der Literatur häufig synonym verwendet. Der Zahndurchbruch ist ein multifaktoriell gesteuerter Vorgang, so dass das Fehlen eines Faktors durch einen anderen ausgeglichen werden kann. Wenn diese Kompensation jedoch nicht stattfindet, kann der Vorgang gestört sein. Dies führt möglicherweise zu einem verzögerten Zahndurchbruch.
Der Patientenfall ist ein Beispiel für die Verwendung CAD/CAM-gefertigter Bohrschablonen zur Insertion von Mini-Implantaten bei multiplen verlagerten Zahnkeimen sowie verzögertem Zahndurchbruch. Die Herausforderung lag in der Notwendigkeit der transversalen Oberkiefererweiterung und der chirurgischen Freilegung mehrerer Zähne sowie dem Bedarf einer skelettalen Verankerung zur Einstellung der freigelegten Zähne, da aufgrund des reduzierten Wechselgebisses eine dento-alveoläre Verankerungsmöglichkeit fehlte. Daher war eine skelettal verankerte Apparatur erforderlich, um zuerst den Oberkiefer orthopädisch zu erweitern, das Ergebnis zu retinieren und gleichzeitig ausreichend Stabilität für die Einstellung der Zähne zu gewährleisten.
Die zahlreichen verlagerten Zahnkeime im Oberkiefer stellten ein Problem bei der sicheren und risikofreien Positionierung der Mini-Implantate dar. Deren optimale Platzierung ist entscheidend, um eine langfristige Stabilität der Hyrax-Apparatur während der kieferorthopädischen Behandlung zu gewährleisten und mögliche Komplikationen zu vermeiden [Papageorgiou et al., 2012; Kravitz und Kusnoto, 2007]. Der Alveolarfortsatz wurde aufgrund des Risikos einer Schädigung der eruptierenden Zähne und der retinierten Keime nicht als sinnvoll für die Mini-Implantate-Insertion angesehen. Der retromolare Bereich wurde aufgrund ungeeigneter anatomischer Bedingungen für die Insertion ausgeschlossen [Ludwig et al., 2011]. Anhand der DVT-Aufnahme wurde der vordere Gaumenbereich als geeigneter Insertionsbereich erachtet [Wilmes et al., 2016]. Allerdings musste ein erhöhtes Risiko einer Zahnkeimverletzung, insbesondere der verlagerten oberen Eckzähne, berücksichtigt werden. Die DVT-Aufnahme zeigte eine ausreichende vertikale Knochendimension sowie bikortikale Lamellen. Somit konnte von ausreichender Stabilität für die Mini-Implantate ausgegangen werden [Arqub et al., 2021; Hourfar et al., 2017; Hourfar et al., 2015; Brettin et al., 2008].
Die Weichgewebebedingungen des harten Gaumens bieten günstige periimplantäre Gegebenheiten, da sie durch die einfache Erreichbarkeit für den jungen Patienten eine zufriedenstellende Mundhygiene ermöglichen [Karagkiolidou et al., 2013] und eine leichte Zugänglichkeit der kieferorthopädische Apparatur für die Aktivierung durch die Erziehungsberechtigten. Darüber hinaus ist dies kein sichtbarer Bereich, was für die Ästhetik von Vorteil ist. Für den Kieferorthopäden ist die Region zudem am Behandlungsstuhl gut erreichbar, so dass die Apparatur ohne zusätzliche Lokalanästhesie auf den Mini-Implantaten fixiert werden kann. Dies ermöglicht eine Vielzahl nichtinvasiver Verankerungsansätze für die erforderlichen Zahnbewegungen, insbesondere bei unzureichender dento-alveolärer Verankerung.
Bei der radiologischen Diagnostik bietet sich die DVT als Goldstandard für Patientinnen und Patienten mit multiplen verlagerten Zahnkeimen und verzögertem Zahndurchbruch an, da sie dem Kliniker ausreichende Informationen über die dreidimensionale Lokalisierung der Zahnkeime, potenziell überzählige Zähne, sensible Strukturen oder Wurzelresorptionen liefert [Hodges et al., 2013]. Dies ist entscheidend für eine präzise Diagnose, die eine fundierte Behandlungsplanung als Grundlage für eine erfolgreiche Therapie ermöglicht.
Im vorgestellten Beispiel wurde die DVT sowohl für die kieferorthopädische als auch für die chirurgische Behandlungsplanung verwendet. Daher ist die höhere Strahlenbelastung durch die DVT gegenüber einer Panoramaschichtaufnahme bei komplexen Patientenfällen gerechtfertigt und bietet einen maximalen Informationsgewinn. Darüber hinaus ermöglicht sie nicht nur eine prätherapeutische interdisziplinäre Diskussion über den Behandlungsplan, sondern auch eine exakte Planung für die Insertion von skelettalen Verankerungen [Bae et al., 2013; Qiu et al., 2012; Yu et al., 2012]. So war es möglich, die Lage der retinierten Zahnkeime zu bestimmen und sowohl die optimale Position als auch die Dimension der Mini-Implantate festzulegen.
Des Weiteren verbesserte eine geführte Insertion die Kontrolle von Neigung und Parallelität der Mini-Implantate, so dass die Stabilität der Hyrax-Apparatur erhöht ist [Migliorati et al., 2022; Becker et al., 2019]. Daher kann die Behandlungsplanung mithilfe der DVT als Mittel der Wahl im Vergleich zu zweidimensionalen Aufnahmen angesehen werden, wenn eine Mini-Implantat-Insertion erforderlich ist.
Der beschriebene Patientenfall stellte angesichts der skelettalen Klasse-III-Konfiguration und der engen Lage der Zahnkeime im Oberkiefer ein anspruchsvolles anatomisches Bild dar. Zunächst war eine transversale Oberkiefererweiterung erforderlich, um den Platz im Zahnbogen zu vergrößern und den intrinsischen Zahndurchbruch zu fördern. Aufgrund der zahlreichen verlagerten Zähne umfasste der Behandlungsplan nicht nur eine kieferorthopädische Therapie, sondern auch die Notwendigkeit einer chirurgischen Freilegung der verlagerten Zähne, um deren kieferorthopädische Einstellung in den Zahnbogen zu ermöglichen. Wegen der reduzierten Anzahl der Zähne durch das Wechselgebiss, des stark verzögerten Zahndurchbruchs sowie der Retention und Verlagerung einiger Zahnkeime war der Einsatz herkömmlicher kieferorthopädischer, dento-alveolär abgestützter Apparaturen nicht möglich.
Die zunehmende Verwendung kieferorthopädischer Mini-Implantate ohne eine dento-alveoläre Verankerung hat in letzter Zeit zur Entwicklung verschiedener, an den individuellen Behandlungsbedarf angepasster MARPE-Techniken geführt [Wilmes et al., 2022]. Aus den folgenden Gründen wurde die Verwendung einer Hyrax-Apparatur im vorgestellten Fall als optimal erachtet. Erstens ermöglichte sie die skelettale Erweiterung des Oberkiefers ohne, dass eine zusätzliche dento-alveoläre Verankerung, zum Beispiel an den ersten Molaren mittels einer Hybrid-Hyrax, notwendig gewesen wäre. Dadurch wird das Auftreten von potenziell mit dieser Apparatur verbundenen Komplikationen und unerwünschten dentalen Nebenwirkungen vermieden [Casaña-Ruiz et al., 2020; MacGinnis et al., 2014]. Des Weiteren ermöglicht die rein skelettale Abstützung den Einsatz der Apparatur nicht nur im jugendlichen Gebiss, sondern auch im parodontal geschädigten Erwachsenengebiss. Darüber hinaus wurde die Hyrax-Apparatur für mehrere Behandlungsschritte verwendet: Nach der transversalen Oberkiefererweiterung diente sie zur Retention des Ergebnisses sowie zur Einstellung der retinierten und verlagerten Zähne. Die Mini-Implantate können dabei aufgrund der hohen Primärstabilität sofort durch die Kraft der Hyrax-Apparatur belastet werden, ohne dass eine Osseointegration erforderlich ist [Hourfar et al., 2017]. Dies ermöglicht den direkten Beginn der RPE ohne eine Verzögerung in der Behandlung.
Ein vollständig digitaler Arbeitsablauf basiert auf der Verwendung medizinischer Bilddaten für das CAD-Design und die Herstellung eines patientenspezifischen medizinischen Geräts mittels CAM-Technologien. In diesem Fall wurden IOS- und DVT-Daten verwendet, um die Bohrschablone für die Mini-Implantate zu erstellen, deren Herstellung anschließend im additiven Fertigungsverfahren erfolgte. Die Verwendung eines vollständig digitalen Arbeitsablaufs kann in Patientenfällen mit komplexen anatomischen Voraussetzungen verschiedene Vorteile im Vergleich zu herkömmlichen Ansätzen bieten. Der Arbeitsablauf ist effizient durchführbar und einfach in den täglichen klinischen Alltag zu implementieren. Darüber hinaus kann die Implementierung digitaler Technologien menschliche Fehler verringern und so die Patientensicherheit erhöhen [Graf et al., 2018; Graf et al., 2017]. Diesen Vorteilen können jedoch Belastungen bei der Einführung digitaler Technologien, etwa anfängliche Investitionskosten und das Vorhandensein einer Lernkurve, gegenüberstehen und so die Einführung erschweren [Küffer et al., 2022].
Fazit für die Praxis
Computergestützte Navigationstechniken unter Verwendung von IOS und DVT ermöglichen eine patientenindividuelle, genaue und sichere Planung der Mini-Implantat-Insertion.
CAD/CAM-Technologien für die Gestaltung und Herstellung der Bohrschablone sind eine praktikable und effiziente Lösung, die leicht in die klinische Routine integriert werden kann.Der vorgestellte Workflow unter Verwendung von CAD/CAM-basierten Bohrschablonen könnte auch bei der Ausbildung unerfahrener Kliniker hilfreich sein.
Der vorgestellte Workflow unter Verwendung von CAD/CAM-basierten Bohrschablonen könnte auch bei der Ausbildung unerfahrener Kliniker hilfreich sein.
Die skelettal verankerte Hyrax-Apparatur bietet die Möglichkeit einer kieferorthopädischen Behandlung für komplexe Patientenfälle mit reduziertem Gebiss, wobei sowohl die transversale Erweiterung des Oberkiefers und deren Retention als auch die Einstellung der retinierten und verlagerten Zähne in den Zahnbogen mit einer einzigen Apparatur möglich sind.
Die Mini-Implantate und die Hyrax-Apparatur können in einer Sitzung eingebracht werden.
Durch die verwendete Bohrschablone wurde einerseits das Risiko der Verletzung der retinierten und verlagerten Zahnkeime verringert und andererseits durch eine parallele Insertion der Mini-Implantate die Stabilität und Effizienz der Hyrax-Apparatur erhöht.
Insgesamt zeigt das beschriebene klinische Beispiel, dass die Anwendung einer etablierten Methode wie der CAD/CAM-hergestellten Bohrschablone auch für die Insertion von Mini-Implantaten in komplexen kieferorthopädischen Fällen sinnvoll sein kann.
Literaturliste
Andreasen, J.O., Andreasen, F.M., Andersson, L. (Hrsg.) (2019): Textbook and Color Atlas of Traumatic Injuries to the Teeth. 5. Aufl., Hoboken, NJ, Chichester.
Andreasen, J.O., Sundström, B., Ravn, J.J. (1971): The effect of traumatic injuries to primary teeth on their permanent successors. I. A clinical and histologic study of 117 injured permanent teeth. in: Scand J Dent Res, 79, 4, S. 219–83.
Aretxabaleta, M., Unkovskiy, A., Koos, B., Spintzyk, S., Xepapadeas, A.B. (2021): Accuracy Evaluation of Additively and Subtractively Fabricated Palatal Plate Orthodontic Appliances for Newborns and Infants-An In Vitro Study. in: Materials (Basel), 14, 15.
Arqub, S.A., Gandhi, V., Mehta, S., Palo, L., Upadhyay, M., Yadav, S. (2021): Survival estimates and risk factors for failure of palatal and buccal mini-implants. in: Angle Orthod, 91, 6, S. 756–63.
Bae, M.-J., Kim, J.-Y., Park, J.-T., Cha, J.-Y., Kim, H.-J., Yu, H.-S., Hwang, C.-J. (2013): Accuracy of miniscrew surgical guides assessed from cone-beam computed tomography and digital models. in: Am J Orthod Dentofacial Orthop, 143, 6, S. 893–901.
Becker, K., Unland, J., Wilmes, B., Tarraf, N.E., Drescher, D. (2019): Is there an ideal insertion angle and position for orthodontic mini-implants in the anterior palate? A CBCT study in humans. in: Am J Orthod Dentofacial Orthop, 156, 3, S. 345–54.
Björk, A., Skieller, V. (1972): Facial development and tooth eruption. An implant study at the age of puberty. in: Am J Orthod, 62, 4, S. 339–83.
Brettin, B.T., Grosland, N.M., Qian, F., Southard, K.A., Stuntz, T.D., Morgan, T.A., Marshall, S.D., Southard, T.E. (2008): Bicortical vs monocortical orthodontic skeletal anchorage. in: Am J Orthod Dentofacial Orthop, 134, 5, S. 625–35.
Casaña-Ruiz, M.D., Bellot-Arcís, C., Paredes-Gallardo, V., García-Sanz, V., Almerich-Silla, J.M., Montiel-Company, J.M. (2020): Risk factors for orthodontic mini-implants in skeletal anchorage biological stability: a systematic literature review and meta-analysis. in: Sci Rep, 10, 1, S. 5848.
Clarenbach, T.-H., Wilmes, B., Ihssen, B., Vasudavan, S., Drescher, D. (2017): Hybrid hyrax distalizer and mentoplate for rapid palatal expansion, class III treatment, and upper molar distalization. in: J Clin Orthod, 51, 6, S. 317–25.
Costa, A., Raffainl, M., Melsen, B. (1998): Miniscrews as orthodontic anchorage: a preliminary report. in: Int J Adult Orthodon Orthognath Surg, 13, 3, S. 201–09.
Graf, S., Cornelis, M.A., Hauber Gameiro, G., Cattaneo, P.M. (2017): Computer-aided design and manufacture of hyrax devices: Can we really go digital? in: Am J Orthod Dentofacial Orthop, 152, 6, S. 870–74.
Hodges, R.J., Atchison, K.A., White, S.C. (2013): Impact of cone-beam computed tomography on orthodontic diagnosis and treatment planning. in: Am J Orthod Dentofacial Orthop, 143, 5, S. 665–74.
Hourfar, J., Bister, D., Kanavakis, G., Lisson, J.A., Ludwig, B. (2017): Influence of interradicular and palatal placement of orthodontic mini-implants on the success (survival) rate. in: Head Face Med, 13, 1, S. 14.
Hourfar, J., Ludwig, B., Bister, D., Braun, A., Kanavakis, G. (2015): The most distal palatal ruga for placement of orthodontic mini-implants. in: Eur J Orthod, 37, 4, S. 373–78.
Karagkiolidou, A., Ludwig, B., Pazera, P., Gkantidis, N., Pandis, N., Katsaros, C. (2013): Survival of palatal miniscrews used for orthodontic appliance anchorage: a retrospective cohort study. in: Am J Orthod Dentofacial Orthop, 143, 6, S. 767–72.
Kravitz, N.D., Kusnoto, B. (2007): Risks and complications of orthodontic miniscrews. in: Am J Orthod Dentofacial Orthop, 131, 4 Suppl, S43-51.
Küffer, M., Drescher, D., Becker, K. (2022): Application of the Digital Workflow in Orofacial Orthopedics and Orthodontics: Printed Appliances with Skeletal Anchorage. in: Applied Sciences, 12, 8, S. 3820.
Ludwig, B., Glasl, B., Bowman, S.J., Wilmes, B., Kinzinger, G.S.M., Lisson, J.A. (2011): Anatomical guidelines for miniscrew insertion: palatal sites. in: J Clin Orthod, 45, 8, 433-41; quiz 467.
MacGinnis, M., Chu, H., Youssef, G., Wu, K.W., Machado, A.W., Moon, W. (2014): The effects of micro-implant assisted rapid palatal expansion (MARPE) on the nasomaxillary complex--a finite element method (FEM) analysis. in: Prog Orthod, 15, 1, S. 52.
Migliorati, M., Drago, S., Pozzan, L., Contardo, L. (2022): Does the planned miniscrew position reflect the achieved one? A clinical study on the reliability of guided miniscrew insertion using lateral cephalogram and maxillary stereolithography file for planning. in: Am J Orthod Dentofacial Orthop, 162, 6, e312-e318.
Papageorgiou, S.N., Zogakis, I.P., Papadopoulos, M.A. (2012): Failure rates and associated risk factors of orthodontic miniscrew implants: a meta-analysis. in: Am J Orthod Dentofacial Orthop, 142, 5, 577-595.e7.
Proffit, W.R., Vig, K.W. (1981): Primary failure of eruption: a possible cause of posterior open-bite. in: Am J Orthod, 80, 2, S. 173–90.
Qiu, L., Haruyama, N., Suzuki, S., Yamada, D., Obayashi, N., Kurabayashi, T., Moriyama, K. (2012): Accuracy of orthodontic miniscrew implantation guided by stereolithographic surgical stent based on cone-beam CT-derived 3D images. in: Angle Orthod, 82, 2, S. 284–93.
Rad, A.S., Reid, J. (1996): Delayed eruption of a permanent molar associated with a complex odontoma: report of case. in: ASDC J Dent Child, 63, 4, S. 299–301.
Raghoebar, G.M., Boering, G., Jansen, H.W., Vissink, A. (1989): Secondary retention of permanent molars: a histologic study. in: J Oral Pathol Med, 18, 8, S. 427–31.
Rajendran, A. (2014): Shafer's Textbook of Oral Pathology. 7. Aufl., London.
Regezi, J.A., Scuibba, J.J., Jordan, R.C.K. (Hrsg.) (2017): Oral pathology, Clinical pathologic correlations, St. Louis.
Segner, D., Hasund, A. (1998): Individualisierte Kephalometrie. 3. Aufl., Hamburg.
Suri, L., Gagari, E., Vastardis, H. (2004): Delayed tooth eruption: pathogenesis, diagnosis, and treatment. A literature review. in: Am J Orthod Dentofacial Orthop, 126, 4, S. 432–45.
Weismann, C., Heise, K., Aretxabaleta, M., Cetindis, M., Koos, B., Schulz, M.C. (2024): Mini-Implant Insertion Using a Guide Manufactured with Computer-Aided Design and Computer-Aided Manufacturing in an Adolescent Patient Suffering from Tooth Eruption Disturbance. in: Bioengineering (Basel), 11, 1.
Wilmes, B., Ludwig, B., Vasudavan, S., Nienkemper, M., Drescher, D. (2016): The T-Zone: Median vs. Paramedian Insertion of Palatal Mini-Implants. in: J Clin Orthod, 50, 9, S. 543–51.
Wilmes, B., Ngan, P., Liou, E.J.W., Franchi, L., Drescher, D. (2014): Early class III facemask treatment with the hybrid hyrax and Alt-RAMEC protocol. in: J Clin Orthod, 48, 2, S. 84–93.
Wilmes, B., Nienkemper, M., Ludwig, B., Kau, C.H., Drescher, D. (2011): Early Class III treatment with a hybrid hyrax-mentoplate combination. in: J Clin Orthod, 45, 1, 15-21; quiz 39.
Wilmes, B., Tarraf, N.E., Gabriele, R. de, Dallatana, G., Drescher, D. (2022): Procedure using CAD/CAM-manufactured insertion guides for purely mini-implant-borne rapid maxillary expanders. in: J Orofac Orthop, 83, 4, S. 277–84.
Yu, J.-J., Kim, G.-T., Choi, Y.-S., Hwang, E.-H., Paek, J., Kim, S.-H., Huang, J.C. (2012): Accuracy of a cone beam computed tomography-guided surgical stent for orthodontic mini-implant placement. in: Angle Orthod, 82, 2, S. 275–83























