Rekonstruktion nach Orbitawandfraktur mittels patientenspezifischem Implantat
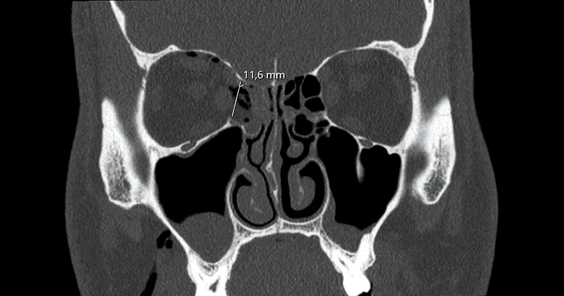
Nach der eingehenden klinischen Untersuchung wurde zur weiteren Diagnostik eine Computertomografie (CT) durchgeführt, die die Verdachtsdiagnose einer Fraktur der rechten Orbita bestätigte. Die CT-Bilder zeigten eine Fraktur der dünnen seitlichen Wand des Siebbeinlabyrinths (Lamina papyracea) mit Herniation des orbitalen Fettgewebes sowie eine geringfügige Vorwölbung des Musculus rectus lateralis in den Knochendefekt. Zudem war ein ausgeprägtes Weichgewebsemphysem sichtbar (Abbildung 1). Weitere Frakturen konnten ausgeschlossen werden.
Bei der ophthalmologischen Untersuchung zeigte sich keine Trauma-induzierte Beeinträchtigung des Visus. Der Patient wurde stationär aufgenommen – zur Überwachung eines möglichen Schädel-Hirn-Traumas, zur intravenösen antibiotischen Therapie sowie zur regelmäßigen Kontrolle des Visus. Zusätzlich erhielt der Patient ein Schnäuzverbot und abschwellende Nasentropfen. Aufgrund der Komplexität der Fraktur – insbesondere aufgrund der Beteiligung der medialen Orbitawand – wurde die Indikation zur operativen Frakturversorgung und Rekonstruktion mittels eines patientenspezifischen Implantats (PSI) gestellt.
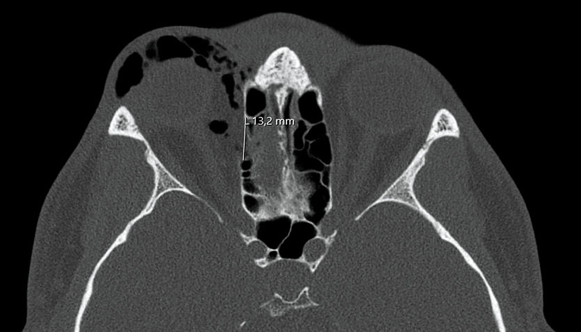
Zur Planung des PSI wurde während des stationären Aufenthalts eine hochauflösende Dünnschicht-CT durchgeführt. Im volldigitalen Workflow (IPS CaseDesigner®, KLS Martin Group, Tuttlingen) erfolgte die Planung und Herstellung des individuellen Orbitameshs: Die CT-Bilddaten wurden in ein dreidimensionales Modell umgewandelt, das die anatomischen Strukturen, einschließlich der Fraktur und der umgebenden Gewebe, detailliert abbildete. Basierend auf diesem Modell wurde das patientenspezifische Implantat digital entworfen, mit besonderem Fokus auf der Wiederherstellung der natürlichen Form und Funktion der Orbitawand sowie auf der Gewährleistung eines optimalen Halts (Abbildung 2).
Danach wurde das angefertigte Orbitamesh in Intubationsnarkose über einen transkonjunktivalen-transkarunkulären Zugang zur Rekonstruktion der medialen Orbitawand nach Reposition des in den Defekt dislozierten Weichgewebes eingesetzt (Abbildung 3) und am Infraorbitalrand mit drei Osteosyntheseschrauben fixiert. Die postoperative Bildgebung mittels DVT zur Lagekontrolle zeigte eine korrekte Position des Implantats – entsprechend der präoperativen Planung (Abbildung 4).
Der postoperative Verlauf war komplikationslos. Die antibiotische und schmerzlindernde Therapie wurde fortgeführt und die regelmäßigen Visuskontrollen zeigten keine Auffälligkeiten. Am zweiten postoperativen Tag konnte der Patient nach einer abschließenden ophthalmologischen Untersuchung in gutem Allgemeinzustand mit rückläufiger Schwellung und abnehmendem Hämatom zur ambulanten Weiterbehandlung entlassen werden. In der ambulanten Nachsorge wurden regelmäßige Kontrollen durchgeführt. Eine operative Entfernung des eingesetzten Titanmeshs war aufgrund der unauffälligen Wundheilung nicht erforderlich.
Diskussion
Orbitafrakturen gehören zu den häufigsten Orbitaverletzungen und entstehen typischerweise durch direkte stumpfe Traumata, wie sie bei Sportverletzungen, Verkehrsunfällen oder durch Gewalteinwirkung auftreten [Go et al., 2002]. Solche Frakturen können eine Vielzahl klinischer Symptome hervorrufen, darunter Einschränkungen der Augenbewegung, Doppelbilder (Diplopie) und in schwerwiegenden Fällen sogar Erblindung [Motamedi et al., 2014].
Es gibt zwei Theorien zur Entstehung von Orbitafrakturen. Die hydraulische Theorie besagt, dass ein Schlag auf den Augapfel selbst durch eine Erhöhung des intraokulären Drucks den Druck auf den Orbitaboden und die mediale Wand überträgt, was zu einer Fraktur führt. Die Transmissionstheorie hingegen geht davon aus, dass eine Verletzung des infraorbitalen Randes durch die Weiterleitung der Krafteinwirkung einen Bruch des empfindlicheren Orbitabodens verursacht [Raflo, 1984; Patel et al., 2017].
In 27 bis 35 Prozent der Fälle erstreckt sich der Bruch auf die mediale Orbitawand. Diese Fraktur kann entweder isoliert auftreten oder in Kombination mit Frakturen des Orbitabodens sowie weiteren Mittelgesichtsfrakturen, wie beispielsweise einer Fraktur des nasoethmoidalen Komplexes oder der Maxilla [Osguthorpe, 1991; Nolasco und Mathog, 1995; Manolidis et al., 2002; Karahisarlioglu, 2021].
Nach dem Ausschluss eines Schädel-Hirn-Traumas erfolgt eine ausführliche Anamnese. Dabei sollte besonderes Augenmerk auf den genauen Unfallmechanismus gelegt werden. Anschließend folgt die klinische Untersuchung, bei der die faziale Sensibilität (Nervus trigeminus), die Mimik (Nervus facialis) und die Palpation der knöchernen Strukturen überprüft werden. Druckdolenz und/oder Knochenstufen können dabei auf die Schädigung bestimmter anatomischer Strukturen hinweisen. Ein Hautemphysem kann sich in der Regel als hörbares Knistern ertasten lassen [Maunder et al., 1984]. Wichtig ist die Betrachtung der Befunde im Seitenvergleich.
Zur Diagnostik von orbitalen Frakturen gehört außerdem eine orientierende ophthalmologische Untersuchung des Visus und der Augenmotilität. Zum Beispiel kann eine Inkarzeration des Musculus rectus medialis durch eine Fraktur der medialen Orbitawand zu horizontalen Doppelbildern führen [Belli et al., 2009]. Unter den bildgebenden Verfahren gilt die Computertomografie als Goldstandard. Die Aufnahme in dünnen Schichten ermöglicht dabei die detailgetreue koronare, axiale und sagittale Rekonstruktion der knöchernen und weichgeweblichen Strukturen [Caranci et al., 2012]. Ferner bietet die Computertomografie die Möglichkeit der kontrastmittelgestützten Bildgebung zur Diagnostik von intrakraniellen Blutungen.
Die in der Zahnmedizin gebräuchliche dentale Volumentomografie (DVT) stellt ebenfalls eine effektive Methode zur Frakturdiagnostik dar. Vorteile dieser Methode sind die bessere Verfügbarkeit, die geringere Strahlenbelastung und die niedrigeren Kosten [Ziegler et al., 2002; Zizelmann et al., 2007]. Zweidimensionale Aufnahmen wie das Orthopantomogramm (OPG) oder Nasennebenhöhlen-Aufnahmen (NNH) sind aufgrund der geringen Diagnoseraten in der Orbitatraumatologie mittlerweile zu vernachlässigen [Dodick et al., 1971; Davidson et al., 1975; Deichmüller und Welkoborsky, 2018; Karahisarlioglu, 2021].
Die Entscheidung zur chirurgischen Versorgung von Orbitafrakturen und deren Zeitpunkt hängt von verschiedenen Faktoren ab. Zu den absoluten Notfallindikationen zählen ein Retrobulbärhämatom, eine traumatische Optikusneuropathie (TON) und ein akuter Visusverlust, ebenso wie Orbitafrakturen, die mit einem persistierenden orbitokardialen Reflex, Übelkeit und Erbrechen einhergehen. In solchen Fällen ist eine sofortige Intervention erforderlich, um dauerhafte Schäden und eine mögliche Erblindung zu verhindern [S2e-Leitlinie, 2013; Soare et al., 2015; Kämmerer, 2019]. Unter einer frühen Rekonstruktion versteht man eine operative Versorgung innerhalb der ersten zwei Wochen nach dem traumatischen Ereignis. Indikationen hierfür sind unter anderem große Defekte, Diplopie, Muskelinkarzerationen und ein Enophtalmus größer als 2 mm [Burnstine, 2003]. Ausgeprägte orbitale Schwellungen erschweren oft die klinische Einschätzung sowie die Operationsbedingungen, daher ist ein Zuwarten von ein bis zwei Tagen präoperativ nicht unüblich. Primäres Ziel der Operation ist die Wiederherstellung der Funktionalität und der Ästhetik. Ein konservatives Vorgehen kann bei kleinen, nicht dislozierten Frakturen ohne klinische Symptomatik oder einem erhöhtem Narkoserisiko bei multimorbiden Patienten in Betracht gezogen werden [S2e-Leitlinie, 2013; Aldekhayel et al., 2014].
Typischerweise besteht die Therapie von Orbiafrakturen aus einer chirurgischen Reposition und Osteosynthese. Durch ihr Volumen bietet die Augenhöhle jedoch eine gute Ausgangssituation zur plastischen Rekonstruktion. Dafür steht eine Vielzahl an Biomaterialien – autogen, allogen, xenogen, alloplastisch – zur Auswahl, die abhängig von der Lokalisation und der Größe der Fraktur sowie von der klinischen Symptomatik genutzt werden [Wajih et al., 2011; S2e-Leitlinie, 2013]. Alloplastische resorbierbare Materialien wie zum Beispiel die Polydioxanon-Folie kommen im klinischen Alltag – aufgrund ihrer Formbarkeit und ihrer schnellen Verfügbarkeit – oft zum Einsatz. Sie bergen allerdings die Gefahr einer Fremdkörperreaktion sowie eines frühzeitigen Formverlusts [Kontio et al., 2005; Karahisarlioglu, 2021]. Nicht resorbierbare alloplastische Produkte wie Titan-Meshs oder patientenspezifische Implantate bieten hingegen mechanische Festigkeit, Biokompatibilität und Radioopazität – und eignen sich somit hervorragend zur detaillierten Rekonstruktion der Augenhöhle, besonders bei größeren Defekten [Gander et al., 2015; Karahisarlioglu, 2021].
Zur Rekonstruktion von medialen Orbitawandfrakturen existiert bis heute kein internationaler wissenschaftlicher Standard und die Indikationsstellung beruht meist auf einer Kombination der klinischen und der radiologischen Befunde [Dubois et al., 2015]. Konsens besteht jedoch dahingehend, große und symptomatische Frakturen zu versorgen [Dubois et al., 2015; Gander et al., 2015; Karahisarlioglu, 2021].
Vergleicht man Studien zu den verschiedenen Versorgungsmethoden, zeigt sich, dass PSI deutliche Vorteile hinsichtlich der Präzision der Rekonstruktion bieten. Neuere Arbeiten belegen, dass die Volumenabweichungen zwischen der rekonstruierten und der gesunden Orbita bei individuell angefertigten Implantaten deutlich geringer ausfallen als bei vorgeformten Standardimplantaten. Dies führt zu besseren ästhetischen und funktionellen Ergebnissen, indem postoperative Komplikationen wie Enophthalmus oder Diplopie reduziert werden [Rana et al., 2015; Zimmerer et al., 2016]. Zusätzlich erfordern PSI weniger intraoperative Anpassungen, da sie bereits präzise vorgefertigt sind, im Gegensatz zu Standardimplantaten, die oft während der Operation geschnitten und gebogen werden müssen. Durch die hohe Passgenauigkeit und die einfache Handhabung kann durch die Verwendung von PSIs heutzutage sogar die OP-Dauer signifikant verkürzt und postoperative Komplikationen können vermieden werden [Zimmerer et al., 2016; Zieliński et al., 2017; Hartmann et al., 2022]. Ein weiterer Vorteil ergibt sich durch die Kombination von PSI mit intraoperativen Navigationstechniken, die die Genauigkeit der Implantatpositionierung erhöhen [Rana et al., 2015].
Demgegenüber stehen jedoch auch einige Nachteile von patientenspezifischen Implantaten: Die Herstellung solcher Implantate ist zeit- und kostenintensiv, da sie auf der Grundlage präoperativer Bildgebung und CAD-Planung individuell angefertigt werden müssen. Dies kann zu höheren Kosten und längeren Vorbereitungszeiten führen, was besonders bei Notfallindikationen ein Problem darstellt [Zieliński et al., 2017]. Zudem sind diese fortschrittlichen Technologien – CAD-Software und intraoperative Navigation – nicht in allen Kliniken verfügbar, was die Verbreitung von PSI einschränkt. Auch für die Patienten kann es zu längeren Wartezeiten kommen, bis das individuell angefertigte Implantat verfügbar ist und die Operation durchgeführt werden kann.
Zudem bieten konventionelle Standardimplantate einige praktische Vorteile. Sie sind sofort verfügbar und erfordern keine aufwendige individuelle Fertigung, was zu einer schnelleren Durchführung des Eingriffs führt. Sie sind kostengünstiger, da sie in Serie produziert werden und keine spezielle Planung oder fortschrittliche Technologien erfordern. Standardimplantate sind in den meisten Kliniken breit verfügbar und benötigen keine spezielle Infrastruktur wie CAD-Software oder intraoperative Navigation [Zimmerer et al., 2016].
Gleichzeitig haben Standardimplantate auch klare Nachteile: Sie bieten nicht die gleiche Präzision wie PSIs, was zu größeren Volumenabweichungen im Bereich der Orbita führen kann. Dies erhöht das Risiko für postoperative Komplikationen, zum Beispiel Enophthalmus oder Diplopie [Rana et al., 2015]. Auch der intraoperative Aufwand ist höher, da Standardimplantate häufig manuell angepasst werden müssen.
Fazit für die Praxis
Orbitafrakturen sind oft Folge eines stumpfen Traumas. Zu den klinischen Symptomen gehören unter anderem Motilitätseinschränkungen, Doppelbilder und Visusminderungen.
Die mediale Orbitawand ist in 27 bis 35 Prozent der Fälle mitbetroffen.
Zur Basisdiagnostik gehören eine umfangreiche klinische Anamnese inklusive ophthalmologische Basisdiagnostik sowie bildgebende Verfahren wie eine Computertomografie oder dentale Volumentomografie.
Absolute Notfallindikationen und die damit verbundene sofortige Intervention stellen Retrobulbärhämatome, traumatische Optikusneuropathien und ein akuter Visusverlust dar.
Ein konservatives Vorgehen kann bei kleinen, nicht dislozierten Frakturen ohne klinische Symptomatik oder einem erhöhtem Narkoserisiko bei multimorbiden Patienten in Betracht gezogen werden.
Durch patientenspezifische Implantate kann eine signifikante Wiederherstellung der dreidimensionalen Anatomie und Ästhetik erreicht werden.
Zusammenfassend lässt sich sagen, dass patientenspezifische Implantate eine zuverlässige Therapieoption darstellen. Besonders für Frakturen in anatomisch anspruchsvollen Regionen wie der Orbitahöhle bieten sie eine sichere und reproduzierbare Versorgung mit suffizienten funktionellen und ästhetischen Ergebnissen – und gewinnen immer mehr an klinischer Bedeutung [Hartmann et al., 2022].
Literaturliste
Aldekhayel S, H Aljaaly, O Fouda-Neel, A-W Shararah, WS Zaid and M Gilardino: Evolving trends in the management of orbital floor fractures. Journal of Craniofacial Surgery 25:258-261, 2014.
Belli E, C Matteini and N Mazzone: Evolution in Diagnosis and Repairing of Orbital Medial Wall Fractures. Journal of Craniofacial Surgery 20:2009.
Burnstine MA: Clinical recommendations for repair of orbital facial fractures. Current Opinion in Ophthalmology 14:236-240, 2003.
Caranci F, D Cicala, S Cappabianca, F Briganti, L Brunese and P Fonio: Orbital Fractures: Role of Imaging. Seminars in Ultrasound, CT and MRI 33:385-391, 2012.
Davidson TM, RM Olesen and AM Nahum: Medial orbital wall fracture with rectus entrapment. Archives of otolaryngology 101:33-35, 1975.
Deichmüller CM and H-J Welkoborsky: Orbital traumatology. HNO 66:721-729, 2018.
Dodick JM, MA Galin, JT Littleton and LM Sod: Concomitant medical wall fracture and blowout fracture of the orbit. Archives of Ophthalmology 85:273-276, 1971.
Dubois L, S Steenen, P Gooris, M Mourits and A Becking: Controversies in orbital reconstruction. Defect-driven orbital reconstruction: a systematic review. International Journal of Oral and Maxillofacial Surgery 44:308-315, 2015.
Gander T, H Essig, P Metzler, D Lindhorst, L Dubois, M Rücker and P Schumann: Patient specific implants (PSI) in reconstruction of orbital floor and wall fractures. Journal of Cranio-Maxillofacial Surgery 43:126-130, 2015.
Go JL, VN Vu, KJ Lee and TS Becker: Orbital trauma. Neuroimaging Clinics of North America 12:311-324, 2002.
Hartmann A, P Kämmerer, LC Ortolano, K Sagheb and M Seiler: Customised products for orbital wall reconstruction: a systematic review. British Journal of Oral and Maxillofacial Surgery 60:e702-e711, 2022.
Kämmerer PW SB: Der besondere Fall mit CME: Kompartmentsyndrom der Orbita – Retrobulbärhämatom nach Trauma. Zahnärztliche Mitteilungen 109:74-76, 2019.
Karahisarlioglu M (2021). Mediale Orbitawandfrakturen-ist eine operative Versorgung mit einem patientenspezifischen Implantat erforderlich? , Dissertation, Düsseldorf, Heinrich-Heine-Universität, 2020.
Kontio R, P Ruuttila, L Lindroos, R Suuronen, A Salo, C Lindqvist, I Virtanen and YT Konttinen: Biodegradable polydioxanone and poly (l/d) lactide implants: an experimental study on peri-implant tissue response. International journal of oral and maxillofacial surgery 34:766-776, 2005.
Manolidis S, B Weeks, M Kirby, M Scarlett and L Hollier: Classification and surgical management of orbital fractures: experience with 111 orbital reconstructions. Journal of Craniofacial Surgery 13:726-737, 2002.
Maunder RJ, DJ Pierson and LD Hudson: Subcutaneous and mediastinal emphysema: pathophysiology, diagnosis, and management. Archives of internal medicine 144:1447-1453, 1984.
Motamedi MHK, E Dadgar, A Ebrahimi, G Shirani, A Haghighat and MR Jamalpour: Pattern of maxillofacial fractures: a 5-year analysis of 8,818 patients. Journal of trauma and acute care surgery 77:630-634, 2014.
Nolasco FP and RH Mathog: Medial orbital wall fractures: classification and clinical profile. Otolaryngology—Head and Neck Surgery 112:549-556, 1995.
Osguthorpe JD: Orbital wall fractures: evaluation and management. Otolaryngology–Head and Neck Surgery 105:702-707, 1991.
Patel S, C Andrecovich, M Silverman, L Zhang and M Shkoukani: Biomechanic Factors Associated With Orbital Floor Fractures. JAMA Facial Plastic Surgery 19:298-302, 2017.
Raflo GT: Blow-in and blow-out fractures of the orbit: clinical correlations and proposed mechanisms. Ophthalmic Surg 15:114-119, 1984.
Rana M, MM Gellrich and NC Gellrich: Customised reconstruction of the orbital wall and engineering of selective laser melting (SLM) core implants. British Journal of Oral and Maxillofacial Surgery 53:208-209, 2015.
S2e-Leitlinie AD: Rekonstruktion von Orbitadefekten. 2013, AWMF.
Soare S, J-M Foletti, A Gallucci, C Collet, L Guyot and C Chossegros: Update on orbital decompression as emergency treatment of traumatic blindness. Journal of Cranio-Maxillofacial Surgery 43:1000-1003, 2015.
Wajih WA, B Shaharuddin and NH Razak: Hospital Universiti Sains Malaysia experience in orbital floor reconstruction: autogenous graft versus Medpor. J Oral Maxillofac Surg 69:1740-1744, 2011.
Ziegler C, R Woertche, J Brief and S Hassfeld: Clinical indications for digital volume tomography in oral and maxillofacial surgery. Dentomaxillofacial Radiology 31:126-130, 2002.
Zieliński R, M Malińska and M Kozakiewicz: Classical versus custom orbital wall reconstruction: Selected factors regarding surgery and hospitalization. Journal of Cranio-Maxillofacial Surgery 45:710-715, 2017.
Zimmerer RM, E Ellis, GS Aniceto, A Schramm, MEH Wagner, MP Grant, C-P Cornelius, EB Strong, M Rana, LT Chye, AR Calle, F Wilde, D Perez, F Tavassol, G Bittermann, NR Mahoney, MR Alamillos, J Bašić, J Dittmann, M Rasse and N-C Gellrich: A prospective multicenter study to compare the precision of posttraumatic internal orbital reconstruction with standard preformed and individualized orbital implants. Journal of Cranio-Maxillofacial Surgery 44:1485-1497, 2016.
Zizelmann C, NC Gellrich, MC Metzger, R Schoen, R Schmelzeisen and A Schramm: Computer-assisted reconstruction of orbital floor based on cone beam tomography. British Journal of Oral and Maxillofacial Surgery 45:79-80, 2007.













