Koronaler Verschiebelappen und Tunneltechnik
In den vergangenen Jahrzehnten wurden verschiedene chirurgische Techniken, Weichgewebstransplantate und Biomaterialien zur Deckung gingivaler Rezessionsdefekte beschrieben, die alle bei entsprechender Indikation (Rezessionstyp 1 – RT1 / Miller-Klassen I und II) eine erfolgreiche Behandlung ermöglichen [Chambrone et al., 2019]. Dabei können unterschiedliche Verschiebelappentechniken (lateraler Verschiebelappen, doppelter Papillenlappen, koronaler Verschiebelappen) alleine oder in Kombination mit freien Weichgewebstransplantaten oder Weichgewebsersatzmaterialien zum Einsatz kommen [Cairo et al., 2008; Cairo et al., 2017; Chambrone et al., 2019; Chambrone et al., 2022]. Der koronale Verschiebelappen (KVL) gilt dabei zweifelsohne als gängigste operative Technik bei der Rezessionsdeckung. Als mögliche Alternative zum KVL hat in den vergangenen Jahren insbesondere die Tunneltechnik als minimalinvasive chirurgische Technik zunehmend an Bedeutung gewonnen [Aroca et al., 2013]. Der vorliegende Beitrag gibt eine vergleichende Übersicht über die Vor- und Nachteile des KVL und der Tunneltechnik im Rahmen der chirurgischen Rezessionsdeckung.
Der koronale Verschiebelappen
Der koronale Verschiebelappen eignet sich für die Behandlung sowohl von singulären als auch von multiplen Rezessionen. Dabei wird das verbliebene keratinisierte Gewebe apikal des Rezessionsdefekts nach koronal mobilisiert und damit die exponierte Wurzeloberfläche abgedeckt. Als wichtigste Vorteile dieser Technik gelten dabei die einfache technische Umsetzung, die gute Tolerierbarkeit durch die Patienten und optimale ästhetische Ergebnisse [Zucchelli & Mounssif, 2015].
Koronaler Verschiebelappen zur Deckung singulärer Rezessionen
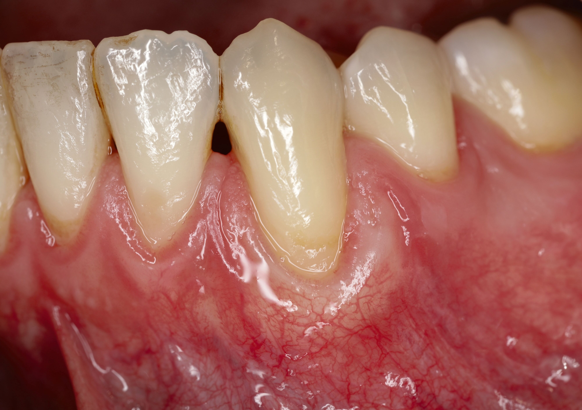
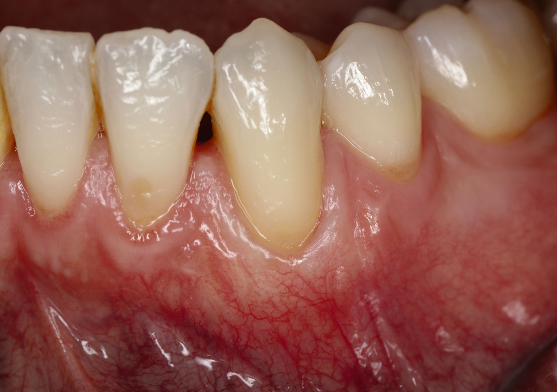
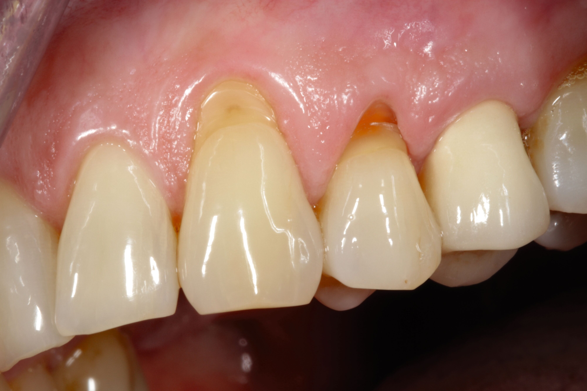
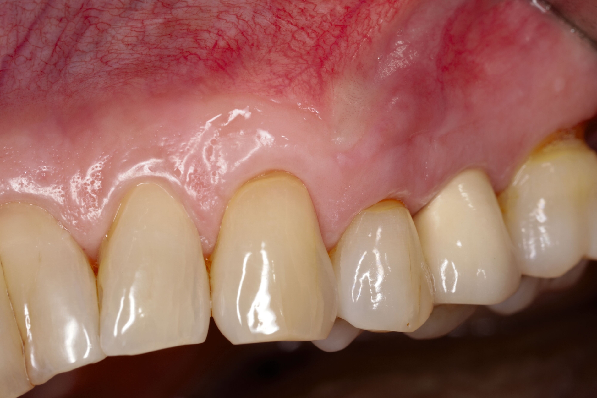
Die Technik des koronalen Verschiebelappens wurde erstmalig 1926 von Norberg beschrieben und seitdem kontinuierlich weiterentwickelt und modifiziert [Bernimoulin et al., 1975; Allen & Miller, 1989; Pini Prato et al., 1992]. Die Modifikationen beziehen sich dabei im Wesentlichen auf das Lappendesign (triangulär, trapezförmig) [Zucchelli et al., 2016], die Inzisionen (mit oder ohne vertikale Entlastungsinzisionen) [Allen & Miller, 1989; Bruno, 1994] und die Lappenpräparation (Split, Full) [Allen & Miller, 1989; Pini Prato et al., 2018]. Die von De Sanctis & Zucchelli [2007] beschriebene Modifikation des KVL hat in den vergangenen Jahren weite Verbreitung gefunden und sich als erste Wahl unter den verfügbaren Lappendesigns platziert (Abbildungen 1 bis 6).
Der modifizierte KVL ist gekennzeichnet durch ein trapezförmiges Lappendesign und eine Split-Full-Split-Lappenelevation [De Sanctis & Zucchelli, 2007; Cairo et al., 2017; Stefanini et al., 2018]. Die Präparation des koronalen Verschiebelappens beginnt mit jeweils zwei horizontalen abgeschrägten Inzisionslinien (circa 3 mm Länge), die mesial und distal des Rezessionsdefekts im Bereich der Papillenbasis angelegt werden. Diese Inzisionslinien entsprechen der koronalen Begrenzung der chirurgischen Papillen. Die Höhe, auf der die horizontalen Inzisionslinien angelegt werden, ergibt sich aus der Rezessionstiefe plus 1 mm und wird von der anatomischen Papillenspitze aus gemessen (Abbildung 1). Dadurch kann der Lappen nach erfolgter Elevation 1 mm koronal der Schmelz-Zement-Grenze positioniert werden, um so eine mögliche Gewebekontraktion postoperativ zu kompensieren. Ausgehend von den horizontalen Inzisionen erfolgen zwei leicht divergierende und etwas abgeschrägte vertikale Inzisionen, die bis über die mukogingivale Grenzlinie in den Bereich der Alveolarmukosa (circa 3–4 mm) geführt werden.
Der daraus resultierende trapezförmige Lappen wird anschließend als kombinierter Split-Full-Split-Lappen von koronal nach apikal präpariert. Dabei erfolgt zunächst die Präparation der markierten chirurgischen Papillen als Spaltlappen. Anschließend wird das Weichgewebe apikal der Rezession mit einem Raspatorium bis circa 3–4 mm über die bukkale knöcherne Dehiszenz als Volllappen präpariert. Dadurch wird sichergestellt, dass in diesem Anteil des Lappens, der für die Abdeckung der exponierten Wurzeloberfläche verwendet wird, eine ausreichende Gewebedicke inklusive Periosteum verbleibt. Um eine spannungsfreie Mobilisation des Lappens nach koronal zu ermöglichen, wird der apikale Anteil des Lappens als Spaltlappen präpariert, zusätzlich werden alle Muskelinsertionen eliminiert. Es folgt eine Entepithelisierung der anatomischen Papillen koronal der horizontalen Inzisionen, um so eine bindegewebige Auflagefläche zu schaffen, auf der die chirurgischen Papillen abschließend fixiert werden. Der Nahtverschluss setzt sich zusammen aus einer einfachen Umschlingungsnaht im Bereich der interdentalen Papillen und Einzelknopfnähten im Bereich der vertikalen Inzisionen.
Der KVL kann erfolgreich eingesetzt werden, wenn apikal des Rezessionsdefekts ein ausreichend breites Band an keratinisiertem Gewebe (2 mm) und ausreichend Gewebedicke (≥ 1 mm) vorhanden sind [Zucchelli & Mounssif, 2015; Stefanini et al., 2018]. Verschiedene anatomische Faktoren können allerdings die technische Durchführbarkeit und den Erfolg der Behandlung einschränken. Dazu gehören ein interdentaler Attachmentverlust, das Vorhandensein einer gingivalen Spalte bis in den Bereich der Alveolarmukosa, marginal einstrahlende Lippen- und Wangenbänder, ein weit fortgeschrittener Zahnhartsubstanzverlust im Bereich der Wurzeloberfläche, weit nach bukkal dislozierte Wurzeln und ein sehr flaches Vestibulum [Zucchelli & Mounssif, 2015; Stefanini et al., 2018].
De Sanctis & Zucchelli [2007] konnten mit dem oben beschriebenen modifizierten KVL bei singulären Rezessionen eine mittlere Wurzeldeckung von 99 Prozent und eine vollständige Wurzeldeckung von 88 Prozent nach zwölf Monaten erzielen. Nach drei Jahren betrug die mittlere Wurzeldeckung 97 Prozent und die vollständige Wurzeldeckung 85 Prozent. Cairo et al. [2008] kamen in ihrem systematischen Review zu dem Schluss, dass der KVL ein sicherer und vorhersagbarer Ansatz für die Behandlung von singulären Rezessionen darstellt. Die mittlere Wurzeldeckung lag dabei zwischen 34 und 87 Prozent. Pini Prato et al. [2018] konnten mit einem KVL, der als trapezförmiger Volllappen präpariert wurde, bei singulären Rezessionen eine mittlere Wurzeldeckung von 69 Prozent und eine komplette Wurzeldeckung von 34 Prozent erzielen. Allerdings zeigte sich, dass nach 20 Jahren die mittlere Wurzeldeckung noch lediglich 56 Prozent und die vollständige Wurzeldeckung 25 Prozent betrug. Dabei konnte gezeigt werden, dass sich insbesondere das Vorhandensein von weniger als 2 mm an keratinisiertem Gewebe negativ auf die Langzeitstabilität des marginalen Weichgewebes auswirkte.
Koronaler Verschiebelappen zur Deckung multipler Rezessionen
Die Behandlung von multiplen Rezessionen gilt generell anspruchsvoller als die Behandlung von singulären Rezessionen. Dies lässt sich darauf zurückführen, dass der chirurgische Eingriffsbereich erweitert ist und oftmals zahlreiche anatomische Variationen vorliegen, wie zum Beispiel prominente Wurzelstellungen, tiefe Zahnhartsubstanzdefekte im Bereich der Wurzel(n) und Ungleichmäßigkeiten des residualen keratinisierten Gewebes. Zudem erfordert die Behandlung von multiplen Rezessionen häufig mehrere chirurgische Eingriffe [Cairo et al., 2017].
Bernimoulin et al. beschrieben 1975 eine chirurgische Technik zur Deckung multipler Rezessionen, bei der zunächst das keratinisierte Gewebe apikal der Rezessionen mittels freiem Schleimhauttransplantat (FST) augmentiert wurde und anschließend nach zwei Monaten ein KVL durchgeführt wurde. Die Lappentechnik war hierbei gekennzeichnet durch das Anlegen von interdentalen chirurgischen Papillenspitzen und einer kombinierten Full-Split-Lappenpräparation. Zusätzlich wurden zwei vertikale Entlastungsinzisionen angelegt. Mit dieser Technik konnte eine vollständige Wurzeldeckung von 43 Prozent nach einem Jahr erzielt werden.
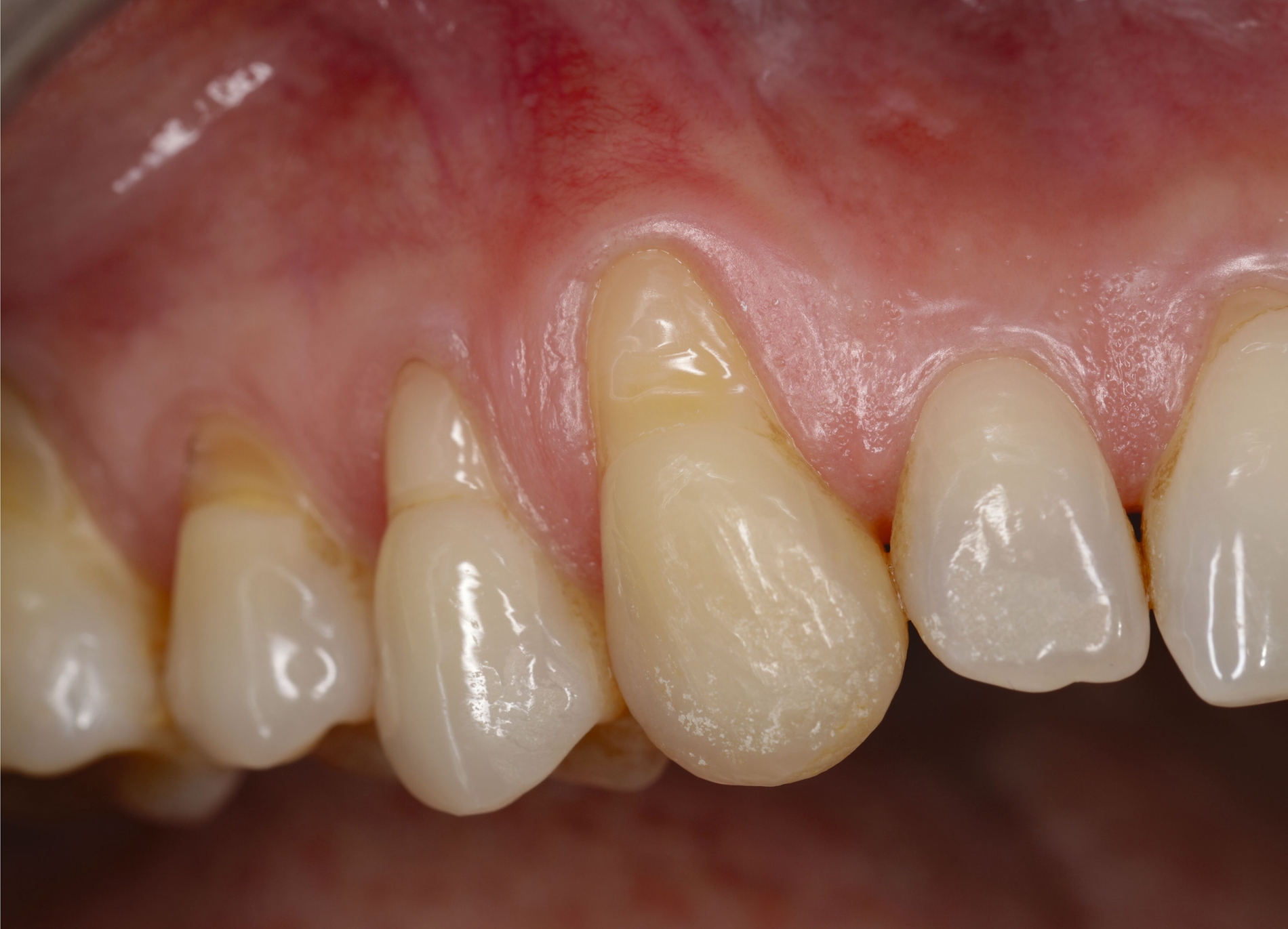
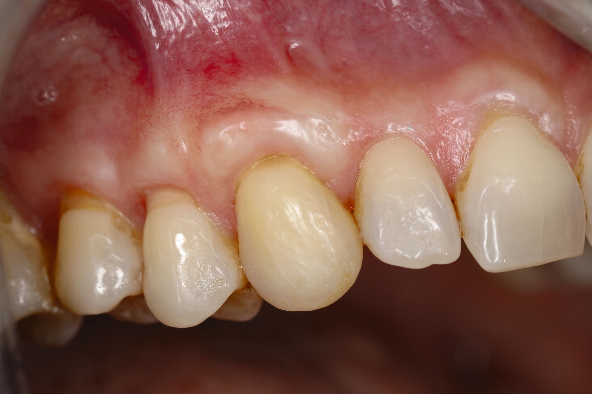
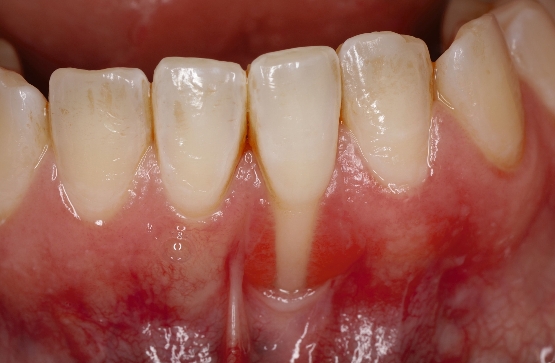
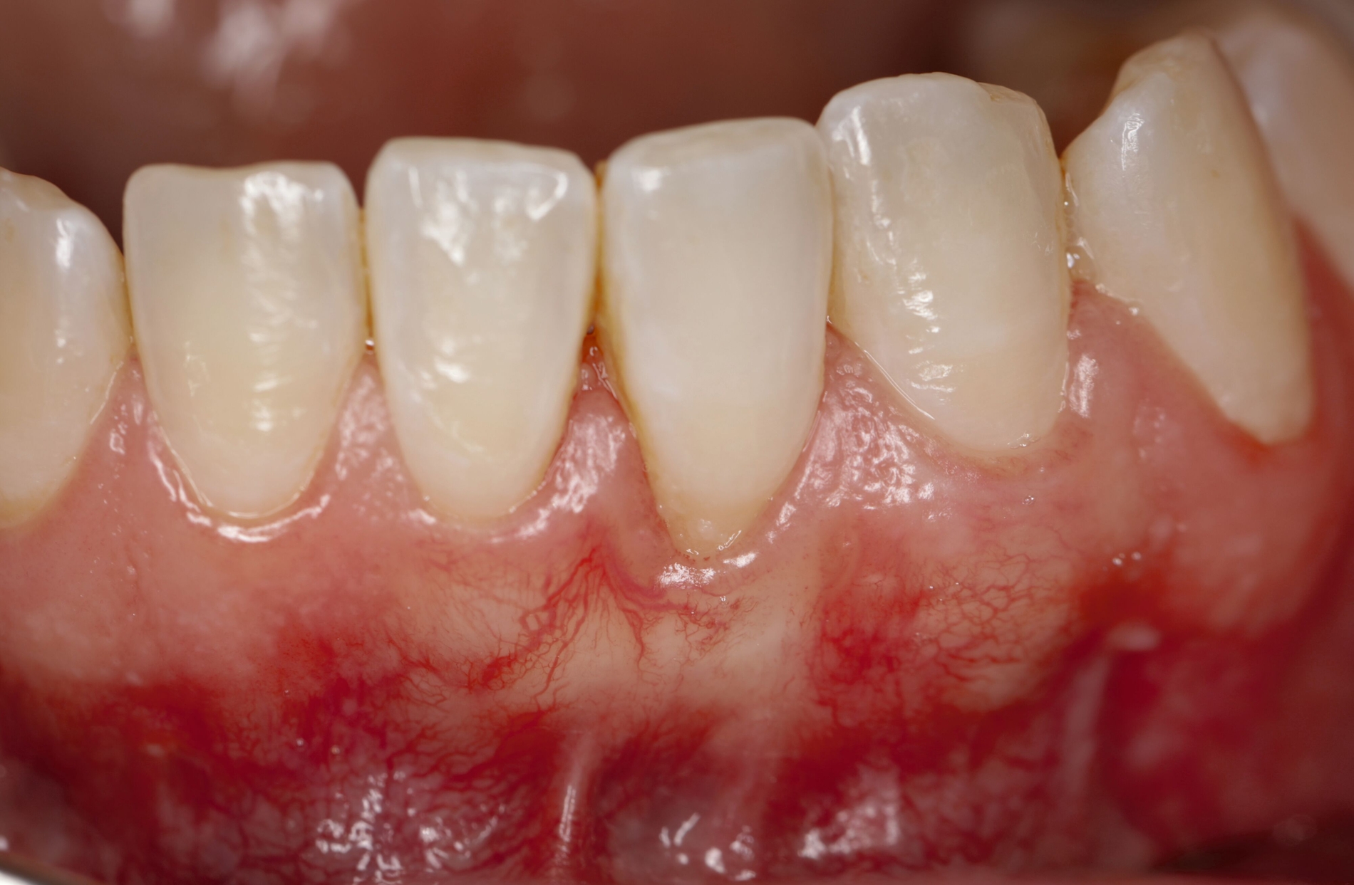
Zucchelli & De Sanctis [2000] führten eine Modifikation des KVL für die Behandlung von multiplen Rezessionen ein. Dabei handelt es sich um einen Envelope-Flap, der auf vertikale Entlastungsinzisionen verzichtet und analog zur Vorgehensweise beim modifizierten KVL für singuläre Rezessionen [De Sanctis & Zucchelli, 2007] als kombinierter Split-Full-Split-Lappen präpariert wird (Abbildungen 7 bis 11). Bei dieser Technik werden zunächst horizontale Inzisionen angelegt, die interdental schräg verlaufen und im Bereich der Rezessionsdefekte intrasulkulär fortgeführt werden. Die so kreierten chirurgischen Papillen werden anschließend als Spaltlappen präpariert, gefolgt von einer Volllappenpräparation apikal des Rezessionsdefekts und einer Spaltlappenpräparation apikal der knöchernen Dehiszenz. Es folgen die Entepithelisierung der anatomischen Papillen und die abschließende Lappenpositionierung koronal der Schmelz-Zement-Grenze mittels Umschlingungsnähten.
Die Vorteile dieser Technik liegen in der guten Blutversorgung des Lappens und der Vermeidung von Narbenbildung. Durch die Behandlung mit dieser Technik konnte nach zwölf Monaten eine mittlere Wurzeldeckung von 97 Prozent und eine vollständige Wurzeldeckung von 88 Prozent erzielt werden [Zucchelli & De Sanctis, 2000]. Weiterhin konnte in einer Langzeituntersuchung über fünf Jahre nachgewiesen werden, dass die nach einem Jahr erzielten Ergebnisse stabil blieben [Zucchelli & De Sanctis, 2005]. So betrug zu diesem Zeitpunkt die mittlere Wurzeldeckung immer noch 94 Prozent und die vollständige Wurzeldeckung 85 Prozent.
In einer weiteren Studie untersuchten Zucchelli et al. [2009] die klinischen und ästhetischen Ergebnisse des KVL mit und ohne vertikale Entlastungsinzisionen bei der Behandlung von multiplen Rezessionsdefekten. Dabei zeigte sich ein Jahr postoperativ kein signifikanter Unterschied bezüglich Rezessionsreduktion und Attachmentgewinn. Allerdings zeigte der modifizierte KVL ohne vertikale Entlastungsinzisionen eine höhere Wahrscheinlichkeit für eine vollständige Wurzeldeckung und eine größere Zunahme an keratinisiertem Gewebe im Vergleich zum KVL mit vertikalen Entlastungsinzisionen. Zudem zeigte die ästhetische Beurteilung der Fälle durch einen erfahrenen Parodontologen bessere Ergebnisse für den modifizierten KVL, da der KVL mit vertikalen Entlastungsinzisionen oftmals mit der Ausbildung von Narbengewebe assoziiert war.
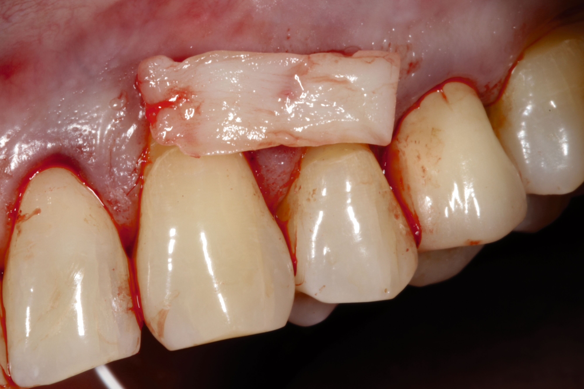
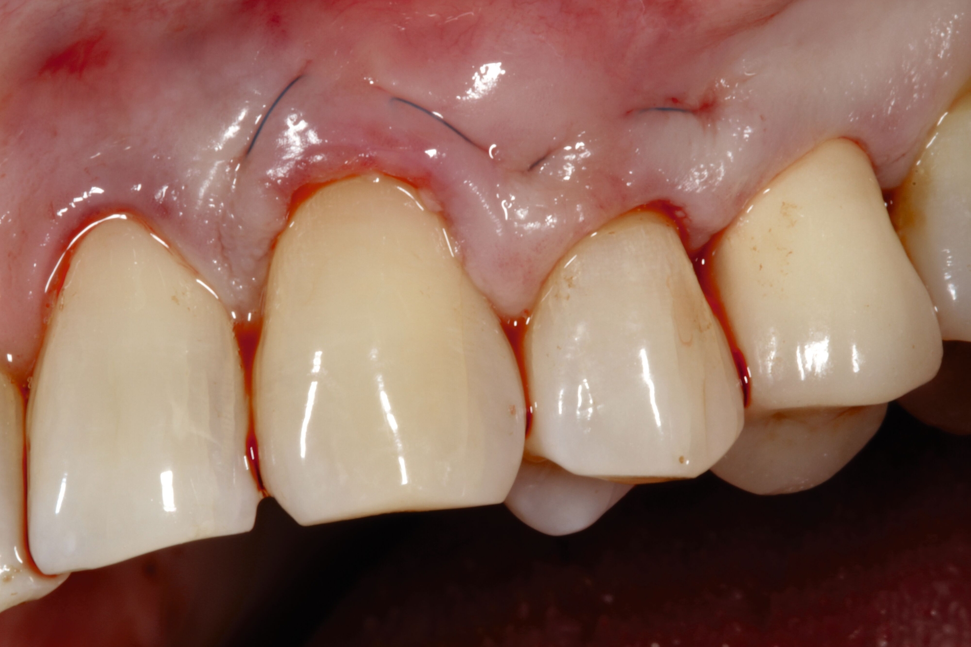
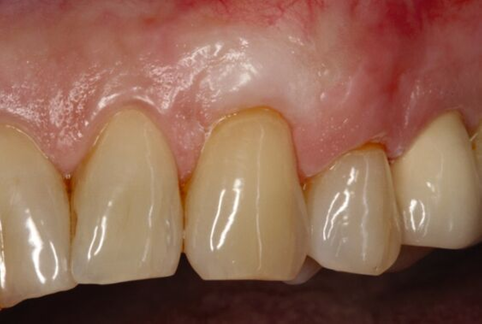
Koronaler Verschiebelappen in Kombination mit subepithelialem Bindegewebstransplantat
Der KVL kann als sicherer und vorhersagbarer Eingriff mit guten ästhetischen Ergebnissen sowohl bei singulären als auch bei multiplen Rezessionsdefekten angesehen werden. Voraussetzung für den alleinigen Einsatz des KVL ist allerdings das Vorhandensein von ausreichend keratinisiertem Gewebe apikal der Rezession(en). Bei fehlender Breite und/oder Dicke an keratinisiertem Gewebe sowie bei Vorliegen von tiefen radikulären Zahnhartsubstanzdefekten und prominenten Wurzelstellungen ist der zusätzliche Einsatz eines subepithelialen Bindegewebstransplantats (BGT) indiziert [Zucchelli & Mounssif, 2015; Stefanini et al., 2018]. Das BGT stabilisiert dabei den KVL und minimiert die postoperative Schrumpfung des marginalen Weichgewebes in apikaler Richtung. Dadurch lassen sich die Vorhersagbarkeit des Eingriffs und die Wahrscheinlichkeit für eine vollständige Wurzeldeckung verbessern. Weiterhin resultiert der zusätzliche Einsatz des BGT in einer Verdickung des marginalen Weichgewebes und dadurch stabileren Langzeitergebnissen im Vergleich zum alleinigen KVL [Zucchelli et al., 2014]. Zweifelsohne gilt heutzutage der KVL in Kombination mit einem BGT als Goldstandard bei der Behandlung von singulären und multiplen Rezessionen [Chambrone et al., 2019].
Tunneltechnik
Neben dem KVL hat in den vergangenen Jahren die Tunneltechnik bei der Behandlung von Rezessionen breite Anwendung gefunden (Abbildungen 12 bis 16). Die Entwicklung dieser Technik geht auf Raetzke [1985] zurück, der die Envelope-Technik zur Behandlung singulärer Rezessionen beschrieb. Dabei erfolgt im Bereich der Rezession ausgehend von einer sulkulären Inzision die Präparation eines Spaltlappens und Bildung einer Gewebetasche (Envelope), in die anschließend ein BGT inseriert wird. Darauf basierend erfolgte die Ausdehnung auf multiple Rezessionen und die Entwicklung der Tunneltechnik durch Allen [1994] und Zabalegui et al. [1999]. Auch hier erfolgt zunächst eine Spaltlappenpräparation ausgehend von sulkulären Inzisionen. Durch die Verbindung der einzelnen Rezessionen interdental entsteht so ein Gewebetunnel, in den anschließend ein BGT eingezogen wird. Die Rezessionsdeckung kommt dabei lediglich über das exponierte BGT zustande, da hier keine Mobilisation des präparierten Tunnels nach koronal erfolgt.
Zuhr et al. [2007] führten eine Modifikation der Tunneltechnik ein, bei der mikrochirurgische Prinzipien zum Einsatz kommen und zusätzlich zur bukkalen Spaltlappenpräparation die interdentalen Papillen vom Knochen gelöst werden. Dadurch lässt sich der gesamte Weichgewebskomplex nach koronal mobilisieren und das inserierte BGT vollständig abdecken. Bei der von Aroca et al. [2010, 2013] beschriebenen modifizierten koronal verschobenen Tunneltechnik (MKVT) erfolgt zunächst eine Volllappenpräparation des bukkalen Weichgewebes bis über die mukogingivale Grenze und der interdentalen Papillen. Anschließend erfolgt die Fixation des tunnelierten Lappens mittels Aufhängenähten nach vorheriger Verblockung der Approximalkontakte mit Komposit. Auch hier soll das inserierte BGT vollständig abgedeckt sein.
Eine weitere Modifikation der Tunneltechnik ist der lateral geschlossene Tunnel (LGT), der speziell für tiefe, singuläre Rezessionsdefekte im Unterkiefer entwickelt wurde [Sculean & Allen, 2018]. In solch einer klinischen Situation ergibt sich oftmals die Schwierigkeit, dass mit der Tunneltechnik eine spannungsfreie koronale Mobilisation des Lappens nicht möglich ist, insbesondere bei Vorliegen eines flachen Vestibulums. Beim LGT erfolgt zunächst die Präparation des Tunnels analog zur MKVT – mit dem Unterschied, dass anschließend anstelle einer koronalen Mobilisation des Weichgewebes die mobilisierten seitlichen Wundränder über der Wurzeloberfläche zusammengeführt werden, um das BGT und die Rezession zu decken (Abbildungen 17 bis 21).
Zu den entscheidenden Vorteilen der Tunneltechnik zählen die gute Blutversorgung, die schnelle Wundheilung und geringe postoperative Morbidität [Tavelli et al., 2018]. Ein weiterer Vorteil liegt in den positiven ästhetischen Ergebnissen, die darauf zurückzuführen sind, dass bei der Tunneltechnik auf vertikale Entlastungsinzisionen verzichtet wird und die Papillen vollständig erhalten bleiben.
Die Metaanalyse von Tavelli et al. [2018] zeigt, dass die Tunneltechnik als äußerst effektiver Eingriff bei der Behandlung von Rezessionsdefekten angesehen werden kann. So betrug die mittlere Wurzeldeckung 83 Prozent bei singulären Rezessionen und 88 Prozent bei multiplen Rezessionen. Die vollständige Wurzeldeckung betrug 47 Prozent bei singulären Rezessionen und 58 Prozent bei multiplen Rezessionen.
Koronaler Verschiebelappen versus Tunneltechnik
Sowohl der KVL als auch die Tunneltechnik können erfolgreich bei singulären wie auch bei multiplen Rezessionen eingesetzt werden. Während der KVL bei entsprechender Indikation auch allein eingesetzt werden kann, erfolgt die Tunneltechnik stets in Kombination mit einem BGT. In einer aktuellen Metaanalyse [Mayta-Tovalino et al., 2023] wurde die Wirksamkeit des KVL und der Tunneltechnik bei der Behandlung von multiplen Rezessionen miteinander verglichen. Dabei konnte kein signifikanter Unterschied bezüglich der relevanten klinischen Parameter zwischen KVL und der Tunneltechnik gefunden werden. Dies war unabhängig davon, ob ein BGT oder Weichgewebsersatzmaterial zum Einsatz kam.
Die Entscheidung für den Einsatz des KVL oder der Tunneltechnik sollte stets individuell unter Berücksichtigung patientenbezogener Faktoren und der anatomischen Gegebenheiten erfolgen. So kann sich der Einsatz der Tunneltechnik in bestimmten klinischen Situationen durchaus als schwierig gestalten. Dies ist zum Beispiel der Fall bei Vorliegen eines breiten Bandes an keratinisiertem Gewebe (> 4 mm), bei einem irregulären Profil des bukkalen Knochens mit Konkavitäten und Exostosen und bei einem dünnen Gewebetyp (< 1 mm) [Rodriguez et al., 2024]. Weiterhin kann ein flaches Vestibulum, dünne schmale Papillen und die Nähe zum Foramen mentale den Einsatz der Tunneltechnik einschränken. Darüber hinaus muss berücksichtigt werden, dass es sich bei der Tunneltechnik um einen techniksensitiven Eingriff handelt und somit die klinischen Skills des Behandlers entscheidend sind, um das gewünschte Behandlungsergebnis zu erzielen.
Zusammenfassung
Zusammenfassend lässt sich schlussfolgern, dass bei entsprechender Indikation sowohl der KVL als auch die Tunneltechnik erfolgreich bei singulären und multiplen Rezessionen eingesetzt werden können. Bei der Entscheidung für die eine oder andere Technik sollten insbesondere die vorliegenden anatomischen Variationen des Hart- und Weichgewebes und die Expertise des Behandlers berücksichtigt werden.
Prof. Dr. Dr. h.c. Adrian Kasaj, MSc.
Poliklinik für Parodontologie und Zahnerhaltung
Universitätsmedizin Mainz
Augustusplatz 2, 55131 Mainz
Kasaj@gmx.de
1994–2000: Studium der Zahnheilkunde in Zagreb/Kroatien
2000–2001: Assistent in freier Praxis
Seit 2001: Wissenschaftlicher Mitarbeiter in der Poliklinik für Zahnerhaltungskunde der Universitätsmedizin Mainz
2006: Ernennung zum Spezialisten für Parodontologie® der DGParo
2007: Spezialist für Parodontologie der European Dental Association (EDA)
2009: Habilitation und Ernennung zum Privatdozenten
2010–2018: Vorstandsmitglied der Neuen Arbeitsgruppe Parodontologie (NAgP)
Seit 2013: Vorstandsmitglied des Berufsverbands der Fachzahnärzte und Spezialisten für Parodontologie (BFSP)
2014: Master of Science in Oraler Implantologie (DGI)
2016: Ernennung zum außerplanmäßigen Professor, Universität Mainz
Autor und Co-Autor von mehr als 100 Publikationen im Bereich Parodontologie, Mitglied im wissenschaftlichen Beirat zahlreicher Fachzeitschriften, Herausgeber des Buches „Gingival Recession Management – A Clinical Manual" (Springer), Editor-in-Chief Periodontal and Implant Research
Literaturliste
Allen AL. Use of the supraperiosteal envelope in soft tissue grafting for root coverage. II. Clinical results. In J Periodontics Restorative Dent. 1994; 14(4):302-15.
Allen EP, Miller PD Jr. Coronal positioning of existing gingiva: short term results in the treatment of shallow marginal tissue recession. J Periodontol. 1989; 60(6):316-9.
Aroca S, Keglevich T, Nikolidakis D, Gera I, Nagy K, Azzi R, Etienne D. Treatment of class III multiple gingival recessions: a randomized-clinical trial. J Clin Periodontol. 2010; 37(1):88-97.
Aroca S, Molnár B, Windisch P, Gera I, Salvi GE, Nikolidakis D, Sculean A. Treatment of multiple adjacent Miller class I and II gingival recessions with a Modified Coronally Advanced Tunnel (MCAT) technique and a collagen matrix or palatal connective tissue graft: a randomized, controlled clinical trial. J Clin Periodontol. 2013; 40(7):713-20.
Bernimoulin JP, Lüscher B, Mühlemann HR. Coronally repositioned flap. Clinical evaluation after one year. J Clin Periodontol. 1975; 2(1):1-13.
Bruno JF. Connective tissue graft technique assuring wide root coverage. Int J Periodontics Restorative Dent. 1994; 14(2):126-37.
Cairo F, Pagliaro U, Nieri M. Treatment of gingival recession with coronally advanced flap procedures: a systematic review. J Clin Periodontol. 2008; 35(8 Suppl):136-62.
Cairo F. Periodontal plastic surgery of gingival recessions at single and multiple teeth. Periodontol 2000. 2017; 75(1):296-316.
Chambrone L, Botelho J, Machado V, Mascarenhas P, Mendes JJ, Avila-Ortiz G. Does the subepithelial connective tissue graft in conjunction with a coronally advanced flap remain as the gold standard therapy for the treatment of single gingival recession defects? A systematic review and network meta-analysis. J Periodontol. 2022; 93(9):1336-1352.
Chambrone L, Ortega MAS, Sukekava F, Rotundo R, Kalemaj Z, Buti J, Prato GPP. Root coverage procedures for treating single and multiple recession-type defects: An updated Cochrane systematic review. J Periodontol. 2019; 90(12):1399-1422.
De Sanctis M, Zucchelli G. Coronally advanced flap: a modified surgical approach for isolated recession-type defects: three-year results. J Clin Periodontol. 2007; 34(3):262-8.
Mayta-Tovalino F, Barboza JJ, Pasupuleti V, Hernandez AV. Efficacy of tunnel technique (TUN) versus coronally advanced flap (CAF) in the management of multiple gingival recession defects: A meta-analysis. Int J Dent. 2023; 2023:8671484.
Norberg O. Ar en utlakning utan vov-nadsfortust otankbar vid kirurgisk behandling av. S. K. Alveolarpyorrhoe? Svensk Tandlaekare Tidskrift. 1926; 19:171-172.
Pini Prato G, Tinti C, Vincenzi G, Magnani C, Cortellini P, Clauser C. Guided tissue regeneration versus mucogingival surgery in the treatment of human buccal gingival recession. J Periodontol. 1992; 63(11):919-28.
Pini Prato GP, Franceschi D, Cortellini P, Chambrone L. Long-term evaluation (20 years) of the outcomes of subepithelial connective tissue graft plus coronally advanced flap in the treatment of maxillary single recession-type defects. J Periodontol. 2018; 89(11):1290-1299.
Raetzke PB. Covering localized areas of root exposure employing the „envelope“ technique. J Periodontol. 1985; 56(7):397-402.
Rodriguez AB, Chan HL, Velasquez D. Anatomy-driven complexity classification for soft-tissue tunneling procedures. Clin Adv Periodontics. 2024; 14(2):113-120.
Sculean A, Allen EP. The laterally closed tunnel for the treatment of deep isolated mandibular recessions: Surgical technique and a report of 24 cases. Int J Periodontics Restorative Dent. 2018; 38(4):479-487.
Stefanini M, Marzadori M, Aroca S, Felice P, Sangiorgi M, Zucchelli G. Decision making in root-coverage procedures for the esthetic outcome. Periodontol 2000. 2018; 77(1):54-64.
Tavelli L, Barootchi S, Nguyen TVN, Tattan M, Ravidà A, Wang HL. Efficacy of tunnel technique in the treatment of localized and multiple gingival recessions: A systematic review and meta-analysis. J Periodontol. 2018; 89(9):1075-1090.
Zabalegui I, Sicilia A, Cambra J, Gil J, Sanz M. Treatment of multiple adjacent gingival recessions with the tunnel subepithelial connective tissue graft: a clinical report. Int J Periodontics Restorative Dent. 1999; 19(2):199-206.
Zucchelli G, De Sanctis M. Long-term outcome following treatment of multiple Miller class I and II recession defects in esthetic areas of the mouth. J Periodontol. 2005; 76(12):2286-92.
Zucchelli G, De Sanctis M. Treatment of multiple recession-type defects in patients with esthetic demands. J Periodontol. 2000; 71(9):1506-14.
Zucchelli G, Mele M, Mazzotti C, Marzadori M, Montebugnoli L, De Sanctis M. Coronally advanced flap with and without vertical releasing incisions for the treatment of multiple gingival recessions: a comparative controlled randomized clinical trial. J Periodontol. 2009; 80(7):1083-94.
Zucchelli G, Mounssif I, Mazzotti C, Stefanini M, Marzadori M, Petracci E, Montebugnoli L. Coronally advanced flap with and without connective tissue graft for the treatment of multiple gingival recessions: a comparative short- and long-term controlled randomized clinical trial. J Clin Periodontol. 2014; 41(4):396-403.
Zucchelli G, Mounssif I. Periodontal plastic surgery. Periodontol 2000. 2015; 68(1):333-68.
Zucchelli G, Stefanini M, Ganz S, Mazzotti C, Mounssif I, Marzadori M. Coronally advanced flap with different designs in the treatment of gingival recession: A comparative controlled randomized clinical trial. Int J Periodontics Restorative Dent. 2016; 36(3):319-27.
Zuhr O, Fickl S, Wachtel H, Bolz W, Hürzeler MB. Covering of gingival recessions with a modified microsurgical tunnel technique: case report. Int J Periodontics Restorative Dent. 2007; 27(5):457-63.
























