Laterale Verschiebelappen zur Deckung parodontaler Rezessionen
Gingivale Rezessionen sind als Rückgang des Zahnfleischs unterhalb der Schmelz-Zement-Grenze definiert [Cortellini und Bissada, 2018]. Diese können auf entzündliche oder traumatische Ursachen zurückzuführen sein [Pini Prato, 1999]. Risikofaktoren für solche Rezessionen sind eine vorausgegangene Parodontitistherapie, eine fehlende oder gering keratinisierte Gingiva, eine bukkale Knochendehiszenz oder -fenestration und eine Gingivadicke unter 1,5 mm [Mascardo et al., 2024]. Der Rückgang des Zahnfleischs hinterlässt eine exponierte Wurzelzement- beziehungsweise Wurzeldentinoberfläche, woraus sekundäre Probleme resultieren, die wiederum oftmals die Indikation zur chirurgischen Intervention darstellen [Oates et al., 2003]:
Erhöhte Zahnhalssensibilität
Zahnhalskaries und -füllungen
Abrasionen im Zahnhalsbereich
Präprothetische Deckung zur Vermeidung überextendierter Kronen
Keildefekte
Progressive Rezessionen
Ästhetische Beeinträchtigungen
In der aktuellen Klassifikation der Parodontalerkrankungen sind gingivale Rezessionen den entwicklungsbedingten und erworbenen Zuständen zugeordnet [Caton et al., 2018]. Dabei werden die Rezessionstypen 1–3 unterschieden [Jepsen et al., 2018]: Beim Rezessionstyp 1 (RT1) handelt es sich um eine Rezession ohne Verlust approximalen Attachments. Beim Rezessionstyp 2 (RT2) handelt es sich um eine Rezession mit approximalem Attachmentverlust, der geringer oder gleich dem bukkalen Attachmentverlust ist. Beim Rezessionstyp 3 (RT3) ist der approximale Attachmentverlust ausgeprägter als der bukkale Attachmentverlust. Somit lassen sich Rezessionen vom Typ 1 durch mukogingival-chirurgische Maßnahmen korrigieren, während beim Typ 2 maximal eine teilweise Deckung und beim Typ 3 keine Deckung möglich ist.
Anders als bei der Klassifikation parodontaler Rezessionen nach Miller [Miller, 1985], die vier Rezessionstypen unterschied, wird beim RT1 nicht mehr unterschieden, ob die Rezession die mukogingivale Grenze überschreitet oder nicht. Dies hat für den Praktiker aber eine entscheidende Bedeutung, wenn die geeignete Methode zur Deckung ausgewählt werden soll. Während bei Rezessionen, die die mukogingivale Grenze nicht überschreiten, in der Regel „Envelope-Techniken“, Tunneltechniken oder koronale Verschiebelappen zur Anwendung kommen [Raetzke, 1985; Zucchelli und De Sanctis, 2000; Sculean et al., 2014], sind diese bei Rezessionen mit Überschreiten der mukogingivalen Grenze weniger geeignet, da das Fehlen keratinisierter Mukosa apikal nicht korrigiert werden kann.
Entwicklung der lateralen Verschiebelappen
Bevor die lateralen Verschiebelappen populär wurden, versuchten Bernimoulin et al. dieses Problem zu lösen, indem in einem zweizeitigen Operationsverfahren zunächst keratinisierte Gingiva unterhalb der Rezession hergestellt und dieses Gewebe anschließend nach koronal verschoben wurde [Bernimoulin et al., 1975]. Dabei wurde zunächst ein freies Schleimhauttransplantat unterhalb der tiefen Rezession eingebracht und dessen Heilung abgewartet [Sullivan und Atkins, 1968]. Nach vollständiger Heilung wurde das neu erzeugte keratinisierte Gewebe durch einen koronalen Verschiebelappen in den Bereich der Rezession bewegt. Als ausgeprägte Nachteile dieser Methode sind die zweizeitige Herangehensweise und die ästhetisch wenig ansprechenden Ergebnisse zu sehen. Zudem ist die koronale Verschiebung des zuvor verpflanzten freien Schleimhauttransplantats aufgrund der ausgeprägten Vernarbung äußerst schwierig. Die erreichbaren Ergebnisse entsprechen somit nicht den ästhetisch-funktionellen Ansprüchen, die heute an solche Therapieverfahren angelegt werden [Pini-Prato et al., 2015].
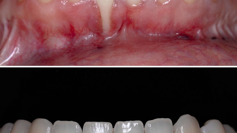
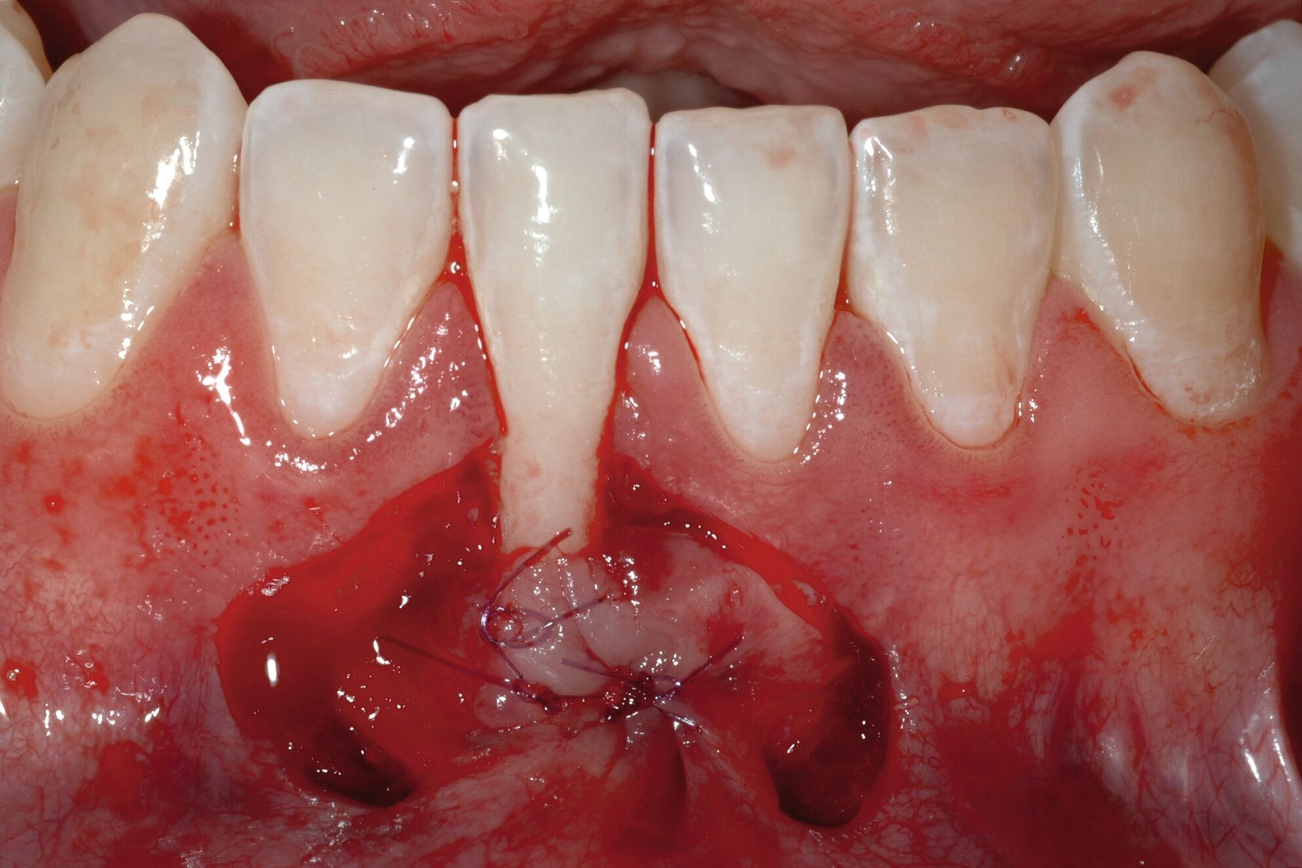
Schon in der Mitte des 20. Jahrhunderts wurden die ersten lateralen Verschiebelappentechniken zur Deckung parodontaler Rezessionen beschrieben. Grupe & Warren veröffentlichten 1955 die erste Beschreibung eines lateralen „sliding flap“ zur Deckung einer singulären parodontalen Rezession [Grupe und Warren, 1956]. Bei dieser Methode wurde das distal von der Rezession gelegene Gewebe einschließlich des bukkalen benachbarten Papillenanteils gelöst und die Gingiva im Bereich der Rezession exzidiert. Anschließend wurde dieser Lappen nach mesial verschoben, so dass der Papillenanteil direkt wieder im Bereich der benachbarten Papille fixiert und die freiliegende Wurzeloberfläche abgedeckt wurde. Großer Nachteil dieser unilateralen Verschiebelappen sind die hohen Rückstellkräfte aufgrund der ausgeprägten Verschiebung in eine Richtung um circa eine Prämolarenbreite. Daher zeigen laterale Verschiebelappen eine hohe Rezidivtendenz mit geringer prozentualer mittlerer Wurzeldeckung von 34 bis 82 Prozent, die zwar durch den zusätzlichen Einsatz eines Bindegewebstransplantats mit 70 bis 98 Prozent deutlich verbessert wird, aber durch die ausgeprägten Spannungen zu einer erhöhten Narbenbildung führt, die auch nach Jahren deutlich sichtbar sein kann (Abbildung 1) [Pagliaro et al., 2003]. Zudem führte die Verschiebung der keratinisierten Gingiva an den Nachbarzähnen nicht selten zu einer parodontalen Rezession an diesen, so dass Grupe in einer weiteren Publikation empfahl, die marginale Gingiva der Nachbarzähne in den Verschiebelappen nicht mit einzubeziehen [Grupe, 1966]. Pfeifer & Heller empfahlen in ihrer Analyse zur Vermeidung von Rezessionen an den Nachbarzähnen anstatt vollschichtiger Lappen teilschichtige Präparationen durchzuführen [Pfeifer und Heller, 1971].
Um die zu überbrückende Strecke des lateralen Verschiebelappens zu verkürzen, entwickelte Nelson den „Double pedicle flap“ [Nelson, 1987]. Bei dieser zunächst für singuläre Rezessionen beschriebenen Technik wird die Verschiebung bilateral durchgeführt, so dass der Lappen jeweils nur um etwa eine halbe Prämolarenbreite versetzt wird. Hierzu wird zunächst eine horizontale Inzision von der Rezession ausgehend nach mesial und nach distal geführt, die kurz vor dem Sulkus der Nachbarzähne senkrecht nach unten als doppelseitige Entlastung weitergeführt wird. Durch horizontale Verbindung mittels einer weiteren sulkulären Inzision im Bereich der Rezession entstehen zwei schmale Läppchen, die durch Nähte zentral im Bereich des denudierten Zahnes verbunden werden. Somit entsteht ein einzelner, etwas schmalerer Lappen, der nach Einbringen eines Bindegewebstransplantats (BGT) in zentraler Position an der Schmelz-Zement-Grenze vernäht wird.
Für Nelson war das Einbringen eines BGT zwingend erforderlich, um eine Spaltbildung zwischen den Läppchen oder seitlich davon zu vermeiden und eine postoperative Verdickung der Gingiva herbeizuführen. Nelson modifizierte diese Technik für multiple Rezessionen dahingehend, dass er ausgehend von der tiefsten zu deckenden Rezession die Läppchen zumeist in distale Richtung vergrößerte. Zudem erweiterte er die Schnittführung in den Bereich der Papillen, um aus diesem Bereich die keratinisierte Gingiva zu verschieben und die Deckung der kleineren Nachbarrezessionen zu erleichtern. Die mittlere Deckung durch den doppelt-lateral verschobenen Lappen mit BGT liegt bei 84 bis 98 Prozent [Chambrone und Tatakis, 2015]. Nachteil der Methode war die Bildung sehr kleiner und somit schlecht ernährter Lappen, die eine große Gefahr von Nekrosen beinhalteten, so dass Nelson selbst von einer schwierigen Operationsmethode gesprochen hat.
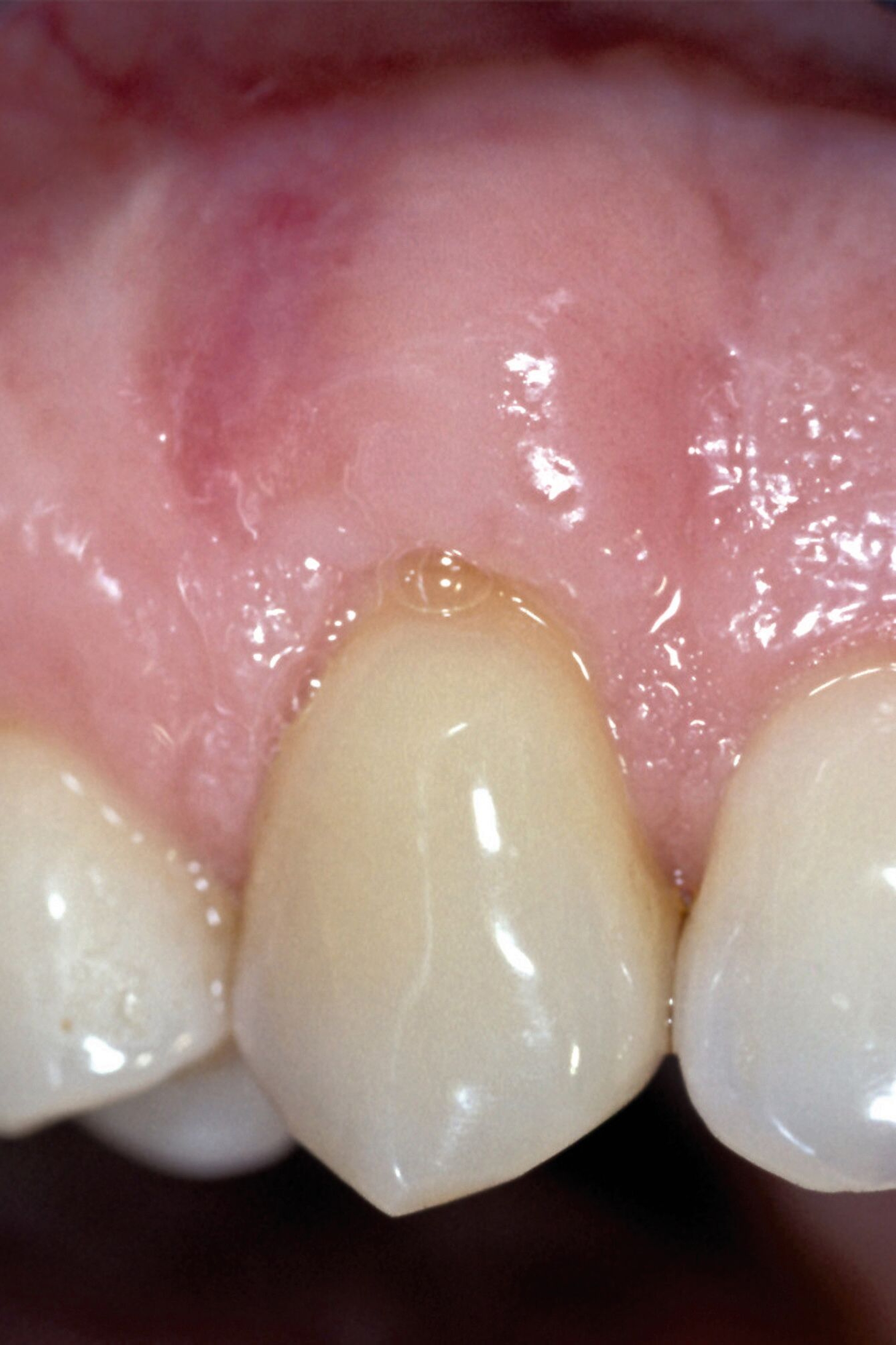
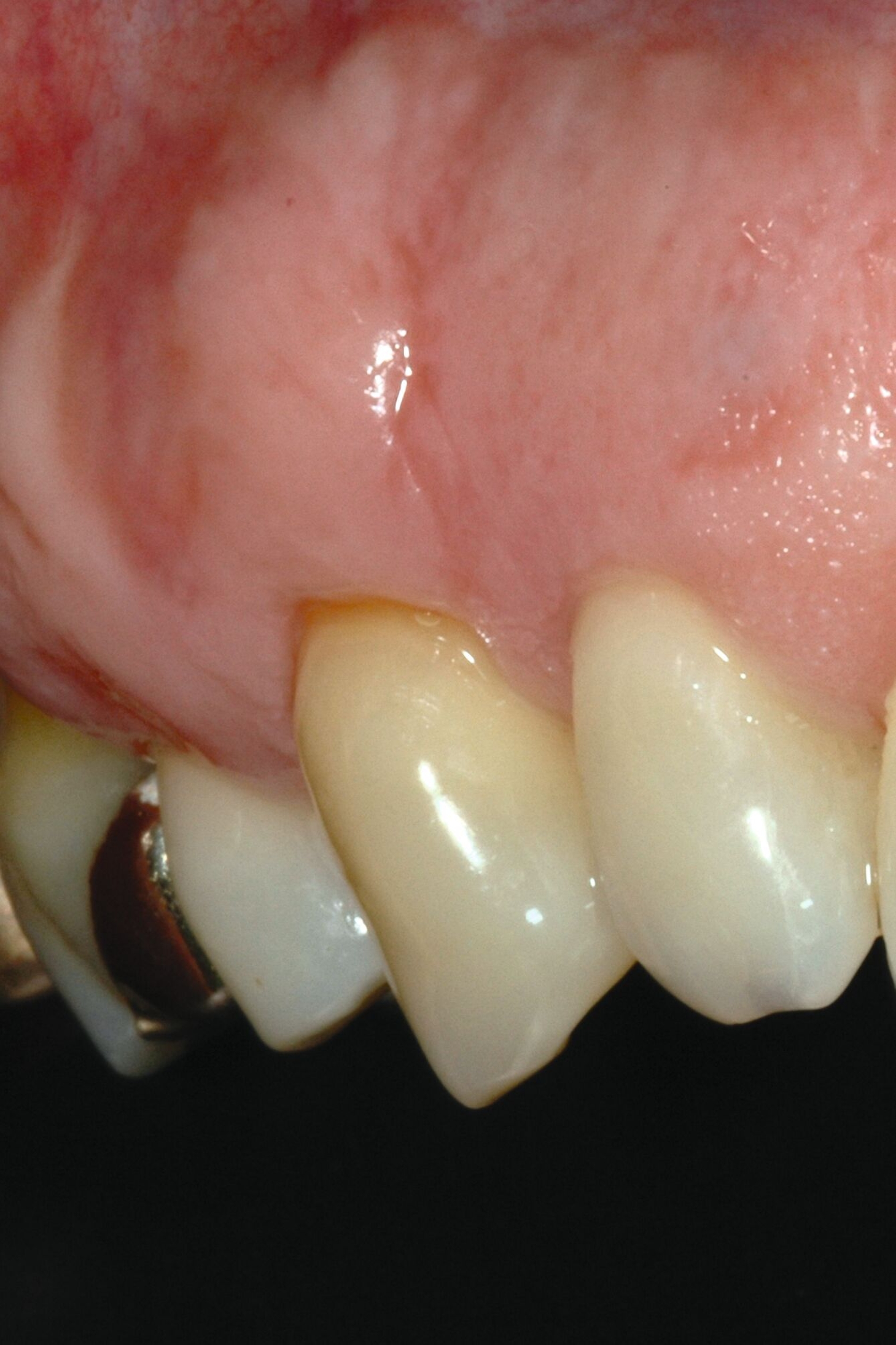
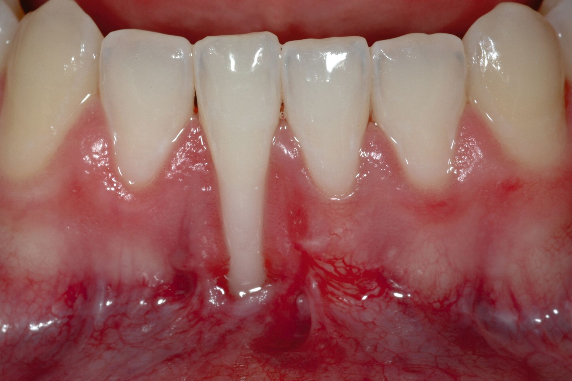
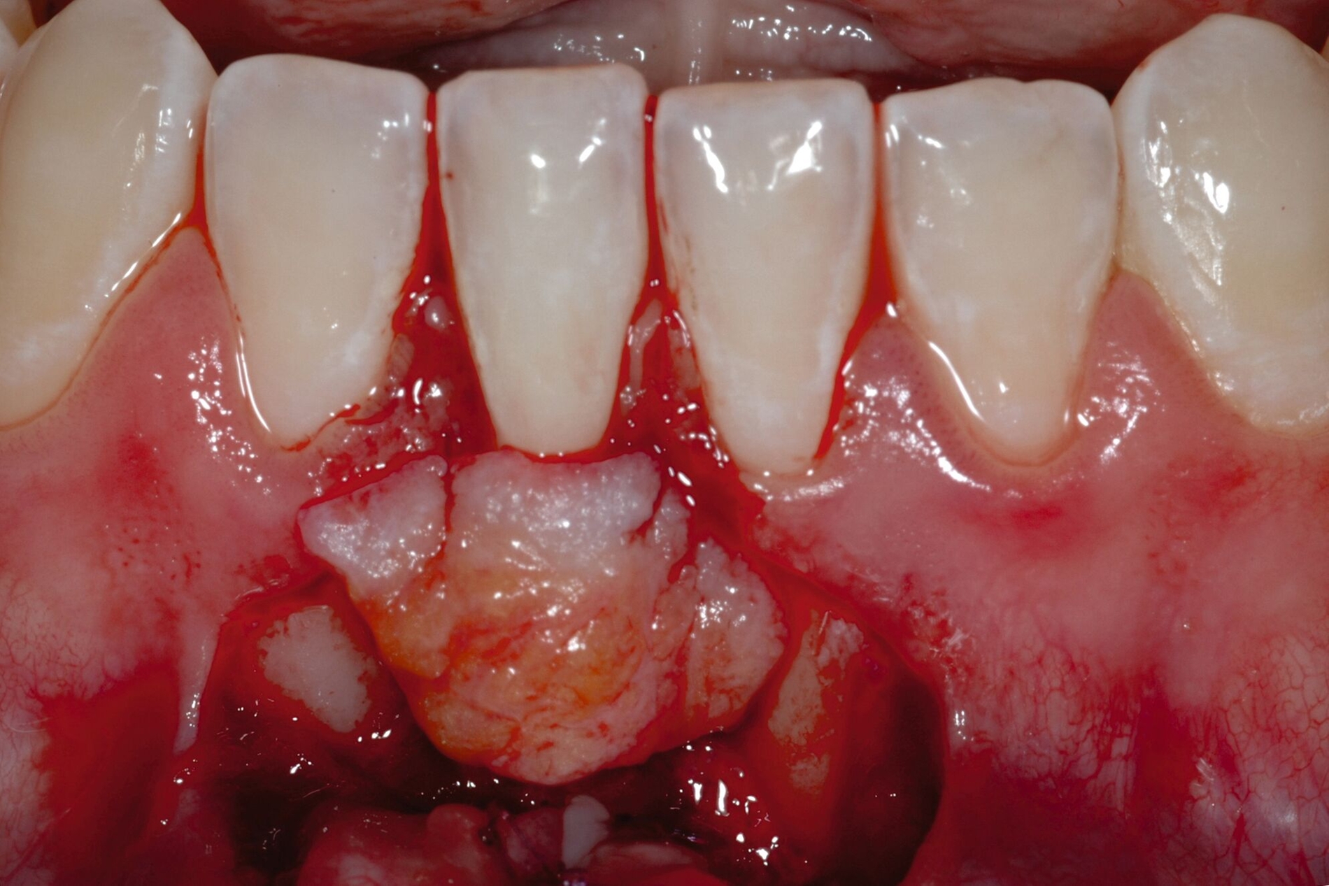
Aus diesem Grund kann die Nelson-Technik dahingehend verändert werden, dass die Läppchen verlängert werden, indem diese am Sulkus der Nachbarzähne vorbeigeführt werden und die Entlastung nicht als senkrechte Inzision, sondern in Form eines runden Rückschnitts zur Rotation der Lappen geführt wird (Abbildung 2). Dies erleichtert auch die vollständige Deckung des OP-Gebiets, so dass keine sekundäre Granulation im lateralen Bereich erforderlich ist (Abbildung 2d). Auch bei guter Heilung zeigt sich aber eine ausgeprägte Narbenbildung direkt im Bereich des gedeckten Zahnes, insbesondere bei singulären Rezessionen. Zudem kommt es zu deutlichen Veränderungen von Textur und Farbe im Bereich der mukogingivalen Grenze, die ebenfalls das ästhetische Ergebnis stark beeinträchtigten (Abbildung 2e).
Moderne Verfahren lateraler Verschiebelappen
In den vergangenen Jahren hat die Wissenschaft neben dem Goldstandard der Koronalen Verschiebelappen den Tunneltechniken mit vielen Publikationen große Aufmerksamkeit gewidmet [Sculean et al., 2014]. Da sowohl bei den modifizierten Tunneltechniken als auch bei den Koronalen Verschiebelappen nur eine reine koronale Bewegung durchgeführt wird, ergibt sich das Problem, dass extrem tiefe Rezessionen einer starken Anhebung bedürfen, was zu einer extremen Überdeckung der Nachbarzähne und zudem zu einem ausgeprägten Verlust des Vestibulums und der keratinisierten Gingiva führen würde. Bei einem bereits vor dem Eingriff flachen Vestibulum ist hierdurch auch die erreichbare Rezessionsdeckung im Ergebnis limitiert [Blasi et al., 2022].
Aus diesem Grund haben Sculean und Mitarbeiter die modifizierte Tunneltechnik dahingehend verändert, dass gleichzeitig an der Stelle der tiefen Rezession der Lappen durch zwei bis drei Einzelknopfnähte ähnlich einem Vorhang zugezogen wird, der sogenannte „Lateral Geschlossene Koronal Verschobene Tunnel“ (LCAT) [Sculean und Allen 2018; Sculean et al., 2021]. Dieser ermöglicht, das Ausmaß der koronalen Verschiebung geringer zu halten und die seitliche keratinisierte Gingiva wird zum bukkalen keratinisierten Gewebe umgewandelt. Wie bei allen Tunneltechniken ist auch bei dieser Methode das Einbringen eines Bindegewebstransplantats zwingend erforderlich. Bei Rezessionen mit einer geringeren Breite lässt sich dieser laterale Verschluss auch bei Einbringung eines BGT durchführen, bei breiten Rezessionen ist mit dem Auftreten von Spannungen und dem Ausreißen von Nähten zu rechnen.
Vorteil des LCAT ist der vollständige Verzicht auf sichtbare Entlastungsinzisionen, was zu hervorragenden ästhetischen Ergebnissen führt, insbesondere im Vergleich zu den Techniken von Bernimoulin oder Nelson [Bernimoulin et al., 1975; Nelson, 1987]. Entgegen der oft geäußerten Meinung ist die Invasivität aber nur scheinbar verringert, da im Bereich des Tunnels eine ähnliche „Präparationsfläche“ entsteht wie bei koronalen oder doppelt lateralen Verschiebelappen. Eingeschränkt ist auch der LCAT – wie die meisten modifizierten Tunneltechniken – durch die Beschränkung der koronalen Verschiebbarkeit. Eine Studie bei KVL hat gezeigt, dass bei RT1-Rezessionen eine hundertprozentige Deckung erwartet werden kann, wenn die Schmelz-Zement-Grenze um mindestens 2 mm überdeckt wird [Pini Prato et al., 2005]. Diese Mobilisation ist bei Tunneltechniken aufgrund der Fixierung der Papille, die bei den modifizierten Methoden anders als bei der Originalmethode in der Regel nicht mehr vollständig vom interdentalen Knochen gelöst wird, aber nur extrem schwer erreichbar. Somit zeigt sich trotz einer guten mittleren Wurzeldeckung von 85,1 bis 96,09 Prozent nur ein deutlich geringerer Anteil kompletter Wurzeldeckungen von 20 bis 50 Prozent [Guldener et al., 2020; Lanzrein et al., 2020; Sculean et al., 2021].
Der Anteil vollständiger Wurzeldeckungen ist bei koronalen Verschiebelappen deutlich höher, da hier eine Überdeckung der Schmelz-Zement-Grenze von mehr als 2 mm in der Regel relativ problemlos möglich ist [Pini Prato et al., 2005; Chambrone et al., 2012; Chambrone und Tatakis, 2015; Pini-Prato et al., 2015]. In den ursprünglichen Beschreibungen der KVL wurden aber meist Entlastungsinzisionen durchgeführt, um die Mobilisation der Gingiva zu gewährleisten [Restrepo, 1973]. Diese führten zu einer ästhetisch weniger ansprechenden Narbenbildung und zudem zu einem Versatz der mukogingivalen Grenze. Diese Problematik wurde erstmalig von Zucchelli & De Sanctis gelöst, indem bei koronalen Verschiebelappen durch eine horizontale Erweiterung der Inzisionslinien auf sichtbare Schnitte und damit die konsekutive Narbenbildung verzichtet wurde [Zucchelli und De Sanctis, 2000].
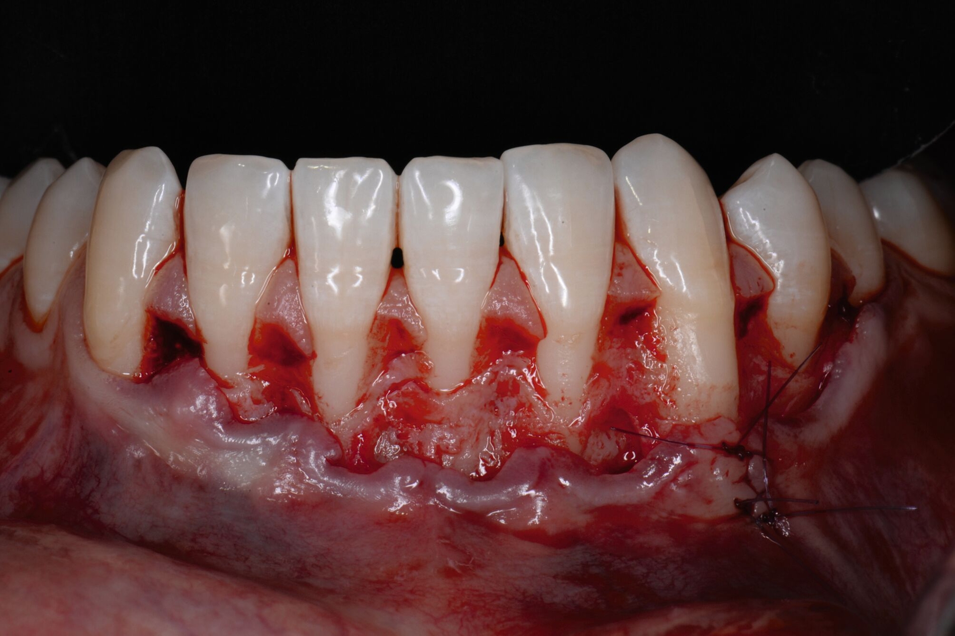
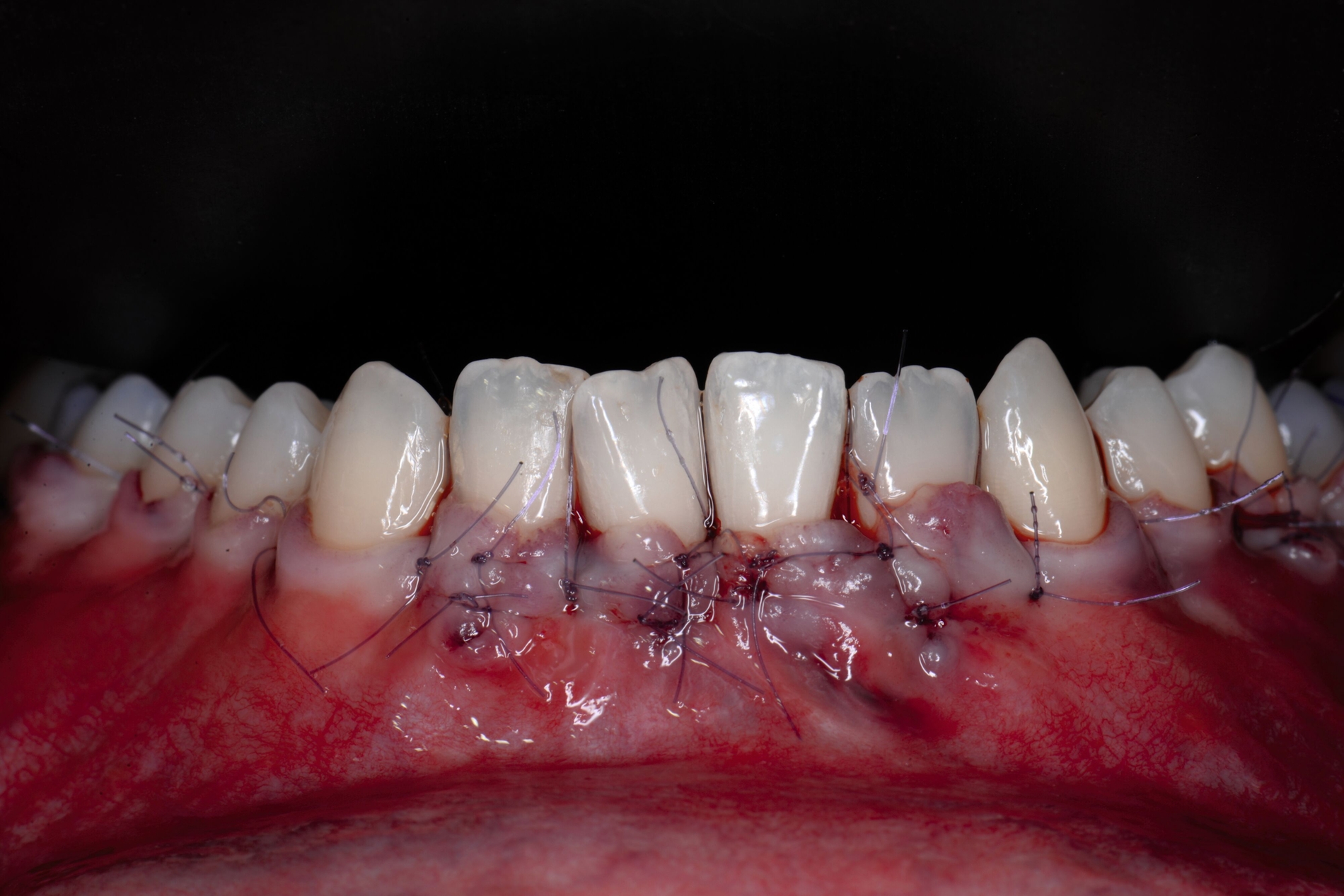
Tunkel et al. versuchten die Vorteile von Zucchellis Koronalem Verschiebelappen und Sculeans Lateral Geschlossenem Tunnel in einer Technik zu vereinen: dem Lateral Geschlossenen Koronalen Verschiebelappen (LCAF) [Tunkel et al., 2024] (Abbildung 3). Bei dieser Methode, mit der vor allem tiefe singuläre parodontale Rezessionen behandelt werden, wird die Koronalverschiebung ohne Entlastungsinzisionen kombiniert mit dem lateralen Verschluss der tiefen parodontalen Rezession.
Das Vorgehen ist hier wie folgt: Zunächst wird im Bereich der tiefen Rezession der Gingivarand geringfügig exzidiert, um ein Zusammenwachsen der geschlossenen Lappenanteile zu ermöglichen. Anschließend wird der Schnitt in horizontaler Richtung durch leicht bogenförmige Schnittführungen auf Höhe der Schmelz-Zement-Grenze erweitert, um mindestens zwei Zähne rechts und links von der Rezession (Abbildung 3b). Im Unterkiefer-Frontzahnbereich, wo die Rezessionen heutzutage am häufigsten vorkommen, sollte der Lappen mindestens von Eckzahn zu Eckzahn gebildet werden, um ein harmonisches Ergebnis nach Abheilung zu erreichen. Auf vertikale Entlastungsinzisionen kann komplett verzichtet werden. Anschließend erfolgt die Lappenpräparation nach dem bereits für koronale Verschiebelappen gängigen Prinzip teilschichtig-vollschichtig-teilschichtig.
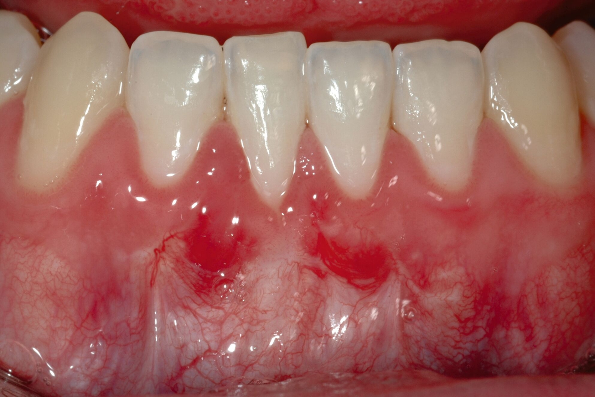
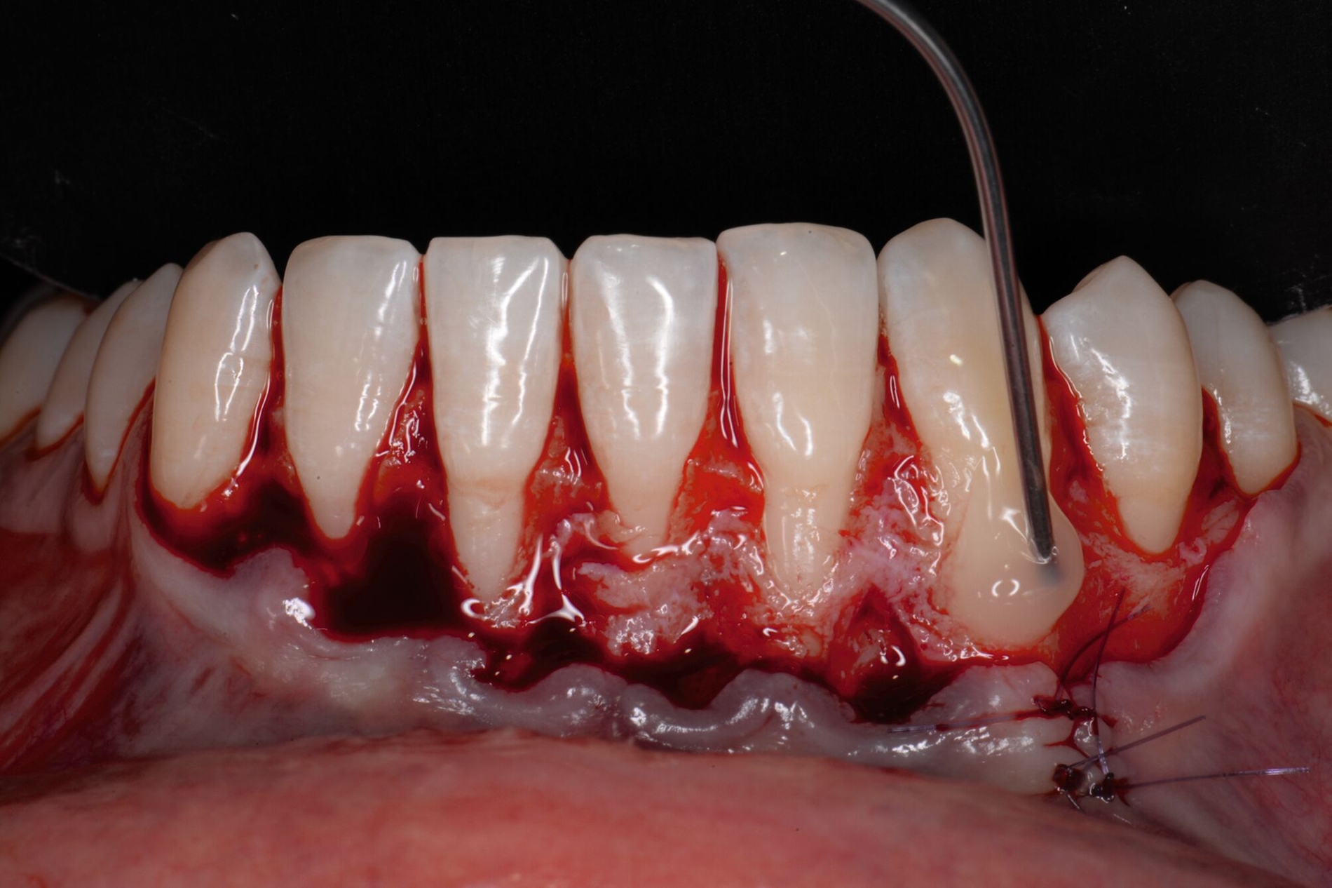
Die Papillenbereiche werden mit dem Skalpell scharf vom Periost abgelöst. Dann wird das Periost durchtrennt und bis zur mukogingivalen Grenze ein vollschichtiger Lappen gebildet. Nach Überschreiten dieser wird wieder zweischichtig präpariert. Hierdurch wird eine gute Mobilisation des Lappens erreicht, die eine ausreichende Koronalverschiebung ermöglicht. Entgegen dem in früheren Jahren propagierten komplett teilschichtigen Vorgehen, kann durch dieses Verfahren die Gefahr von Lappenperforationen signifikant gesenkt werden, da diese insbesondere im Bereich der mukogingivalen Grenze auftreten. Nachdem die Lappenareale mesial und distal der Rezession gelöst sind, können diese durch zwei bis drei feine monofile Nähte miteinander verbunden werden (Abbildung 3c). Sobald durch diese Naht ein zusammenhängender koronaler Verschiebelappen entstanden ist, werden die Papillenbereiche koronal des gebildeten Lappens entepithelialisiert. Nach Entnahme eines Bindegewebstransplantats oder entepithelialisierten freien Schleimhauttransplantats wird die Wurzeloberfläche mit EDTA-Gel konditioniert und anschließend werden Schmelz-Matrix-Proteine aufgetragen (Abbildung 3d). Diese bewirken die Bildung eines new attachment und fördern zudem die Wundheilung, was gerade bei den delikaten lateralen Verschiebelappen von Vorteil sein sollte [McGuire und Cochran, 2003; Almqvist et al., 2011; Thoma et al., 2011; McGuire et al., 2016]. Anschließend wird das Transplantat durch Nähte ausgehend vom oralen Papillenbereich fixiert (Abbildung 3e). Zuletzt wird der Lappen mit sogenannten doppelten Umschlingungsnähten im Bereich der Papille durch Zug nach koronal und oral fixiert, was eine perfekte Positionierung ermöglicht [Zuhr et al., 2009] (Abbildung 3f). Hierbei muss darauf geachtet werden, dass der Lappen die Schmelz-Zement-Grenze um mindestens 2 mm überdeckt, um eine hundertprozentige Wurzeldeckung erwartbar zu machen [Pini Prato et al., 2005].
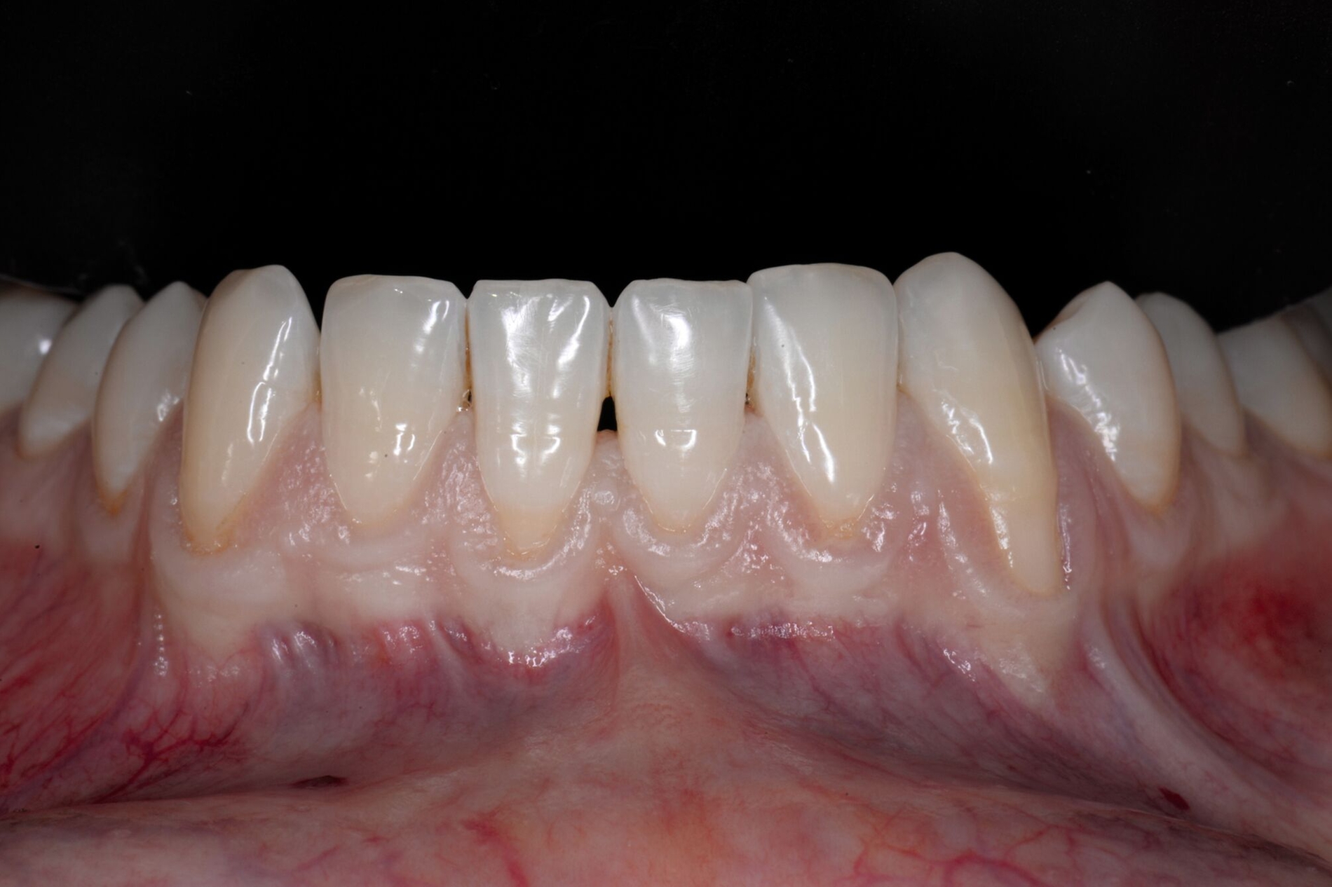
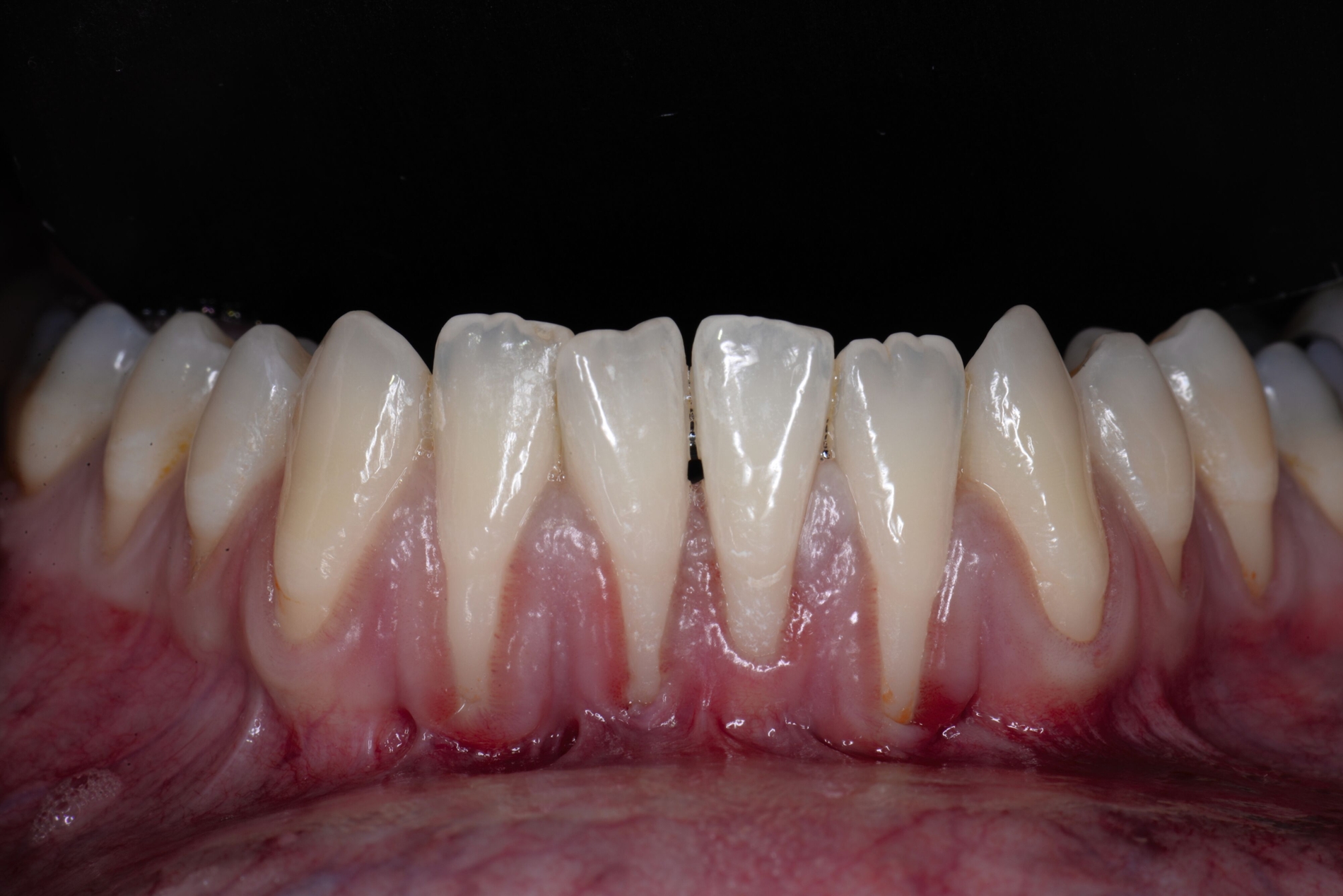
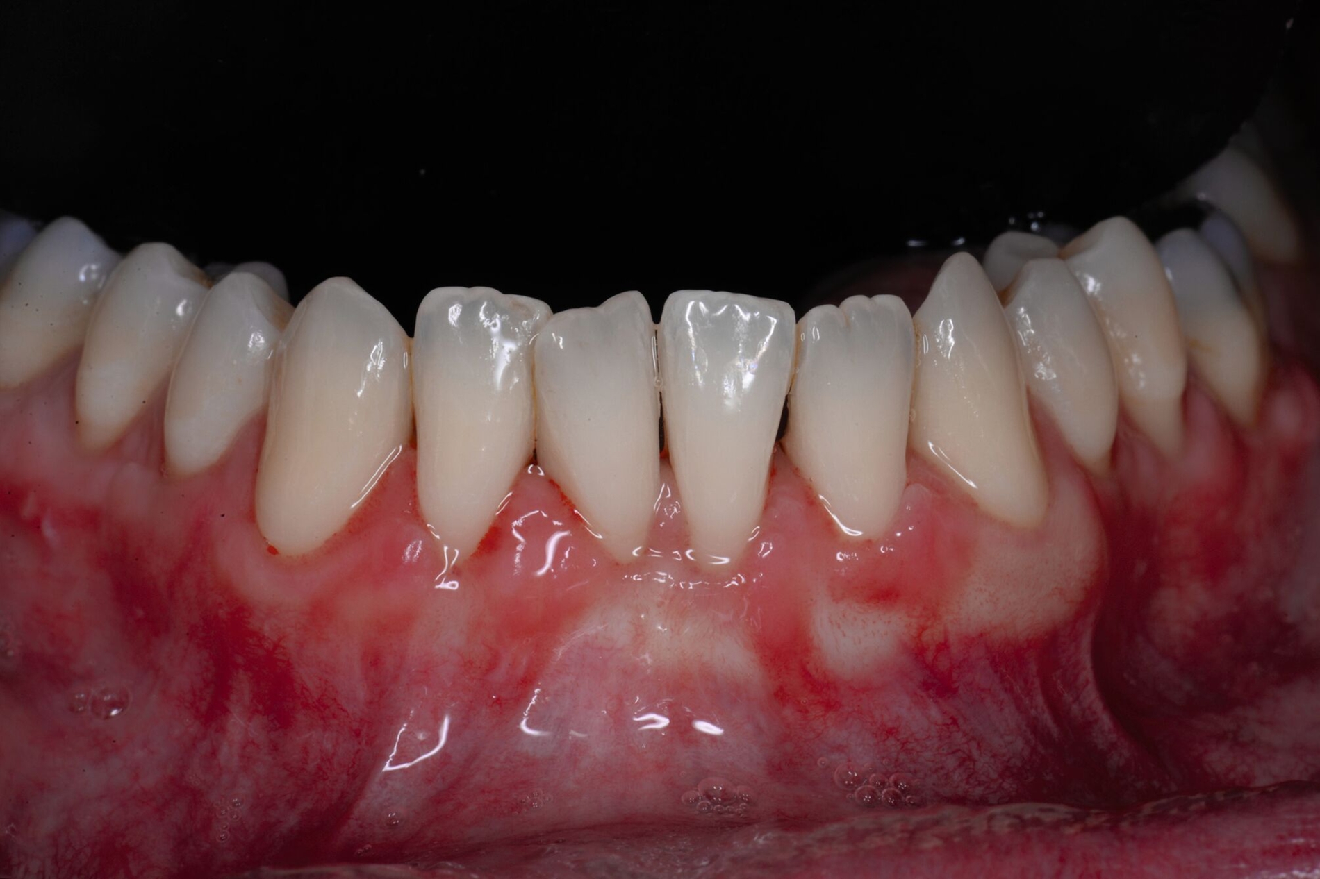
Der Lateral Geschlossene Koronal Verschobene Lappen ermöglicht eine annähernd narbenfreie Deckung singulärer parodontaler Rezessionen durch Verzicht auf vertikale Entlastungsinzisionen (Abbildung 3g). Das Lösen der Papillen im Rahmen der Verschiebung ermöglicht eine deutliche Anhebung des Lappens und somit durch großzügige Überdeckung das Erreichen vollständiger Wurzeldeckungen. Durch den lateralen Verschluss im Rahmen der tiefen, über die mukogingivale Grenze hinausgehenden Rezession kann keratinisierte Gingiva im Bereich dieser hergestellt und eine übermäßige Mobilisation und damit Einschränkung des Vestibulums verhindert werden.
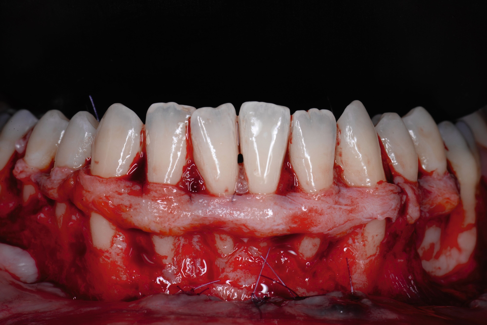
Beim lateralen Verschluss der tiefen Rezession im Rahmen der LCAT- oder LCAF-Technik ist immer mit dem Auftreten von Spannungen zu rechnen, insbesondere wenn die Rezession eine deutliche Breite aufweist. Nicht möglich ist dieses entlastungsinzisionsfreie Vorgehen, wenn mehrere tiefe Rezessionen direkt oder unmittelbar benachbart sind, da dann das Gewebe in die entgegengesetzte Richtung lateral mobilisiert werden müsste. Für diese Patienten haben Tunkel et al. eine Methode entwickelt, die grundsätzlich die Prinzipien der Koronalverschiebung nach Zucchelli, die Nelson-Technik und die LCAF-Technik verbindet und versucht, deren Vorteile zu kombinieren und deren Nachteile zu kompensieren: den „Mehrfach Gestielten Koronal Verschobenen Lappen“ (MPCAF) [Tunkel et al., 2021; Tunkel et al., 2022] (Abbildung 4). Gleichzeitig ist es damit möglich, mehrere auch direkt nebeneinander liegende Rezessionen zu decken.
Dabei wird zunächst – wie bei der LCAF-Technik – die Gingiva der tiefen Rezessionsareale exzidiert und die Inzision in gleicher Weise horizontal erweitert (Abbildung 4b). Zum Ende des gewünschten Präparationsareals wird aber eine vertikale Entlastungsinzision gezogen. Hier gibt es aber deutliche Unterschiede zur Nelson-Technik: Die Inzision liegt durch die horizontale Erweiterung weiter von der tiefsten freiliegenden Wurzeloberfläche entfernt und wird bei multiplen Rezessionen auch möglichst in den Seitenzahnbereich verlegt, damit die daraus resultierenden Narben später nicht sichtbar werden. Zudem wird die Rezession nicht gerade, sondern in einem runden Rückschnitt geführt, so dass zur Lateralisation keine Verschiebung, sondern eine Rotation durchgeführt werden kann, was trotz der seitlichen Verlagerung eine Deckung des Areals der Entlastungsinzision ermöglicht.
Jetzt wird beginnend an einer Seite der erste Lappenanteil nach dem Prinzip teilschichtig-vollschichtig-teilschichtig gelöst und im Bereich der ersten tiefen Rezession mittels feiner monofiler Nähte mit dem proximalen Lappenanteil vernäht. Dieser wird daraufhin gelöst und bei der nächsten tiefen Rezession erneut mit dem nahe gelegenen Lappenanteil verbunden. Dieser Vorgang wird fortgeführt, bis so erneut ein großer gesamter Lappen entstanden ist, der koronal verschoben werden kann (Abbildung 4c). Das weitere Vorgehen ist exakt wie bei der LCAF-Technik: Entepithelialisierung der Papillenareale, Gewinnung des Transplantats, Applikation von EDTA-Gel und Schmelz-Matrix-Proteinen, Fixation des Transplantats und Fixierung des Lappens nach koronal (Abbildungen 4d bis 4f). Die runden Entlastungsinzisionen lassen sich meist ohne größere Mühe verschließen, selbst wenn multiple tiefe Rezessionen vernäht worden sind.
Der MPCAF ist neben der von Bernimoulin beschriebenen Methode eine von nur sehr wenigen Techniken, mit der multiple tiefe RT1-Rezessionen gedeckt werden können. Allerdings kann eine vollständige Narbenfreiheit nicht gewährleistet werden. Daher ist es zu empfehlen, bei dieser Technik den Lappen mindestens bis zum Eckzahn oder ersten Prämolaren auszudehnen. Eine Überdeckung von mehr als 2 mm der Schmelz-Zement-Grenze ist möglich, so dass eine hundertprozentige Deckung erreichbar ist. Allerdings ist aufgrund der Verschiebung und des Vernähens mehrerer kleiner Lappenanteile die Methode äußerst techniksensibel und daher nur erfahrenen Anwendern zu empfehlen.
Vergleich der Operationsmethoden
Im Bereich der mukogingivalen Chirurgie existiert eine Vielzahl von Methoden, um traumatisch bedingte Zahnfleischrückgänge der Klassen RT1 und bedingt auch RT2 zu decken. Die verschiedenen Lappentechniken lassen sich mit verschiedenen autologen, xenogenen und allogenen Transplantaten und/oder Biologika kombinieren [Chambrone und Tatakis, 2015; Tavelli et al., 2020]. In den vergangenen Jahren haben sich hier insbesondere Schwerpunkte im Bereich der koronalen Verschiebelappen und der Tunneltechniken gebildet [Cairo et al., 2014; Cairo et al., 2016]. Diese eignen sich aber insbesondere für RT1/RT2-Rezessionen, die nicht über die mukogingivale Grenze hinausreichen (Miller-Klasse I). Bei RT1/RT2-Rezessionen, die über diese Grenze hinausgehen (Miller-Klasse II) und daher keine keratinisierte Gingiva apikal der Rezession aufweisen, sind eher Methoden geeignet, die eine laterale Verschiebekomponente aufweisen. Der doppelt-lateral verschobene Lappen nach Nelson [Nelson, 1987] und der lateral verschobene Lappen nach Grupe & Warren [Grupe und Warren, 1956; Grupe, 1966] sind für tiefe singuläre Rezessionen geeignet, haben aber den Nachteil, dass sie in der originalen Form keine deutliche Koronalverschiebung des Lappens ermöglichen. Die hohe Rezidivgefahr des Lateralen Verschiebelappens und die starke Anfälligkeit für sichtbare Vernarbungen lassen diesen – verglichen mit den Weiterentwicklungen der lateralen Verschiebelappen – mehr und mehr in den Hintergrund treten.
Weiterer Bekanntheit erfreut sich der Lateral Geschlossene Tunnel (LCAT) nach Sculean & Allen [Sculean und Allen, 2018; Sculean et al., 2021]. Diese Methode zeigt durch das fast völlige Ausbleiben postoperativer Vernarbungen einen deutlichen Vorteil gegenüber den oben genannten Verfahren. Allerdings weisen Patienten nach Tunneltechniken verglichen mit Verschiebelappen tendenziell eine größere postoperative Morbidität auf. Nachteil der Tunneltechniken ist zudem die eingeschränkte koronale Verschiebbarkeit, die mit einer geringeren Quote mittlerer und vollständiger Wurzeldeckungen einhergeht [Pini Prato et al., 2005; Salhi et al., 2014; Santamaria et al., 2017; Neves et al., 2020]. An dieser Stelle setzt der Lateral Geschlossene Koronal Verschobene Lappen (LCAF) nach Tunkel an [Tunkel et al., 2024]. Anders als beim LCAT werden hier auch die Papillen vom interdentalen Col gelöst, so dass ein wirklicher Verschiebelappen gebildet wird. Dies ermöglicht eine Überdeckung der Schmelz-Zement-Grenze von mehr als 2 mm, so dass die vollständige Wurzeldeckung vorhersagbarer erreicht werden kann. Die vorübergehende sichtbare Lappen-Grenzlinie im Bereich der Papillen ist nach drei bis zwölf Monaten in der Regel ohne weitere Maßnahmen annähernd vollständig verschwunden, so dass auch hier ein Ergebnis visueller Narbenfreiheit erwartet werden kann. Ansonsten ist das Funktionsprinzip des LCAF vergleichbar mit dem LCAT. Im Gegensatz zum LCAT existieren vom LCAF allerdings noch keine klinischen Fallstudien, Fall-Kontroll-Studien oder gar randomisierte, kontrollierte klinische Studien, so dass die wissenschaftliche Evaluation dieser Methode noch abgewartet werden muss.
Sowohl LCAT als auch LCAF finden ihre Anwendung bei singulären tiefen RT1-Rezessionen (Miller-Klasse-II-Rezessionen). Bei multiplen eng oder direkt benachbarten Rezessionen stoßen diese an ihre Grenzen. Hier ist als eines der wenigen einzeitigen Verfahren der Mehrfach Gestielte Koronal Verschobene Lappen (MPCAF) die Methode der Wahl [Tunkel et al., 2021; Tunkel et al., 2022]. Bei dieser der Nelson-Technik angelehnten Methode können beliebig viele über die mukogingivale Grenze hinausgehende Rezessionen gedeckt werden. Durch die Lösung der Papillen ist auch hier eine deutliche Koronalverschiebung und somit eine verbesserte Vorhersagbarkeit der Deckung möglich. Allerdings lässt sich nur durch die Bildung zweier Entlastungsinzisionen der Verschluss des Lappens ermöglichen, wodurch der Nachteil der Narbenbildung gegeben ist. Deren Auswirkungen lassen sich aber durch die kreisförmige Ausführung und die Verlegung der Inzisionen in den Seitenzahnbereich minimieren.
Zusammenfassung
Der Lateral Geschlossene Tunnel, der Lateral Geschlossene Koronale Verschiebelappen und der Mehrfach Gestielte Koronal Verschobene Lappen sind die modernen Methoden lateraler Verschiebelappen, die kombiniert mit Transplantaten, Matrizes und Biologika methodische Möglichkeiten bilden, auch bei tiefen, über die mukogingivale Grenze hinausgehenden Rezessionen, vorhersagbare und weitgehend narbenfreie Deckungen in einem einzigen Eingriff zu erzielen.
Die mukogingivale Chirurgie stellt einen wichtigen und für die Patienten aufgrund des Gewebegewinns auch positiven Eingriff dar. Wenn man sich als Behandler diesem Feld nähern möchte, sollte man zunächst mit koronalen Verschiebelappen anfangen. Zahnärzte, die bereits Erfahrung auf dem Gebiet der plastischen Parodontalchirurgie gesammelt haben, werden dann in den Bereich der Tunneltechniken und der lateralen Verschiebelappen weitergehen. Obwohl die lateralen Verschiebelappen und lateral geschlossenen Tunnel aufgrund ihrer technischen Komplexität nicht gleich zu Beginn operiert werden sollten, werden sie für den parodontalchirurgisch interessierten Kollegen im Zuge zunehmender Erfahrung zum wichtigen Instrument für die erfolgreiche Deckung parodontaler Rezessionen werden.
Dr. Jochen Tunkel
Fachzahnarzt für Parodontologie und Oralchirurgie, Master of Oral Medicine in Implantology, Spezialist der Deutschen Gesellschaft für Parodontologie (DG PARO)
tunkel & tunkel
Fachzahnarztpraxis
Königstr. 19, 32545 Bad Oeynhausen
mail@dr-tunkel.de
1993–1998: Studium der Zahnheilkunde an der Julius-Maximilians-Universität Würzburg
1999–2000: Wissenschaftlicher Mitarbeiter der Poliklinik für Zahnerhaltung und Parodontologie der Julius-Maximilians-Universität Würzburg
2000–2003: Wissenschaftlicher Assistent der Poliklinik für Parodontologie, Universitätsklinikum Münster
2003: Spezialist der Deutschen Gesellschaft für Parodontologie, Fachzahnarzt für Parodontologie, ZÄKWL
2004–2006: Weiterbildungsassistent in der Privatzahnklinik Schloss Schellenstein / Olsberg
2006: Master of Oral Medicine in Implantology (MOM)
2007: Fachzahnarzt für Oralchirurgie, ZÄKWL
seit 2007: Niederlassung in spezialisierter Praxis für Parodontologie, Implantologie & Oralchirurgie zusammen mit Dr. Carolin Tunkel, Fachzahnärztin für Kieferorthopädie in Bad Oeynhausen, Ostwestfalen
2004–2015: Lehrbeauftragter und Gastdozent an der Poliklinik für Parodontologie des Universitätsklinikums Münster
2018: Ernennung zum ITI Fellow
2019: Ernennung zum ITI speaker
2020: Gründung der Dental Social Media Learning Platform „Regenerative Bioversity“
Literaturliste
Almqvist, S., H. K. Kleinman, M. Werthen, P. Thomsen and M. S. Agren (2011). „Effects of amelogenins on angiogenesis-associated processes of endothelial cells.“ J Wound Care 20(2): 68, 70-65.
Bernimoulin, J. P., B. Luscher and H. R. Muhlemann (1975). „Coronally repositioned periodontal flap. Clinical evaluation after one year.“ J Clin Periodontol 2(1): 1-13.
Blasi, G., A. Monje, J. Munoz-Penalver, T. W. Oates, G. Avila-Ortiz and J. Nart (2022). „Influence of vestibular depth on the outcomes of root coverage therapy: A prospective case series study.“ J Periodontol 93(12): 1857-1866.
Cairo, F., M. Nieri and U. Pagliaro (2014). „Efficacy of periodontal plastic surgery procedures in the treatment of localized facial gingival recessions. A systematic review.“ J Clin Periodontol 41 Suppl 15: S44-62.
Cairo, F., U. Pagliaro, J. Buti, M. Baccini, F. Graziani, P. Tonelli, G. Pagavino and M. S. Tonetti (2016). „Root coverage procedures improve patient aesthetics. A systematic review and Bayesian network meta-analysis.“ J Clin Periodontol 43(11): 965-975.
Caton, J. G., G. Armitage, T. Berglundh, I. L. C. Chapple, S. Jepsen, K. S. Kornman, B. L. Mealey, P. N. Papapanou, M. Sanz and M. S. Tonetti (2018). „A new classification scheme for periodontal and peri-implant diseases and conditions - Introduction and key changes from the 1999 classification.“ J Clin Periodontol 45 Suppl 20: S1-S8.
Chambrone, L., C. M. Pannuti, Y. K. Tu and L. A. Chambrone (2012). „Evidence-based periodontal plastic surgery. II. An individual data meta-analysis for evaluating factors in achieving complete root coverage.“ J Periodontol 83(4): 477-490.
Chambrone, L. and D. N. Tatakis (2015). „Periodontal soft tissue root coverage procedures: a systematic review from the AAP Regeneration Workshop.“ J Periodontol 86(2 Suppl): S8-51.
Chambrone, L. and D. N. Tatakis (2016). „Long-Term Outcomes of Untreated Buccal Gingival Recessions: A Systematic Review and Meta-Analysis.“ J Periodontol 87(7): 796-808.
Clark-Perry, D., S. I. Mikitanov and L. Levin (2021). „Do root coverage procedures affect the longevity of teeth? A systematic review.“ Quintessence Int 52(4): 284-291.
Cortellini, P. and N. F. Bissada (2018). „Mucogingival conditions in the natural dentition: Narrative review, case definitions, and diagnostic considerations.“ J Clin Periodontol 45 Suppl 20: S190-S198.
Grupe, H. E. (1966). „Modified technique for the sliding flap operation.“ J Periodontol 37(6): 491-495.
Grupe, H. E. and R. F. Warren (1956). „Repair of a gingival defect by a sliding flap operation.“ J Periodontol 27: 92-95.
Guldener, K., C. Lanzrein, M. Eliezer, C. Katsaros, A. Stahli and A. Sculean (2020). „Treatment of single mandibular recessions with the modified coronally advanced tunnel or laterally closed tunnel, hyaluronic acid, and subepithelial connective tissue graft: a report of 12 cases.“ Quintessence Int 51(6): 456-463.
Jepsen, S., J. G. Caton, J. M. Albandar, N. F. Bissada, P. Bouchard, P. Cortellini, K. Demirel, M. de Sanctis, C. Ercoli, J. Fan, N. C. Geurs, F. J. Hughes, L. Jin, A. Kantarci, E. Lalla, P. N. Madianos, D. Matthews, M. K. McGuire, M. P. Mills, P. M. Preshaw, M. A. Reynolds, A. Sculean, C. Susin, N. X. West and K. Yamazaki (2018). „Periodontal manifestations of systemic diseases and developmental and acquired conditions: Consensus report of workgroup 3 of the 2017 World Workshop on the Classification of Periodontal and Peri-Implant Diseases and Conditions.“ J Clin Periodontol 45 Suppl 20: S219-S229.
Lanzrein, C., K. Guldener, J. C. Imber, C. Katsaros, A. Stahli and A. Sculean (2020). „Treatment of multiple adjacent recessions with the modified coronally advanced tunnel or laterally closed tunnel in conjunction with cross-linked hyaluronic acid and subepithelial connective tissue graft: a report of 15 cases.“ Quintessence Int 51(9): 710-719.
Mascardo, K. C., J. Tomack, C. Y. Chen, L. Mancini, D. M. Kim, B. Friedland, S. Barootchi and L. Tavelli (2024). „Risk indicators for gingival recession in the esthetic zone: A cross-sectional clinical, tomographic, and ultrasonographic study.“ J Periodontol 95(5): 432-443.
McGuire, M. K. and D. L. Cochran (2003). „Evaluation of human recession defects treated with coronally advanced flaps and either enamel matrix derivative or connective tissue. Part 2: Histological evaluation.“ J Periodontol 74(8): 1126-1135.
McGuire, M. K., E. T. Scheyer and P. Schupbach (2016). „A Prospective, Case-Controlled Study Evaluating the Use of Enamel Matrix Derivative on Human Buccal Recession Defects: A Human Histologic Examination.“ J Periodontol 87(6): 645-653.
Miller, P. D., Jr. (1985). „A classification of marginal tissue recession.“ Int J Periodontics Restorative Dent 5(2): 8-13.
Nelson, S. W. (1987). „The subpedicle connective tissue graft. A bilaminar reconstructive procedure for the coverage of denuded root surfaces.“ J Periodontol 58(2): 95-102.
Neves, F., C. Augusto Silveira, I. F. Mathias-Santamaria, M. M. V. Miguel, L. F. F. Ferraz, R. C. V. Casarin, E. A. Sallum, D. N. Tatakis and M. P. Santamaria (2020). „Randomized clinical trial evaluating single maxillary gingival recession treatment with connective tissue graft and tunnel or trapezoidal flap: 2-year follow-up.“ J Periodontol 91(8): 1018-1026.
Oates, T. W., M. Robinson and J. C. Gunsolley (2003). „Surgical therapies for the treatment of gingival recession. A systematic review.“ Ann Periodontol 8(1): 303-320.
Pagliaro, U., M. Nieri, D. Franceschi, C. Clauser and G. Pini-Prato (2003). „Evidence-based mucogingival therapy. Part 1: A critical review of the literature on root coverage procedures.“ J Periodontol 74(5): 709-740.
Pfeifer, J. S. and R. Heller (1971). „Histologic evaluation of full and partial thickness lateral repositioned flaps: a pilot study.“ J Periodontol 42(6): 331-333.
Pini Prato, G. (1999). „Mucogingival deformities.“ Ann Periodontol 4(1): 98-101.
Pini Prato, G. P., C. Baldi, M. Nieri, D. Franseschi, P. Cortellini, C. Clauser, R. Rotundo and L. Muzzi (2005). „Coronally advanced flap: the post-surgical position of the gingival margin is an important factor for achieving complete root coverage.“ J Periodontol 76(5): 713-722.
Pini-Prato, G., C. Magnani, F. Zaheer, J. Buti and R. Rotundo (2015). „Critical Evaluation of Complete Root Coverage as a Successful Endpoint of Treatment for Gingival Recessions.“ Int J Periodontics Restorative Dent 35(5): 655-663.
Raetzke, P. B. (1985). „Covering localized areas of root exposure employing the “envelope„ technique.“ J Periodontol 56(7): 397-402.
Restrepo, O. J. (1973). „Coronally repositioned flap: report of four cases.“ J Periodontol 44(9): 564-567.
Salhi, L., G. Lecloux, L. Seidel, E. Rompen and F. Lambert (2014). „Coronally advanced flap versus the pouch technique combined with a connective tissue graft to treat Miller's class I gingival recession: a randomized controlled trial.“ J Clin Periodontol 41(4): 387- 395.
Santamaria, M. P., F. Neves, C. A. Silveira, I. F. Mathias, S. B. Fernandes-Dias, M. A. N. Jardini and D. N. Tatakis (2017). „Connective tissue graft and tunnel or trapezoidal flap for the treatment of single maxillary gingival recessions: a randomized clinical trial.“ J Clin Periodontol 44(5): 540-547.
Sculean, A. and E. P. Allen (2018). „The Laterally Closed Tunnel for the Treatment of Deep Isolated Mandibular Recessions: Surgical Technique and a Report of 24 Cases.“ Int J Periodontics Restorative Dent 38(4): 479-487.
Sculean, A., E. P. Allen, C. Katsaros, A. Stahli, R. J. Miron, H. Deppe and R. Cosgarea (2021). „The combined laterally closed, coronally advanced tunnel for the treatment of mandibular multiple adjacent gingival recessions: surgical technique and a report of 11 cases.“ Quintessence Int 52(7): 576-582.
Sculean, A., R. Cosgarea, A. Stahli, C. Katsaros, N. B. Arweiler, M. Brecx and H. Deppe (2014). „The modified coronally advanced tunnel combined with an enamel matrix derivative and subepithelial connective tissue graft for the treatment of isolated mandibular Miller Class I and II gingival recessions: a report of 16 cases.“ Quintessence Int 45(10): 829-835.
Sullivan, H. C. and J. H. Atkins (1968). „Free autogenous gingival grafts. I. Principles of successful grafting.“ Periodontics. 6(3): 121-129.
Tavelli, L., M. K. McGuire, G. Zucchelli, G. Rasperini, S. E. Feinberg, H. L. Wang and W. V. Giannobile (2020). „Biologics-based regenerative technologies for periodontal soft tissue engineering.“ J Periodontol 91(2): 147-154.
Thoma, D. S., C. C. Villar, D. L. Carnes, M. Dard, Y. H. Chun and D. L. Cochran (2011). „Angiogenic activity of an enamel matrix derivative (EMD) and EMD-derived proteins: an experimental study in mice.“ J Clin Periodontol 38(3): 253-260.
Tunkel, J., F. Hofmann and L. de Stavola (2021). „The Multiple Pedicle Coronally Advanced Flap for Multiple Deep Miller Class II Recessions: A Case Report.“ Clin Adv Periodontics 11(3): 176-182.
Tunkel, J., F. Hofmann and L. de Stavola (2022). „Der mehrfach gestielte koronal verschobene Lappen zur Deckung multipler tiefer Cairo-Klasse-I-Rezessionen. Ein Fallbericht.“ Parodontologie 33(4): 443-451.
Tunkel, J., L. JM., L. de Stavola and P. Kämmerer (2024). „The laterally closed coronally advanced flap: a case report.“ Clin Adv Periodontics (submitted).
Zucchelli, G. and M. De Sanctis (2000). „Treatment of multiple recession-type defects in patients with esthetic demands.“ J Periodontol 71(9): 1506-1514.
Zuhr, O., S. F. Rebele, T. Thalmair, S. Fickl and M. B. Hurzeler (2009). „A modified suture technique for plastic periodontal and implant surgery--the double-crossed suture.“ Eur J Esthet Dent 4(4): 338-347.


























